暴发性气肿性胰腺炎:诊断时间至关重要。

IF 1.7 Q4 GASTROENTEROLOGY & HEPATOLOGY
Gastroenterology Research Pub Date : 2024-02-01 Epub Date: 2024-02-28 DOI:10.14740/gr1671
Basel Darawsha, Subhi Mansour, Tawfik Fahoum, Naseem Azzam, Yoram Kluger, Ahmad Assalia, Safi Khuri
{"title":"暴发性气肿性胰腺炎:诊断时间至关重要。","authors":"Basel Darawsha, Subhi Mansour, Tawfik Fahoum, Naseem Azzam, Yoram Kluger, Ahmad Assalia, Safi Khuri","doi":"10.14740/gr1671","DOIUrl":null,"url":null,"abstract":"<p><p>Emphysematous pancreatitis (EP), a severe form of necrotizing infection of the pancreas, is an extremely rare medical emergency with high rates of mortality. It is characterized by intraparenchymal pancreatic or peri-pancreatic air due to either monomicrobial or polymicrobial infection with gas-forming bacteria or due to entero-pancreatic fistula. EP is classified according to timing from disease onset when air bubble signs were detected on computed tomography (CT) scan, as early onset (within 2 weeks from disease onset) or late (more than 2 weeks from disease onset). While most cases of acute pancreatitis are resolved with supportive care alone, clinical outcomes of EP, especially the early onset subtype, are very poor with high rates of morbidity and mortality. These two case reports present the clinical features, diagnostic investigations, and management of two patients admitted to our hospital with early onset fulminant EP, each investigated and managed with different approaches. The first patient underwent a more conservative treatment, with diagnosis being made 52 h following admission, and thus, intensive care unit (ICU) admission and surgery were postponed, while the second patient was diagnosed a few hours following presentation with earlier ICU admission. In this article, we will present the critical importance of early diagnosis of the aforementioned rare entity of severe pancreatitis and will consider the consequences of rapid diagnosis on disease course, morbidity and mortality.</p>","PeriodicalId":12461,"journal":{"name":"Gastroenterology Research","volume":"17 1","pages":"32-36"},"PeriodicalIF":1.7000,"publicationDate":"2024-02-01","publicationTypes":"Journal Article","fieldsOfStudy":null,"isOpenAccess":false,"openAccessPdf":"https://www.ncbi.nlm.nih.gov/pmc/articles/PMC10923251/pdf/","citationCount":"0","resultStr":"{\"title\":\"Fulminant Emphysematous Pancreatitis: Diagnosis Time Counts.\",\"authors\":\"Basel Darawsha, Subhi Mansour, Tawfik Fahoum, Naseem Azzam, Yoram Kluger, Ahmad Assalia, Safi Khuri\",\"doi\":\"10.14740/gr1671\",\"DOIUrl\":null,\"url\":null,\"abstract\":\"<p><p>Emphysematous pancreatitis (EP), a severe form of necrotizing infection of the pancreas, is an extremely rare medical emergency with high rates of mortality. It is characterized by intraparenchymal pancreatic or peri-pancreatic air due to either monomicrobial or polymicrobial infection with gas-forming bacteria or due to entero-pancreatic fistula. EP is classified according to timing from disease onset when air bubble signs were detected on computed tomography (CT) scan, as early onset (within 2 weeks from disease onset) or late (more than 2 weeks from disease onset). While most cases of acute pancreatitis are resolved with supportive care alone, clinical outcomes of EP, especially the early onset subtype, are very poor with high rates of morbidity and mortality. These two case reports present the clinical features, diagnostic investigations, and management of two patients admitted to our hospital with early onset fulminant EP, each investigated and managed with different approaches. The first patient underwent a more conservative treatment, with diagnosis being made 52 h following admission, and thus, intensive care unit (ICU) admission and surgery were postponed, while the second patient was diagnosed a few hours following presentation with earlier ICU admission. In this article, we will present the critical importance of early diagnosis of the aforementioned rare entity of severe pancreatitis and will consider the consequences of rapid diagnosis on disease course, morbidity and mortality.</p>\",\"PeriodicalId\":12461,\"journal\":{\"name\":\"Gastroenterology Research\",\"volume\":\"17 1\",\"pages\":\"32-36\"},\"PeriodicalIF\":1.7000,\"publicationDate\":\"2024-02-01\",\"publicationTypes\":\"Journal Article\",\"fieldsOfStudy\":null,\"isOpenAccess\":false,\"openAccessPdf\":\"https://www.ncbi.nlm.nih.gov/pmc/articles/PMC10923251/pdf/\",\"citationCount\":\"0\",\"resultStr\":null,\"platform\":\"Semanticscholar\",\"paperid\":null,\"PeriodicalName\":\"Gastroenterology Research\",\"FirstCategoryId\":\"1085\",\"ListUrlMain\":\"https://doi.org/10.14740/gr1671\",\"RegionNum\":0,\"RegionCategory\":null,\"ArticlePicture\":[],\"TitleCN\":null,\"AbstractTextCN\":null,\"PMCID\":null,\"EPubDate\":\"2024/2/28 0:00:00\",\"PubModel\":\"Epub\",\"JCR\":\"Q4\",\"JCRName\":\"GASTROENTEROLOGY & HEPATOLOGY\",\"Score\":null,\"Total\":0}","platform":"Semanticscholar","paperid":null,"PeriodicalName":"Gastroenterology Research","FirstCategoryId":"1085","ListUrlMain":"https://doi.org/10.14740/gr1671","RegionNum":0,"RegionCategory":null,"ArticlePicture":[],"TitleCN":null,"AbstractTextCN":null,"PMCID":null,"EPubDate":"2024/2/28 0:00:00","PubModel":"Epub","JCR":"Q4","JCRName":"GASTROENTEROLOGY & HEPATOLOGY","Score":null,"Total":0}
引用次数: 0

摘要

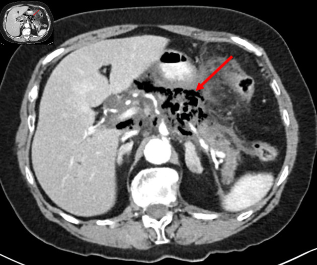
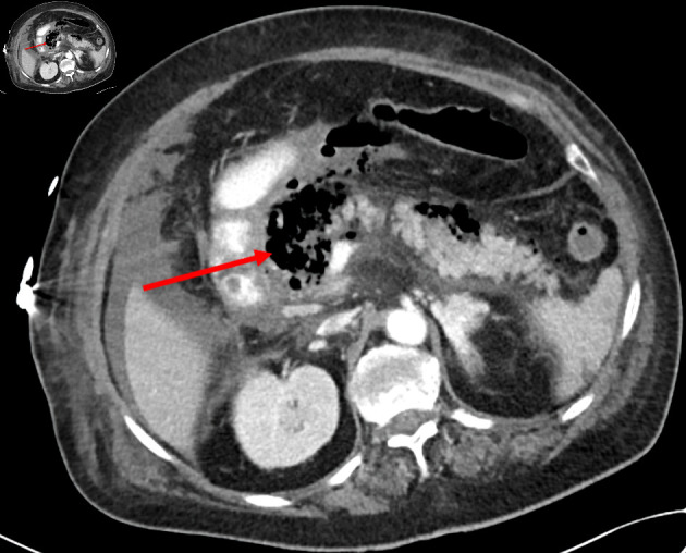
气肿性胰腺炎(EP)是一种严重的胰腺坏死性感染,是一种极为罕见的急症,死亡率很高。其特点是胰腺实质内或胰腺周围充气,原因是单微生物或多微生物感染产气细菌,或者是肠胰瘘。急性胰腺炎根据计算机断层扫描(CT)发现气泡征象的起病时间分为早期起病(起病两周内)和晚期起病(起病两周以上)。虽然大多数急性胰腺炎病例仅通过支持性治疗即可缓解,但 EP(尤其是早发亚型)的临床预后非常差,发病率和死亡率都很高。这两份病例报告介绍了我院收治的两名早发暴发性急性胰腺炎患者的临床特征、诊断检查和治疗情况,他们分别接受了不同的检查和治疗。第一例患者接受了更为保守的治疗,在入院 52 小时后才确诊,因此推迟了入住重症监护室(ICU)和手术的时间;而第二例患者在发病数小时后才确诊,并提前入住重症监护室。在本文中,我们将介绍早期诊断上述罕见重症胰腺炎的重要性,并探讨快速诊断对病程、发病率和死亡率的影响。
本文章由计算机程序翻译,如有差异,请以英文原文为准。

Fulminant Emphysematous Pancreatitis: Diagnosis Time Counts.

Fulminant Emphysematous Pancreatitis: Diagnosis Time Counts.

Fulminant Emphysematous Pancreatitis: Diagnosis Time Counts.

Emphysematous pancreatitis (EP), a severe form of necrotizing infection of the pancreas, is an extremely rare medical emergency with high rates of mortality. It is characterized by intraparenchymal pancreatic or peri-pancreatic air due to either monomicrobial or polymicrobial infection with gas-forming bacteria or due to entero-pancreatic fistula. EP is classified according to timing from disease onset when air bubble signs were detected on computed tomography (CT) scan, as early onset (within 2 weeks from disease onset) or late (more than 2 weeks from disease onset). While most cases of acute pancreatitis are resolved with supportive care alone, clinical outcomes of EP, especially the early onset subtype, are very poor with high rates of morbidity and mortality. These two case reports present the clinical features, diagnostic investigations, and management of two patients admitted to our hospital with early onset fulminant EP, each investigated and managed with different approaches. The first patient underwent a more conservative treatment, with diagnosis being made 52 h following admission, and thus, intensive care unit (ICU) admission and surgery were postponed, while the second patient was diagnosed a few hours following presentation with earlier ICU admission. In this article, we will present the critical importance of early diagnosis of the aforementioned rare entity of severe pancreatitis and will consider the consequences of rapid diagnosis on disease course, morbidity and mortality.

求助全文
通过发布文献求助,成功后即可免费获取论文全文。 去求助
来源期刊
Gastroenterology Research
Gastroenterology Research GASTROENTEROLOGY & HEPATOLOGY-
自引率
0.00%
发文量
35
×
引用
GB/T 7714-2015
复制
MLA
复制
APA
复制
导出至
BibTeX EndNote RefMan NoteFirst NoteExpress
×
提示
您的信息不完整,为了账户安全,请先补充。
现在去补充
×
提示
您因"违规操作"
具体请查看互助需知
我知道了
×
提示
确定
请完成安全验证×
copy
已复制链接
快去分享给好友吧!
我知道了
右上角分享
点击右上角分享
0
联系我们:info@booksci.cn Book学术提供免费学术资源搜索服务,方便国内外学者检索中英文文献。致力于提供最便捷和优质的服务体验。 Copyright © 2023 布克学术 All rights reserved.
京ICP备2023020795号-1
ghs 京公网安备 11010802042870号
Book学术文献互助
Book学术文献互助群
群 号:604180095
Book学术官方微信