确定调整 COVID-19 患者胸部 CT 上骨骼肌面积的最佳体型参数。

Numan Kutaiba, Julie Dobson, Mark Finnis, Rinaldo Bellomo
{"title":"确定调整 COVID-19 患者胸部 CT 上骨骼肌面积的最佳体型参数。","authors":"Numan Kutaiba, Julie Dobson, Mark Finnis, Rinaldo Bellomo","doi":"10.22540/JFSF-09-016","DOIUrl":null,"url":null,"abstract":"<p><strong>Objectives: </strong>The most efficient way to adjust skeletal muscle area (SMA) derived from chest CT to body size remains unclear. We hypothesized that vertebral body area (VBA) measurement would allow such efficient adjustment.</p><p><strong>Methods: </strong>We conducted a retrospective observational study of chest CT imaging in a cohort of critically ill COVID-19 patients. We measured paravertebral SMA at T5 level and T5 vertebral body anteroposterior length, width, and area. We used linear regression and multivariable modelling to assess the association of VBA with SMA.</p><p><strong>Results: </strong>In 48 COVID-19 patients in ICU, T5 VBA could be easily derived from simple width and anteroposterior length linear measurements. T5 VBA (measured manually or estimated from width and length) performed similarly to height (R<sup>2</sup> of 0.22) as an adjustment variable for SMA, with R<sup>2</sup> of 0.23 and 0.22, respectively. Gender had the strongest correlation with SMA (R<sup>2</sup> = 0.28). Adding height or age to a model using gender and VBA did not improve correlation.</p><p><strong>Conclusions: </strong>Gender and estimated VBA from simple linear measurements at T5 level on CT images can be utilized for adjustment of SMA without the need for height. Validation of these findings in larger cohorts of critically ill patients is now needed.</p>","PeriodicalId":73754,"journal":{"name":"Journal of frailty, sarcopenia and falls","volume":"9 1","pages":"16-24"},"PeriodicalIF":0.0000,"publicationDate":"2024-03-01","publicationTypes":"Journal Article","fieldsOfStudy":null,"isOpenAccess":false,"openAccessPdf":"https://www.ncbi.nlm.nih.gov/pmc/articles/PMC10910254/pdf/","citationCount":"0","resultStr":"{\"title\":\"The identification of an optimal body size parameter to adjust skeletal muscle area on chest CT in COVID-19 patients.\",\"authors\":\"Numan Kutaiba, Julie Dobson, Mark Finnis, Rinaldo Bellomo\",\"doi\":\"10.22540/JFSF-09-016\",\"DOIUrl\":null,\"url\":null,\"abstract\":\"<p><strong>Objectives: </strong>The most efficient way to adjust skeletal muscle area (SMA) derived from chest CT to body size remains unclear. We hypothesized that vertebral body area (VBA) measurement would allow such efficient adjustment.</p><p><strong>Methods: </strong>We conducted a retrospective observational study of chest CT imaging in a cohort of critically ill COVID-19 patients. We measured paravertebral SMA at T5 level and T5 vertebral body anteroposterior length, width, and area. We used linear regression and multivariable modelling to assess the association of VBA with SMA.</p><p><strong>Results: </strong>In 48 COVID-19 patients in ICU, T5 VBA could be easily derived from simple width and anteroposterior length linear measurements. T5 VBA (measured manually or estimated from width and length) performed similarly to height (R<sup>2</sup> of 0.22) as an adjustment variable for SMA, with R<sup>2</sup> of 0.23 and 0.22, respectively. Gender had the strongest correlation with SMA (R<sup>2</sup> = 0.28). Adding height or age to a model using gender and VBA did not improve correlation.</p><p><strong>Conclusions: </strong>Gender and estimated VBA from simple linear measurements at T5 level on CT images can be utilized for adjustment of SMA without the need for height. Validation of these findings in larger cohorts of critically ill patients is now needed.</p>\",\"PeriodicalId\":73754,\"journal\":{\"name\":\"Journal of frailty, sarcopenia and falls\",\"volume\":\"9 1\",\"pages\":\"16-24\"},\"PeriodicalIF\":0.0000,\"publicationDate\":\"2024-03-01\",\"publicationTypes\":\"Journal Article\",\"fieldsOfStudy\":null,\"isOpenAccess\":false,\"openAccessPdf\":\"https://www.ncbi.nlm.nih.gov/pmc/articles/PMC10910254/pdf/\",\"citationCount\":\"0\",\"resultStr\":null,\"platform\":\"Semanticscholar\",\"paperid\":null,\"PeriodicalName\":\"Journal of frailty, sarcopenia and falls\",\"FirstCategoryId\":\"1085\",\"ListUrlMain\":\"https://doi.org/10.22540/JFSF-09-016\",\"RegionNum\":0,\"RegionCategory\":null,\"ArticlePicture\":[],\"TitleCN\":null,\"AbstractTextCN\":null,\"PMCID\":null,\"EPubDate\":\"\",\"PubModel\":\"\",\"JCR\":\"\",\"JCRName\":\"\",\"Score\":null,\"Total\":0}","platform":"Semanticscholar","paperid":null,"PeriodicalName":"Journal of frailty, sarcopenia and falls","FirstCategoryId":"1085","ListUrlMain":"https://doi.org/10.22540/JFSF-09-016","RegionNum":0,"RegionCategory":null,"ArticlePicture":[],"TitleCN":null,"AbstractTextCN":null,"PMCID":null,"EPubDate":"","PubModel":"","JCR":"","JCRName":"","Score":null,"Total":0}
引用次数: 0

摘要

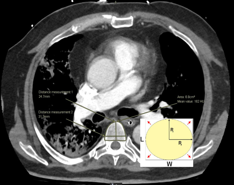
目的:根据体型调整胸部 CT 得出的骨骼肌面积 (SMA) 的最有效方法仍不清楚。我们假设椎体面积 (VBA) 测量可以实现这种有效调整:我们对 COVID-19 重症患者队列中的胸部 CT 成像进行了回顾性观察研究。我们测量了 T5 水平的椎旁 SMA 和 T5 椎体的前后长度、宽度和面积。我们使用线性回归和多变量模型评估了 VBA 与 SMA 的关系:在重症监护室的 48 名 COVID-19 患者中,T5 椎体 VBA 可通过简单的宽度和前后长度线性测量轻松得出。作为 SMA 的调整变量,T5 VBA(手动测量或根据宽度和长度估算)与身高(R2 为 0.22)的表现相似,R2 分别为 0.23 和 0.22。性别与 SMA 的相关性最强(R2 = 0.28)。在使用性别和 VBA 的模型中加入身高或年龄并不能改善相关性:结论:CT图像上T5水平的简单线性测量得出的性别和估计VBA可用于调整SMA,而无需考虑身高。现在需要在更大规模的重症患者群体中验证这些发现。
本文章由计算机程序翻译,如有差异,请以英文原文为准。

The identification of an optimal body size parameter to adjust skeletal muscle area on chest CT in COVID-19 patients.

The identification of an optimal body size parameter to adjust skeletal muscle area on chest CT in COVID-19 patients.

The identification of an optimal body size parameter to adjust skeletal muscle area on chest CT in COVID-19 patients.

The identification of an optimal body size parameter to adjust skeletal muscle area on chest CT in COVID-19 patients.

Objectives: The most efficient way to adjust skeletal muscle area (SMA) derived from chest CT to body size remains unclear. We hypothesized that vertebral body area (VBA) measurement would allow such efficient adjustment.

Methods: We conducted a retrospective observational study of chest CT imaging in a cohort of critically ill COVID-19 patients. We measured paravertebral SMA at T5 level and T5 vertebral body anteroposterior length, width, and area. We used linear regression and multivariable modelling to assess the association of VBA with SMA.

Results: In 48 COVID-19 patients in ICU, T5 VBA could be easily derived from simple width and anteroposterior length linear measurements. T5 VBA (measured manually or estimated from width and length) performed similarly to height (R2 of 0.22) as an adjustment variable for SMA, with R2 of 0.23 and 0.22, respectively. Gender had the strongest correlation with SMA (R2 = 0.28). Adding height or age to a model using gender and VBA did not improve correlation.

Conclusions: Gender and estimated VBA from simple linear measurements at T5 level on CT images can be utilized for adjustment of SMA without the need for height. Validation of these findings in larger cohorts of critically ill patients is now needed.

求助全文
通过发布文献求助,成功后即可免费获取论文全文。 去求助
来源期刊
自引率
0.00%
发文量
0
审稿时长
6 weeks
×
引用
GB/T 7714-2015
复制
MLA
复制
APA
复制
导出至
BibTeX EndNote RefMan NoteFirst NoteExpress
×
提示
您的信息不完整,为了账户安全,请先补充。
现在去补充
×
提示
您因"违规操作"
具体请查看互助需知
我知道了
×
提示
确定
请完成安全验证×
copy
已复制链接
快去分享给好友吧!
我知道了
右上角分享
点击右上角分享
0
联系我们:info@booksci.cn Book学术提供免费学术资源搜索服务,方便国内外学者检索中英文文献。致力于提供最便捷和优质的服务体验。 Copyright © 2023 布克学术 All rights reserved.
京ICP备2023020795号-1
ghs 京公网安备 11010802042870号
Book学术文献互助
Book学术文献互助群
群 号:604180095
Book学术官方微信