使用聚苯乙烯磺酸钠引起的上消化道出血:常见处方治疗的罕见不良反应。

IF 0.5 Q4 GASTROENTEROLOGY & HEPATOLOGY
Case Reports in Gastrointestinal Medicine Pub Date : 2024-02-27 eCollection Date: 2024-01-01 DOI:10.1155/2024/6004323
Hamzah Shariff, Shiva Naidoo, Ghazal Ghafari, Hongjie Li, Manisha Devi, Kishore Kumar
{"title":"使用聚苯乙烯磺酸钠引起的上消化道出血:常见处方治疗的罕见不良反应。","authors":"Hamzah Shariff, Shiva Naidoo, Ghazal Ghafari, Hongjie Li, Manisha Devi, Kishore Kumar","doi":"10.1155/2024/6004323","DOIUrl":null,"url":null,"abstract":"<p><p>We report a case of a 62-year-old man who was brought in by emergency medical services after a fall and change in mental status. He was found to have severe hyperkalemia, acute kidney injury, and rhabdomyolysis. The hyperkalemia was treated with sodium polystyrene sulfonate (SPS). During hospitalization, he witnessed having black tarry stools along with a significant drop in hemoglobin. Endoscopic evaluation demonstrated nonbleeding large diffuse gastric ulcers with stigmata of recent bleeding, and ulcer biopsy revealed findings consistent with SPS-induced gastric ulceration. No other source of bleeding was localized, suggesting acute upper gastrointestinal bleeding due to SPS mucosal injury.</p>","PeriodicalId":45645,"journal":{"name":"Case Reports in Gastrointestinal Medicine","volume":"2024 ","pages":"6004323"},"PeriodicalIF":0.5000,"publicationDate":"2024-02-27","publicationTypes":"Journal Article","fieldsOfStudy":null,"isOpenAccess":false,"openAccessPdf":"https://www.ncbi.nlm.nih.gov/pmc/articles/PMC10914429/pdf/","citationCount":"0","resultStr":"{\"title\":\"Upper Gastrointestinal Bleeding Secondary to Sodium Polystyrene Sulfonate Use: A Rare Adverse Effect of Commonly Prescribed Treatment.\",\"authors\":\"Hamzah Shariff, Shiva Naidoo, Ghazal Ghafari, Hongjie Li, Manisha Devi, Kishore Kumar\",\"doi\":\"10.1155/2024/6004323\",\"DOIUrl\":null,\"url\":null,\"abstract\":\"<p><p>We report a case of a 62-year-old man who was brought in by emergency medical services after a fall and change in mental status. He was found to have severe hyperkalemia, acute kidney injury, and rhabdomyolysis. The hyperkalemia was treated with sodium polystyrene sulfonate (SPS). During hospitalization, he witnessed having black tarry stools along with a significant drop in hemoglobin. Endoscopic evaluation demonstrated nonbleeding large diffuse gastric ulcers with stigmata of recent bleeding, and ulcer biopsy revealed findings consistent with SPS-induced gastric ulceration. No other source of bleeding was localized, suggesting acute upper gastrointestinal bleeding due to SPS mucosal injury.</p>\",\"PeriodicalId\":45645,\"journal\":{\"name\":\"Case Reports in Gastrointestinal Medicine\",\"volume\":\"2024 \",\"pages\":\"6004323\"},\"PeriodicalIF\":0.5000,\"publicationDate\":\"2024-02-27\",\"publicationTypes\":\"Journal Article\",\"fieldsOfStudy\":null,\"isOpenAccess\":false,\"openAccessPdf\":\"https://www.ncbi.nlm.nih.gov/pmc/articles/PMC10914429/pdf/\",\"citationCount\":\"0\",\"resultStr\":null,\"platform\":\"Semanticscholar\",\"paperid\":null,\"PeriodicalName\":\"Case Reports in Gastrointestinal Medicine\",\"FirstCategoryId\":\"1085\",\"ListUrlMain\":\"https://doi.org/10.1155/2024/6004323\",\"RegionNum\":0,\"RegionCategory\":null,\"ArticlePicture\":[],\"TitleCN\":null,\"AbstractTextCN\":null,\"PMCID\":null,\"EPubDate\":\"2024/1/1 0:00:00\",\"PubModel\":\"eCollection\",\"JCR\":\"Q4\",\"JCRName\":\"GASTROENTEROLOGY & HEPATOLOGY\",\"Score\":null,\"Total\":0}","platform":"Semanticscholar","paperid":null,"PeriodicalName":"Case Reports in Gastrointestinal Medicine","FirstCategoryId":"1085","ListUrlMain":"https://doi.org/10.1155/2024/6004323","RegionNum":0,"RegionCategory":null,"ArticlePicture":[],"TitleCN":null,"AbstractTextCN":null,"PMCID":null,"EPubDate":"2024/1/1 0:00:00","PubModel":"eCollection","JCR":"Q4","JCRName":"GASTROENTEROLOGY & HEPATOLOGY","Score":null,"Total":0}
引用次数: 0

摘要

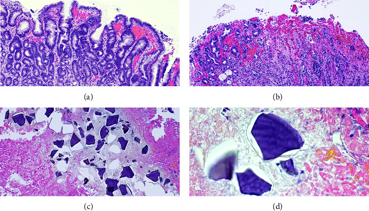
我们报告了一个病例,一名 62 岁的男子因摔倒和精神状态改变而被紧急医疗服务人员送来。他被发现患有严重的高钾血症、急性肾损伤和横纹肌溶解症。高钾血症用聚苯乙烯磺酸钠(SPS)治疗。住院期间,他目睹了黑色柏油样粪便和血红蛋白的显著下降。内镜检查显示,他的胃部有不出血的大面积弥漫性溃疡,并有近期出血的痕迹,溃疡活检结果显示与 SPS 引起的胃溃疡一致。局部没有发现其他出血源,这表明急性上消化道出血是由 SPS 粘膜损伤引起的。
本文章由计算机程序翻译,如有差异,请以英文原文为准。

Upper Gastrointestinal Bleeding Secondary to Sodium Polystyrene Sulfonate Use: A Rare Adverse Effect of Commonly Prescribed Treatment.

Upper Gastrointestinal Bleeding Secondary to Sodium Polystyrene Sulfonate Use: A Rare Adverse Effect of Commonly Prescribed Treatment.

Upper Gastrointestinal Bleeding Secondary to Sodium Polystyrene Sulfonate Use: A Rare Adverse Effect of Commonly Prescribed Treatment.

Upper Gastrointestinal Bleeding Secondary to Sodium Polystyrene Sulfonate Use: A Rare Adverse Effect of Commonly Prescribed Treatment.

We report a case of a 62-year-old man who was brought in by emergency medical services after a fall and change in mental status. He was found to have severe hyperkalemia, acute kidney injury, and rhabdomyolysis. The hyperkalemia was treated with sodium polystyrene sulfonate (SPS). During hospitalization, he witnessed having black tarry stools along with a significant drop in hemoglobin. Endoscopic evaluation demonstrated nonbleeding large diffuse gastric ulcers with stigmata of recent bleeding, and ulcer biopsy revealed findings consistent with SPS-induced gastric ulceration. No other source of bleeding was localized, suggesting acute upper gastrointestinal bleeding due to SPS mucosal injury.

求助全文
通过发布文献求助,成功后即可免费获取论文全文。 去求助
来源期刊
Case Reports in Gastrointestinal Medicine
Case Reports in Gastrointestinal Medicine GASTROENTEROLOGY & HEPATOLOGY-
自引率
0.00%
发文量
33
审稿时长
14 weeks
×
引用
GB/T 7714-2015
复制
MLA
复制
APA
复制
导出至
BibTeX EndNote RefMan NoteFirst NoteExpress
×
提示
您的信息不完整,为了账户安全,请先补充。
现在去补充
×
提示
您因"违规操作"
具体请查看互助需知
我知道了
×
提示
确定
请完成安全验证×
copy
已复制链接
快去分享给好友吧!
我知道了
右上角分享
点击右上角分享
0
联系我们:info@booksci.cn Book学术提供免费学术资源搜索服务,方便国内外学者检索中英文文献。致力于提供最便捷和优质的服务体验。 Copyright © 2023 布克学术 All rights reserved.
京ICP备2023020795号-1
ghs 京公网安备 11010802042870号
Book学术文献互助
Book学术文献互助群
群 号:604180095
Book学术官方微信