一名免疫功能正常的年轻男子因弥散性曲霉菌病并发纵隔侵犯而导致致命中风

IF 0.6 Q4 CLINICAL NEUROLOGY
Case Reports in Neurology Pub Date : 2024-02-05 eCollection Date: 2024-01-01 DOI:10.1159/000536594
Robert Yarham, Rudy Goh, Eamon P Raith, Krishnaswamy Sundararajan, Timothy Kleinig
{"title":"一名免疫功能正常的年轻男子因弥散性曲霉菌病并发纵隔侵犯而导致致命中风","authors":"Robert Yarham, Rudy Goh, Eamon P Raith, Krishnaswamy Sundararajan, Timothy Kleinig","doi":"10.1159/000536594","DOIUrl":null,"url":null,"abstract":"<p><strong>Introduction: </strong><i>Aspergillus flavus</i> is a common cause of aspergillosis.</p><p><strong>Case presentation: </strong>A previously fit and well, immunocompetent 27-year-old male living in Australia developed disseminated <i>A. flavus</i> complex infection with mediastinal and cardiac invasion, superior vena cava obstruction and stroke, with fatal haemorrhagic transformation.</p><p><strong>Conclusion: </strong><i>Aspergillus Flavus</i> is a rare but important cause of serious disease in the immunocompetent.</p>","PeriodicalId":9639,"journal":{"name":"Case Reports in Neurology","volume":"16 1","pages":"63-70"},"PeriodicalIF":0.6000,"publicationDate":"2024-02-05","publicationTypes":"Journal Article","fieldsOfStudy":null,"isOpenAccess":false,"openAccessPdf":"https://www.ncbi.nlm.nih.gov/pmc/articles/PMC10914378/pdf/","citationCount":"0","resultStr":"{\"title\":\"Disseminated Aspergillosis with Mediastinal Invasion Causing Fatal Stroke in an Immunocompetent Young Man.\",\"authors\":\"Robert Yarham, Rudy Goh, Eamon P Raith, Krishnaswamy Sundararajan, Timothy Kleinig\",\"doi\":\"10.1159/000536594\",\"DOIUrl\":null,\"url\":null,\"abstract\":\"<p><strong>Introduction: </strong><i>Aspergillus flavus</i> is a common cause of aspergillosis.</p><p><strong>Case presentation: </strong>A previously fit and well, immunocompetent 27-year-old male living in Australia developed disseminated <i>A. flavus</i> complex infection with mediastinal and cardiac invasion, superior vena cava obstruction and stroke, with fatal haemorrhagic transformation.</p><p><strong>Conclusion: </strong><i>Aspergillus Flavus</i> is a rare but important cause of serious disease in the immunocompetent.</p>\",\"PeriodicalId\":9639,\"journal\":{\"name\":\"Case Reports in Neurology\",\"volume\":\"16 1\",\"pages\":\"63-70\"},\"PeriodicalIF\":0.6000,\"publicationDate\":\"2024-02-05\",\"publicationTypes\":\"Journal Article\",\"fieldsOfStudy\":null,\"isOpenAccess\":false,\"openAccessPdf\":\"https://www.ncbi.nlm.nih.gov/pmc/articles/PMC10914378/pdf/\",\"citationCount\":\"0\",\"resultStr\":null,\"platform\":\"Semanticscholar\",\"paperid\":null,\"PeriodicalName\":\"Case Reports in Neurology\",\"FirstCategoryId\":\"1085\",\"ListUrlMain\":\"https://doi.org/10.1159/000536594\",\"RegionNum\":0,\"RegionCategory\":null,\"ArticlePicture\":[],\"TitleCN\":null,\"AbstractTextCN\":null,\"PMCID\":null,\"EPubDate\":\"2024/1/1 0:00:00\",\"PubModel\":\"eCollection\",\"JCR\":\"Q4\",\"JCRName\":\"CLINICAL NEUROLOGY\",\"Score\":null,\"Total\":0}","platform":"Semanticscholar","paperid":null,"PeriodicalName":"Case Reports in Neurology","FirstCategoryId":"1085","ListUrlMain":"https://doi.org/10.1159/000536594","RegionNum":0,"RegionCategory":null,"ArticlePicture":[],"TitleCN":null,"AbstractTextCN":null,"PMCID":null,"EPubDate":"2024/1/1 0:00:00","PubModel":"eCollection","JCR":"Q4","JCRName":"CLINICAL NEUROLOGY","Score":null,"Total":0}
引用次数: 0

摘要

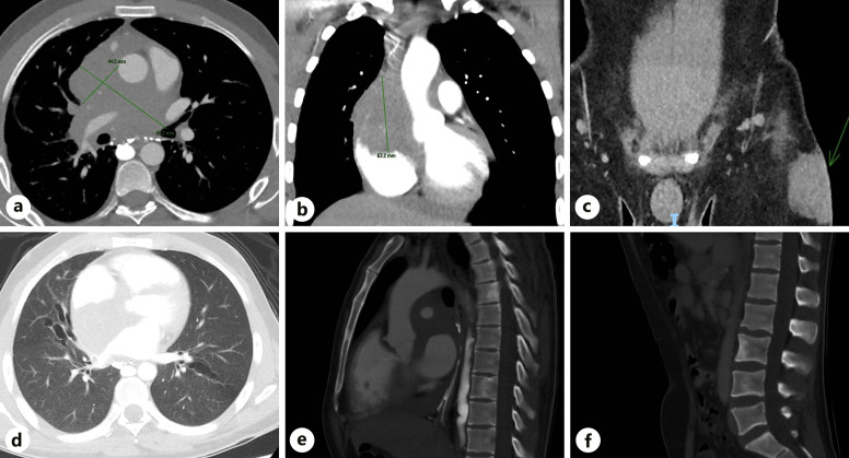
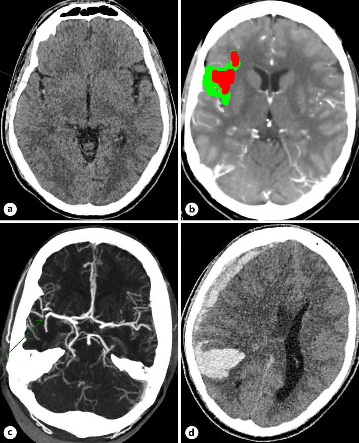
简介:黄曲霉菌是曲霉菌病的常见病因:黄曲霉菌是曲霉菌病的常见病因:病例介绍:一名居住在澳大利亚、身体健康、免疫功能正常的27岁男性发生了黄曲霉菌复合体播散性感染,并伴有纵隔和心脏受侵、上腔静脉阻塞和中风,并出现致命的出血性转变:结论:黄曲霉菌是导致免疫力低下者严重疾病的罕见但重要的病因。
本文章由计算机程序翻译,如有差异,请以英文原文为准。

Disseminated Aspergillosis with Mediastinal Invasion Causing Fatal Stroke in an Immunocompetent Young Man.

Disseminated Aspergillosis with Mediastinal Invasion Causing Fatal Stroke in an Immunocompetent Young Man.

Disseminated Aspergillosis with Mediastinal Invasion Causing Fatal Stroke in an Immunocompetent Young Man.

Introduction: Aspergillus flavus is a common cause of aspergillosis.

Case presentation: A previously fit and well, immunocompetent 27-year-old male living in Australia developed disseminated A. flavus complex infection with mediastinal and cardiac invasion, superior vena cava obstruction and stroke, with fatal haemorrhagic transformation.

Conclusion: Aspergillus Flavus is a rare but important cause of serious disease in the immunocompetent.

求助全文
通过发布文献求助,成功后即可免费获取论文全文。 去求助
来源期刊
Case Reports in Neurology
Case Reports in Neurology Medicine-Neurology (clinical)
CiteScore
1.50
自引率
0.00%
发文量
67
审稿时长
14 weeks
期刊介绍: This new peer-reviewed online-only journal publishes original case reports covering the entire spectrum of neurology. Clinicians and researchers are given a tool to disseminate their personal experience to a wider public as well as to review interesting cases encountered by colleagues all over the world. To complement the contributions supplementary material is welcomed. The reports are searchable according to the key words supplied by the authors; it will thus be possible to search across the entire growing collection of case reports with universally used terms, further facilitating the retrieval of specific information. Following the open access principle, the entire contents can be retrieved at no charge, guaranteeing easy access to this valuable source of anecdotal information at all times.
×
引用
GB/T 7714-2015
复制
MLA
复制
APA
复制
导出至
BibTeX EndNote RefMan NoteFirst NoteExpress
×
提示
您的信息不完整,为了账户安全,请先补充。
现在去补充
×
提示
您因"违规操作"
具体请查看互助需知
我知道了
×
提示
确定
请完成安全验证×
copy
已复制链接
快去分享给好友吧!
我知道了
右上角分享
点击右上角分享
0
联系我们:info@booksci.cn Book学术提供免费学术资源搜索服务,方便国内外学者检索中英文文献。致力于提供最便捷和优质的服务体验。 Copyright © 2023 布克学术 All rights reserved.
京ICP备2023020795号-1
ghs 京公网安备 11010802042870号
Book学术文献互助
Book学术文献互助群
群 号:604180095
Book学术官方微信