评估 MCAM-1 (CD146) 在一组常见妇科癌症中的诊断效用:病例对照研究

IF 1.3 Q4 OBSTETRICS & GYNECOLOGY
Amit Kumar, Ujjawal Khurana, Rashmi Chowdhary, Ajay Halder, Neelkamal Kapoor
{"title":"评估 MCAM-1 (CD146) 在一组常见妇科癌症中的诊断效用:病例对照研究","authors":"Amit Kumar, Ujjawal Khurana, Rashmi Chowdhary, Ajay Halder, Neelkamal Kapoor","doi":"10.4274/tjod.galenos.2024.38265","DOIUrl":null,"url":null,"abstract":"<p><strong>Objective: </strong>MCAM-1 (CD146) is an endothelial cell adhesion molecule belonging to the immunoglobulin superfamily. Recent studies have identified CD146 expression as a critical marker for tumor progression, migration, and metastasis in various malignancies. This study aimed to evaluate CD146 immunohistochemical expression in various gynecological cancers.</p><p><strong>Materials and methods: </strong>This study was conducted in a tertiary medical center in central India. A total of 49 gynecological cancer cases and 16 site-matched controls were included. The cases comprised 27 cervical, 10 endometrial, 10 ovarian, and two miscellaneous cancers. CD146 immunohistochemistry was performed and assessed for immunoreactivity score (IRS), microvascular density (MVD), and microvascular caliber (MVC). An IRS of 5 or more was considered CD146 positive.</p><p><strong>Results: </strong>The p-values for CD146 positivity for cases vs. control were 0.0531, 0.0580, and 0.007 for cervical, endometrial, and ovarian sites, respectively. The mean MVD was found to be significantly higher in cases compared with benign tissues (p-value <0.00001), and the mean MVC of cases was found to be smaller when compared with the controls (p-value <0.0001).</p><p><strong>Conclusion: </strong>MVD by CD146 was found to be higher in gynecological malignancies, highlighting its role in cancer neo-angiogenesis and its potential therapeutic role. CD146 epithelial expression was also significantly higher in ovarian cancers. Further studies with a larger sample size are required to confirm that this protein may be a potential theognostic target in gynecological cancers.</p>","PeriodicalId":45340,"journal":{"name":"Turkish Journal of Obstetrics and Gynecology","volume":"21 1","pages":"43-50"},"PeriodicalIF":1.3000,"publicationDate":"2024-03-04","publicationTypes":"Journal Article","fieldsOfStudy":null,"isOpenAccess":false,"openAccessPdf":"https://www.ncbi.nlm.nih.gov/pmc/articles/PMC10920970/pdf/","citationCount":"0","resultStr":"{\"title\":\"Evaluation of the diagnostic utility of MCAM-1 (CD146) in a group of common gynecological cancers: A case-control study.\",\"authors\":\"Amit Kumar, Ujjawal Khurana, Rashmi Chowdhary, Ajay Halder, Neelkamal Kapoor\",\"doi\":\"10.4274/tjod.galenos.2024.38265\",\"DOIUrl\":null,\"url\":null,\"abstract\":\"<p><strong>Objective: </strong>MCAM-1 (CD146) is an endothelial cell adhesion molecule belonging to the immunoglobulin superfamily. Recent studies have identified CD146 expression as a critical marker for tumor progression, migration, and metastasis in various malignancies. This study aimed to evaluate CD146 immunohistochemical expression in various gynecological cancers.</p><p><strong>Materials and methods: </strong>This study was conducted in a tertiary medical center in central India. A total of 49 gynecological cancer cases and 16 site-matched controls were included. The cases comprised 27 cervical, 10 endometrial, 10 ovarian, and two miscellaneous cancers. CD146 immunohistochemistry was performed and assessed for immunoreactivity score (IRS), microvascular density (MVD), and microvascular caliber (MVC). An IRS of 5 or more was considered CD146 positive.</p><p><strong>Results: </strong>The p-values for CD146 positivity for cases vs. control were 0.0531, 0.0580, and 0.007 for cervical, endometrial, and ovarian sites, respectively. The mean MVD was found to be significantly higher in cases compared with benign tissues (p-value <0.00001), and the mean MVC of cases was found to be smaller when compared with the controls (p-value <0.0001).</p><p><strong>Conclusion: </strong>MVD by CD146 was found to be higher in gynecological malignancies, highlighting its role in cancer neo-angiogenesis and its potential therapeutic role. CD146 epithelial expression was also significantly higher in ovarian cancers. Further studies with a larger sample size are required to confirm that this protein may be a potential theognostic target in gynecological cancers.</p>\",\"PeriodicalId\":45340,\"journal\":{\"name\":\"Turkish Journal of Obstetrics and Gynecology\",\"volume\":\"21 1\",\"pages\":\"43-50\"},\"PeriodicalIF\":1.3000,\"publicationDate\":\"2024-03-04\",\"publicationTypes\":\"Journal Article\",\"fieldsOfStudy\":null,\"isOpenAccess\":false,\"openAccessPdf\":\"https://www.ncbi.nlm.nih.gov/pmc/articles/PMC10920970/pdf/\",\"citationCount\":\"0\",\"resultStr\":null,\"platform\":\"Semanticscholar\",\"paperid\":null,\"PeriodicalName\":\"Turkish Journal of Obstetrics and Gynecology\",\"FirstCategoryId\":\"1085\",\"ListUrlMain\":\"https://doi.org/10.4274/tjod.galenos.2024.38265\",\"RegionNum\":0,\"RegionCategory\":null,\"ArticlePicture\":[],\"TitleCN\":null,\"AbstractTextCN\":null,\"PMCID\":null,\"EPubDate\":\"\",\"PubModel\":\"\",\"JCR\":\"Q4\",\"JCRName\":\"OBSTETRICS & GYNECOLOGY\",\"Score\":null,\"Total\":0}","platform":"Semanticscholar","paperid":null,"PeriodicalName":"Turkish Journal of Obstetrics and Gynecology","FirstCategoryId":"1085","ListUrlMain":"https://doi.org/10.4274/tjod.galenos.2024.38265","RegionNum":0,"RegionCategory":null,"ArticlePicture":[],"TitleCN":null,"AbstractTextCN":null,"PMCID":null,"EPubDate":"","PubModel":"","JCR":"Q4","JCRName":"OBSTETRICS & GYNECOLOGY","Score":null,"Total":0}
引用次数: 0

摘要

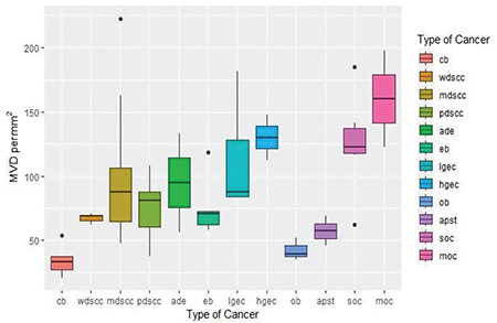
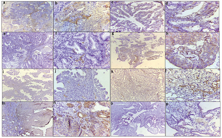
目的MCAM-1 (CD146) 是一种内皮细胞粘附分子,属于免疫球蛋白超家族。最近的研究发现,CD146 的表达是各种恶性肿瘤中肿瘤进展、迁移和转移的关键标志物。本研究旨在评估 CD146 在各种妇科癌症中的免疫组化表达:本研究在印度中部的一家三级医疗中心进行。共纳入 49 例妇科癌症病例和 16 例地点匹配对照。病例包括 27 例宫颈癌、10 例子宫内膜癌、10 例卵巢癌和 2 例其他癌症。对病例进行了 CD146 免疫组化,并评估了免疫活性评分(IRS)、微血管密度(MVD)和微血管口径(MVC)。IRS达到或超过5分为CD146阳性:在宫颈、子宫内膜和卵巢部位,病例与对照组 CD146 阳性的 p 值分别为 0.0531、0.0580 和 0.007。与良性组织相比,病例的平均 MVD 明显更高(P 值 结论):妇科恶性肿瘤中 CD146 的 MVD 值较高,这表明 CD146 在癌症新血管生成中的作用及其潜在的治疗作用。卵巢癌中 CD146 的上皮表达也明显较高。要证实该蛋白可能是妇科癌症的潜在诊断目标,还需要更多样本量的进一步研究。
本文章由计算机程序翻译,如有差异,请以英文原文为准。

Evaluation of the diagnostic utility of MCAM-1 (CD146) in a group of common gynecological cancers: A case-control study.

Evaluation of the diagnostic utility of MCAM-1 (CD146) in a group of common gynecological cancers: A case-control study.

Evaluation of the diagnostic utility of MCAM-1 (CD146) in a group of common gynecological cancers: A case-control study.

Evaluation of the diagnostic utility of MCAM-1 (CD146) in a group of common gynecological cancers: A case-control study.

Objective: MCAM-1 (CD146) is an endothelial cell adhesion molecule belonging to the immunoglobulin superfamily. Recent studies have identified CD146 expression as a critical marker for tumor progression, migration, and metastasis in various malignancies. This study aimed to evaluate CD146 immunohistochemical expression in various gynecological cancers.

Materials and methods: This study was conducted in a tertiary medical center in central India. A total of 49 gynecological cancer cases and 16 site-matched controls were included. The cases comprised 27 cervical, 10 endometrial, 10 ovarian, and two miscellaneous cancers. CD146 immunohistochemistry was performed and assessed for immunoreactivity score (IRS), microvascular density (MVD), and microvascular caliber (MVC). An IRS of 5 or more was considered CD146 positive.

Results: The p-values for CD146 positivity for cases vs. control were 0.0531, 0.0580, and 0.007 for cervical, endometrial, and ovarian sites, respectively. The mean MVD was found to be significantly higher in cases compared with benign tissues (p-value <0.00001), and the mean MVC of cases was found to be smaller when compared with the controls (p-value <0.0001).

Conclusion: MVD by CD146 was found to be higher in gynecological malignancies, highlighting its role in cancer neo-angiogenesis and its potential therapeutic role. CD146 epithelial expression was also significantly higher in ovarian cancers. Further studies with a larger sample size are required to confirm that this protein may be a potential theognostic target in gynecological cancers.

求助全文
通过发布文献求助,成功后即可免费获取论文全文。 去求助
来源期刊
CiteScore
2.10
自引率
0.00%
发文量
1
×
引用
GB/T 7714-2015
复制
MLA
复制
APA
复制
导出至
BibTeX EndNote RefMan NoteFirst NoteExpress
×
提示
您的信息不完整,为了账户安全,请先补充。
现在去补充
×
提示
您因"违规操作"
具体请查看互助需知
我知道了
×
提示
确定
请完成安全验证×
copy
已复制链接
快去分享给好友吧!
我知道了
右上角分享
点击右上角分享
0
联系我们:info@booksci.cn Book学术提供免费学术资源搜索服务,方便国内外学者检索中英文文献。致力于提供最便捷和优质的服务体验。 Copyright © 2023 布克学术 All rights reserved.
京ICP备2023020795号-1
ghs 京公网安备 11010802042870号
Book学术文献互助
Book学术文献互助群
群 号:604180095
Book学术官方微信