对一例罕见的伴有面部大面积瘢痕的完全性原发性厚皮病的综合治疗:病例报告与文献综述

IF 0.8 Q4 DERMATOLOGY
Case Reports in Dermatology Pub Date : 2024-03-04 eCollection Date: 2024-01-01 DOI:10.1159/000536550
Haibo Zhao, Jianglin Zhang, Renliang He, Linlin Bao
{"title":"对一例罕见的伴有面部大面积瘢痕的完全性原发性厚皮病的综合治疗:病例报告与文献综述","authors":"Haibo Zhao, Jianglin Zhang, Renliang He, Linlin Bao","doi":"10.1159/000536550","DOIUrl":null,"url":null,"abstract":"<p><strong>Introduction: </strong>Pachydermoperiostosis (PDP), or primary hypertrophic osteoarthropathy, is a rare autosomal dominant disease with primary clinical features of pachydermia (thickening of skin) and periostosis (new bone formation). Keloid scar formation is also rather obscure, and some scientists have claimed that keloid scars contain an excessive amount of fibroblasts compared with normal skin as well as a dense mass of irregularly deposited connective tissues.</p><p><strong>Case presentation: </strong>A 25-year-old man exhibited extensive skin folding on his face, a gyrus-like scalp, depressed nasolabial folds, and keloids. Symptoms began at 18 years of age, progressing insidiously. Additionally, he experienced clubbing of fingers and toes, joint pain, muscle soreness, and hyperhidrosis. Radiographic examinations revealed thickened bone and cystic regions. Diagnosed with complete primary PDP and facial keloid scars, he underwent skin dermabrasion, biopsies, and a comprehensive treatment involving, botulinum toxin injections, 5-fluorouracil, and a carbon dioxide lattice laser.</p><p><strong>Conclusion: </strong>PDP presents challenges due to its unclear etiology but stabilizes over time in most cases. Comprehensive treatment strategies, including dermabrasion and a combination of intralesional therapies, are effective in managing keloids in PDP patients. This case contributes to the understanding of managing rare diseases and underscores the importance of personalized approaches to improve therapeutic outcomes in patients with complete primary PDP and concurrent keloids.</p>","PeriodicalId":9619,"journal":{"name":"Case Reports in Dermatology","volume":"16 1","pages":"63-69"},"PeriodicalIF":0.8000,"publicationDate":"2024-03-04","publicationTypes":"Journal Article","fieldsOfStudy":null,"isOpenAccess":false,"openAccessPdf":"https://www.ncbi.nlm.nih.gov/pmc/articles/PMC10911786/pdf/","citationCount":"0","resultStr":"{\"title\":\"Comprehensive Treatment of a Rare Case of Complete Primary Pachydermoperiostosis with Large Facial Keloid Scars: A Case Report and Literature Review.\",\"authors\":\"Haibo Zhao, Jianglin Zhang, Renliang He, Linlin Bao\",\"doi\":\"10.1159/000536550\",\"DOIUrl\":null,\"url\":null,\"abstract\":\"<p><strong>Introduction: </strong>Pachydermoperiostosis (PDP), or primary hypertrophic osteoarthropathy, is a rare autosomal dominant disease with primary clinical features of pachydermia (thickening of skin) and periostosis (new bone formation). Keloid scar formation is also rather obscure, and some scientists have claimed that keloid scars contain an excessive amount of fibroblasts compared with normal skin as well as a dense mass of irregularly deposited connective tissues.</p><p><strong>Case presentation: </strong>A 25-year-old man exhibited extensive skin folding on his face, a gyrus-like scalp, depressed nasolabial folds, and keloids. Symptoms began at 18 years of age, progressing insidiously. Additionally, he experienced clubbing of fingers and toes, joint pain, muscle soreness, and hyperhidrosis. Radiographic examinations revealed thickened bone and cystic regions. Diagnosed with complete primary PDP and facial keloid scars, he underwent skin dermabrasion, biopsies, and a comprehensive treatment involving, botulinum toxin injections, 5-fluorouracil, and a carbon dioxide lattice laser.</p><p><strong>Conclusion: </strong>PDP presents challenges due to its unclear etiology but stabilizes over time in most cases. Comprehensive treatment strategies, including dermabrasion and a combination of intralesional therapies, are effective in managing keloids in PDP patients. This case contributes to the understanding of managing rare diseases and underscores the importance of personalized approaches to improve therapeutic outcomes in patients with complete primary PDP and concurrent keloids.</p>\",\"PeriodicalId\":9619,\"journal\":{\"name\":\"Case Reports in Dermatology\",\"volume\":\"16 1\",\"pages\":\"63-69\"},\"PeriodicalIF\":0.8000,\"publicationDate\":\"2024-03-04\",\"publicationTypes\":\"Journal Article\",\"fieldsOfStudy\":null,\"isOpenAccess\":false,\"openAccessPdf\":\"https://www.ncbi.nlm.nih.gov/pmc/articles/PMC10911786/pdf/\",\"citationCount\":\"0\",\"resultStr\":null,\"platform\":\"Semanticscholar\",\"paperid\":null,\"PeriodicalName\":\"Case Reports in Dermatology\",\"FirstCategoryId\":\"1085\",\"ListUrlMain\":\"https://doi.org/10.1159/000536550\",\"RegionNum\":0,\"RegionCategory\":null,\"ArticlePicture\":[],\"TitleCN\":null,\"AbstractTextCN\":null,\"PMCID\":null,\"EPubDate\":\"2024/1/1 0:00:00\",\"PubModel\":\"eCollection\",\"JCR\":\"Q4\",\"JCRName\":\"DERMATOLOGY\",\"Score\":null,\"Total\":0}","platform":"Semanticscholar","paperid":null,"PeriodicalName":"Case Reports in Dermatology","FirstCategoryId":"1085","ListUrlMain":"https://doi.org/10.1159/000536550","RegionNum":0,"RegionCategory":null,"ArticlePicture":[],"TitleCN":null,"AbstractTextCN":null,"PMCID":null,"EPubDate":"2024/1/1 0:00:00","PubModel":"eCollection","JCR":"Q4","JCRName":"DERMATOLOGY","Score":null,"Total":0}
引用次数: 0

摘要

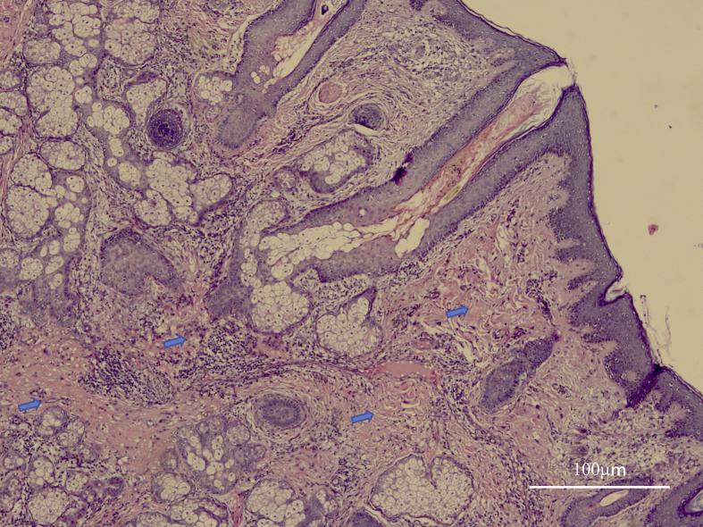
简介:糙皮病(PDP)或原发性肥厚性骨关节病是一种罕见的常染色体显性遗传病,主要临床特征为糙皮病(皮肤增厚)和骨膜增生症(新骨形成)。瘢痕疙瘩的形成也相当模糊,一些科学家声称,与正常皮肤相比,瘢痕疙瘩疤痕含有过多的成纤维细胞,以及密集的不规则沉积结缔组织:一名 25 岁的男子面部皮肤出现大面积褶皱,头皮呈回字形,鼻唇沟凹陷,并伴有瘢痕疙瘩。症状始于 18 岁,隐匿性进展。此外,他还出现了手指和脚趾弯曲、关节疼痛、肌肉酸痛和多汗症。影像学检查发现骨质增生和囊性区域。他被诊断为完全性原发性 PDP 和面部瘢痕疙瘩,接受了皮肤磨削术、活组织检查和综合治疗,包括肉毒杆菌毒素注射、5-氟尿嘧啶和二氧化碳激光治疗:结论:由于病因不明确,PDP 给治疗带来了挑战,但在大多数病例中,PDP 会随着时间的推移而趋于稳定。综合治疗策略,包括磨皮术和区域内综合疗法,可有效控制 PDP 患者的瘢痕疙瘩。本病例有助于人们了解罕见疾病的治疗,并强调了个性化治疗方法对改善原发性完全性瘢痕疙瘩和并发瘢痕疙瘩患者治疗效果的重要性。
本文章由计算机程序翻译,如有差异,请以英文原文为准。

Comprehensive Treatment of a Rare Case of Complete Primary Pachydermoperiostosis with Large Facial Keloid Scars: A Case Report and Literature Review.

Comprehensive Treatment of a Rare Case of Complete Primary Pachydermoperiostosis with Large Facial Keloid Scars: A Case Report and Literature Review.

Comprehensive Treatment of a Rare Case of Complete Primary Pachydermoperiostosis with Large Facial Keloid Scars: A Case Report and Literature Review.

Comprehensive Treatment of a Rare Case of Complete Primary Pachydermoperiostosis with Large Facial Keloid Scars: A Case Report and Literature Review.

Introduction: Pachydermoperiostosis (PDP), or primary hypertrophic osteoarthropathy, is a rare autosomal dominant disease with primary clinical features of pachydermia (thickening of skin) and periostosis (new bone formation). Keloid scar formation is also rather obscure, and some scientists have claimed that keloid scars contain an excessive amount of fibroblasts compared with normal skin as well as a dense mass of irregularly deposited connective tissues.

Case presentation: A 25-year-old man exhibited extensive skin folding on his face, a gyrus-like scalp, depressed nasolabial folds, and keloids. Symptoms began at 18 years of age, progressing insidiously. Additionally, he experienced clubbing of fingers and toes, joint pain, muscle soreness, and hyperhidrosis. Radiographic examinations revealed thickened bone and cystic regions. Diagnosed with complete primary PDP and facial keloid scars, he underwent skin dermabrasion, biopsies, and a comprehensive treatment involving, botulinum toxin injections, 5-fluorouracil, and a carbon dioxide lattice laser.

Conclusion: PDP presents challenges due to its unclear etiology but stabilizes over time in most cases. Comprehensive treatment strategies, including dermabrasion and a combination of intralesional therapies, are effective in managing keloids in PDP patients. This case contributes to the understanding of managing rare diseases and underscores the importance of personalized approaches to improve therapeutic outcomes in patients with complete primary PDP and concurrent keloids.

求助全文
通过发布文献求助,成功后即可免费获取论文全文。 去求助
来源期刊
CiteScore
1.60
自引率
0.00%
发文量
57
审稿时长
9 weeks
×
引用
GB/T 7714-2015
复制
MLA
复制
APA
复制
导出至
BibTeX EndNote RefMan NoteFirst NoteExpress
×
提示
您的信息不完整,为了账户安全,请先补充。
现在去补充
×
提示
您因"违规操作"
具体请查看互助需知
我知道了
×
提示
确定
请完成安全验证×
copy
已复制链接
快去分享给好友吧!
我知道了
右上角分享
点击右上角分享
0
联系我们:info@booksci.cn Book学术提供免费学术资源搜索服务,方便国内外学者检索中英文文献。致力于提供最便捷和优质的服务体验。 Copyright © 2023 布克学术 All rights reserved.
京ICP备2023020795号-1
ghs 京公网安备 11010802042870号
Book学术文献互助
Book学术文献互助群
群 号:604180095
Book学术官方微信