Brentuximab Vedotin治疗HIV阳性ALK阴性无细胞大细胞淋巴瘤后的孤立性中枢神经系统受累。

IF 0.7 Q4 HEMATOLOGY
Case Reports in Hematology Pub Date : 2024-02-22 eCollection Date: 2024-01-01 DOI:10.1155/2024/5534556
Takuya Suyama, Kumiko Matsui, Kosuke Makihara, Masatoshi Tsuru
{"title":"Brentuximab Vedotin治疗HIV阳性ALK阴性无细胞大细胞淋巴瘤后的孤立性中枢神经系统受累。","authors":"Takuya Suyama, Kumiko Matsui, Kosuke Makihara, Masatoshi Tsuru","doi":"10.1155/2024/5534556","DOIUrl":null,"url":null,"abstract":"<p><p>Human immunodeficiency virus (HIV)-associated lymphoma poses a high mortality risk despite antiretroviral therapy (ART). Although intermediate- or high-grade B-cell lymphomas are common, anaplastic large-cell lymphomas (ALCLs) are rare and seldom affect the central nervous system (CNS). Herein, we present a case of HIV-associated ALCL with isolated CNS involvement that occurred following the discontinuation of ART that was administered after treatment with brentuximab vedotin (BV)-which does not cross the blood-brain barrier. At the time of CNS recurrence, the patient's CD4 count was 9 cells/mm<sup>3</sup>. This is the first report of CNS recurrence in HIV-associated ALCL. Considering the high risk of CNS relapse, we suggest initiating CNS prophylaxis in cases of HIV-associated ALCL, particularly in patients receiving CNS-impermeable agents such as BV.</p>","PeriodicalId":46307,"journal":{"name":"Case Reports in Hematology","volume":"2024 ","pages":"5534556"},"PeriodicalIF":0.7000,"publicationDate":"2024-02-22","publicationTypes":"Journal Article","fieldsOfStudy":null,"isOpenAccess":false,"openAccessPdf":"https://www.ncbi.nlm.nih.gov/pmc/articles/PMC10904676/pdf/","citationCount":"0","resultStr":"{\"title\":\"Isolated Central Nervous System Involvement after Brentuximab Vedotin Treatment for HIV-Positive ALK-Negative Anaplastic Large Cell Lymphoma.\",\"authors\":\"Takuya Suyama, Kumiko Matsui, Kosuke Makihara, Masatoshi Tsuru\",\"doi\":\"10.1155/2024/5534556\",\"DOIUrl\":null,\"url\":null,\"abstract\":\"<p><p>Human immunodeficiency virus (HIV)-associated lymphoma poses a high mortality risk despite antiretroviral therapy (ART). Although intermediate- or high-grade B-cell lymphomas are common, anaplastic large-cell lymphomas (ALCLs) are rare and seldom affect the central nervous system (CNS). Herein, we present a case of HIV-associated ALCL with isolated CNS involvement that occurred following the discontinuation of ART that was administered after treatment with brentuximab vedotin (BV)-which does not cross the blood-brain barrier. At the time of CNS recurrence, the patient's CD4 count was 9 cells/mm<sup>3</sup>. This is the first report of CNS recurrence in HIV-associated ALCL. Considering the high risk of CNS relapse, we suggest initiating CNS prophylaxis in cases of HIV-associated ALCL, particularly in patients receiving CNS-impermeable agents such as BV.</p>\",\"PeriodicalId\":46307,\"journal\":{\"name\":\"Case Reports in Hematology\",\"volume\":\"2024 \",\"pages\":\"5534556\"},\"PeriodicalIF\":0.7000,\"publicationDate\":\"2024-02-22\",\"publicationTypes\":\"Journal Article\",\"fieldsOfStudy\":null,\"isOpenAccess\":false,\"openAccessPdf\":\"https://www.ncbi.nlm.nih.gov/pmc/articles/PMC10904676/pdf/\",\"citationCount\":\"0\",\"resultStr\":null,\"platform\":\"Semanticscholar\",\"paperid\":null,\"PeriodicalName\":\"Case Reports in Hematology\",\"FirstCategoryId\":\"1085\",\"ListUrlMain\":\"https://doi.org/10.1155/2024/5534556\",\"RegionNum\":0,\"RegionCategory\":null,\"ArticlePicture\":[],\"TitleCN\":null,\"AbstractTextCN\":null,\"PMCID\":null,\"EPubDate\":\"2024/1/1 0:00:00\",\"PubModel\":\"eCollection\",\"JCR\":\"Q4\",\"JCRName\":\"HEMATOLOGY\",\"Score\":null,\"Total\":0}","platform":"Semanticscholar","paperid":null,"PeriodicalName":"Case Reports in Hematology","FirstCategoryId":"1085","ListUrlMain":"https://doi.org/10.1155/2024/5534556","RegionNum":0,"RegionCategory":null,"ArticlePicture":[],"TitleCN":null,"AbstractTextCN":null,"PMCID":null,"EPubDate":"2024/1/1 0:00:00","PubModel":"eCollection","JCR":"Q4","JCRName":"HEMATOLOGY","Score":null,"Total":0}
引用次数: 0

摘要

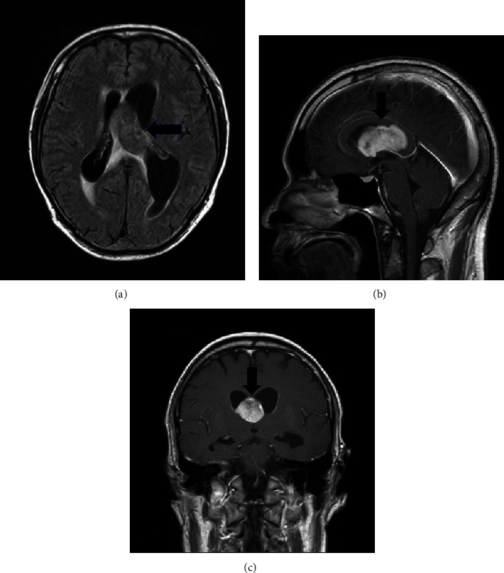
尽管采用了抗逆转录病毒疗法(ART),人类免疫缺陷病毒(HIV)相关淋巴瘤仍有很高的致死风险。虽然中度或高度B细胞淋巴瘤很常见,但无细胞大细胞淋巴瘤(ALCL)却很罕见,而且很少累及中枢神经系统(CNS)。在此,我们介绍了一例与艾滋病毒相关的孤立性中枢神经系统受累的 ALCL,该病例发生在终止抗逆转录病毒疗法后,当时正在接受布伦妥昔单抗维多汀(BV)治疗--BV 不能透过血脑屏障。中枢神经系统复发时,患者的 CD4 细胞数为 9 cells/mm3。这是首例HIV相关ALCL中枢神经系统复发的报告。考虑到中枢神经系统复发的高风险,我们建议在HIV相关ALCL病例中启动中枢神经系统预防措施,尤其是接受BV等中枢神经系统渗透性药物治疗的患者。
本文章由计算机程序翻译,如有差异,请以英文原文为准。

Isolated Central Nervous System Involvement after Brentuximab Vedotin Treatment for HIV-Positive ALK-Negative Anaplastic Large Cell Lymphoma.

Isolated Central Nervous System Involvement after Brentuximab Vedotin Treatment for HIV-Positive ALK-Negative Anaplastic Large Cell Lymphoma.

Isolated Central Nervous System Involvement after Brentuximab Vedotin Treatment for HIV-Positive ALK-Negative Anaplastic Large Cell Lymphoma.

Isolated Central Nervous System Involvement after Brentuximab Vedotin Treatment for HIV-Positive ALK-Negative Anaplastic Large Cell Lymphoma.

Human immunodeficiency virus (HIV)-associated lymphoma poses a high mortality risk despite antiretroviral therapy (ART). Although intermediate- or high-grade B-cell lymphomas are common, anaplastic large-cell lymphomas (ALCLs) are rare and seldom affect the central nervous system (CNS). Herein, we present a case of HIV-associated ALCL with isolated CNS involvement that occurred following the discontinuation of ART that was administered after treatment with brentuximab vedotin (BV)-which does not cross the blood-brain barrier. At the time of CNS recurrence, the patient's CD4 count was 9 cells/mm3. This is the first report of CNS recurrence in HIV-associated ALCL. Considering the high risk of CNS relapse, we suggest initiating CNS prophylaxis in cases of HIV-associated ALCL, particularly in patients receiving CNS-impermeable agents such as BV.

求助全文
通过发布文献求助,成功后即可免费获取论文全文。 去求助
来源期刊
自引率
0.00%
发文量
51
审稿时长
13 weeks
×
引用
GB/T 7714-2015
复制
MLA
复制
APA
复制
导出至
BibTeX EndNote RefMan NoteFirst NoteExpress
×
提示
您的信息不完整,为了账户安全,请先补充。
现在去补充
×
提示
您因"违规操作"
具体请查看互助需知
我知道了
×
提示
确定
请完成安全验证×
copy
已复制链接
快去分享给好友吧!
我知道了
右上角分享
点击右上角分享
0
联系我们:info@booksci.cn Book学术提供免费学术资源搜索服务,方便国内外学者检索中英文文献。致力于提供最便捷和优质的服务体验。 Copyright © 2023 布克学术 All rights reserved.
京ICP备2023020795号-1
ghs 京公网安备 11010802042870号
Book学术文献互助
Book学术文献互助群
群 号:604180095
Book学术官方微信