一名有溃疡性结肠炎病史的 55 岁女性偶然发现的肝脏反应性淋巴样增生症

IF 0.5 Q4 SURGERY
Case Reports in Surgery Pub Date : 2024-02-22 eCollection Date: 2024-01-01 DOI:10.1155/2024/9863411
Noritoshi Mizuta, Takuya Kikuchi, Shunsuke Kusano, Nobuya Sano
{"title":"一名有溃疡性结肠炎病史的 55 岁女性偶然发现的肝脏反应性淋巴样增生症","authors":"Noritoshi Mizuta, Takuya Kikuchi, Shunsuke Kusano, Nobuya Sano","doi":"10.1155/2024/9863411","DOIUrl":null,"url":null,"abstract":"<p><p>Reactive lymphoid hyperplasia (RLH) is a benign disease, rarely occurring in the liver. Reactive immune phenomenon has been reported in association with its occurrence, but the true pathogenesis is unknown. No case was reported in association with inflammatory bowel disease. We report a case of RLH of the liver in a patient with ulcerative colitis (UC). A 55-year-old woman with UC went to the outpatient clinic with abdominal pain, and antibiotics were prescribed with diagnosis of acute appendicitis. Imaging study detected a mass in the liver but ruled out appendicitis. She was referred to our hospital for further examination after pain improving. A 12 mm hypoechoic mass was detected in the liver on ultrasonography. There were no typical malignant findings on computed tomography and magnetic resonance imaging. Regular image follow-up was recommended, but the patient strongly requested surgery because of family history of malignant disease. Laparoscopic partial hepatectomy was performed. Histopathological findings revealed a conglomerate hyperplasia of lymphoid follicles with germinal centers. Infiltrating lymphocytes were non-neoplastic. Final diagnosis was RLH of the liver. UC is chronic inflammatory bowel disease and may be related to RLH, but there is no clear explanation at this point. This is the first known reported case of RLH of the liver in a patient with UC. But the relationship between the RLH and UC remains uncertain. Further investigation and case accumulation are necessary.</p>","PeriodicalId":9600,"journal":{"name":"Case Reports in Surgery","volume":"2024 ","pages":"9863411"},"PeriodicalIF":0.5000,"publicationDate":"2024-02-22","publicationTypes":"Journal Article","fieldsOfStudy":null,"isOpenAccess":false,"openAccessPdf":"https://www.ncbi.nlm.nih.gov/pmc/articles/PMC10904678/pdf/","citationCount":"0","resultStr":"{\"title\":\"Reactive Lymphoid Hyperplasia of the Liver Incidentally Found in a 55-Year-Old Woman with a History of Ulcerative Colitis.\",\"authors\":\"Noritoshi Mizuta, Takuya Kikuchi, Shunsuke Kusano, Nobuya Sano\",\"doi\":\"10.1155/2024/9863411\",\"DOIUrl\":null,\"url\":null,\"abstract\":\"<p><p>Reactive lymphoid hyperplasia (RLH) is a benign disease, rarely occurring in the liver. Reactive immune phenomenon has been reported in association with its occurrence, but the true pathogenesis is unknown. No case was reported in association with inflammatory bowel disease. We report a case of RLH of the liver in a patient with ulcerative colitis (UC). A 55-year-old woman with UC went to the outpatient clinic with abdominal pain, and antibiotics were prescribed with diagnosis of acute appendicitis. Imaging study detected a mass in the liver but ruled out appendicitis. She was referred to our hospital for further examination after pain improving. A 12 mm hypoechoic mass was detected in the liver on ultrasonography. There were no typical malignant findings on computed tomography and magnetic resonance imaging. Regular image follow-up was recommended, but the patient strongly requested surgery because of family history of malignant disease. Laparoscopic partial hepatectomy was performed. Histopathological findings revealed a conglomerate hyperplasia of lymphoid follicles with germinal centers. Infiltrating lymphocytes were non-neoplastic. Final diagnosis was RLH of the liver. UC is chronic inflammatory bowel disease and may be related to RLH, but there is no clear explanation at this point. This is the first known reported case of RLH of the liver in a patient with UC. But the relationship between the RLH and UC remains uncertain. Further investigation and case accumulation are necessary.</p>\",\"PeriodicalId\":9600,\"journal\":{\"name\":\"Case Reports in Surgery\",\"volume\":\"2024 \",\"pages\":\"9863411\"},\"PeriodicalIF\":0.5000,\"publicationDate\":\"2024-02-22\",\"publicationTypes\":\"Journal Article\",\"fieldsOfStudy\":null,\"isOpenAccess\":false,\"openAccessPdf\":\"https://www.ncbi.nlm.nih.gov/pmc/articles/PMC10904678/pdf/\",\"citationCount\":\"0\",\"resultStr\":null,\"platform\":\"Semanticscholar\",\"paperid\":null,\"PeriodicalName\":\"Case Reports in Surgery\",\"FirstCategoryId\":\"1085\",\"ListUrlMain\":\"https://doi.org/10.1155/2024/9863411\",\"RegionNum\":0,\"RegionCategory\":null,\"ArticlePicture\":[],\"TitleCN\":null,\"AbstractTextCN\":null,\"PMCID\":null,\"EPubDate\":\"2024/1/1 0:00:00\",\"PubModel\":\"eCollection\",\"JCR\":\"Q4\",\"JCRName\":\"SURGERY\",\"Score\":null,\"Total\":0}","platform":"Semanticscholar","paperid":null,"PeriodicalName":"Case Reports in Surgery","FirstCategoryId":"1085","ListUrlMain":"https://doi.org/10.1155/2024/9863411","RegionNum":0,"RegionCategory":null,"ArticlePicture":[],"TitleCN":null,"AbstractTextCN":null,"PMCID":null,"EPubDate":"2024/1/1 0:00:00","PubModel":"eCollection","JCR":"Q4","JCRName":"SURGERY","Score":null,"Total":0}
引用次数: 0

摘要

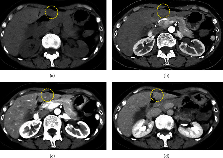
反应性淋巴细胞增生(RLH)是一种良性疾病,很少发生在肝脏。有报告称,反应性免疫现象与该病的发生有关,但真正的发病机制尚不清楚。目前还没有与炎症性肠病相关的病例报道。我们报告了一例溃疡性结肠炎(UC)患者的肝脏 RLH 病例。一名 55 岁的 UC 女性患者因腹痛前往门诊就诊,医生诊断为急性阑尾炎,并开了抗生素。影像学检查发现肝脏有肿块,但排除了阑尾炎的可能。疼痛好转后,她被转到我院接受进一步检查。超声波检查发现肝脏内有一个 12 毫米的低回声肿块。计算机断层扫描和磁共振成像没有发现典型的恶性病变。医生建议定期进行影像随访,但患者强烈要求手术治疗,因为他有家族恶性疾病史。患者接受了腹腔镜肝部分切除术。组织病理学检查结果显示,淋巴滤泡呈聚集性增生,并伴有生发中心。浸润的淋巴细胞未见新生物。最终诊断为肝脏 RLH。UC 是一种慢性炎症性肠病,可能与 RLH 有关,但目前尚无明确的解释。这是已知的首例 UC 患者肝脏 RLH 病例。但 RLH 与 UC 之间的关系仍不确定。有必要进行进一步的调查和病例积累。
本文章由计算机程序翻译,如有差异,请以英文原文为准。

Reactive Lymphoid Hyperplasia of the Liver Incidentally Found in a 55-Year-Old Woman with a History of Ulcerative Colitis.

Reactive Lymphoid Hyperplasia of the Liver Incidentally Found in a 55-Year-Old Woman with a History of Ulcerative Colitis.

Reactive Lymphoid Hyperplasia of the Liver Incidentally Found in a 55-Year-Old Woman with a History of Ulcerative Colitis.

Reactive Lymphoid Hyperplasia of the Liver Incidentally Found in a 55-Year-Old Woman with a History of Ulcerative Colitis.

Reactive lymphoid hyperplasia (RLH) is a benign disease, rarely occurring in the liver. Reactive immune phenomenon has been reported in association with its occurrence, but the true pathogenesis is unknown. No case was reported in association with inflammatory bowel disease. We report a case of RLH of the liver in a patient with ulcerative colitis (UC). A 55-year-old woman with UC went to the outpatient clinic with abdominal pain, and antibiotics were prescribed with diagnosis of acute appendicitis. Imaging study detected a mass in the liver but ruled out appendicitis. She was referred to our hospital for further examination after pain improving. A 12 mm hypoechoic mass was detected in the liver on ultrasonography. There were no typical malignant findings on computed tomography and magnetic resonance imaging. Regular image follow-up was recommended, but the patient strongly requested surgery because of family history of malignant disease. Laparoscopic partial hepatectomy was performed. Histopathological findings revealed a conglomerate hyperplasia of lymphoid follicles with germinal centers. Infiltrating lymphocytes were non-neoplastic. Final diagnosis was RLH of the liver. UC is chronic inflammatory bowel disease and may be related to RLH, but there is no clear explanation at this point. This is the first known reported case of RLH of the liver in a patient with UC. But the relationship between the RLH and UC remains uncertain. Further investigation and case accumulation are necessary.

求助全文
通过发布文献求助,成功后即可免费获取论文全文。 去求助
来源期刊
自引率
0.00%
发文量
60
审稿时长
13 weeks
×
引用
GB/T 7714-2015
复制
MLA
复制
APA
复制
导出至
BibTeX EndNote RefMan NoteFirst NoteExpress
×
提示
您的信息不完整,为了账户安全,请先补充。
现在去补充
×
提示
您因"违规操作"
具体请查看互助需知
我知道了
×
提示
确定
请完成安全验证×
copy
已复制链接
快去分享给好友吧!
我知道了
右上角分享
点击右上角分享
0
联系我们:info@booksci.cn Book学术提供免费学术资源搜索服务,方便国内外学者检索中英文文献。致力于提供最便捷和优质的服务体验。 Copyright © 2023 布克学术 All rights reserved.
京ICP备2023020795号-1
ghs 京公网安备 11010802042870号
Book学术文献互助
Book学术文献互助群
群 号:604180095
Book学术官方微信