股骨外翻Imhäuser截骨术的术前三维规划和三维手术指南的临床价值:一项回顾性研究。

IF 3.1 Q1 RADIOLOGY, NUCLEAR MEDICINE & MEDICAL IMAGING
Vera Lagerburg, Michelle van den Boorn, Sigrid Vorrink, Ihsane Amajjar, Melinda M E H Witbreuk
{"title":"股骨外翻Imhäuser截骨术的术前三维规划和三维手术指南的临床价值:一项回顾性研究。","authors":"Vera Lagerburg, Michelle van den Boorn, Sigrid Vorrink, Ihsane Amajjar, Melinda M E H Witbreuk","doi":"10.1186/s41205-024-00205-2","DOIUrl":null,"url":null,"abstract":"<p><strong>Background: </strong>Accurate repositioning of the femoral head in patients with Slipped Capital Femoral Epiphysis (SCFE) undergoing Imhäuser osteotomy is very challenging. The objective of this study is to determine if preoperative 3D planning and a 3D-printed surgical guide improve the accuracy of the placement of the femoral head.</p><p><strong>Methods: </strong>This retrospective study compared outcome parameters of patients who underwent a classic Imhäuser osteotomy from 2009 to 2013 with those who underwent an Imhäuser osteotomy using 3D preoperative planning and 3D-printed surgical guides from 2014 to 2021. The primary endpoint was improvement in Range of Motion (ROM) of the hip. Secondary outcomes were radiographic improvement (Southwick angle), patient-reported clinical outcomes regarding hip and psychosocial complaints assessed with two questionnaires and duration of surgery.</p><p><strong>Results: </strong>In the 14 patients of the 3D group radiographic improvement was slightly greater and duration of surgery was slightly shorter than in the 7 patients of the classis Imhäuser group. No difference was found in the ROM, and patient reported clinical outcomes were slightly less favourable.</p><p><strong>Conclusions: </strong>Surprisingly we didn't find a significant difference between the two groups. Further research on the use of 3D planning an 3D-printed surgical guides is needed.</p><p><strong>Trial registration: </strong>Approval for this study was obtained of the local ethics committees of both hospitals.</p>","PeriodicalId":72036,"journal":{"name":"3D printing in medicine","volume":"10 1","pages":"8"},"PeriodicalIF":3.1000,"publicationDate":"2024-03-01","publicationTypes":"Journal Article","fieldsOfStudy":null,"isOpenAccess":false,"openAccessPdf":"https://www.ncbi.nlm.nih.gov/pmc/articles/PMC10908070/pdf/","citationCount":"0","resultStr":"{\"title\":\"The clinical value of preoperative 3D planning and 3D surgical guides for Imhäuser osteotomy in slipped capital femoral epipysis: a retrospective study.\",\"authors\":\"Vera Lagerburg, Michelle van den Boorn, Sigrid Vorrink, Ihsane Amajjar, Melinda M E H Witbreuk\",\"doi\":\"10.1186/s41205-024-00205-2\",\"DOIUrl\":null,\"url\":null,\"abstract\":\"<p><strong>Background: </strong>Accurate repositioning of the femoral head in patients with Slipped Capital Femoral Epiphysis (SCFE) undergoing Imhäuser osteotomy is very challenging. The objective of this study is to determine if preoperative 3D planning and a 3D-printed surgical guide improve the accuracy of the placement of the femoral head.</p><p><strong>Methods: </strong>This retrospective study compared outcome parameters of patients who underwent a classic Imhäuser osteotomy from 2009 to 2013 with those who underwent an Imhäuser osteotomy using 3D preoperative planning and 3D-printed surgical guides from 2014 to 2021. The primary endpoint was improvement in Range of Motion (ROM) of the hip. Secondary outcomes were radiographic improvement (Southwick angle), patient-reported clinical outcomes regarding hip and psychosocial complaints assessed with two questionnaires and duration of surgery.</p><p><strong>Results: </strong>In the 14 patients of the 3D group radiographic improvement was slightly greater and duration of surgery was slightly shorter than in the 7 patients of the classis Imhäuser group. No difference was found in the ROM, and patient reported clinical outcomes were slightly less favourable.</p><p><strong>Conclusions: </strong>Surprisingly we didn't find a significant difference between the two groups. Further research on the use of 3D planning an 3D-printed surgical guides is needed.</p><p><strong>Trial registration: </strong>Approval for this study was obtained of the local ethics committees of both hospitals.</p>\",\"PeriodicalId\":72036,\"journal\":{\"name\":\"3D printing in medicine\",\"volume\":\"10 1\",\"pages\":\"8\"},\"PeriodicalIF\":3.1000,\"publicationDate\":\"2024-03-01\",\"publicationTypes\":\"Journal Article\",\"fieldsOfStudy\":null,\"isOpenAccess\":false,\"openAccessPdf\":\"https://www.ncbi.nlm.nih.gov/pmc/articles/PMC10908070/pdf/\",\"citationCount\":\"0\",\"resultStr\":null,\"platform\":\"Semanticscholar\",\"paperid\":null,\"PeriodicalName\":\"3D printing in medicine\",\"FirstCategoryId\":\"1085\",\"ListUrlMain\":\"https://doi.org/10.1186/s41205-024-00205-2\",\"RegionNum\":0,\"RegionCategory\":null,\"ArticlePicture\":[],\"TitleCN\":null,\"AbstractTextCN\":null,\"PMCID\":null,\"EPubDate\":\"\",\"PubModel\":\"\",\"JCR\":\"Q1\",\"JCRName\":\"RADIOLOGY, NUCLEAR MEDICINE & MEDICAL IMAGING\",\"Score\":null,\"Total\":0}","platform":"Semanticscholar","paperid":null,"PeriodicalName":"3D printing in medicine","FirstCategoryId":"1085","ListUrlMain":"https://doi.org/10.1186/s41205-024-00205-2","RegionNum":0,"RegionCategory":null,"ArticlePicture":[],"TitleCN":null,"AbstractTextCN":null,"PMCID":null,"EPubDate":"","PubModel":"","JCR":"Q1","JCRName":"RADIOLOGY, NUCLEAR MEDICINE & MEDICAL IMAGING","Score":null,"Total":0}
引用次数: 0

摘要

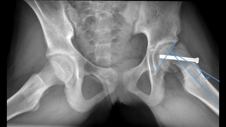
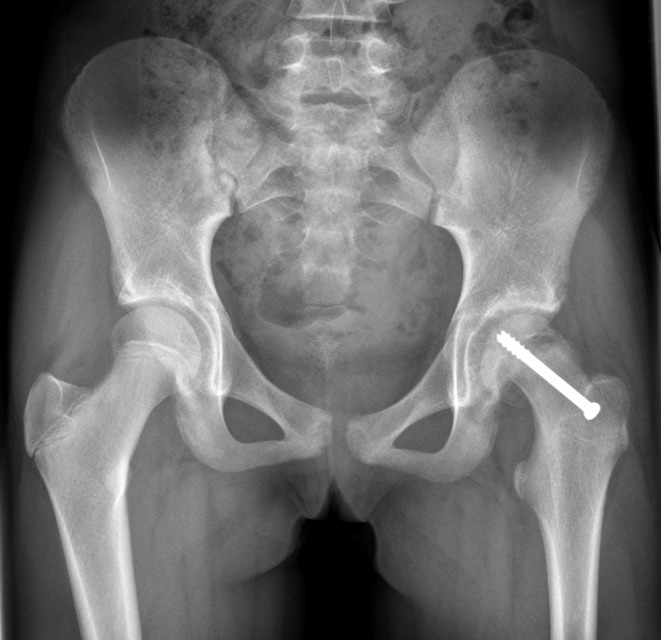
背景:对接受Imhäuser截骨术的股骨头骨骺滑脱(SCFE)患者进行股骨头的精确复位非常具有挑战性。本研究旨在确定术前三维规划和三维打印手术指南是否能提高股骨头置放的准确性:这项回顾性研究比较了2009年至2013年接受经典Imhäuser截骨术的患者与2014年至2021年接受使用3D术前规划和3D打印手术指南的Imhäuser截骨术患者的结果参数。主要终点是髋关节活动范围 (ROM) 的改善。次要结果为放射学改善(南威克角)、患者报告的髋关节临床结果、通过两份问卷评估的心理社会投诉以及手术持续时间:与经典伊姆豪瑟组的 7 名患者相比,3D 组的 14 名患者的放射学改善程度略高,手术时间略短。ROM方面没有发现差异,患者报告的临床结果稍差:令人惊讶的是,我们没有发现两组患者之间存在显著差异。我们需要对三维规划和三维打印手术导板的使用进行进一步研究:本研究获得了两家医院当地伦理委员会的批准。
本文章由计算机程序翻译,如有差异,请以英文原文为准。

The clinical value of preoperative 3D planning and 3D surgical guides for Imhäuser osteotomy in slipped capital femoral epipysis: a retrospective study.

The clinical value of preoperative 3D planning and 3D surgical guides for Imhäuser osteotomy in slipped capital femoral epipysis: a retrospective study.

The clinical value of preoperative 3D planning and 3D surgical guides for Imhäuser osteotomy in slipped capital femoral epipysis: a retrospective study.

The clinical value of preoperative 3D planning and 3D surgical guides for Imhäuser osteotomy in slipped capital femoral epipysis: a retrospective study.

Background: Accurate repositioning of the femoral head in patients with Slipped Capital Femoral Epiphysis (SCFE) undergoing Imhäuser osteotomy is very challenging. The objective of this study is to determine if preoperative 3D planning and a 3D-printed surgical guide improve the accuracy of the placement of the femoral head.

Methods: This retrospective study compared outcome parameters of patients who underwent a classic Imhäuser osteotomy from 2009 to 2013 with those who underwent an Imhäuser osteotomy using 3D preoperative planning and 3D-printed surgical guides from 2014 to 2021. The primary endpoint was improvement in Range of Motion (ROM) of the hip. Secondary outcomes were radiographic improvement (Southwick angle), patient-reported clinical outcomes regarding hip and psychosocial complaints assessed with two questionnaires and duration of surgery.

Results: In the 14 patients of the 3D group radiographic improvement was slightly greater and duration of surgery was slightly shorter than in the 7 patients of the classis Imhäuser group. No difference was found in the ROM, and patient reported clinical outcomes were slightly less favourable.

Conclusions: Surprisingly we didn't find a significant difference between the two groups. Further research on the use of 3D planning an 3D-printed surgical guides is needed.

Trial registration: Approval for this study was obtained of the local ethics committees of both hospitals.

求助全文
通过发布文献求助,成功后即可免费获取论文全文。 去求助
来源期刊
自引率
0.00%
发文量
0
审稿时长
5 weeks
×
引用
GB/T 7714-2015
复制
MLA
复制
APA
复制
导出至
BibTeX EndNote RefMan NoteFirst NoteExpress
×
提示
您的信息不完整,为了账户安全,请先补充。
现在去补充
×
提示
您因"违规操作"
具体请查看互助需知
我知道了
×
提示
确定
请完成安全验证×
copy
已复制链接
快去分享给好友吧!
我知道了
右上角分享
点击右上角分享
0
联系我们:info@booksci.cn Book学术提供免费学术资源搜索服务,方便国内外学者检索中英文文献。致力于提供最便捷和优质的服务体验。 Copyright © 2023 布克学术 All rights reserved.
京ICP备2023020795号-1
ghs 京公网安备 11010802042870号
Book学术文献互助
Book学术文献互助群
群 号:604180095
Book学术官方微信