术后硬膜外血肿是颅内肿瘤切除术后的罕见并发症:病例系列报告和原因分析。

Q2 Medicine
Minghui Zeng, Zhijin Li, Chunsheng Xia, Xufeng Cheng, Yehan Wang, Fei Wang
{"title":"术后硬膜外血肿是颅内肿瘤切除术后的罕见并发症:病例系列报告和原因分析。","authors":"Minghui Zeng, Zhijin Li, Chunsheng Xia, Xufeng Cheng, Yehan Wang, Fei Wang","doi":"10.1186/s41016-024-00359-2","DOIUrl":null,"url":null,"abstract":"<p><strong>Background: </strong>To review the treatment and the causes of postoperative epidural hematoma (PEDH) after intracranial tumor resection.</p><p><strong>Method: </strong>A retrospective case study was conducted to examine a series of patients who developed PEDH as a complication following intracranial tumor resection between January 2016 and June 2021. The study collected data from hospital charts, including clinical status at admission, imaging results, histopathologic findings, surgical management, complications, and outcomes. Causes of PEDH were evaluated through a review of operative notes and discussions with the surgical team.</p><p><strong>Results: </strong>Twenty-five patients (10 males, 15 females; median age 42 years, range 11-61 years; median medical history 27 months, range 1-96 months) were enrolled in the study. Regarding tumor location, 16 cases exhibited supratentorial brain tumors, 4 cases had infratentorial brain tumors, 2 cases of tumors occurred in the petroclival region, 2 cases in the peritorcular region, and 1 case in the pineal region. Four of these cases were complicated with supratentorial hydrocephalus. The 25 cases in this study were classified into four types based on location. Type 1 refers to EDHs that occur at the adjacent site of the operative field without involvement of the surgical area. Type 2 includes hematomas that occur at the adjacent site of the surgical area and the surgical area. Type 3 includes EDHs that occur in distant areas, and type 4 involves EDHs in the surgical field. The numbers of cases of types 1, 2, 3, and 4 PEDHs were 16, 2, 3, and 4 cases, respectively. Most PEDHs were associated with reduced ICP after craniotomy due to intracranial tumor resection and substantial loss of CSF. All patients achieved satisfactory outcomes after hematoma evacuation.</p><p><strong>Conclusion: </strong>The decrease in ICP resulting from intracranial tumor resection and CSF loss might lead to PEDHs. By employing optimized surgical techniques and meticulous patient management to prevent rapid decreases in ICP and dural detachment, we can potentially lower the incidence of PEDHs. Additionally, prompt evacuation of hematomas can contribute to positive outcomes.</p>","PeriodicalId":36700,"journal":{"name":"Chinese Neurosurgical Journal","volume":"10 1","pages":"7"},"PeriodicalIF":0.0000,"publicationDate":"2024-03-01","publicationTypes":"Journal Article","fieldsOfStudy":null,"isOpenAccess":false,"openAccessPdf":"https://www.ncbi.nlm.nih.gov/pmc/articles/PMC10905794/pdf/","citationCount":"0","resultStr":"{\"title\":\"Postoperative epidural hematoma as a rare complication after intracranial tumor resection: a case series report and causes analysis.\",\"authors\":\"Minghui Zeng, Zhijin Li, Chunsheng Xia, Xufeng Cheng, Yehan Wang, Fei Wang\",\"doi\":\"10.1186/s41016-024-00359-2\",\"DOIUrl\":null,\"url\":null,\"abstract\":\"<p><strong>Background: </strong>To review the treatment and the causes of postoperative epidural hematoma (PEDH) after intracranial tumor resection.</p><p><strong>Method: </strong>A retrospective case study was conducted to examine a series of patients who developed PEDH as a complication following intracranial tumor resection between January 2016 and June 2021. The study collected data from hospital charts, including clinical status at admission, imaging results, histopathologic findings, surgical management, complications, and outcomes. Causes of PEDH were evaluated through a review of operative notes and discussions with the surgical team.</p><p><strong>Results: </strong>Twenty-five patients (10 males, 15 females; median age 42 years, range 11-61 years; median medical history 27 months, range 1-96 months) were enrolled in the study. Regarding tumor location, 16 cases exhibited supratentorial brain tumors, 4 cases had infratentorial brain tumors, 2 cases of tumors occurred in the petroclival region, 2 cases in the peritorcular region, and 1 case in the pineal region. Four of these cases were complicated with supratentorial hydrocephalus. The 25 cases in this study were classified into four types based on location. Type 1 refers to EDHs that occur at the adjacent site of the operative field without involvement of the surgical area. Type 2 includes hematomas that occur at the adjacent site of the surgical area and the surgical area. Type 3 includes EDHs that occur in distant areas, and type 4 involves EDHs in the surgical field. The numbers of cases of types 1, 2, 3, and 4 PEDHs were 16, 2, 3, and 4 cases, respectively. Most PEDHs were associated with reduced ICP after craniotomy due to intracranial tumor resection and substantial loss of CSF. All patients achieved satisfactory outcomes after hematoma evacuation.</p><p><strong>Conclusion: </strong>The decrease in ICP resulting from intracranial tumor resection and CSF loss might lead to PEDHs. By employing optimized surgical techniques and meticulous patient management to prevent rapid decreases in ICP and dural detachment, we can potentially lower the incidence of PEDHs. Additionally, prompt evacuation of hematomas can contribute to positive outcomes.</p>\",\"PeriodicalId\":36700,\"journal\":{\"name\":\"Chinese Neurosurgical Journal\",\"volume\":\"10 1\",\"pages\":\"7\"},\"PeriodicalIF\":0.0000,\"publicationDate\":\"2024-03-01\",\"publicationTypes\":\"Journal Article\",\"fieldsOfStudy\":null,\"isOpenAccess\":false,\"openAccessPdf\":\"https://www.ncbi.nlm.nih.gov/pmc/articles/PMC10905794/pdf/\",\"citationCount\":\"0\",\"resultStr\":null,\"platform\":\"Semanticscholar\",\"paperid\":null,\"PeriodicalName\":\"Chinese Neurosurgical Journal\",\"FirstCategoryId\":\"3\",\"ListUrlMain\":\"https://doi.org/10.1186/s41016-024-00359-2\",\"RegionNum\":0,\"RegionCategory\":null,\"ArticlePicture\":[],\"TitleCN\":null,\"AbstractTextCN\":null,\"PMCID\":null,\"EPubDate\":\"\",\"PubModel\":\"\",\"JCR\":\"Q2\",\"JCRName\":\"Medicine\",\"Score\":null,\"Total\":0}","platform":"Semanticscholar","paperid":null,"PeriodicalName":"Chinese Neurosurgical Journal","FirstCategoryId":"3","ListUrlMain":"https://doi.org/10.1186/s41016-024-00359-2","RegionNum":0,"RegionCategory":null,"ArticlePicture":[],"TitleCN":null,"AbstractTextCN":null,"PMCID":null,"EPubDate":"","PubModel":"","JCR":"Q2","JCRName":"Medicine","Score":null,"Total":0}
引用次数: 0

摘要

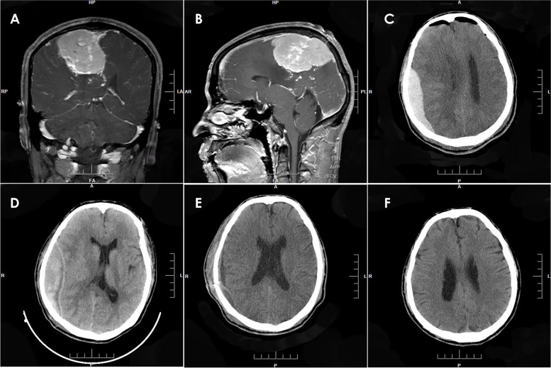
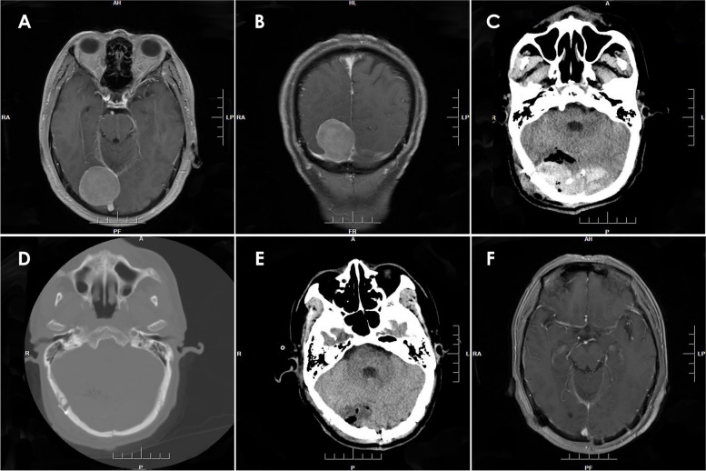
背景:研究目的回顾颅内肿瘤切除术后硬膜外血肿(PEDH)的治疗方法和原因:方法:对2016年1月至2021年6月期间颅内肿瘤切除术后并发硬膜外血肿的一系列患者进行回顾性病例研究。研究从医院病历中收集数据,包括入院时的临床状态、影像学结果、组织病理学结果、手术治疗、并发症和预后。通过回顾手术记录和与手术团队讨论,评估了PEDH的病因:研究共纳入 25 例患者(10 例男性,15 例女性;中位年龄 42 岁,11-61 岁;中位病史 27 个月,1-96 个月)。肿瘤位置方面,16 例为幕上脑肿瘤,4 例为幕下脑肿瘤,2 例肿瘤发生在瓣膜区,2 例发生在眼周,1 例发生在松果体区。其中 4 例并发上脑积水。本研究中的 25 例病例根据位置分为四种类型。第 1 类是指发生在手术区域邻近部位而未累及手术区域的 EDH。类型 2 包括发生在手术区域和手术区域邻近部位的血肿。第 3 类包括发生在远处的 EDH,第 4 类涉及手术区域内的 EDH。1 型、2 型、3 型和 4 型 PEDH 的病例数分别为 16 例、2 例、3 例和 4 例。大多数 PEDH 与开颅手术后因颅内肿瘤切除和 CSF 大量丢失导致的 ICP 降低有关。所有患者在血肿清除后都获得了满意的结果:结论:颅内肿瘤切除和 CSF 丢失导致的 ICP 下降可能会引发 PEDHs。通过采用优化的手术技术和细致的患者管理来防止ICP急剧下降和硬脑膜脱落,我们有可能降低PEDHs的发生率。此外,及时清除血肿也有助于取得良好的疗效。
本文章由计算机程序翻译,如有差异,请以英文原文为准。

Postoperative epidural hematoma as a rare complication after intracranial tumor resection: a case series report and causes analysis.

Postoperative epidural hematoma as a rare complication after intracranial tumor resection: a case series report and causes analysis.

Postoperative epidural hematoma as a rare complication after intracranial tumor resection: a case series report and causes analysis.

Postoperative epidural hematoma as a rare complication after intracranial tumor resection: a case series report and causes analysis.

Background: To review the treatment and the causes of postoperative epidural hematoma (PEDH) after intracranial tumor resection.

Method: A retrospective case study was conducted to examine a series of patients who developed PEDH as a complication following intracranial tumor resection between January 2016 and June 2021. The study collected data from hospital charts, including clinical status at admission, imaging results, histopathologic findings, surgical management, complications, and outcomes. Causes of PEDH were evaluated through a review of operative notes and discussions with the surgical team.

Results: Twenty-five patients (10 males, 15 females; median age 42 years, range 11-61 years; median medical history 27 months, range 1-96 months) were enrolled in the study. Regarding tumor location, 16 cases exhibited supratentorial brain tumors, 4 cases had infratentorial brain tumors, 2 cases of tumors occurred in the petroclival region, 2 cases in the peritorcular region, and 1 case in the pineal region. Four of these cases were complicated with supratentorial hydrocephalus. The 25 cases in this study were classified into four types based on location. Type 1 refers to EDHs that occur at the adjacent site of the operative field without involvement of the surgical area. Type 2 includes hematomas that occur at the adjacent site of the surgical area and the surgical area. Type 3 includes EDHs that occur in distant areas, and type 4 involves EDHs in the surgical field. The numbers of cases of types 1, 2, 3, and 4 PEDHs were 16, 2, 3, and 4 cases, respectively. Most PEDHs were associated with reduced ICP after craniotomy due to intracranial tumor resection and substantial loss of CSF. All patients achieved satisfactory outcomes after hematoma evacuation.

Conclusion: The decrease in ICP resulting from intracranial tumor resection and CSF loss might lead to PEDHs. By employing optimized surgical techniques and meticulous patient management to prevent rapid decreases in ICP and dural detachment, we can potentially lower the incidence of PEDHs. Additionally, prompt evacuation of hematomas can contribute to positive outcomes.

求助全文
通过发布文献求助,成功后即可免费获取论文全文。 去求助
来源期刊
CiteScore
2.70
自引率
0.00%
发文量
224
审稿时长
10 weeks
×
引用
GB/T 7714-2015
复制
MLA
复制
APA
复制
导出至
BibTeX EndNote RefMan NoteFirst NoteExpress
×
提示
您的信息不完整,为了账户安全,请先补充。
现在去补充
×
提示
您因"违规操作"
具体请查看互助需知
我知道了
×
提示
确定
请完成安全验证×
copy
已复制链接
快去分享给好友吧!
我知道了
右上角分享
点击右上角分享
0
联系我们:info@booksci.cn Book学术提供免费学术资源搜索服务,方便国内外学者检索中英文文献。致力于提供最便捷和优质的服务体验。 Copyright © 2023 布克学术 All rights reserved.
京ICP备2023020795号-1
ghs 京公网安备 11010802042870号
Book学术文献互助
Book学术文献互助群
群 号:604180095
Book学术官方微信