一例外周 T 细胞淋巴瘤患者出现了与治疗相关的骨髓增生异常综合征,并进行了第二次自体移植。

IF 1.4 Q4 HEMATOLOGY
Shun-Ichiro Nakagawa, Yuki Nukii, Kanako Mochizuki, Akio Uchiyama, Yoshinobu Maeda, Toshiro Kurokawa
{"title":"一例外周 T 细胞淋巴瘤患者出现了与治疗相关的骨髓增生异常综合征,并进行了第二次自体移植。","authors":"Shun-Ichiro Nakagawa, Yuki Nukii, Kanako Mochizuki, Akio Uchiyama, Yoshinobu Maeda, Toshiro Kurokawa","doi":"10.3960/jslrt.23054","DOIUrl":null,"url":null,"abstract":"<p><p>We report a case of therapy-related myelodysplastic syndrome (MDS), which developed 9 years after autologous peripheral blood stem cell transplantation (PBSCT) for peripheral T-cell lymphoma, not otherwise specified (PTCL-NOS). A 65-year-old male was diagnosed with PTCL-NOS. After 6 cycles of the CHOP (cyclophosphamide [CPA], doxorubicin, vincristine, and prednisone) regimen, he achieved a first complete response (CR). He relapsed 33 months later and received salvage chemotherapy, which consisted of the CHASE regimen (CPA, high-dose cytarabine, dexamethasone, and etoposide). During the recovery phase of the first cycle of CHASE, his peripheral blood stem cells (PBSCs) were harvested and frozen in 2 bags. After 2 courses of CHASE, he underwent autologous PBSCT, which involved the use of the LEED preconditioning regimen (melphalan, CPA, etoposide, and dexamethasone) and one of the frozen bags. This resulted in a second CR. At 39 months after PBSCT, he relapsed with a tumor in his right arm. After it was resected, he received eight cycles of brentuximab vedotin and 45 Gy of involved-field irradiation concurrently and achieved a third CR. Nine years after autologous PBSCT, he was diagnosed with MDS with excess blasts 2 (MDS-EB-2). His disease progressed to acute myeloid leukemia after 2 courses of azacitidine therapy. He successfully underwent a second autologous PBSCT involving the busulfan and melphalan preconditioning regimen and the other frozen bag, which had been stored for 9 years. He has been in complete cytogenetic remission for 1 year since the second autologous PBSCT.</p>","PeriodicalId":45936,"journal":{"name":"Journal of Clinical and Experimental Hematopathology","volume":" ","pages":"59-64"},"PeriodicalIF":1.4000,"publicationDate":"2024-03-28","publicationTypes":"Journal Article","fieldsOfStudy":null,"isOpenAccess":false,"openAccessPdf":"https://www.ncbi.nlm.nih.gov/pmc/articles/PMC11079989/pdf/","citationCount":"0","resultStr":"{\"title\":\"A case of peripheral T-cell lymphoma in which therapy-related myelodysplastic syndrome developed and a second autologous transplantation was performed.\",\"authors\":\"Shun-Ichiro Nakagawa, Yuki Nukii, Kanako Mochizuki, Akio Uchiyama, Yoshinobu Maeda, Toshiro Kurokawa\",\"doi\":\"10.3960/jslrt.23054\",\"DOIUrl\":null,\"url\":null,\"abstract\":\"<p><p>We report a case of therapy-related myelodysplastic syndrome (MDS), which developed 9 years after autologous peripheral blood stem cell transplantation (PBSCT) for peripheral T-cell lymphoma, not otherwise specified (PTCL-NOS). A 65-year-old male was diagnosed with PTCL-NOS. After 6 cycles of the CHOP (cyclophosphamide [CPA], doxorubicin, vincristine, and prednisone) regimen, he achieved a first complete response (CR). He relapsed 33 months later and received salvage chemotherapy, which consisted of the CHASE regimen (CPA, high-dose cytarabine, dexamethasone, and etoposide). During the recovery phase of the first cycle of CHASE, his peripheral blood stem cells (PBSCs) were harvested and frozen in 2 bags. After 2 courses of CHASE, he underwent autologous PBSCT, which involved the use of the LEED preconditioning regimen (melphalan, CPA, etoposide, and dexamethasone) and one of the frozen bags. This resulted in a second CR. At 39 months after PBSCT, he relapsed with a tumor in his right arm. After it was resected, he received eight cycles of brentuximab vedotin and 45 Gy of involved-field irradiation concurrently and achieved a third CR. Nine years after autologous PBSCT, he was diagnosed with MDS with excess blasts 2 (MDS-EB-2). His disease progressed to acute myeloid leukemia after 2 courses of azacitidine therapy. He successfully underwent a second autologous PBSCT involving the busulfan and melphalan preconditioning regimen and the other frozen bag, which had been stored for 9 years. He has been in complete cytogenetic remission for 1 year since the second autologous PBSCT.</p>\",\"PeriodicalId\":45936,\"journal\":{\"name\":\"Journal of Clinical and Experimental Hematopathology\",\"volume\":\" \",\"pages\":\"59-64\"},\"PeriodicalIF\":1.4000,\"publicationDate\":\"2024-03-28\",\"publicationTypes\":\"Journal Article\",\"fieldsOfStudy\":null,\"isOpenAccess\":false,\"openAccessPdf\":\"https://www.ncbi.nlm.nih.gov/pmc/articles/PMC11079989/pdf/\",\"citationCount\":\"0\",\"resultStr\":null,\"platform\":\"Semanticscholar\",\"paperid\":null,\"PeriodicalName\":\"Journal of Clinical and Experimental Hematopathology\",\"FirstCategoryId\":\"1085\",\"ListUrlMain\":\"https://doi.org/10.3960/jslrt.23054\",\"RegionNum\":0,\"RegionCategory\":null,\"ArticlePicture\":[],\"TitleCN\":null,\"AbstractTextCN\":null,\"PMCID\":null,\"EPubDate\":\"2024/2/28 0:00:00\",\"PubModel\":\"Epub\",\"JCR\":\"Q4\",\"JCRName\":\"HEMATOLOGY\",\"Score\":null,\"Total\":0}","platform":"Semanticscholar","paperid":null,"PeriodicalName":"Journal of Clinical and Experimental Hematopathology","FirstCategoryId":"1085","ListUrlMain":"https://doi.org/10.3960/jslrt.23054","RegionNum":0,"RegionCategory":null,"ArticlePicture":[],"TitleCN":null,"AbstractTextCN":null,"PMCID":null,"EPubDate":"2024/2/28 0:00:00","PubModel":"Epub","JCR":"Q4","JCRName":"HEMATOLOGY","Score":null,"Total":0}
引用次数: 0

摘要

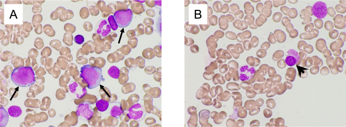
我们报告了一例与治疗相关的骨髓增生异常综合征(MDS)病例,该病例在因外周T细胞淋巴瘤(PTCL-NOS)而进行自体外周血干细胞移植(PBSCT)9年后发病。一名65岁的男性被诊断为PTCL-NOS。在接受了 6 个周期的 CHOP(环磷酰胺 [CPA]、多柔比星、长春新碱和泼尼松)治疗后,他首次获得了完全缓解(CR)。33 个月后,他的病情复发,接受了由 CHASE 方案(CPA、大剂量阿糖胞苷、地塞米松和依托泊苷)组成的挽救性化疗。在CHASE第一周期的恢复阶段,他的外周血干细胞(PBSCs)被采集并冷冻在两个袋子里。CHASE两个疗程后,他接受了自体PBSCT,其中包括使用LEED预处理方案(美法仑、CPA、依托泊苷和地塞米松)和其中一个冷冻袋。结果是第二次 CR。PBSCT 后 39 个月,他的右臂肿瘤复发。肿瘤切除后,他同时接受了八个周期的布伦妥昔单抗维多汀治疗和 45 Gy 的受累区照射,第三次获得 CR。自体 PBSCT 9 年后,他被诊断为多发性骨髓增生症(MDS)并伴有过多胚泡 2(MDS-EB-2)。经过两个疗程的阿扎胞苷治疗后,他的病情发展为急性髓性白血病。他成功地接受了第二次自体骨髓造血干细胞移植(PBSCT),其中包括使用丁硫芬和美法仑预处理方案以及另一个储存了 9 年的冷冻移植袋。自第二次自体 PBSCT 后,他的细胞遗传学症状已完全缓解 1 年。
本文章由计算机程序翻译,如有差异,请以英文原文为准。

A case of peripheral T-cell lymphoma in which therapy-related myelodysplastic syndrome developed and a second autologous transplantation was performed.

A case of peripheral T-cell lymphoma in which therapy-related myelodysplastic syndrome developed and a second autologous transplantation was performed.

A case of peripheral T-cell lymphoma in which therapy-related myelodysplastic syndrome developed and a second autologous transplantation was performed.

A case of peripheral T-cell lymphoma in which therapy-related myelodysplastic syndrome developed and a second autologous transplantation was performed.

We report a case of therapy-related myelodysplastic syndrome (MDS), which developed 9 years after autologous peripheral blood stem cell transplantation (PBSCT) for peripheral T-cell lymphoma, not otherwise specified (PTCL-NOS). A 65-year-old male was diagnosed with PTCL-NOS. After 6 cycles of the CHOP (cyclophosphamide [CPA], doxorubicin, vincristine, and prednisone) regimen, he achieved a first complete response (CR). He relapsed 33 months later and received salvage chemotherapy, which consisted of the CHASE regimen (CPA, high-dose cytarabine, dexamethasone, and etoposide). During the recovery phase of the first cycle of CHASE, his peripheral blood stem cells (PBSCs) were harvested and frozen in 2 bags. After 2 courses of CHASE, he underwent autologous PBSCT, which involved the use of the LEED preconditioning regimen (melphalan, CPA, etoposide, and dexamethasone) and one of the frozen bags. This resulted in a second CR. At 39 months after PBSCT, he relapsed with a tumor in his right arm. After it was resected, he received eight cycles of brentuximab vedotin and 45 Gy of involved-field irradiation concurrently and achieved a third CR. Nine years after autologous PBSCT, he was diagnosed with MDS with excess blasts 2 (MDS-EB-2). His disease progressed to acute myeloid leukemia after 2 courses of azacitidine therapy. He successfully underwent a second autologous PBSCT involving the busulfan and melphalan preconditioning regimen and the other frozen bag, which had been stored for 9 years. He has been in complete cytogenetic remission for 1 year since the second autologous PBSCT.

求助全文
通过发布文献求助,成功后即可免费获取论文全文。 去求助
来源期刊
CiteScore
2.00
自引率
6.70%
发文量
25
审稿时长
11 weeks
×
引用
GB/T 7714-2015
复制
MLA
复制
APA
复制
导出至
BibTeX EndNote RefMan NoteFirst NoteExpress
×
提示
您的信息不完整,为了账户安全,请先补充。
现在去补充
×
提示
您因"违规操作"
具体请查看互助需知
我知道了
×
提示
确定
请完成安全验证×
copy
已复制链接
快去分享给好友吧!
我知道了
右上角分享
点击右上角分享
0
联系我们:info@booksci.cn Book学术提供免费学术资源搜索服务,方便国内外学者检索中英文文献。致力于提供最便捷和优质的服务体验。 Copyright © 2023 布克学术 All rights reserved.
京ICP备2023020795号-1
ghs 京公网安备 11010802042870号
Book学术文献互助
Book学术文献互助群
群 号:604180095
Book学术官方微信