血管内治疗后的晚期病灶生长:24 小时内评估急性梗死面积(包括继发性损伤的影响)是否为时过早?

IF 1.5 3区 医学 Q3 CLINICAL NEUROLOGY
Cerebrovascular Diseases Pub Date : 2025-01-01 Epub Date: 2024-02-27 DOI:10.1159/000536470
Marie Luby, Amie W Hsia, Carolyn A Lomahan, Victoria Uche, Rachel Davis, Yongwoo Kim, Sana Somani, Shannon Burton, Rainier Cabatbat, Veronica Craft, Jill B De Vis, Malik M Adil, Mariam M Afzal, Leila C Thomas, William Gandler, Evan S McCreedy, John K Lynch, Lawrence L Latour
{"title":"血管内治疗后的晚期病灶生长:24 小时内评估急性梗死面积(包括继发性损伤的影响)是否为时过早?","authors":"Marie Luby, Amie W Hsia, Carolyn A Lomahan, Victoria Uche, Rachel Davis, Yongwoo Kim, Sana Somani, Shannon Burton, Rainier Cabatbat, Veronica Craft, Jill B De Vis, Malik M Adil, Mariam M Afzal, Leila C Thomas, William Gandler, Evan S McCreedy, John K Lynch, Lawrence L Latour","doi":"10.1159/000536470","DOIUrl":null,"url":null,"abstract":"<p><strong>Introduction: </strong>Stroke lesion volume on MRI or CT provides objective evidence of tissue injury as a consequence of ischemic stroke. Measurement of \"final\" lesion volume at 24-h following endovascular therapy (post-EVT) has been used in multiple studies as a surrogate for clinical outcome. However, despite successful recanalization, a significant proportion of patients do not experience favorable clinical outcome. The goals of this study were to quantify lesion growth during the first week after treatment, identify early predictors, and explore the association with clinical outcome.</p><p><strong>Methods: </strong>This is a prospective study of stroke patients at two centers who met the following criteria: (i) anterior large vessel occlusion acute ischemic stroke, (ii) attempted EVT, and (iii) had 3T MRI post-EVT at 24-h and 5-day. We defined \"early\" and \"late\" lesion growth as ≥10 mL lesion growth between baseline and 24-h diffusion-weighted imaging (DWI) and between 24-h DWI and 5-day fluid attenuated inversion recovery imaging, respectively. Complete reperfusion was defined as >90% reduction of the volume of tissue with perfusion delay (Tmax>6 s) between pre-EVT and 24-h post-EVT. Favorable clinical outcome was defined as modified Rankin scale (mRS) of 0-2 at 30 or 90 days.</p><p><strong>Results: </strong>One hundred twelve patients met study criteria with median age 67 years, 56% female, median admit NIHSS 19, 54% received IV or IA thrombolysis, 66% with M1 occlusion, and median baseline DWI volume 21.2 mL. Successful recanalization was achieved in 87%, and 68% had complete reperfusion, with an overall favorable clinical outcome rate of 53%. Nearly two-thirds (65%) of the patients did not have late lesion growth with a median volume change of -0.3 mL between 24-h and 5-day and an associated high rate of favorable clinical outcome (64%). However, ∼1/3 of patients (35%) did have significant late lesion growth despite successful recanalization (87%: 46% mTICI 2b/41% mTICI 3). Late lesion growth patients had a 27.4 mL change in late lesion volume and 30.1 mL change in early lesion volume. These patients had an increased hemorrhagic transformation (HT) rate of 68% with only 1 in 3 patients having favorable clinical outcome. Late lesion growth was independently associated with incomplete reperfusion, HT, and unfavorable outcome.</p><p><strong>Conclusion: </strong>Approximately 1 out of 3 patients had late lesion growth following EVT, with a favorable clinical outcome occurring in only 1 out of 3 of these patients. Most patients with no early lesion growth had no late lesion growth. Identification of patients with late lesion growth could be critical to guide clinical management and inform prognosis post-EVT. Additionally, it can serve as an imaging biomarker for the development of adjunctive therapies to mitigate reperfusion injury.</p><p><strong>Introduction: </strong>Stroke lesion volume on MRI or CT provides objective evidence of tissue injury as a consequence of ischemic stroke. Measurement of \"final\" lesion volume at 24-h following endovascular therapy (post-EVT) has been used in multiple studies as a surrogate for clinical outcome. However, despite successful recanalization, a significant proportion of patients do not experience favorable clinical outcome. The goals of this study were to quantify lesion growth during the first week after treatment, identify early predictors, and explore the association with clinical outcome.</p><p><strong>Methods: </strong>This is a prospective study of stroke patients at two centers who met the following criteria: (i) anterior large vessel occlusion acute ischemic stroke, (ii) attempted EVT, and (iii) had 3T MRI post-EVT at 24-h and 5-day. We defined \"early\" and \"late\" lesion growth as ≥10 mL lesion growth between baseline and 24-h diffusion-weighted imaging (DWI) and between 24-h DWI and 5-day fluid attenuated inversion recovery imaging, respectively. Complete reperfusion was defined as >90% reduction of the volume of tissue with perfusion delay (Tmax>6 s) between pre-EVT and 24-h post-EVT. Favorable clinical outcome was defined as modified Rankin scale (mRS) of 0-2 at 30 or 90 days.</p><p><strong>Results: </strong>One hundred twelve patients met study criteria with median age 67 years, 56% female, median admit NIHSS 19, 54% received IV or IA thrombolysis, 66% with M1 occlusion, and median baseline DWI volume 21.2 mL. Successful recanalization was achieved in 87%, and 68% had complete reperfusion, with an overall favorable clinical outcome rate of 53%. Nearly two-thirds (65%) of the patients did not have late lesion growth with a median volume change of -0.3 mL between 24-h and 5-day and an associated high rate of favorable clinical outcome (64%). However, ∼1/3 of patients (35%) did have significant late lesion growth despite successful recanalization (87%: 46% mTICI 2b/41% mTICI 3). Late lesion growth patients had a 27.4 mL change in late lesion volume and 30.1 mL change in early lesion volume. These patients had an increased hemorrhagic transformation (HT) rate of 68% with only 1 in 3 patients having favorable clinical outcome. Late lesion growth was independently associated with incomplete reperfusion, HT, and unfavorable outcome.</p><p><strong>Conclusion: </strong>Approximately 1 out of 3 patients had late lesion growth following EVT, with a favorable clinical outcome occurring in only 1 out of 3 of these patients. Most patients with no early lesion growth had no late lesion growth. Identification of patients with late lesion growth could be critical to guide clinical management and inform prognosis post-EVT. Additionally, it can serve as an imaging biomarker for the development of adjunctive therapies to mitigate reperfusion injury.</p>","PeriodicalId":9683,"journal":{"name":"Cerebrovascular Diseases","volume":" ","pages":"129-137"},"PeriodicalIF":1.5000,"publicationDate":"2025-01-01","publicationTypes":"Journal Article","fieldsOfStudy":null,"isOpenAccess":false,"openAccessPdf":"https://www.ncbi.nlm.nih.gov/pmc/articles/PMC11347714/pdf/","citationCount":"0","resultStr":"{\"title\":\"Late Lesion Growth following Endovascular Therapy: Is 24 h Too Early to Assess Acute Infarct Size Including the Effects of Secondary Injury?\",\"authors\":\"Marie Luby, Amie W Hsia, Carolyn A Lomahan, Victoria Uche, Rachel Davis, Yongwoo Kim, Sana Somani, Shannon Burton, Rainier Cabatbat, Veronica Craft, Jill B De Vis, Malik M Adil, Mariam M Afzal, Leila C Thomas, William Gandler, Evan S McCreedy, John K Lynch, Lawrence L Latour\",\"doi\":\"10.1159/000536470\",\"DOIUrl\":null,\"url\":null,\"abstract\":\"<p><strong>Introduction: </strong>Stroke lesion volume on MRI or CT provides objective evidence of tissue injury as a consequence of ischemic stroke. Measurement of \\\"final\\\" lesion volume at 24-h following endovascular therapy (post-EVT) has been used in multiple studies as a surrogate for clinical outcome. However, despite successful recanalization, a significant proportion of patients do not experience favorable clinical outcome. The goals of this study were to quantify lesion growth during the first week after treatment, identify early predictors, and explore the association with clinical outcome.</p><p><strong>Methods: </strong>This is a prospective study of stroke patients at two centers who met the following criteria: (i) anterior large vessel occlusion acute ischemic stroke, (ii) attempted EVT, and (iii) had 3T MRI post-EVT at 24-h and 5-day. We defined \\\"early\\\" and \\\"late\\\" lesion growth as ≥10 mL lesion growth between baseline and 24-h diffusion-weighted imaging (DWI) and between 24-h DWI and 5-day fluid attenuated inversion recovery imaging, respectively. Complete reperfusion was defined as >90% reduction of the volume of tissue with perfusion delay (Tmax>6 s) between pre-EVT and 24-h post-EVT. Favorable clinical outcome was defined as modified Rankin scale (mRS) of 0-2 at 30 or 90 days.</p><p><strong>Results: </strong>One hundred twelve patients met study criteria with median age 67 years, 56% female, median admit NIHSS 19, 54% received IV or IA thrombolysis, 66% with M1 occlusion, and median baseline DWI volume 21.2 mL. Successful recanalization was achieved in 87%, and 68% had complete reperfusion, with an overall favorable clinical outcome rate of 53%. Nearly two-thirds (65%) of the patients did not have late lesion growth with a median volume change of -0.3 mL between 24-h and 5-day and an associated high rate of favorable clinical outcome (64%). However, ∼1/3 of patients (35%) did have significant late lesion growth despite successful recanalization (87%: 46% mTICI 2b/41% mTICI 3). Late lesion growth patients had a 27.4 mL change in late lesion volume and 30.1 mL change in early lesion volume. These patients had an increased hemorrhagic transformation (HT) rate of 68% with only 1 in 3 patients having favorable clinical outcome. Late lesion growth was independently associated with incomplete reperfusion, HT, and unfavorable outcome.</p><p><strong>Conclusion: </strong>Approximately 1 out of 3 patients had late lesion growth following EVT, with a favorable clinical outcome occurring in only 1 out of 3 of these patients. Most patients with no early lesion growth had no late lesion growth. Identification of patients with late lesion growth could be critical to guide clinical management and inform prognosis post-EVT. Additionally, it can serve as an imaging biomarker for the development of adjunctive therapies to mitigate reperfusion injury.</p><p><strong>Introduction: </strong>Stroke lesion volume on MRI or CT provides objective evidence of tissue injury as a consequence of ischemic stroke. Measurement of \\\"final\\\" lesion volume at 24-h following endovascular therapy (post-EVT) has been used in multiple studies as a surrogate for clinical outcome. However, despite successful recanalization, a significant proportion of patients do not experience favorable clinical outcome. The goals of this study were to quantify lesion growth during the first week after treatment, identify early predictors, and explore the association with clinical outcome.</p><p><strong>Methods: </strong>This is a prospective study of stroke patients at two centers who met the following criteria: (i) anterior large vessel occlusion acute ischemic stroke, (ii) attempted EVT, and (iii) had 3T MRI post-EVT at 24-h and 5-day. We defined \\\"early\\\" and \\\"late\\\" lesion growth as ≥10 mL lesion growth between baseline and 24-h diffusion-weighted imaging (DWI) and between 24-h DWI and 5-day fluid attenuated inversion recovery imaging, respectively. Complete reperfusion was defined as >90% reduction of the volume of tissue with perfusion delay (Tmax>6 s) between pre-EVT and 24-h post-EVT. Favorable clinical outcome was defined as modified Rankin scale (mRS) of 0-2 at 30 or 90 days.</p><p><strong>Results: </strong>One hundred twelve patients met study criteria with median age 67 years, 56% female, median admit NIHSS 19, 54% received IV or IA thrombolysis, 66% with M1 occlusion, and median baseline DWI volume 21.2 mL. Successful recanalization was achieved in 87%, and 68% had complete reperfusion, with an overall favorable clinical outcome rate of 53%. Nearly two-thirds (65%) of the patients did not have late lesion growth with a median volume change of -0.3 mL between 24-h and 5-day and an associated high rate of favorable clinical outcome (64%). However, ∼1/3 of patients (35%) did have significant late lesion growth despite successful recanalization (87%: 46% mTICI 2b/41% mTICI 3). Late lesion growth patients had a 27.4 mL change in late lesion volume and 30.1 mL change in early lesion volume. These patients had an increased hemorrhagic transformation (HT) rate of 68% with only 1 in 3 patients having favorable clinical outcome. Late lesion growth was independently associated with incomplete reperfusion, HT, and unfavorable outcome.</p><p><strong>Conclusion: </strong>Approximately 1 out of 3 patients had late lesion growth following EVT, with a favorable clinical outcome occurring in only 1 out of 3 of these patients. Most patients with no early lesion growth had no late lesion growth. Identification of patients with late lesion growth could be critical to guide clinical management and inform prognosis post-EVT. Additionally, it can serve as an imaging biomarker for the development of adjunctive therapies to mitigate reperfusion injury.</p>\",\"PeriodicalId\":9683,\"journal\":{\"name\":\"Cerebrovascular Diseases\",\"volume\":\" \",\"pages\":\"129-137\"},\"PeriodicalIF\":1.5000,\"publicationDate\":\"2025-01-01\",\"publicationTypes\":\"Journal Article\",\"fieldsOfStudy\":null,\"isOpenAccess\":false,\"openAccessPdf\":\"https://www.ncbi.nlm.nih.gov/pmc/articles/PMC11347714/pdf/\",\"citationCount\":\"0\",\"resultStr\":null,\"platform\":\"Semanticscholar\",\"paperid\":null,\"PeriodicalName\":\"Cerebrovascular Diseases\",\"FirstCategoryId\":\"3\",\"ListUrlMain\":\"https://doi.org/10.1159/000536470\",\"RegionNum\":3,\"RegionCategory\":\"医学\",\"ArticlePicture\":[],\"TitleCN\":null,\"AbstractTextCN\":null,\"PMCID\":null,\"EPubDate\":\"2024/2/27 0:00:00\",\"PubModel\":\"Epub\",\"JCR\":\"Q3\",\"JCRName\":\"CLINICAL NEUROLOGY\",\"Score\":null,\"Total\":0}","platform":"Semanticscholar","paperid":null,"PeriodicalName":"Cerebrovascular Diseases","FirstCategoryId":"3","ListUrlMain":"https://doi.org/10.1159/000536470","RegionNum":3,"RegionCategory":"医学","ArticlePicture":[],"TitleCN":null,"AbstractTextCN":null,"PMCID":null,"EPubDate":"2024/2/27 0:00:00","PubModel":"Epub","JCR":"Q3","JCRName":"CLINICAL NEUROLOGY","Score":null,"Total":0}
引用次数: 0

摘要

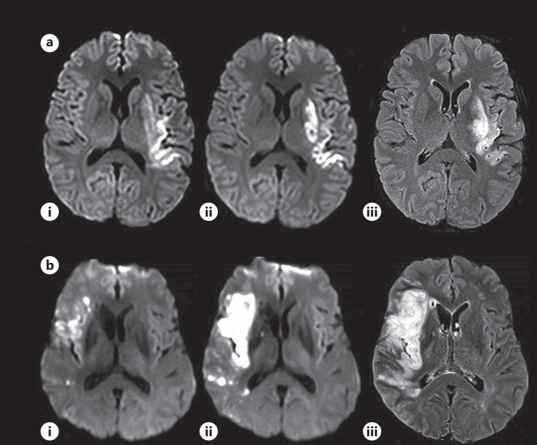
导言 MRI 或 CT 上的卒中病灶体积提供了缺血性卒中导致组织损伤的客观证据。多项研究已将血管内治疗(EVT)后 24 小时的 "最终 "病灶体积测量作为临床预后的替代指标。然而,尽管血管再通术取得了成功,但仍有相当一部分患者的临床疗效并不理想。本研究的目的是量化治疗后第一周的病灶生长情况,确定早期预测因素,并探讨与临床预后的关系。方法 这是一项前瞻性研究,研究对象是两个中心符合以下标准的卒中患者:i)前方大血管闭塞(LVO)急性缺血性卒中;ii)尝试过 EVT;iii)EVT 后 24 小时和 5 天内进行过 3T MRI 检查。我们将 "早期 "和 "晚期 "病变增长分别定义为基线与 24 小时 DWI 之间以及 24 小时 DWI 与 5 天 FLAIR 之间病变增长≥10 毫升。完全再灌注的定义是:在EVT前和EVT后24小时之间,灌注延迟(Tmax>6秒)的组织体积减少>90%。30天或90天后的改良Rankin量表(mRS)为0-2,即为良好的临床结果。结果 112名患者符合研究标准,中位年龄67岁,56%为女性,中位NIHSS 19,54%接受了静脉或IA溶栓治疗,66%为M1闭塞,中位基线DWI体积21.2毫升。87%的患者成功再通,68%的患者完全再灌注,总体临床预后良好率为53%。近三分之二(65%)的患者没有出现晚期病变生长,24 小时至 5 天之间的中位体积变化为-0.3 毫升,相关的临床预后良好率也很高(64%)。然而,约有三分之一的患者(35%)尽管成功实现了再通畅,但其晚期病变仍有显著增长(87%:46% mTICI 2b/ 41% mTICI 3)。晚期病变增长患者的晚期病变体积变化为 27.4 毫升,早期病变体积变化为 30.1 毫升。这些患者的出血转化率增加了 68%,每 3 名患者中仅有 1 人的临床结果良好。晚期病灶增长与不完全再灌注、出血转化和不良预后密切相关。结论 EVT 术后,大约每 3 名患者中就有 1 人出现晚期病灶增生,其中每 3 名患者中只有 1 人的临床预后良好。大多数早期病灶没有生长的患者晚期病灶也没有生长。识别晚期病灶生长的患者对指导临床治疗和 EVT 后的预后至关重要。此外,它还可以作为一种成像生物标志物,用于开发减轻再灌注损伤的辅助疗法。
本文章由计算机程序翻译,如有差异,请以英文原文为准。

Late Lesion Growth following Endovascular Therapy: Is 24 h Too Early to Assess Acute Infarct Size Including the Effects of Secondary Injury?

Late Lesion Growth following Endovascular Therapy: Is 24 h Too Early to Assess Acute Infarct Size Including the Effects of Secondary Injury?

Late Lesion Growth following Endovascular Therapy: Is 24 h Too Early to Assess Acute Infarct Size Including the Effects of Secondary Injury?

Introduction: Stroke lesion volume on MRI or CT provides objective evidence of tissue injury as a consequence of ischemic stroke. Measurement of "final" lesion volume at 24-h following endovascular therapy (post-EVT) has been used in multiple studies as a surrogate for clinical outcome. However, despite successful recanalization, a significant proportion of patients do not experience favorable clinical outcome. The goals of this study were to quantify lesion growth during the first week after treatment, identify early predictors, and explore the association with clinical outcome.

Methods: This is a prospective study of stroke patients at two centers who met the following criteria: (i) anterior large vessel occlusion acute ischemic stroke, (ii) attempted EVT, and (iii) had 3T MRI post-EVT at 24-h and 5-day. We defined "early" and "late" lesion growth as ≥10 mL lesion growth between baseline and 24-h diffusion-weighted imaging (DWI) and between 24-h DWI and 5-day fluid attenuated inversion recovery imaging, respectively. Complete reperfusion was defined as >90% reduction of the volume of tissue with perfusion delay (Tmax>6 s) between pre-EVT and 24-h post-EVT. Favorable clinical outcome was defined as modified Rankin scale (mRS) of 0-2 at 30 or 90 days.

Results: One hundred twelve patients met study criteria with median age 67 years, 56% female, median admit NIHSS 19, 54% received IV or IA thrombolysis, 66% with M1 occlusion, and median baseline DWI volume 21.2 mL. Successful recanalization was achieved in 87%, and 68% had complete reperfusion, with an overall favorable clinical outcome rate of 53%. Nearly two-thirds (65%) of the patients did not have late lesion growth with a median volume change of -0.3 mL between 24-h and 5-day and an associated high rate of favorable clinical outcome (64%). However, ∼1/3 of patients (35%) did have significant late lesion growth despite successful recanalization (87%: 46% mTICI 2b/41% mTICI 3). Late lesion growth patients had a 27.4 mL change in late lesion volume and 30.1 mL change in early lesion volume. These patients had an increased hemorrhagic transformation (HT) rate of 68% with only 1 in 3 patients having favorable clinical outcome. Late lesion growth was independently associated with incomplete reperfusion, HT, and unfavorable outcome.

Conclusion: Approximately 1 out of 3 patients had late lesion growth following EVT, with a favorable clinical outcome occurring in only 1 out of 3 of these patients. Most patients with no early lesion growth had no late lesion growth. Identification of patients with late lesion growth could be critical to guide clinical management and inform prognosis post-EVT. Additionally, it can serve as an imaging biomarker for the development of adjunctive therapies to mitigate reperfusion injury.

Introduction: Stroke lesion volume on MRI or CT provides objective evidence of tissue injury as a consequence of ischemic stroke. Measurement of "final" lesion volume at 24-h following endovascular therapy (post-EVT) has been used in multiple studies as a surrogate for clinical outcome. However, despite successful recanalization, a significant proportion of patients do not experience favorable clinical outcome. The goals of this study were to quantify lesion growth during the first week after treatment, identify early predictors, and explore the association with clinical outcome.

Methods: This is a prospective study of stroke patients at two centers who met the following criteria: (i) anterior large vessel occlusion acute ischemic stroke, (ii) attempted EVT, and (iii) had 3T MRI post-EVT at 24-h and 5-day. We defined "early" and "late" lesion growth as ≥10 mL lesion growth between baseline and 24-h diffusion-weighted imaging (DWI) and between 24-h DWI and 5-day fluid attenuated inversion recovery imaging, respectively. Complete reperfusion was defined as >90% reduction of the volume of tissue with perfusion delay (Tmax>6 s) between pre-EVT and 24-h post-EVT. Favorable clinical outcome was defined as modified Rankin scale (mRS) of 0-2 at 30 or 90 days.

Results: One hundred twelve patients met study criteria with median age 67 years, 56% female, median admit NIHSS 19, 54% received IV or IA thrombolysis, 66% with M1 occlusion, and median baseline DWI volume 21.2 mL. Successful recanalization was achieved in 87%, and 68% had complete reperfusion, with an overall favorable clinical outcome rate of 53%. Nearly two-thirds (65%) of the patients did not have late lesion growth with a median volume change of -0.3 mL between 24-h and 5-day and an associated high rate of favorable clinical outcome (64%). However, ∼1/3 of patients (35%) did have significant late lesion growth despite successful recanalization (87%: 46% mTICI 2b/41% mTICI 3). Late lesion growth patients had a 27.4 mL change in late lesion volume and 30.1 mL change in early lesion volume. These patients had an increased hemorrhagic transformation (HT) rate of 68% with only 1 in 3 patients having favorable clinical outcome. Late lesion growth was independently associated with incomplete reperfusion, HT, and unfavorable outcome.

Conclusion: Approximately 1 out of 3 patients had late lesion growth following EVT, with a favorable clinical outcome occurring in only 1 out of 3 of these patients. Most patients with no early lesion growth had no late lesion growth. Identification of patients with late lesion growth could be critical to guide clinical management and inform prognosis post-EVT. Additionally, it can serve as an imaging biomarker for the development of adjunctive therapies to mitigate reperfusion injury.

求助全文
通过发布文献求助,成功后即可免费获取论文全文。 去求助
来源期刊
Cerebrovascular Diseases
Cerebrovascular Diseases 医学-临床神经学
CiteScore
4.50
自引率
0.00%
发文量
90
审稿时长
1 months
期刊介绍: A rapidly-growing field, stroke and cerebrovascular research is unique in that it involves a variety of specialties such as neurology, internal medicine, surgery, radiology, epidemiology, cardiology, hematology, psychology and rehabilitation. ''Cerebrovascular Diseases'' is an international forum which meets the growing need for sophisticated, up-to-date scientific information on clinical data, diagnostic testing, and therapeutic issues, dealing with all aspects of stroke and cerebrovascular diseases. It contains original contributions, reviews of selected topics and clinical investigative studies, recent meeting reports and work-in-progress as well as discussions on controversial issues. All aspects related to clinical advances are considered, while purely experimental work appears if directly relevant to clinical issues.
×
引用
GB/T 7714-2015
复制
MLA
复制
APA
复制
导出至
BibTeX EndNote RefMan NoteFirst NoteExpress
×
提示
您的信息不完整,为了账户安全,请先补充。
现在去补充
×
提示
您因"违规操作"
具体请查看互助需知
我知道了
×
提示
确定
请完成安全验证×
copy
已复制链接
快去分享给好友吧!
我知道了
右上角分享
点击右上角分享
0
联系我们:info@booksci.cn Book学术提供免费学术资源搜索服务,方便国内外学者检索中英文文献。致力于提供最便捷和优质的服务体验。 Copyright © 2023 布克学术 All rights reserved.
京ICP备2023020795号-1
ghs 京公网安备 11010802042870号
Book学术文献互助
Book学术文献互助群
群 号:604180095
Book学术官方微信