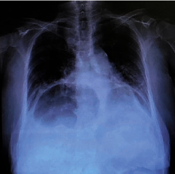
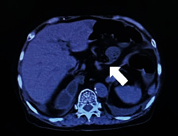
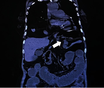
IV 型食管裂孔疝引起的小肠梗阻。

IF 0.5 Q4 SURGERY
Case Reports in Surgery Pub Date : 2024-02-20 eCollection Date: 2024-01-01 DOI:10.1155/2024/8837649
Katsudai Shirakabe, Naoya Ozawa, Yoshihiro Mochizuki, Ken Mizokami
{"title":"IV 型食管裂孔疝引起的小肠梗阻。","authors":"Katsudai Shirakabe, Naoya Ozawa, Yoshihiro Mochizuki, Ken Mizokami","doi":"10.1155/2024/8837649","DOIUrl":null,"url":null,"abstract":"<p><p>Type IV hiatal hernia of the esophagus is characterized by herniation of the stomach and associated organs, such as the spleen, large and small bowel, and pancreas, through the esophageal hiatus. It is a relatively rare form of hiatal hernia that sometimes requires emergency surgery due to gastric incarceration, volvulus, and strangulation. Of these, small bowel obstruction is extremely rare and requires surgery. We report the case of an 83-year-old woman who was admitted to the hospital for small bowel obstruction caused by an ileum that had incarcerated the esophageal hiatus; emergency laparoscopic surgery was performed.</p>","PeriodicalId":9600,"journal":{"name":"Case Reports in Surgery","volume":"2024 ","pages":"8837649"},"PeriodicalIF":0.5000,"publicationDate":"2024-02-20","publicationTypes":"Journal Article","fieldsOfStudy":null,"isOpenAccess":false,"openAccessPdf":"https://www.ncbi.nlm.nih.gov/pmc/articles/PMC10898948/pdf/","citationCount":"0","resultStr":"{\"title\":\"Small Bowel Obstruction Caused by Type IV Hiatal Hernia.\",\"authors\":\"Katsudai Shirakabe, Naoya Ozawa, Yoshihiro Mochizuki, Ken Mizokami\",\"doi\":\"10.1155/2024/8837649\",\"DOIUrl\":null,\"url\":null,\"abstract\":\"<p><p>Type IV hiatal hernia of the esophagus is characterized by herniation of the stomach and associated organs, such as the spleen, large and small bowel, and pancreas, through the esophageal hiatus. It is a relatively rare form of hiatal hernia that sometimes requires emergency surgery due to gastric incarceration, volvulus, and strangulation. Of these, small bowel obstruction is extremely rare and requires surgery. We report the case of an 83-year-old woman who was admitted to the hospital for small bowel obstruction caused by an ileum that had incarcerated the esophageal hiatus; emergency laparoscopic surgery was performed.</p>\",\"PeriodicalId\":9600,\"journal\":{\"name\":\"Case Reports in Surgery\",\"volume\":\"2024 \",\"pages\":\"8837649\"},\"PeriodicalIF\":0.5000,\"publicationDate\":\"2024-02-20\",\"publicationTypes\":\"Journal Article\",\"fieldsOfStudy\":null,\"isOpenAccess\":false,\"openAccessPdf\":\"https://www.ncbi.nlm.nih.gov/pmc/articles/PMC10898948/pdf/\",\"citationCount\":\"0\",\"resultStr\":null,\"platform\":\"Semanticscholar\",\"paperid\":null,\"PeriodicalName\":\"Case Reports in Surgery\",\"FirstCategoryId\":\"1085\",\"ListUrlMain\":\"https://doi.org/10.1155/2024/8837649\",\"RegionNum\":0,\"RegionCategory\":null,\"ArticlePicture\":[],\"TitleCN\":null,\"AbstractTextCN\":null,\"PMCID\":null,\"EPubDate\":\"2024/1/1 0:00:00\",\"PubModel\":\"eCollection\",\"JCR\":\"Q4\",\"JCRName\":\"SURGERY\",\"Score\":null,\"Total\":0}","platform":"Semanticscholar","paperid":null,"PeriodicalName":"Case Reports in Surgery","FirstCategoryId":"1085","ListUrlMain":"https://doi.org/10.1155/2024/8837649","RegionNum":0,"RegionCategory":null,"ArticlePicture":[],"TitleCN":null,"AbstractTextCN":null,"PMCID":null,"EPubDate":"2024/1/1 0:00:00","PubModel":"eCollection","JCR":"Q4","JCRName":"SURGERY","Score":null,"Total":0}
引用次数: 0

摘要

IV 型食管裂孔疝的特点是胃和相关器官(如脾脏、大肠、小肠和胰腺)通过食管裂孔疝出。这是一种相对罕见的食管裂孔疝,有时因胃嵌顿、胃内翻和绞窄而需要进行急诊手术。其中,小肠梗阻极为罕见,需要手术治疗。我们报告了一例因回肠嵌顿食管裂孔导致小肠梗阻而入院的 83 岁妇女的病例,该患者接受了紧急腹腔镜手术。
本文章由计算机程序翻译,如有差异,请以英文原文为准。

Small Bowel Obstruction Caused by Type IV Hiatal Hernia.

Small Bowel Obstruction Caused by Type IV Hiatal Hernia.

Small Bowel Obstruction Caused by Type IV Hiatal Hernia.

Small Bowel Obstruction Caused by Type IV Hiatal Hernia.

Type IV hiatal hernia of the esophagus is characterized by herniation of the stomach and associated organs, such as the spleen, large and small bowel, and pancreas, through the esophageal hiatus. It is a relatively rare form of hiatal hernia that sometimes requires emergency surgery due to gastric incarceration, volvulus, and strangulation. Of these, small bowel obstruction is extremely rare and requires surgery. We report the case of an 83-year-old woman who was admitted to the hospital for small bowel obstruction caused by an ileum that had incarcerated the esophageal hiatus; emergency laparoscopic surgery was performed.

求助全文
通过发布文献求助,成功后即可免费获取论文全文。 去求助
来源期刊
自引率
0.00%
发文量
60
审稿时长
13 weeks
×
引用
GB/T 7714-2015
复制
MLA
复制
APA
复制
导出至
BibTeX EndNote RefMan NoteFirst NoteExpress
×
提示
您的信息不完整,为了账户安全,请先补充。
现在去补充
×
提示
您因"违规操作"
具体请查看互助需知
我知道了
×
提示
确定
请完成安全验证×
copy
已复制链接
快去分享给好友吧!
我知道了
右上角分享
点击右上角分享
0
联系我们:info@booksci.cn Book学术提供免费学术资源搜索服务,方便国内外学者检索中英文文献。致力于提供最便捷和优质的服务体验。 Copyright © 2023 布克学术 All rights reserved.
京ICP备2023020795号-1
ghs 京公网安备 11010802042870号
Book学术文献互助
Book学术文献互助群
群 号:604180095
Book学术官方微信