大鼠肾缺血再灌注后内质网应激和线粒体扰动对远端肝损伤的影响:阿齐沙坦的潜在保护作用

IF 7.4 2区 生物学 Q1 BIOCHEMISTRY & MOLECULAR BIOLOGY
Redox Report Pub Date : 2024-12-01 Epub Date: 2024-02-27 DOI:10.1080/13510002.2024.2319963
Rania A Elrashidy, Esraa M Zakaria, Rehab A Hasan, Asmaa M Elmaghraby, Dina A Hassan, Ranya M Abdelgalil, Shaimaa R Abdelmohsen, Amira M Negm, Azza S Khalil, Ayat M S Eraque, Reem M Ahmed, Walaa S Sabbah, Ahmed A Ahmed, Samah E Ibrahim
{"title":"大鼠肾缺血再灌注后内质网应激和线粒体扰动对远端肝损伤的影响:阿齐沙坦的潜在保护作用","authors":"Rania A Elrashidy, Esraa M Zakaria, Rehab A Hasan, Asmaa M Elmaghraby, Dina A Hassan, Ranya M Abdelgalil, Shaimaa R Abdelmohsen, Amira M Negm, Azza S Khalil, Ayat M S Eraque, Reem M Ahmed, Walaa S Sabbah, Ahmed A Ahmed, Samah E Ibrahim","doi":"10.1080/13510002.2024.2319963","DOIUrl":null,"url":null,"abstract":"<p><p><b>Objectives:</b> Distant liver injury is a complication of renal ischemia-reperfusion (I/R) injury, which imposes mortality and economic burden. This study aimed to elucidate the cross-talk of endoplasmic reticulum (ER) stress and mitochondrial perturbations in renal I/R-induced liver injury, and the potential hepatoprotective effect of azilsartan (AZL).<b>Methods:</b> Male albino Wister rats were pre-treated with AZL (3 mg/kg/day, PO) for 7 days then a bilateral renal I/R or sham procedure was performed. Activities of liver enzymes were assessed in plasma. The structure and ultra-structure of hepatocytes were assessed by light and electron microscopy. Markers of ER stress, mitochondrial biogenesis and apoptosis were analyzed in livers of rats.<b>Results:</b> Renal ischemic rats showed higher plasma levels of liver enzymes than sham-operated rats, coupled with histological and ultra-structural alterations in hepatocytes. Mechanistically, there was up-regulation of ER stress markers and suppression of mitochondrial biogenesis-related proteins and enhanced apoptosis in livers of renal ischemic rats. These abnormalities were almost abrogated by AZL pretreatment.<b>Discussion:</b> Our findings uncovered the involvement of mitochondrial perturbations, ER stress and apoptosis in liver injury following renal I/R, and suggested AZL as a preconditioning strategy to ameliorate remote liver injury in patients susceptible to renal I/R after adequate clinical testing.</p>","PeriodicalId":21096,"journal":{"name":"Redox Report","volume":"29 1","pages":"2319963"},"PeriodicalIF":7.4000,"publicationDate":"2024-12-01","publicationTypes":"Journal Article","fieldsOfStudy":null,"isOpenAccess":false,"openAccessPdf":"https://www.ncbi.nlm.nih.gov/pmc/articles/PMC10903753/pdf/","citationCount":"0","resultStr":"{\"title\":\"Implication of endoplasmic reticulum stress and mitochondrial perturbations in remote liver injury after renal ischemia/reperfusion in rats: potential protective role of azilsartan.\",\"authors\":\"Rania A Elrashidy, Esraa M Zakaria, Rehab A Hasan, Asmaa M Elmaghraby, Dina A Hassan, Ranya M Abdelgalil, Shaimaa R Abdelmohsen, Amira M Negm, Azza S Khalil, Ayat M S Eraque, Reem M Ahmed, Walaa S Sabbah, Ahmed A Ahmed, Samah E Ibrahim\",\"doi\":\"10.1080/13510002.2024.2319963\",\"DOIUrl\":null,\"url\":null,\"abstract\":\"<p><p><b>Objectives:</b> Distant liver injury is a complication of renal ischemia-reperfusion (I/R) injury, which imposes mortality and economic burden. This study aimed to elucidate the cross-talk of endoplasmic reticulum (ER) stress and mitochondrial perturbations in renal I/R-induced liver injury, and the potential hepatoprotective effect of azilsartan (AZL).<b>Methods:</b> Male albino Wister rats were pre-treated with AZL (3 mg/kg/day, PO) for 7 days then a bilateral renal I/R or sham procedure was performed. Activities of liver enzymes were assessed in plasma. The structure and ultra-structure of hepatocytes were assessed by light and electron microscopy. Markers of ER stress, mitochondrial biogenesis and apoptosis were analyzed in livers of rats.<b>Results:</b> Renal ischemic rats showed higher plasma levels of liver enzymes than sham-operated rats, coupled with histological and ultra-structural alterations in hepatocytes. Mechanistically, there was up-regulation of ER stress markers and suppression of mitochondrial biogenesis-related proteins and enhanced apoptosis in livers of renal ischemic rats. These abnormalities were almost abrogated by AZL pretreatment.<b>Discussion:</b> Our findings uncovered the involvement of mitochondrial perturbations, ER stress and apoptosis in liver injury following renal I/R, and suggested AZL as a preconditioning strategy to ameliorate remote liver injury in patients susceptible to renal I/R after adequate clinical testing.</p>\",\"PeriodicalId\":21096,\"journal\":{\"name\":\"Redox Report\",\"volume\":\"29 1\",\"pages\":\"2319963\"},\"PeriodicalIF\":7.4000,\"publicationDate\":\"2024-12-01\",\"publicationTypes\":\"Journal Article\",\"fieldsOfStudy\":null,\"isOpenAccess\":false,\"openAccessPdf\":\"https://www.ncbi.nlm.nih.gov/pmc/articles/PMC10903753/pdf/\",\"citationCount\":\"0\",\"resultStr\":null,\"platform\":\"Semanticscholar\",\"paperid\":null,\"PeriodicalName\":\"Redox Report\",\"FirstCategoryId\":\"99\",\"ListUrlMain\":\"https://doi.org/10.1080/13510002.2024.2319963\",\"RegionNum\":2,\"RegionCategory\":\"生物学\",\"ArticlePicture\":[],\"TitleCN\":null,\"AbstractTextCN\":null,\"PMCID\":null,\"EPubDate\":\"2024/2/27 0:00:00\",\"PubModel\":\"Epub\",\"JCR\":\"Q1\",\"JCRName\":\"BIOCHEMISTRY & MOLECULAR BIOLOGY\",\"Score\":null,\"Total\":0}","platform":"Semanticscholar","paperid":null,"PeriodicalName":"Redox Report","FirstCategoryId":"99","ListUrlMain":"https://doi.org/10.1080/13510002.2024.2319963","RegionNum":2,"RegionCategory":"生物学","ArticlePicture":[],"TitleCN":null,"AbstractTextCN":null,"PMCID":null,"EPubDate":"2024/2/27 0:00:00","PubModel":"Epub","JCR":"Q1","JCRName":"BIOCHEMISTRY & MOLECULAR BIOLOGY","Score":null,"Total":0}
引用次数: 0

摘要

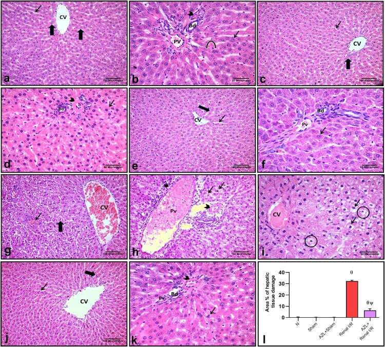
目的:远端肝损伤是肾缺血再灌注(I/R)损伤的并发症之一,会造成死亡和经济负担。本研究旨在阐明内质网(ER)应激和线粒体扰动在肾脏I/R诱导的肝损伤中的交叉作用,以及阿齐沙坦(AZL)的潜在保肝作用:雄性白化Wister大鼠经AZL(3 mg/kg/天,PO)预处理7天后,进行双侧肾脏I/R或假手术。评估血浆中肝酶的活性。通过光镜和电子显微镜评估肝细胞的结构和超结构。对大鼠肝脏中的ER应激、线粒体生物生成和细胞凋亡标志物进行了分析:结果:肾缺血大鼠的血浆肝酶水平高于假手术大鼠,同时肝细胞的组织学和超微结构也发生了改变。从机理上讲,肾缺血大鼠肝脏中的ER应激标记物上调,线粒体生物生成相关蛋白受抑制,细胞凋亡增强。这些异常现象在AZL预处理后几乎消失:我们的研究结果揭示了线粒体扰动、ER应激和细胞凋亡参与了肾脏I/R后的肝损伤,并建议将AZL作为一种预处理策略,在经过充分的临床试验后改善易患肾脏I/R患者的远端肝损伤。
本文章由计算机程序翻译,如有差异,请以英文原文为准。

Implication of endoplasmic reticulum stress and mitochondrial perturbations in remote liver injury after renal ischemia/reperfusion in rats: potential protective role of azilsartan.

Implication of endoplasmic reticulum stress and mitochondrial perturbations in remote liver injury after renal ischemia/reperfusion in rats: potential protective role of azilsartan.

Implication of endoplasmic reticulum stress and mitochondrial perturbations in remote liver injury after renal ischemia/reperfusion in rats: potential protective role of azilsartan.

Implication of endoplasmic reticulum stress and mitochondrial perturbations in remote liver injury after renal ischemia/reperfusion in rats: potential protective role of azilsartan.

Objectives: Distant liver injury is a complication of renal ischemia-reperfusion (I/R) injury, which imposes mortality and economic burden. This study aimed to elucidate the cross-talk of endoplasmic reticulum (ER) stress and mitochondrial perturbations in renal I/R-induced liver injury, and the potential hepatoprotective effect of azilsartan (AZL).Methods: Male albino Wister rats were pre-treated with AZL (3 mg/kg/day, PO) for 7 days then a bilateral renal I/R or sham procedure was performed. Activities of liver enzymes were assessed in plasma. The structure and ultra-structure of hepatocytes were assessed by light and electron microscopy. Markers of ER stress, mitochondrial biogenesis and apoptosis were analyzed in livers of rats.Results: Renal ischemic rats showed higher plasma levels of liver enzymes than sham-operated rats, coupled with histological and ultra-structural alterations in hepatocytes. Mechanistically, there was up-regulation of ER stress markers and suppression of mitochondrial biogenesis-related proteins and enhanced apoptosis in livers of renal ischemic rats. These abnormalities were almost abrogated by AZL pretreatment.Discussion: Our findings uncovered the involvement of mitochondrial perturbations, ER stress and apoptosis in liver injury following renal I/R, and suggested AZL as a preconditioning strategy to ameliorate remote liver injury in patients susceptible to renal I/R after adequate clinical testing.

求助全文
通过发布文献求助,成功后即可免费获取论文全文。 去求助
来源期刊
Redox Report
Redox Report 生物-生化与分子生物学
CiteScore
6.10
自引率
0.00%
发文量
28
审稿时长
>12 weeks
期刊介绍: Redox Report is a multidisciplinary peer-reviewed open access journal focusing on the role of free radicals, oxidative stress, activated oxygen, perioxidative and redox processes, primarily in the human environment and human pathology. Relevant papers on the animal and plant environment, biology and pathology will also be included. While emphasis is placed upon methodological and intellectual advances underpinned by new data, the journal offers scope for review, hypotheses, critiques and other forms of discussion.
×
引用
GB/T 7714-2015
复制
MLA
复制
APA
复制
导出至
BibTeX EndNote RefMan NoteFirst NoteExpress
×
提示
您的信息不完整,为了账户安全,请先补充。
现在去补充
×
提示
您因"违规操作"
具体请查看互助需知
我知道了
×
提示
确定
请完成安全验证×
copy
已复制链接
快去分享给好友吧!
我知道了
右上角分享
点击右上角分享
0
联系我们:info@booksci.cn Book学术提供免费学术资源搜索服务,方便国内外学者检索中英文文献。致力于提供最便捷和优质的服务体验。 Copyright © 2023 布克学术 All rights reserved.
京ICP备2023020795号-1
ghs 京公网安备 11010802042870号
Book学术文献互助
Book学术文献互助群
群 号:604180095
Book学术官方微信