胸脑异畸形连体婴儿分离五年后的康复和功能疗效:病例报告。

IF 1 Q4 PEDIATRICS
Dana L Sheng, Shawna Arsenault, Michael Wadekamper, Eric Smith
{"title":"胸脑异畸形连体婴儿分离五年后的康复和功能疗效:病例报告。","authors":"Dana L Sheng, Shawna Arsenault, Michael Wadekamper, Eric Smith","doi":"10.3233/PRM-220121","DOIUrl":null,"url":null,"abstract":"<p><p>Conjoined twins are identical twins joined in utero and are a rare phenomenon. This report discusses a case of female thoraco-omphalo-ischiopagus tripus conjoined twins. The twins were separated at age two, and once medically stable, spent one month in inpatient rehabilitation to improve their sitting balance and gross motor skills. This was followed by outpatient physical therapy. The twins initially had customized ZipZac seats, which they were able to wheel independently. After six months of therapy, the girls began walking with posterior walkers and prostheses. The hemipelvectomy prosthesis included a customized thoracolumbosacral orthosis component and was directly attached to a non-articulated pylon. A manual-locking hip joint was added to accommodate sitting. An articulated ankle-foot orthosis was used for the intact leg. Care of formerly conjoined twins requires comprehensive care from a multidisciplinary team involving, but not limited to, a physiatrist, orthopaedic surgeon, physical therapist, and orthotist/prosthetist. Complex congenital limb deficiencies are often a major undertaking for the rehabilitation team as continuous treatment and management are needed throughout the patient's lifetime due to growth, development, and evolving physical demands. Anatomic variations must be examined on a case-by-case basis but often include limb deficiencies, orthopedic abnormalities, and organ comorbidities.</p>","PeriodicalId":16692,"journal":{"name":"Journal of pediatric rehabilitation medicine","volume":" ","pages":"261-269"},"PeriodicalIF":1.0000,"publicationDate":"2024-01-01","publicationTypes":"Journal Article","fieldsOfStudy":null,"isOpenAccess":false,"openAccessPdf":"https://www.ncbi.nlm.nih.gov/pmc/articles/PMC11307015/pdf/","citationCount":"0","resultStr":"{\"title\":\"Rehabilitation and functional outcomes for thoraco-omphalo-ischiopagus conjoined twins five years after separation: A case report.\",\"authors\":\"Dana L Sheng, Shawna Arsenault, Michael Wadekamper, Eric Smith\",\"doi\":\"10.3233/PRM-220121\",\"DOIUrl\":null,\"url\":null,\"abstract\":\"<p><p>Conjoined twins are identical twins joined in utero and are a rare phenomenon. This report discusses a case of female thoraco-omphalo-ischiopagus tripus conjoined twins. The twins were separated at age two, and once medically stable, spent one month in inpatient rehabilitation to improve their sitting balance and gross motor skills. This was followed by outpatient physical therapy. The twins initially had customized ZipZac seats, which they were able to wheel independently. After six months of therapy, the girls began walking with posterior walkers and prostheses. The hemipelvectomy prosthesis included a customized thoracolumbosacral orthosis component and was directly attached to a non-articulated pylon. A manual-locking hip joint was added to accommodate sitting. An articulated ankle-foot orthosis was used for the intact leg. Care of formerly conjoined twins requires comprehensive care from a multidisciplinary team involving, but not limited to, a physiatrist, orthopaedic surgeon, physical therapist, and orthotist/prosthetist. Complex congenital limb deficiencies are often a major undertaking for the rehabilitation team as continuous treatment and management are needed throughout the patient's lifetime due to growth, development, and evolving physical demands. Anatomic variations must be examined on a case-by-case basis but often include limb deficiencies, orthopedic abnormalities, and organ comorbidities.</p>\",\"PeriodicalId\":16692,\"journal\":{\"name\":\"Journal of pediatric rehabilitation medicine\",\"volume\":\" \",\"pages\":\"261-269\"},\"PeriodicalIF\":1.0000,\"publicationDate\":\"2024-01-01\",\"publicationTypes\":\"Journal Article\",\"fieldsOfStudy\":null,\"isOpenAccess\":false,\"openAccessPdf\":\"https://www.ncbi.nlm.nih.gov/pmc/articles/PMC11307015/pdf/\",\"citationCount\":\"0\",\"resultStr\":null,\"platform\":\"Semanticscholar\",\"paperid\":null,\"PeriodicalName\":\"Journal of pediatric rehabilitation medicine\",\"FirstCategoryId\":\"1085\",\"ListUrlMain\":\"https://doi.org/10.3233/PRM-220121\",\"RegionNum\":0,\"RegionCategory\":null,\"ArticlePicture\":[],\"TitleCN\":null,\"AbstractTextCN\":null,\"PMCID\":null,\"EPubDate\":\"\",\"PubModel\":\"\",\"JCR\":\"Q4\",\"JCRName\":\"PEDIATRICS\",\"Score\":null,\"Total\":0}","platform":"Semanticscholar","paperid":null,"PeriodicalName":"Journal of pediatric rehabilitation medicine","FirstCategoryId":"1085","ListUrlMain":"https://doi.org/10.3233/PRM-220121","RegionNum":0,"RegionCategory":null,"ArticlePicture":[],"TitleCN":null,"AbstractTextCN":null,"PMCID":null,"EPubDate":"","PubModel":"","JCR":"Q4","JCRName":"PEDIATRICS","Score":null,"Total":0}
引用次数: 0

摘要

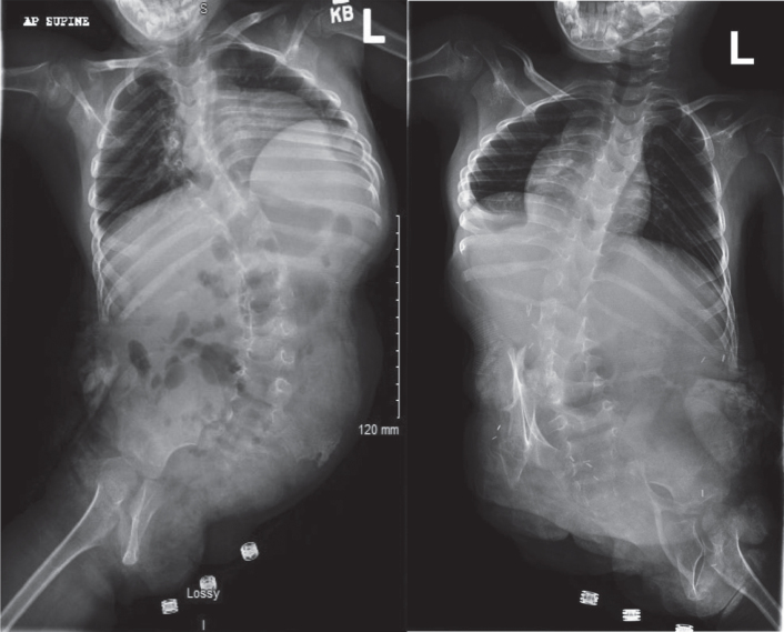
连体婴儿是在子宫内结合的同卵双胞胎,是一种罕见的现象。本报告讨论了一例女性胸-脑-髂-胫三连体双胞胎。这对双胞胎在两岁时被分开,在病情稳定后,她们接受了一个月的住院康复治疗,以改善坐姿平衡和大运动技能。之后又接受了门诊物理治疗。双胞胎最初使用的是定制的 ZipZac 座椅,她们可以独立推车。经过六个月的治疗后,她们开始使用后轮助行器和假肢行走。半十二指肠切除假体包括一个定制的胸腰骶部矫形组件,并直接连接到一个非关节化的塔架上。为了适应坐姿,还增加了一个手动锁定髋关节。完整的腿部使用了铰接式踝足矫形器。前连体婴儿的治疗需要多学科团队的全面护理,包括但不限于理疗师、矫形外科医生、理疗师和矫形器/假肢师。复杂的先天性肢体缺损往往是康复团队的一项重要任务,因为由于生长、发育和不断变化的身体需求,患者一生中都需要持续的治疗和管理。解剖变异必须根据具体情况进行检查,但通常包括肢体缺损、矫形异常和器官合并症。
本文章由计算机程序翻译,如有差异,请以英文原文为准。

Rehabilitation and functional outcomes for thoraco-omphalo-ischiopagus conjoined twins five years after separation: A case report.

Rehabilitation and functional outcomes for thoraco-omphalo-ischiopagus conjoined twins five years after separation: A case report.

Rehabilitation and functional outcomes for thoraco-omphalo-ischiopagus conjoined twins five years after separation: A case report.

Rehabilitation and functional outcomes for thoraco-omphalo-ischiopagus conjoined twins five years after separation: A case report.

Conjoined twins are identical twins joined in utero and are a rare phenomenon. This report discusses a case of female thoraco-omphalo-ischiopagus tripus conjoined twins. The twins were separated at age two, and once medically stable, spent one month in inpatient rehabilitation to improve their sitting balance and gross motor skills. This was followed by outpatient physical therapy. The twins initially had customized ZipZac seats, which they were able to wheel independently. After six months of therapy, the girls began walking with posterior walkers and prostheses. The hemipelvectomy prosthesis included a customized thoracolumbosacral orthosis component and was directly attached to a non-articulated pylon. A manual-locking hip joint was added to accommodate sitting. An articulated ankle-foot orthosis was used for the intact leg. Care of formerly conjoined twins requires comprehensive care from a multidisciplinary team involving, but not limited to, a physiatrist, orthopaedic surgeon, physical therapist, and orthotist/prosthetist. Complex congenital limb deficiencies are often a major undertaking for the rehabilitation team as continuous treatment and management are needed throughout the patient's lifetime due to growth, development, and evolving physical demands. Anatomic variations must be examined on a case-by-case basis but often include limb deficiencies, orthopedic abnormalities, and organ comorbidities.

求助全文
通过发布文献求助,成功后即可免费获取论文全文。 去求助
来源期刊
CiteScore
2.30
自引率
5.30%
发文量
139
×
引用
GB/T 7714-2015
复制
MLA
复制
APA
复制
导出至
BibTeX EndNote RefMan NoteFirst NoteExpress
×
提示
您的信息不完整,为了账户安全,请先补充。
现在去补充
×
提示
您因"违规操作"
具体请查看互助需知
我知道了
×
提示
确定
请完成安全验证×
copy
已复制链接
快去分享给好友吧!
我知道了
右上角分享
点击右上角分享
0
联系我们:info@booksci.cn Book学术提供免费学术资源搜索服务,方便国内外学者检索中英文文献。致力于提供最便捷和优质的服务体验。 Copyright © 2023 布克学术 All rights reserved.
京ICP备2023020795号-1
ghs 京公网安备 11010802042870号
Book学术文献互助
Book学术文献互助群
群 号:604180095
Book学术官方微信