基于神经黑素成像的三维磁化转移和光谱预饱和与反转复原成像的比较。

IF 3.2
Midori Kusama, Yukio Kimura, Masami Yoneyama, Takashi Namiki, Takeshi Tamaru, Kenji Miyagi, Noriko Sato
{"title":"基于神经黑素成像的三维磁化转移和光谱预饱和与反转复原成像的比较。","authors":"Midori Kusama, Yukio Kimura, Masami Yoneyama, Takashi Namiki, Takeshi Tamaru, Kenji Miyagi, Noriko Sato","doi":"10.2463/mrms.mp.2023-0095","DOIUrl":null,"url":null,"abstract":"<p><strong>Purpose: </strong>Neuromelanin is visualized by optimizing the conditions of longitudinal relaxation (T1)-weighted imaging (T1WI). Although it was originally developed in 2D imaging, 3D imaging has been also reported, and T1WI sequences with magnetization transfer (MT) pulses are now widely used in 3D gradient echo (GRE) sequences. In this study, we assert that the use of spectral presaturation with inversion recovery (SPIR) may also be useful as an alternative to MT pulses, and we optimize SPIR and compare it with MT.</p><p><strong>Methods: </strong>Neuromelanin images with MT pulse and SPIR (flip angles [FAs] = 19º, 22º, and 25º) were acquired from 30 healthy volunteers. To achieve the same acquisition time of 5 min, the slab thickness of the MT images was less than 1/3 of those of the SPIR images; the acquisition areas for MT and SPIR were the brainstem and the whole brain, respectively. Visual and quantitative evaluation was performed and compared on the four sequences acquired for the substantia nigra pars compacta (SNc) and the locus coeruleus (LC). For visual assessment, we used the mean score from a 3-point scale by two evaluators. For quantitative evaluation, the contrast ratios of SNc and LC were calculated in comparison with the background tissue signal.</p><p><strong>Results: </strong>In visual assessments, the mean scores of the SPIR FA19º and FA22º images were better than others in the SNc. Regarding LC, the SPIR FA22º image yielded the best mean score. In quantitative evaluations, the MT image was significantly lower than the other three images in SNc. Regarding LC, there were no significant differences among the four acquired images (MT and SPIR FA19º, FA22º, and FA25º).</p><p><strong>Conclusions: </strong>Detection of neuromelanin in SNc and LC was improved by the use of SPIR compared to MT pulse in 3D neuromelanin imaging.</p>","PeriodicalId":94126,"journal":{"name":"Magnetic resonance in medical sciences : MRMS : an official journal of Japan Society of Magnetic Resonance in Medicine","volume":" ","pages":"184-190"},"PeriodicalIF":3.2000,"publicationDate":"2025-04-01","publicationTypes":"Journal Article","fieldsOfStudy":null,"isOpenAccess":false,"openAccessPdf":"https://www.ncbi.nlm.nih.gov/pmc/articles/PMC11996245/pdf/","citationCount":"0","resultStr":"{\"title\":\"Comparison of 3D Magnetization-transfer- and Spectral-presaturation-with-inversion-recovery-based Neuromelanin Imaging.\",\"authors\":\"Midori Kusama, Yukio Kimura, Masami Yoneyama, Takashi Namiki, Takeshi Tamaru, Kenji Miyagi, Noriko Sato\",\"doi\":\"10.2463/mrms.mp.2023-0095\",\"DOIUrl\":null,\"url\":null,\"abstract\":\"<p><strong>Purpose: </strong>Neuromelanin is visualized by optimizing the conditions of longitudinal relaxation (T1)-weighted imaging (T1WI). Although it was originally developed in 2D imaging, 3D imaging has been also reported, and T1WI sequences with magnetization transfer (MT) pulses are now widely used in 3D gradient echo (GRE) sequences. In this study, we assert that the use of spectral presaturation with inversion recovery (SPIR) may also be useful as an alternative to MT pulses, and we optimize SPIR and compare it with MT.</p><p><strong>Methods: </strong>Neuromelanin images with MT pulse and SPIR (flip angles [FAs] = 19º, 22º, and 25º) were acquired from 30 healthy volunteers. To achieve the same acquisition time of 5 min, the slab thickness of the MT images was less than 1/3 of those of the SPIR images; the acquisition areas for MT and SPIR were the brainstem and the whole brain, respectively. Visual and quantitative evaluation was performed and compared on the four sequences acquired for the substantia nigra pars compacta (SNc) and the locus coeruleus (LC). For visual assessment, we used the mean score from a 3-point scale by two evaluators. For quantitative evaluation, the contrast ratios of SNc and LC were calculated in comparison with the background tissue signal.</p><p><strong>Results: </strong>In visual assessments, the mean scores of the SPIR FA19º and FA22º images were better than others in the SNc. Regarding LC, the SPIR FA22º image yielded the best mean score. In quantitative evaluations, the MT image was significantly lower than the other three images in SNc. Regarding LC, there were no significant differences among the four acquired images (MT and SPIR FA19º, FA22º, and FA25º).</p><p><strong>Conclusions: </strong>Detection of neuromelanin in SNc and LC was improved by the use of SPIR compared to MT pulse in 3D neuromelanin imaging.</p>\",\"PeriodicalId\":94126,\"journal\":{\"name\":\"Magnetic resonance in medical sciences : MRMS : an official journal of Japan Society of Magnetic Resonance in Medicine\",\"volume\":\" \",\"pages\":\"184-190\"},\"PeriodicalIF\":3.2000,\"publicationDate\":\"2025-04-01\",\"publicationTypes\":\"Journal Article\",\"fieldsOfStudy\":null,\"isOpenAccess\":false,\"openAccessPdf\":\"https://www.ncbi.nlm.nih.gov/pmc/articles/PMC11996245/pdf/\",\"citationCount\":\"0\",\"resultStr\":null,\"platform\":\"Semanticscholar\",\"paperid\":null,\"PeriodicalName\":\"Magnetic resonance in medical sciences : MRMS : an official journal of Japan Society of Magnetic Resonance in Medicine\",\"FirstCategoryId\":\"1085\",\"ListUrlMain\":\"https://doi.org/10.2463/mrms.mp.2023-0095\",\"RegionNum\":0,\"RegionCategory\":null,\"ArticlePicture\":[],\"TitleCN\":null,\"AbstractTextCN\":null,\"PMCID\":null,\"EPubDate\":\"2024/2/21 0:00:00\",\"PubModel\":\"Epub\",\"JCR\":\"\",\"JCRName\":\"\",\"Score\":null,\"Total\":0}","platform":"Semanticscholar","paperid":null,"PeriodicalName":"Magnetic resonance in medical sciences : MRMS : an official journal of Japan Society of Magnetic Resonance in Medicine","FirstCategoryId":"1085","ListUrlMain":"https://doi.org/10.2463/mrms.mp.2023-0095","RegionNum":0,"RegionCategory":null,"ArticlePicture":[],"TitleCN":null,"AbstractTextCN":null,"PMCID":null,"EPubDate":"2024/2/21 0:00:00","PubModel":"Epub","JCR":"","JCRName":"","Score":null,"Total":0}
引用次数: 0

摘要

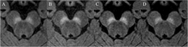
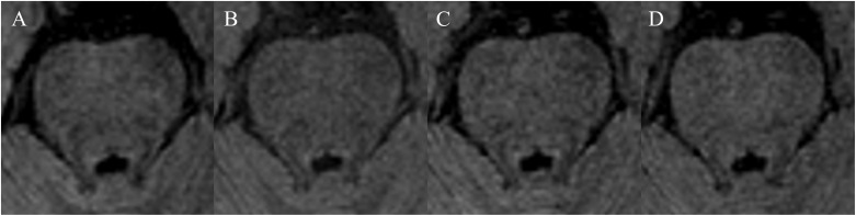
目的:通过优化纵向弛豫(T1)加权成像(T1WI)的条件来观察神经黑素。虽然它最初是在二维成像中开发的,但三维成像也有报道,目前带有磁化转移(MT)脉冲的 T1WI 序列已广泛应用于三维梯度回波(GRE)序列中。在本研究中,我们认为使用带反转恢复(SPIR)的频谱预饱和也可替代 MT 脉冲,我们对 SPIR 进行了优化,并将其与 MT 进行了比较:方法:我们从 30 名健康志愿者身上采集了 MT 脉冲和 SPIR(翻转角 [FA] = 19º、22º 和 25º)神经黑素图像。为了实现相同的 5 分钟采集时间,MT 图像的板厚度小于 SPIR 图像的 1/3;MT 和 SPIR 的采集区域分别为脑干和全脑。我们对采集到的四个序列进行了视觉和定量评估,并对黑质(SNc)和小叶区(LC)进行了比较。在视觉评估方面,我们采用了由两名评估员进行 3 点评分的平均值。在定量评估中,我们计算了SNc和LC与背景组织信号的对比度:在视觉评估中,SPIR FA19º和FA22º图像的平均得分在SNc方面优于其他图像。在 LC 方面,SPIR FA22º 图像的平均得分最高。在定量评估中,MT 图像明显低于 SNc 中的其他三种图像。在低密度脂蛋白胆固醇方面,所获得的四张图像(MT 和 SPIR FA19º、FA22º 和 FA25º)之间没有明显差异:结论:在三维神经黑素成像中,使用 SPIR 比 MT 脉冲能更好地检测 SNc 和 LC 中的神经黑素。
本文章由计算机程序翻译,如有差异,请以英文原文为准。

Comparison of 3D Magnetization-transfer- and Spectral-presaturation-with-inversion-recovery-based Neuromelanin Imaging.

Comparison of 3D Magnetization-transfer- and Spectral-presaturation-with-inversion-recovery-based Neuromelanin Imaging.

Comparison of 3D Magnetization-transfer- and Spectral-presaturation-with-inversion-recovery-based Neuromelanin Imaging.

Comparison of 3D Magnetization-transfer- and Spectral-presaturation-with-inversion-recovery-based Neuromelanin Imaging.

Purpose: Neuromelanin is visualized by optimizing the conditions of longitudinal relaxation (T1)-weighted imaging (T1WI). Although it was originally developed in 2D imaging, 3D imaging has been also reported, and T1WI sequences with magnetization transfer (MT) pulses are now widely used in 3D gradient echo (GRE) sequences. In this study, we assert that the use of spectral presaturation with inversion recovery (SPIR) may also be useful as an alternative to MT pulses, and we optimize SPIR and compare it with MT.

Methods: Neuromelanin images with MT pulse and SPIR (flip angles [FAs] = 19º, 22º, and 25º) were acquired from 30 healthy volunteers. To achieve the same acquisition time of 5 min, the slab thickness of the MT images was less than 1/3 of those of the SPIR images; the acquisition areas for MT and SPIR were the brainstem and the whole brain, respectively. Visual and quantitative evaluation was performed and compared on the four sequences acquired for the substantia nigra pars compacta (SNc) and the locus coeruleus (LC). For visual assessment, we used the mean score from a 3-point scale by two evaluators. For quantitative evaluation, the contrast ratios of SNc and LC were calculated in comparison with the background tissue signal.

Results: In visual assessments, the mean scores of the SPIR FA19º and FA22º images were better than others in the SNc. Regarding LC, the SPIR FA22º image yielded the best mean score. In quantitative evaluations, the MT image was significantly lower than the other three images in SNc. Regarding LC, there were no significant differences among the four acquired images (MT and SPIR FA19º, FA22º, and FA25º).

Conclusions: Detection of neuromelanin in SNc and LC was improved by the use of SPIR compared to MT pulse in 3D neuromelanin imaging.

求助全文
通过发布文献求助,成功后即可免费获取论文全文。 去求助
来源期刊
自引率
0.00%
发文量
0
×
引用
GB/T 7714-2015
复制
MLA
复制
APA
复制
导出至
BibTeX EndNote RefMan NoteFirst NoteExpress
×
提示
您的信息不完整,为了账户安全,请先补充。
现在去补充
×
提示
您因"违规操作"
具体请查看互助需知
我知道了
×
提示
确定
请完成安全验证×
copy
已复制链接
快去分享给好友吧!
我知道了
右上角分享
点击右上角分享
0
联系我们:info@booksci.cn Book学术提供免费学术资源搜索服务,方便国内外学者检索中英文文献。致力于提供最便捷和优质的服务体验。 Copyright © 2023 布克学术 All rights reserved.
京ICP备2023020795号-1
ghs 京公网安备 11010802042870号
Book学术文献互助
Book学术文献互助群
群 号:604180095
Book学术官方微信