巴氏腺囊肿包裹性血肿

Petraq Mustaqe, Artemis Ibra, Georgios-Ioannis Verras, Fotios Iliopoulos, Levan Tchabashvili, Konstantinos Tasios, Vasileios Leivaditis, Konstantinos Bouchagier, Francesk Mulita
{"title":"巴氏腺囊肿包裹性血肿","authors":"Petraq Mustaqe, Artemis Ibra, Georgios-Ioannis Verras, Fotios Iliopoulos, Levan Tchabashvili, Konstantinos Tasios, Vasileios Leivaditis, Konstantinos Bouchagier, Francesk Mulita","doi":"10.5455/msm.2023.35.339-341","DOIUrl":null,"url":null,"abstract":"<p><p>Bartholin's glands are important organs of the female reproductive system. These glands have the function of producing an alkaline mucoid secretion, which helps in vaginal and vulvar lubrication. There are several types of lesions that can be identified in these anatomical structures, where in most cases presented for medical examination, cysts and abscesses predominate. This is the presentation of a clinical case of a 55-year-old patient, who is presented to the surgeon for her complaints. Once the woman is examined, diagnosed, and treated adequately, she is taken into consideration for presenting her case in this study, while maintaining confidentiality. The presented clinical case provides a clinical framework not easy to establish an accurate diagnosis of a Bartholin gland cyst. Careful physical examination by the surgeon and careful preparation with electrosurgery verified the cyst-hematoma left and just above the posterior fornix, where some material was taken from the cyst capsule and hematoma and sent for histological examination. The histological response concluded with cystic hematoma of the Bartholin gland. Cystic lesions of the vagina are relatively common and usually represent a benign condition. Ways of managing Bartholin gland cysts vary depending on the discomfort they bring to the patient as well as the size or even the anatomical extent of the cystic lesion. However, the physical examination, with a careful inspection by the surgeon, combined with the imaging examinations, requires a biopsy examination, which is the confirmation of the diagnosis.</p>","PeriodicalId":94128,"journal":{"name":"Materia socio-medica","volume":"35 4","pages":"339-341"},"PeriodicalIF":0.0000,"publicationDate":"2023-01-01","publicationTypes":"Journal Article","fieldsOfStudy":null,"isOpenAccess":false,"openAccessPdf":"https://www.ncbi.nlm.nih.gov/pmc/articles/PMC10875947/pdf/","citationCount":"0","resultStr":"{\"title\":\"Encapsulated Hematoma of the Bartholin's Glandule.\",\"authors\":\"Petraq Mustaqe, Artemis Ibra, Georgios-Ioannis Verras, Fotios Iliopoulos, Levan Tchabashvili, Konstantinos Tasios, Vasileios Leivaditis, Konstantinos Bouchagier, Francesk Mulita\",\"doi\":\"10.5455/msm.2023.35.339-341\",\"DOIUrl\":null,\"url\":null,\"abstract\":\"<p><p>Bartholin's glands are important organs of the female reproductive system. These glands have the function of producing an alkaline mucoid secretion, which helps in vaginal and vulvar lubrication. There are several types of lesions that can be identified in these anatomical structures, where in most cases presented for medical examination, cysts and abscesses predominate. This is the presentation of a clinical case of a 55-year-old patient, who is presented to the surgeon for her complaints. Once the woman is examined, diagnosed, and treated adequately, she is taken into consideration for presenting her case in this study, while maintaining confidentiality. The presented clinical case provides a clinical framework not easy to establish an accurate diagnosis of a Bartholin gland cyst. Careful physical examination by the surgeon and careful preparation with electrosurgery verified the cyst-hematoma left and just above the posterior fornix, where some material was taken from the cyst capsule and hematoma and sent for histological examination. The histological response concluded with cystic hematoma of the Bartholin gland. Cystic lesions of the vagina are relatively common and usually represent a benign condition. Ways of managing Bartholin gland cysts vary depending on the discomfort they bring to the patient as well as the size or even the anatomical extent of the cystic lesion. However, the physical examination, with a careful inspection by the surgeon, combined with the imaging examinations, requires a biopsy examination, which is the confirmation of the diagnosis.</p>\",\"PeriodicalId\":94128,\"journal\":{\"name\":\"Materia socio-medica\",\"volume\":\"35 4\",\"pages\":\"339-341\"},\"PeriodicalIF\":0.0000,\"publicationDate\":\"2023-01-01\",\"publicationTypes\":\"Journal Article\",\"fieldsOfStudy\":null,\"isOpenAccess\":false,\"openAccessPdf\":\"https://www.ncbi.nlm.nih.gov/pmc/articles/PMC10875947/pdf/\",\"citationCount\":\"0\",\"resultStr\":null,\"platform\":\"Semanticscholar\",\"paperid\":null,\"PeriodicalName\":\"Materia socio-medica\",\"FirstCategoryId\":\"1085\",\"ListUrlMain\":\"https://doi.org/10.5455/msm.2023.35.339-341\",\"RegionNum\":0,\"RegionCategory\":null,\"ArticlePicture\":[],\"TitleCN\":null,\"AbstractTextCN\":null,\"PMCID\":null,\"EPubDate\":\"\",\"PubModel\":\"\",\"JCR\":\"\",\"JCRName\":\"\",\"Score\":null,\"Total\":0}","platform":"Semanticscholar","paperid":null,"PeriodicalName":"Materia socio-medica","FirstCategoryId":"1085","ListUrlMain":"https://doi.org/10.5455/msm.2023.35.339-341","RegionNum":0,"RegionCategory":null,"ArticlePicture":[],"TitleCN":null,"AbstractTextCN":null,"PMCID":null,"EPubDate":"","PubModel":"","JCR":"","JCRName":"","Score":null,"Total":0}
引用次数: 0

摘要

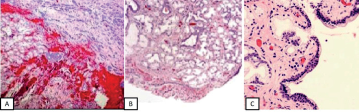
巴氏腺是女性生殖系统的重要器官。这些腺体具有产生碱性粘液分泌物的功能,有助于润滑阴道和外阴。在这些解剖结构中可以发现几种类型的病变,在大多数医学检查病例中,以囊肿和脓肿为主。这是一个 55 岁患者的临床病例,她因主诉而就诊于外科医生。在对这名妇女进行检查、诊断和适当治疗后,在保密的前提下,我们将考虑在本研究中介绍她的病例。本临床病例提供了一个不易准确诊断巴氏腺囊肿的临床框架。外科医生进行了仔细的体格检查,并通过电外科手术进行了精心准备,证实囊肿血肿位于后穹窿左上方,并从囊肿囊和血肿中提取了一些材料送去进行组织学检查。组织学反应的结论是巴氏腺囊性血肿。阴道囊性病变比较常见,通常为良性病变。处理巴氏腺囊肿的方法各不相同,这取决于囊肿给患者带来的不适以及囊肿的大小甚至解剖范围。不过,通过体格检查、外科医生的仔细检查以及影像学检查,需要进行活组织检查以确诊。
本文章由计算机程序翻译,如有差异,请以英文原文为准。

Encapsulated Hematoma of the Bartholin's Glandule.

Encapsulated Hematoma of the Bartholin's Glandule.

Bartholin's glands are important organs of the female reproductive system. These glands have the function of producing an alkaline mucoid secretion, which helps in vaginal and vulvar lubrication. There are several types of lesions that can be identified in these anatomical structures, where in most cases presented for medical examination, cysts and abscesses predominate. This is the presentation of a clinical case of a 55-year-old patient, who is presented to the surgeon for her complaints. Once the woman is examined, diagnosed, and treated adequately, she is taken into consideration for presenting her case in this study, while maintaining confidentiality. The presented clinical case provides a clinical framework not easy to establish an accurate diagnosis of a Bartholin gland cyst. Careful physical examination by the surgeon and careful preparation with electrosurgery verified the cyst-hematoma left and just above the posterior fornix, where some material was taken from the cyst capsule and hematoma and sent for histological examination. The histological response concluded with cystic hematoma of the Bartholin gland. Cystic lesions of the vagina are relatively common and usually represent a benign condition. Ways of managing Bartholin gland cysts vary depending on the discomfort they bring to the patient as well as the size or even the anatomical extent of the cystic lesion. However, the physical examination, with a careful inspection by the surgeon, combined with the imaging examinations, requires a biopsy examination, which is the confirmation of the diagnosis.

求助全文
通过发布文献求助,成功后即可免费获取论文全文。 去求助
来源期刊
CiteScore
1.80
自引率
0.00%
发文量
0
×
引用
GB/T 7714-2015
复制
MLA
复制
APA
复制
导出至
BibTeX EndNote RefMan NoteFirst NoteExpress
×
提示
您的信息不完整,为了账户安全,请先补充。
现在去补充
×
提示
您因"违规操作"
具体请查看互助需知
我知道了
×
提示
确定
请完成安全验证×
copy
已复制链接
快去分享给好友吧!
我知道了
右上角分享
点击右上角分享
0
联系我们:info@booksci.cn Book学术提供免费学术资源搜索服务,方便国内外学者检索中英文文献。致力于提供最便捷和优质的服务体验。 Copyright © 2023 布克学术 All rights reserved.
京ICP备2023020795号-1
ghs 京公网安备 11010802042870号
Book学术文献互助
Book学术文献互助群
群 号:604180095
Book学术官方微信