从成像角度看:成像坏死在胶质瘤诊断和预后预测中的重要性--单中心经验。

IF 2.2 4区 医学 Q3 ONCOLOGY
Radiology and Oncology Pub Date : 2024-02-21 eCollection Date: 2024-03-01 DOI:10.2478/raon-2024-0014
Hui Ma, Shanmei Zeng, Dingxiang Xie, Wenting Zeng, Yingqian Huang, Liwei Mazu, Nengjin Zhu, Zhiyun Yang, Jianping Chu, Jing Zhao
{"title":"从成像角度看:成像坏死在胶质瘤诊断和预后预测中的重要性--单中心经验。","authors":"Hui Ma, Shanmei Zeng, Dingxiang Xie, Wenting Zeng, Yingqian Huang, Liwei Mazu, Nengjin Zhu, Zhiyun Yang, Jianping Chu, Jing Zhao","doi":"10.2478/raon-2024-0014","DOIUrl":null,"url":null,"abstract":"<p><strong>Background: </strong>The aim of the study was to investigate the diagnostic value of imaging necrosis (Im<sub>necrosis</sub>) in grading, predict the genotype and prognosis of gliomas, and further assess tumor necrosis by dynamic contrast-enhanced MR perfusion imaging (DCE-MRI).</p><p><strong>Patients and methods: </strong>We retrospectively included 150 patients (104 males, mean age: 46 years old) pathologically proved as adult diffuse gliomas and all diagnosis was based on the 2021 WHO central nervous system (CNS) classification. The pathological necrosis (Pa<sub>necrosis</sub>) and gene mutation information were collected. All patients underwent conventional and DCE-MRI examinations and had been followed until May 31, 2021. The Im<sub>necrosis</sub> was determined by two experienced neuroradiologists. DCE-MRI derived metric maps have been post-processed, and the mean value of each metric in the tumor parenchyma, peritumoral and contralateral area were recorded.</p><p><strong>Results: </strong>There was a strong degree of inter-observer agreement in defining Im<sub>necrosis</sub> (Kappa = 0.668, p < 0.001) and a strong degree of agreement between Im<sub>necrosis</sub> and Pa<sub>necrosis</sub> (Kappa = 0.767, p < 0.001). Compared to low-grade gliomas, high-grade gliomas had more Im<sub>necrosis</sub> (85.37%, p < 0.001), and Im<sub>necrosis</sub> significantly increased with the grade of gliomas increasing. And Im<sub>necrosis</sub> was significantly more identified in <i>IDH</i>-wildtype, <i>1p19q</i>-non-codeletion, and <i>CDKN2A/B</i>-homozygous-deletion gliomas. Using multivariate Cox regression analysis, Im<sub>necrosis</sub> was an independent and unfavorable prognosis factor (Hazard Ratio = 2.113, p = 0.046) in gliomas. Additionally, extravascular extracellular volume fraction (<i>ve</i>) in tumor parenchyma derived from DCE-MRI demonstrated the highest diagnostic efficiency in identifying Pa<sub>necrosis</sub> and Im<sub>necrosis</sub> with high specificity (83.3% and 91.9%, respectively).</p><p><strong>Conclusions: </strong>Im<sub>necrosis</sub> can provide supplementary evidence beyond Pa<sub>necrosis</sub> in grading, predicting the genotype and prognosis of gliomas, and <i>ve</i> in tumor parenchyma can help to predict tumor necrosis with high specificity.</p>","PeriodicalId":21034,"journal":{"name":"Radiology and Oncology","volume":"58 1","pages":"23-32"},"PeriodicalIF":2.2000,"publicationDate":"2024-02-21","publicationTypes":"Journal Article","fieldsOfStudy":null,"isOpenAccess":false,"openAccessPdf":"https://www.ncbi.nlm.nih.gov/pmc/articles/PMC10878771/pdf/","citationCount":"0","resultStr":"{\"title\":\"Looking through the imaging perspective: the importance of imaging necrosis in glioma diagnosis and prognostic prediction - single centre experience.\",\"authors\":\"Hui Ma, Shanmei Zeng, Dingxiang Xie, Wenting Zeng, Yingqian Huang, Liwei Mazu, Nengjin Zhu, Zhiyun Yang, Jianping Chu, Jing Zhao\",\"doi\":\"10.2478/raon-2024-0014\",\"DOIUrl\":null,\"url\":null,\"abstract\":\"<p><strong>Background: </strong>The aim of the study was to investigate the diagnostic value of imaging necrosis (Im<sub>necrosis</sub>) in grading, predict the genotype and prognosis of gliomas, and further assess tumor necrosis by dynamic contrast-enhanced MR perfusion imaging (DCE-MRI).</p><p><strong>Patients and methods: </strong>We retrospectively included 150 patients (104 males, mean age: 46 years old) pathologically proved as adult diffuse gliomas and all diagnosis was based on the 2021 WHO central nervous system (CNS) classification. The pathological necrosis (Pa<sub>necrosis</sub>) and gene mutation information were collected. All patients underwent conventional and DCE-MRI examinations and had been followed until May 31, 2021. The Im<sub>necrosis</sub> was determined by two experienced neuroradiologists. DCE-MRI derived metric maps have been post-processed, and the mean value of each metric in the tumor parenchyma, peritumoral and contralateral area were recorded.</p><p><strong>Results: </strong>There was a strong degree of inter-observer agreement in defining Im<sub>necrosis</sub> (Kappa = 0.668, p < 0.001) and a strong degree of agreement between Im<sub>necrosis</sub> and Pa<sub>necrosis</sub> (Kappa = 0.767, p < 0.001). Compared to low-grade gliomas, high-grade gliomas had more Im<sub>necrosis</sub> (85.37%, p < 0.001), and Im<sub>necrosis</sub> significantly increased with the grade of gliomas increasing. And Im<sub>necrosis</sub> was significantly more identified in <i>IDH</i>-wildtype, <i>1p19q</i>-non-codeletion, and <i>CDKN2A/B</i>-homozygous-deletion gliomas. Using multivariate Cox regression analysis, Im<sub>necrosis</sub> was an independent and unfavorable prognosis factor (Hazard Ratio = 2.113, p = 0.046) in gliomas. Additionally, extravascular extracellular volume fraction (<i>ve</i>) in tumor parenchyma derived from DCE-MRI demonstrated the highest diagnostic efficiency in identifying Pa<sub>necrosis</sub> and Im<sub>necrosis</sub> with high specificity (83.3% and 91.9%, respectively).</p><p><strong>Conclusions: </strong>Im<sub>necrosis</sub> can provide supplementary evidence beyond Pa<sub>necrosis</sub> in grading, predicting the genotype and prognosis of gliomas, and <i>ve</i> in tumor parenchyma can help to predict tumor necrosis with high specificity.</p>\",\"PeriodicalId\":21034,\"journal\":{\"name\":\"Radiology and Oncology\",\"volume\":\"58 1\",\"pages\":\"23-32\"},\"PeriodicalIF\":2.2000,\"publicationDate\":\"2024-02-21\",\"publicationTypes\":\"Journal Article\",\"fieldsOfStudy\":null,\"isOpenAccess\":false,\"openAccessPdf\":\"https://www.ncbi.nlm.nih.gov/pmc/articles/PMC10878771/pdf/\",\"citationCount\":\"0\",\"resultStr\":null,\"platform\":\"Semanticscholar\",\"paperid\":null,\"PeriodicalName\":\"Radiology and Oncology\",\"FirstCategoryId\":\"3\",\"ListUrlMain\":\"https://doi.org/10.2478/raon-2024-0014\",\"RegionNum\":4,\"RegionCategory\":\"医学\",\"ArticlePicture\":[],\"TitleCN\":null,\"AbstractTextCN\":null,\"PMCID\":null,\"EPubDate\":\"2024/3/1 0:00:00\",\"PubModel\":\"eCollection\",\"JCR\":\"Q3\",\"JCRName\":\"ONCOLOGY\",\"Score\":null,\"Total\":0}","platform":"Semanticscholar","paperid":null,"PeriodicalName":"Radiology and Oncology","FirstCategoryId":"3","ListUrlMain":"https://doi.org/10.2478/raon-2024-0014","RegionNum":4,"RegionCategory":"医学","ArticlePicture":[],"TitleCN":null,"AbstractTextCN":null,"PMCID":null,"EPubDate":"2024/3/1 0:00:00","PubModel":"eCollection","JCR":"Q3","JCRName":"ONCOLOGY","Score":null,"Total":0}
引用次数: 0

摘要

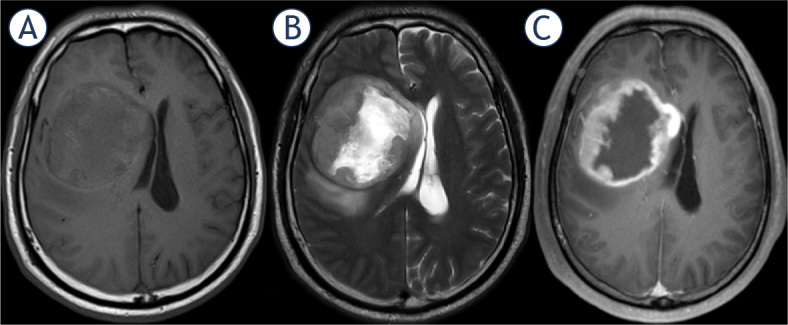
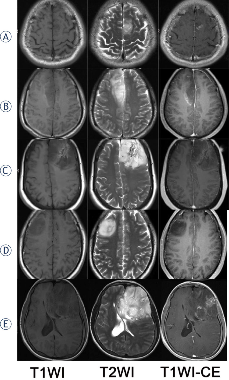
研究背景该研究旨在探讨影像学坏死(Imnecrosis)在胶质瘤分级中的诊断价值,预测胶质瘤的基因型和预后,并通过动态对比增强磁共振灌注成像(DCE-MRI)进一步评估肿瘤坏死:我们回顾性地纳入了150例经病理证实为成人弥漫性胶质瘤的患者(104例男性,平均年龄46岁),所有诊断均基于2021年世界卫生组织(WHO)中枢神经系统(CNS)分类。收集了病理坏死(Panecrosis)和基因突变信息。所有患者均接受了常规和 DCE-MRI 检查,并一直随访至 2021 年 5 月 31 日。Imnecrosis由两名经验丰富的神经放射科医生确定。DCE-MRI得出的指标图经过后处理,记录了肿瘤实质、瘤周和对侧区域每个指标的平均值:在定义瘤体坏死时,观察者之间的一致性很高(Kappa = 0.668,p < 0.001),瘤体坏死和泛坏死之间的一致性也很高(Kappa = 0.767,p < 0.001)。与低级别胶质瘤相比,高级别胶质瘤有更多的Imnecrosis(85.37%,P<0.001),并且Imnecrosis随着胶质瘤级别的增加而显著增加。IDH-野生型、1p19q-非缺码和CDKN2A/B-杂合子缺失胶质瘤中的Imnecrosis明显增多。通过多变量考克斯回归分析,脑坏死是胶质瘤的一个独立且不利的预后因素(危险比=2.113,p=0.046)。此外,DCE-MRI得出的肿瘤实质中血管外细胞外体积分数(ve)在鉴别Panecrosis和Imnecrosis方面显示出最高的诊断效率,特异性很高(分别为83.3%和91.9%):结论:Imnecrosis可为胶质瘤的分级、基因型和预后预测提供Panecrosis之外的补充证据,而肿瘤实质中的ve可帮助预测肿瘤坏死,且特异性高。
本文章由计算机程序翻译,如有差异,请以英文原文为准。

Looking through the imaging perspective: the importance of imaging necrosis in glioma diagnosis and prognostic prediction - single centre experience.

Looking through the imaging perspective: the importance of imaging necrosis in glioma diagnosis and prognostic prediction - single centre experience.

Looking through the imaging perspective: the importance of imaging necrosis in glioma diagnosis and prognostic prediction - single centre experience.

Looking through the imaging perspective: the importance of imaging necrosis in glioma diagnosis and prognostic prediction - single centre experience.

Background: The aim of the study was to investigate the diagnostic value of imaging necrosis (Imnecrosis) in grading, predict the genotype and prognosis of gliomas, and further assess tumor necrosis by dynamic contrast-enhanced MR perfusion imaging (DCE-MRI).

Patients and methods: We retrospectively included 150 patients (104 males, mean age: 46 years old) pathologically proved as adult diffuse gliomas and all diagnosis was based on the 2021 WHO central nervous system (CNS) classification. The pathological necrosis (Panecrosis) and gene mutation information were collected. All patients underwent conventional and DCE-MRI examinations and had been followed until May 31, 2021. The Imnecrosis was determined by two experienced neuroradiologists. DCE-MRI derived metric maps have been post-processed, and the mean value of each metric in the tumor parenchyma, peritumoral and contralateral area were recorded.

Results: There was a strong degree of inter-observer agreement in defining Imnecrosis (Kappa = 0.668, p < 0.001) and a strong degree of agreement between Imnecrosis and Panecrosis (Kappa = 0.767, p < 0.001). Compared to low-grade gliomas, high-grade gliomas had more Imnecrosis (85.37%, p < 0.001), and Imnecrosis significantly increased with the grade of gliomas increasing. And Imnecrosis was significantly more identified in IDH-wildtype, 1p19q-non-codeletion, and CDKN2A/B-homozygous-deletion gliomas. Using multivariate Cox regression analysis, Imnecrosis was an independent and unfavorable prognosis factor (Hazard Ratio = 2.113, p = 0.046) in gliomas. Additionally, extravascular extracellular volume fraction (ve) in tumor parenchyma derived from DCE-MRI demonstrated the highest diagnostic efficiency in identifying Panecrosis and Imnecrosis with high specificity (83.3% and 91.9%, respectively).

Conclusions: Imnecrosis can provide supplementary evidence beyond Panecrosis in grading, predicting the genotype and prognosis of gliomas, and ve in tumor parenchyma can help to predict tumor necrosis with high specificity.

求助全文
通过发布文献求助,成功后即可免费获取论文全文。 去求助
来源期刊
Radiology and Oncology
Radiology and Oncology ONCOLOGY-RADIOLOGY, NUCLEAR MEDICINE & MEDICAL IMAGING
CiteScore
4.40
自引率
0.00%
发文量
42
审稿时长
>12 weeks
期刊介绍: Radiology and Oncology is a multidisciplinary journal devoted to the publishing original and high quality scientific papers and review articles, pertinent to diagnostic and interventional radiology, computerized tomography, magnetic resonance, ultrasound, nuclear medicine, radiotherapy, clinical and experimental oncology, radiobiology, medical physics and radiation protection. Therefore, the scope of the journal is to cover beside radiology the diagnostic and therapeutic aspects in oncology, which distinguishes it from other journals in the field.
×
引用
GB/T 7714-2015
复制
MLA
复制
APA
复制
导出至
BibTeX EndNote RefMan NoteFirst NoteExpress
×
提示
您的信息不完整,为了账户安全,请先补充。
现在去补充
×
提示
您因"违规操作"
具体请查看互助需知
我知道了
×
提示
确定
请完成安全验证×
copy
已复制链接
快去分享给好友吧!
我知道了
右上角分享
点击右上角分享
0
联系我们:info@booksci.cn Book学术提供免费学术资源搜索服务,方便国内外学者检索中英文文献。致力于提供最便捷和优质的服务体验。 Copyright © 2023 布克学术 All rights reserved.
京ICP备2023020795号-1
ghs 京公网安备 11010802042870号
Book学术文献互助
Book学术文献互助群
群 号:604180095
Book学术官方微信