子宫消融术后的自发性异位剖宫产瘢痕三胎妊娠

IF 0.6 Q4 PEDIATRICS
AJP Reports Pub Date : 2024-02-18 eCollection Date: 2024-01-01 DOI:10.1055/s-0044-1779654
Zane Frazer Aldrich, Rena Ow, Khyaati Modii, Timothy O'Leary
{"title":"子宫消融术后的自发性异位剖宫产瘢痕三胎妊娠","authors":"Zane Frazer Aldrich, Rena Ow, Khyaati Modii, Timothy O'Leary","doi":"10.1055/s-0044-1779654","DOIUrl":null,"url":null,"abstract":"<p><p>Heterotopic triplet pregnancy, cesarean scar ectopic pregnancy, and pregnancy following uterine ablation are all rare events that confer significant morbidity including spontaneous abortion, intrauterine fetal demise, preterm labor, abnormal placentation, and uterine rupture. A woman in her 30s, G6P4014, with a history of uterine ablation presented with delayed menses and vaginal spotting with imaging showing two intrauterine pregnancies (one with cardiac activity) and one live pregnancy at the cesarean scar. The patient was extensively counseled on risk to her and to the pregnancies; treatment options were discussed including expectant management and termination of pregnancy. The patient underwent an uncomplicated dilation and curettage with bilateral salpingectomy and was discharged home the day of the procedure in stable condition. This case highlights the potential compound effect of comorbid conditions that can pose difficulty in counseling and management. <b>Key Points</b> Patients undergoing endometrial ablation should be carefully selected and counseled extensively on highly effective contraception.Suspected cesarean scar pregnancies should be carefully evaluated early in gestation. Management should include thorough counseling and may be indivisualized.Many conditions pose a significant threat to maternal health and warrant a discussion of termination, which should be widely availaible and safe for all who need and/or desire it.</p>","PeriodicalId":7645,"journal":{"name":"AJP Reports","volume":"14 1","pages":"e91-e95"},"PeriodicalIF":0.6000,"publicationDate":"2024-02-18","publicationTypes":"Journal Article","fieldsOfStudy":null,"isOpenAccess":false,"openAccessPdf":"https://www.ncbi.nlm.nih.gov/pmc/articles/PMC10874689/pdf/","citationCount":"0","resultStr":"{\"title\":\"Spontaneous Heterotopic Cesarean Scar Triplet Gestation Following Uterine Ablation.\",\"authors\":\"Zane Frazer Aldrich, Rena Ow, Khyaati Modii, Timothy O'Leary\",\"doi\":\"10.1055/s-0044-1779654\",\"DOIUrl\":null,\"url\":null,\"abstract\":\"<p><p>Heterotopic triplet pregnancy, cesarean scar ectopic pregnancy, and pregnancy following uterine ablation are all rare events that confer significant morbidity including spontaneous abortion, intrauterine fetal demise, preterm labor, abnormal placentation, and uterine rupture. A woman in her 30s, G6P4014, with a history of uterine ablation presented with delayed menses and vaginal spotting with imaging showing two intrauterine pregnancies (one with cardiac activity) and one live pregnancy at the cesarean scar. The patient was extensively counseled on risk to her and to the pregnancies; treatment options were discussed including expectant management and termination of pregnancy. The patient underwent an uncomplicated dilation and curettage with bilateral salpingectomy and was discharged home the day of the procedure in stable condition. This case highlights the potential compound effect of comorbid conditions that can pose difficulty in counseling and management. <b>Key Points</b> Patients undergoing endometrial ablation should be carefully selected and counseled extensively on highly effective contraception.Suspected cesarean scar pregnancies should be carefully evaluated early in gestation. Management should include thorough counseling and may be indivisualized.Many conditions pose a significant threat to maternal health and warrant a discussion of termination, which should be widely availaible and safe for all who need and/or desire it.</p>\",\"PeriodicalId\":7645,\"journal\":{\"name\":\"AJP Reports\",\"volume\":\"14 1\",\"pages\":\"e91-e95\"},\"PeriodicalIF\":0.6000,\"publicationDate\":\"2024-02-18\",\"publicationTypes\":\"Journal Article\",\"fieldsOfStudy\":null,\"isOpenAccess\":false,\"openAccessPdf\":\"https://www.ncbi.nlm.nih.gov/pmc/articles/PMC10874689/pdf/\",\"citationCount\":\"0\",\"resultStr\":null,\"platform\":\"Semanticscholar\",\"paperid\":null,\"PeriodicalName\":\"AJP Reports\",\"FirstCategoryId\":\"1085\",\"ListUrlMain\":\"https://doi.org/10.1055/s-0044-1779654\",\"RegionNum\":0,\"RegionCategory\":null,\"ArticlePicture\":[],\"TitleCN\":null,\"AbstractTextCN\":null,\"PMCID\":null,\"EPubDate\":\"2024/1/1 0:00:00\",\"PubModel\":\"eCollection\",\"JCR\":\"Q4\",\"JCRName\":\"PEDIATRICS\",\"Score\":null,\"Total\":0}","platform":"Semanticscholar","paperid":null,"PeriodicalName":"AJP Reports","FirstCategoryId":"1085","ListUrlMain":"https://doi.org/10.1055/s-0044-1779654","RegionNum":0,"RegionCategory":null,"ArticlePicture":[],"TitleCN":null,"AbstractTextCN":null,"PMCID":null,"EPubDate":"2024/1/1 0:00:00","PubModel":"eCollection","JCR":"Q4","JCRName":"PEDIATRICS","Score":null,"Total":0}
引用次数: 0

摘要

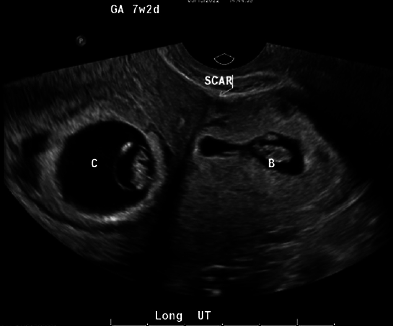
异位三胎妊娠、剖宫产瘢痕异位妊娠和子宫消融术后妊娠都是罕见的情况,会导致自然流产、宫内胎儿死亡、早产、胎盘异常和子宫破裂等重大疾病。一名 30 多岁的女性(G6P4014)曾做过子宫消融术,出现月经推迟和阴道点滴出血,造影显示两次宫内妊娠(其中一次有胎心活动),一次在剖宫产疤痕处活胎。医生对患者进行了广泛的咨询,让她了解自己和胎儿面临的风险,并讨论了各种治疗方案,包括预产期管理和终止妊娠。患者接受了不复杂的扩张刮宫术和双侧输卵管切除术,术后当天就出院回家,情况稳定。本病例强调了合并症的潜在复合效应,这些合并症会给咨询和管理带来困难。要点 接受子宫内膜消融术的患者应经过仔细挑选,并在高效避孕方面进行广泛咨询。许多情况都会对产妇的健康造成严重威胁,因此有必要讨论终止妊娠。
本文章由计算机程序翻译,如有差异,请以英文原文为准。

Spontaneous Heterotopic Cesarean Scar Triplet Gestation Following Uterine Ablation.

Spontaneous Heterotopic Cesarean Scar Triplet Gestation Following Uterine Ablation.

Spontaneous Heterotopic Cesarean Scar Triplet Gestation Following Uterine Ablation.

Spontaneous Heterotopic Cesarean Scar Triplet Gestation Following Uterine Ablation.

Heterotopic triplet pregnancy, cesarean scar ectopic pregnancy, and pregnancy following uterine ablation are all rare events that confer significant morbidity including spontaneous abortion, intrauterine fetal demise, preterm labor, abnormal placentation, and uterine rupture. A woman in her 30s, G6P4014, with a history of uterine ablation presented with delayed menses and vaginal spotting with imaging showing two intrauterine pregnancies (one with cardiac activity) and one live pregnancy at the cesarean scar. The patient was extensively counseled on risk to her and to the pregnancies; treatment options were discussed including expectant management and termination of pregnancy. The patient underwent an uncomplicated dilation and curettage with bilateral salpingectomy and was discharged home the day of the procedure in stable condition. This case highlights the potential compound effect of comorbid conditions that can pose difficulty in counseling and management. Key Points Patients undergoing endometrial ablation should be carefully selected and counseled extensively on highly effective contraception.Suspected cesarean scar pregnancies should be carefully evaluated early in gestation. Management should include thorough counseling and may be indivisualized.Many conditions pose a significant threat to maternal health and warrant a discussion of termination, which should be widely availaible and safe for all who need and/or desire it.

求助全文
通过发布文献求助,成功后即可免费获取论文全文。 去求助
来源期刊
AJP Reports
AJP Reports PEDIATRICS-
CiteScore
2.20
自引率
0.00%
发文量
30
审稿时长
12 weeks
×
引用
GB/T 7714-2015
复制
MLA
复制
APA
复制
导出至
BibTeX EndNote RefMan NoteFirst NoteExpress
×
提示
您的信息不完整,为了账户安全,请先补充。
现在去补充
×
提示
您因"违规操作"
具体请查看互助需知
我知道了
×
提示
确定
请完成安全验证×
copy
已复制链接
快去分享给好友吧!
我知道了
右上角分享
点击右上角分享
0
联系我们:info@booksci.cn Book学术提供免费学术资源搜索服务,方便国内外学者检索中英文文献。致力于提供最便捷和优质的服务体验。 Copyright © 2023 布克学术 All rights reserved.
京ICP备2023020795号-1
ghs 京公网安备 11010802042870号
Book学术文献互助
Book学术文献互助群
群 号:604180095
Book学术官方微信