继发于肠系膜上动脉综合征的致命吸入性肺炎。

IF 0.5 Q4 GASTROENTEROLOGY & HEPATOLOGY
Case Reports in Gastrointestinal Medicine Pub Date : 2024-02-07 eCollection Date: 2024-01-01 DOI:10.1155/2024/5055948
Rhea Akel, Iskandar Daou, Dany Jamal, Elham Hobeika, Rany Aoun, Georges Nawfal
{"title":"继发于肠系膜上动脉综合征的致命吸入性肺炎。","authors":"Rhea Akel, Iskandar Daou, Dany Jamal, Elham Hobeika, Rany Aoun, Georges Nawfal","doi":"10.1155/2024/5055948","DOIUrl":null,"url":null,"abstract":"<p><p>Superior mesenteric artery syndrome (SMAS) is a rare and unusual disease, suspected clinically and confirmed radiologically. It represents a duodenal obstruction secondary to the impingement of the third portion of the duodenum between the abdominal aorta (AA) and the superior mesenteric artery (SMA) due to decreased intraabdominal fat. High morbidity and mortality rates are linked to missed or late diagnosis that can lead to complications, such as gastric perforation and gastric hemorrhage. We present the case of a 33-year-old man who was not previously known to have a SMAS, who presented to the emergency department with signs of septic shock, complaining of fever and respiratory symptoms for several days. Investigations showed aspiration pneumonia secondary to an upper gastrointestinal obstruction with signs of SMAS on a computed tomography (CT) scanner. Acute and rapid deterioration led to cardiac arrest and death. Through this article, we highlight the importance of early and correct diagnosis of SMAS which can sometimes be challenging, since no number is strictly diagnostic and radiological images must be interpreted in light of the clinical history and physical examination.</p>","PeriodicalId":45645,"journal":{"name":"Case Reports in Gastrointestinal Medicine","volume":"2024 ","pages":"5055948"},"PeriodicalIF":0.5000,"publicationDate":"2024-02-07","publicationTypes":"Journal Article","fieldsOfStudy":null,"isOpenAccess":false,"openAccessPdf":"https://www.ncbi.nlm.nih.gov/pmc/articles/PMC10866627/pdf/","citationCount":"0","resultStr":"{\"title\":\"Deadly Aspiration Pneumonia Secondary to Superior Mesenteric Artery Syndrome.\",\"authors\":\"Rhea Akel, Iskandar Daou, Dany Jamal, Elham Hobeika, Rany Aoun, Georges Nawfal\",\"doi\":\"10.1155/2024/5055948\",\"DOIUrl\":null,\"url\":null,\"abstract\":\"<p><p>Superior mesenteric artery syndrome (SMAS) is a rare and unusual disease, suspected clinically and confirmed radiologically. It represents a duodenal obstruction secondary to the impingement of the third portion of the duodenum between the abdominal aorta (AA) and the superior mesenteric artery (SMA) due to decreased intraabdominal fat. High morbidity and mortality rates are linked to missed or late diagnosis that can lead to complications, such as gastric perforation and gastric hemorrhage. We present the case of a 33-year-old man who was not previously known to have a SMAS, who presented to the emergency department with signs of septic shock, complaining of fever and respiratory symptoms for several days. Investigations showed aspiration pneumonia secondary to an upper gastrointestinal obstruction with signs of SMAS on a computed tomography (CT) scanner. Acute and rapid deterioration led to cardiac arrest and death. Through this article, we highlight the importance of early and correct diagnosis of SMAS which can sometimes be challenging, since no number is strictly diagnostic and radiological images must be interpreted in light of the clinical history and physical examination.</p>\",\"PeriodicalId\":45645,\"journal\":{\"name\":\"Case Reports in Gastrointestinal Medicine\",\"volume\":\"2024 \",\"pages\":\"5055948\"},\"PeriodicalIF\":0.5000,\"publicationDate\":\"2024-02-07\",\"publicationTypes\":\"Journal Article\",\"fieldsOfStudy\":null,\"isOpenAccess\":false,\"openAccessPdf\":\"https://www.ncbi.nlm.nih.gov/pmc/articles/PMC10866627/pdf/\",\"citationCount\":\"0\",\"resultStr\":null,\"platform\":\"Semanticscholar\",\"paperid\":null,\"PeriodicalName\":\"Case Reports in Gastrointestinal Medicine\",\"FirstCategoryId\":\"1085\",\"ListUrlMain\":\"https://doi.org/10.1155/2024/5055948\",\"RegionNum\":0,\"RegionCategory\":null,\"ArticlePicture\":[],\"TitleCN\":null,\"AbstractTextCN\":null,\"PMCID\":null,\"EPubDate\":\"2024/1/1 0:00:00\",\"PubModel\":\"eCollection\",\"JCR\":\"Q4\",\"JCRName\":\"GASTROENTEROLOGY & HEPATOLOGY\",\"Score\":null,\"Total\":0}","platform":"Semanticscholar","paperid":null,"PeriodicalName":"Case Reports in Gastrointestinal Medicine","FirstCategoryId":"1085","ListUrlMain":"https://doi.org/10.1155/2024/5055948","RegionNum":0,"RegionCategory":null,"ArticlePicture":[],"TitleCN":null,"AbstractTextCN":null,"PMCID":null,"EPubDate":"2024/1/1 0:00:00","PubModel":"eCollection","JCR":"Q4","JCRName":"GASTROENTEROLOGY & HEPATOLOGY","Score":null,"Total":0}
引用次数: 0

摘要

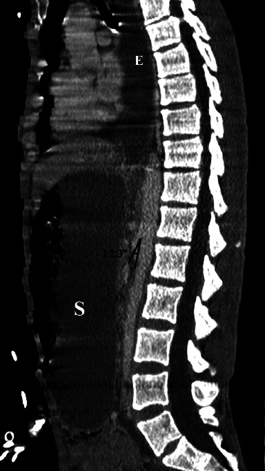
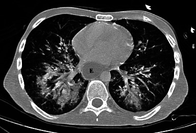
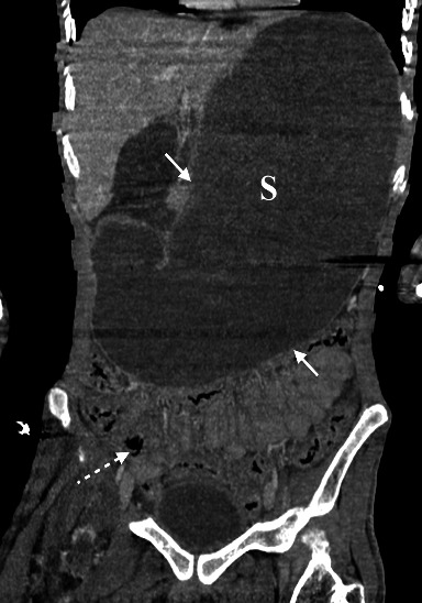
肠系膜上动脉综合征(SMAS)是一种罕见的不寻常疾病,经临床怀疑和放射学证实。由于腹腔内脂肪减少,十二指肠第三部分与腹主动脉(AA)和肠系膜上动脉(SMA)之间发生撞击,继发十二指肠梗阻。高发病率和高死亡率与漏诊或晚诊有关,而漏诊或晚诊可导致胃穿孔和胃出血等并发症。我们介绍了一例 33 岁的男性病例,他以前并不知道自己患有 SMAS,因出现脓毒性休克症状而到急诊科就诊,主诉发烧和呼吸道症状持续数天。检查结果显示,吸入性肺炎继发于上消化道梗阻,计算机断层扫描(CT)显示有 SMAS 征象。病情急剧恶化导致心脏骤停并死亡。通过这篇文章,我们强调了早期正确诊断 SMAS 的重要性,因为没有一个数字是严格意义上的诊断,必须根据临床病史和体格检查来解释放射图像,所以诊断 SMAS 有时很困难。
本文章由计算机程序翻译,如有差异,请以英文原文为准。

Deadly Aspiration Pneumonia Secondary to Superior Mesenteric Artery Syndrome.

Deadly Aspiration Pneumonia Secondary to Superior Mesenteric Artery Syndrome.

Deadly Aspiration Pneumonia Secondary to Superior Mesenteric Artery Syndrome.

Deadly Aspiration Pneumonia Secondary to Superior Mesenteric Artery Syndrome.

Superior mesenteric artery syndrome (SMAS) is a rare and unusual disease, suspected clinically and confirmed radiologically. It represents a duodenal obstruction secondary to the impingement of the third portion of the duodenum between the abdominal aorta (AA) and the superior mesenteric artery (SMA) due to decreased intraabdominal fat. High morbidity and mortality rates are linked to missed or late diagnosis that can lead to complications, such as gastric perforation and gastric hemorrhage. We present the case of a 33-year-old man who was not previously known to have a SMAS, who presented to the emergency department with signs of septic shock, complaining of fever and respiratory symptoms for several days. Investigations showed aspiration pneumonia secondary to an upper gastrointestinal obstruction with signs of SMAS on a computed tomography (CT) scanner. Acute and rapid deterioration led to cardiac arrest and death. Through this article, we highlight the importance of early and correct diagnosis of SMAS which can sometimes be challenging, since no number is strictly diagnostic and radiological images must be interpreted in light of the clinical history and physical examination.

求助全文
通过发布文献求助,成功后即可免费获取论文全文。 去求助
来源期刊
Case Reports in Gastrointestinal Medicine
Case Reports in Gastrointestinal Medicine GASTROENTEROLOGY & HEPATOLOGY-
自引率
0.00%
发文量
33
审稿时长
14 weeks
×
引用
GB/T 7714-2015
复制
MLA
复制
APA
复制
导出至
BibTeX EndNote RefMan NoteFirst NoteExpress
×
提示
您的信息不完整,为了账户安全,请先补充。
现在去补充
×
提示
您因"违规操作"
具体请查看互助需知
我知道了
×
提示
确定
请完成安全验证×
copy
已复制链接
快去分享给好友吧!
我知道了
右上角分享
点击右上角分享
0
联系我们:info@booksci.cn Book学术提供免费学术资源搜索服务,方便国内外学者检索中英文文献。致力于提供最便捷和优质的服务体验。 Copyright © 2023 布克学术 All rights reserved.
京ICP备2023020795号-1
ghs 京公网安备 11010802042870号
Book学术文献互助
Book学术文献互助群
群 号:604180095
Book学术官方微信