用于心脏组织工程中耐受性良好/强化器官的兔和人脱细胞补片的机械特性。

IF 0.7 Q3 CARDIAC & CARDIOVASCULAR SYSTEMS
Maryam Mousavi Khatat, Saeideh Same, Keyvan Moharamzadeh, Jafar Soleimani Rad, Ahmad Mehdipour, Leila Roshangar
{"title":"用于心脏组织工程中耐受性良好/强化器官的兔和人脱细胞补片的机械特性。","authors":"Maryam Mousavi Khatat, Saeideh Same, Keyvan Moharamzadeh, Jafar Soleimani Rad, Ahmad Mehdipour, Leila Roshangar","doi":"10.34172/jcvtr.2023.32926","DOIUrl":null,"url":null,"abstract":"<p><strong>Introduction: </strong>Natural decellularized patches have been developed as the therapeutic platform for the treatment of different diseases, especially cardiovascular disorders. Decellularized scaffolds (as both cell-seeded and cell-free patches) are broadly studied in heart tissue redevelopment in vivo and in vitro. The designed regenerative bio-scaffold must have desirable physicochemical properties including mechanical stiffness for load-bearing, and appropriate anatomical characteristics to mimic the native biological environment properly and facilitate tissue reconstruction. In this context, the current study was designed to investigate rabbit decellularized derma's similarity with human decellularized skin in terms of mechanical properties for cardiac tissue engineering application.</p><p><strong>Methods: </strong>Fifty two rabbit dermal specimens were provided and divided into two groups: the experimental (decellularized) group and the control (group). Similarly, twelve human skin specimens were divided into the experimental (decellularized) and control groups. Initially, the effect of decellularization on the mechanical performance of scaffolds was analyzed. Then, the mechanical strength of decellularized rabbit skin was compared to decellularized human derma by measuring the stress strain and Young's modulus of the samples.</p><p><strong>Results: </strong>The results showed that rabbit decellularized skin has a similar elastic range to human decellularized skin, despite being more elastic (<i>P</i>>0.05). In addition, after decellularization, both rabbit and human skin showed a non-significant decrease in elasticity (<i>P</i>>0.05). It is worth noting that the elasticity reduction in rabbit samples after skin decellularization was lower than in human samples.</p><p><strong>Conclusion: </strong>According to the results of this study and the similarities of rabbit decellularized derm to human skin and its advantages over it, along with the biological complexity of native cardiac ECM, this scaffold can be used as an alternative matrix for tissue-engineered cardiac patches.</p>","PeriodicalId":15207,"journal":{"name":"Journal of Cardiovascular and Thoracic Research","volume":"15 4","pages":"244-249"},"PeriodicalIF":0.7000,"publicationDate":"2023-01-01","publicationTypes":"Journal Article","fieldsOfStudy":null,"isOpenAccess":false,"openAccessPdf":"https://www.ncbi.nlm.nih.gov/pmc/articles/PMC10862031/pdf/","citationCount":"0","resultStr":"{\"title\":\"Mechanical properties of the rabbit and human decellularized patches for well-tolerated/reinforced organ in cardiac tissue engineering.\",\"authors\":\"Maryam Mousavi Khatat, Saeideh Same, Keyvan Moharamzadeh, Jafar Soleimani Rad, Ahmad Mehdipour, Leila Roshangar\",\"doi\":\"10.34172/jcvtr.2023.32926\",\"DOIUrl\":null,\"url\":null,\"abstract\":\"<p><strong>Introduction: </strong>Natural decellularized patches have been developed as the therapeutic platform for the treatment of different diseases, especially cardiovascular disorders. Decellularized scaffolds (as both cell-seeded and cell-free patches) are broadly studied in heart tissue redevelopment in vivo and in vitro. The designed regenerative bio-scaffold must have desirable physicochemical properties including mechanical stiffness for load-bearing, and appropriate anatomical characteristics to mimic the native biological environment properly and facilitate tissue reconstruction. In this context, the current study was designed to investigate rabbit decellularized derma's similarity with human decellularized skin in terms of mechanical properties for cardiac tissue engineering application.</p><p><strong>Methods: </strong>Fifty two rabbit dermal specimens were provided and divided into two groups: the experimental (decellularized) group and the control (group). Similarly, twelve human skin specimens were divided into the experimental (decellularized) and control groups. Initially, the effect of decellularization on the mechanical performance of scaffolds was analyzed. Then, the mechanical strength of decellularized rabbit skin was compared to decellularized human derma by measuring the stress strain and Young's modulus of the samples.</p><p><strong>Results: </strong>The results showed that rabbit decellularized skin has a similar elastic range to human decellularized skin, despite being more elastic (<i>P</i>>0.05). In addition, after decellularization, both rabbit and human skin showed a non-significant decrease in elasticity (<i>P</i>>0.05). It is worth noting that the elasticity reduction in rabbit samples after skin decellularization was lower than in human samples.</p><p><strong>Conclusion: </strong>According to the results of this study and the similarities of rabbit decellularized derm to human skin and its advantages over it, along with the biological complexity of native cardiac ECM, this scaffold can be used as an alternative matrix for tissue-engineered cardiac patches.</p>\",\"PeriodicalId\":15207,\"journal\":{\"name\":\"Journal of Cardiovascular and Thoracic Research\",\"volume\":\"15 4\",\"pages\":\"244-249\"},\"PeriodicalIF\":0.7000,\"publicationDate\":\"2023-01-01\",\"publicationTypes\":\"Journal Article\",\"fieldsOfStudy\":null,\"isOpenAccess\":false,\"openAccessPdf\":\"https://www.ncbi.nlm.nih.gov/pmc/articles/PMC10862031/pdf/\",\"citationCount\":\"0\",\"resultStr\":null,\"platform\":\"Semanticscholar\",\"paperid\":null,\"PeriodicalName\":\"Journal of Cardiovascular and Thoracic Research\",\"FirstCategoryId\":\"1085\",\"ListUrlMain\":\"https://doi.org/10.34172/jcvtr.2023.32926\",\"RegionNum\":0,\"RegionCategory\":null,\"ArticlePicture\":[],\"TitleCN\":null,\"AbstractTextCN\":null,\"PMCID\":null,\"EPubDate\":\"2023/12/30 0:00:00\",\"PubModel\":\"Epub\",\"JCR\":\"Q3\",\"JCRName\":\"CARDIAC & CARDIOVASCULAR SYSTEMS\",\"Score\":null,\"Total\":0}","platform":"Semanticscholar","paperid":null,"PeriodicalName":"Journal of Cardiovascular and Thoracic Research","FirstCategoryId":"1085","ListUrlMain":"https://doi.org/10.34172/jcvtr.2023.32926","RegionNum":0,"RegionCategory":null,"ArticlePicture":[],"TitleCN":null,"AbstractTextCN":null,"PMCID":null,"EPubDate":"2023/12/30 0:00:00","PubModel":"Epub","JCR":"Q3","JCRName":"CARDIAC & CARDIOVASCULAR SYSTEMS","Score":null,"Total":0}
引用次数: 0

摘要

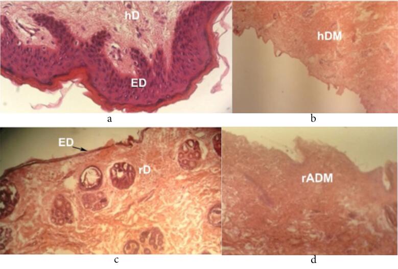
简介天然脱细胞补片已被开发为治疗不同疾病,尤其是心血管疾病的治疗平台。脱细胞支架(细胞播种和无细胞补片)在体内和体外心脏组织再发育方面得到了广泛研究。所设计的再生生物支架必须具有理想的物理化学特性,包括承重的机械刚度,以及适当的解剖学特性,以适当模拟原生生物环境,促进组织重建。在此背景下,本研究旨在调查兔子脱细胞真皮与人类脱细胞皮肤在心脏组织工程应用的机械性能方面的相似性:方法:提供 52 个兔真皮标本,将其分为两组:实验组(脱细胞)和对照组(组)。同样,12 块人体皮肤标本也分为实验组(脱细胞组)和对照组。首先,分析脱细胞对支架机械性能的影响。然后,通过测量样品的应力应变和杨氏模量,比较脱细胞兔皮和脱细胞人真皮的机械强度:结果表明,脱细胞兔皮肤的弹性范围与脱细胞人皮肤相似,但弹性更大(P>0.05)。此外,脱细胞后,兔皮肤和人皮肤的弹性都有不明显的下降(P>0.05)。值得注意的是,兔样本皮肤脱细胞后的弹性降低程度低于人样本:根据这项研究的结果,以及兔脱细胞皮肤与人类皮肤的相似性和与之相比的优势,再加上原生心脏 ECM 的生物复杂性,这种支架可用作组织工程心脏补片的替代基质。
本文章由计算机程序翻译,如有差异,请以英文原文为准。

Mechanical properties of the rabbit and human decellularized patches for well-tolerated/reinforced organ in cardiac tissue engineering.

Mechanical properties of the rabbit and human decellularized patches for well-tolerated/reinforced organ in cardiac tissue engineering.

Mechanical properties of the rabbit and human decellularized patches for well-tolerated/reinforced organ in cardiac tissue engineering.

Mechanical properties of the rabbit and human decellularized patches for well-tolerated/reinforced organ in cardiac tissue engineering.

Introduction: Natural decellularized patches have been developed as the therapeutic platform for the treatment of different diseases, especially cardiovascular disorders. Decellularized scaffolds (as both cell-seeded and cell-free patches) are broadly studied in heart tissue redevelopment in vivo and in vitro. The designed regenerative bio-scaffold must have desirable physicochemical properties including mechanical stiffness for load-bearing, and appropriate anatomical characteristics to mimic the native biological environment properly and facilitate tissue reconstruction. In this context, the current study was designed to investigate rabbit decellularized derma's similarity with human decellularized skin in terms of mechanical properties for cardiac tissue engineering application.

Methods: Fifty two rabbit dermal specimens were provided and divided into two groups: the experimental (decellularized) group and the control (group). Similarly, twelve human skin specimens were divided into the experimental (decellularized) and control groups. Initially, the effect of decellularization on the mechanical performance of scaffolds was analyzed. Then, the mechanical strength of decellularized rabbit skin was compared to decellularized human derma by measuring the stress strain and Young's modulus of the samples.

Results: The results showed that rabbit decellularized skin has a similar elastic range to human decellularized skin, despite being more elastic (P>0.05). In addition, after decellularization, both rabbit and human skin showed a non-significant decrease in elasticity (P>0.05). It is worth noting that the elasticity reduction in rabbit samples after skin decellularization was lower than in human samples.

Conclusion: According to the results of this study and the similarities of rabbit decellularized derm to human skin and its advantages over it, along with the biological complexity of native cardiac ECM, this scaffold can be used as an alternative matrix for tissue-engineered cardiac patches.

求助全文
通过发布文献求助,成功后即可免费获取论文全文。 去求助
来源期刊
Journal of Cardiovascular and Thoracic Research
Journal of Cardiovascular and Thoracic Research CARDIAC & CARDIOVASCULAR SYSTEMS-
CiteScore
2.00
自引率
0.00%
发文量
22
审稿时长
7 weeks
×
引用
GB/T 7714-2015
复制
MLA
复制
APA
复制
导出至
BibTeX EndNote RefMan NoteFirst NoteExpress
×
提示
您的信息不完整,为了账户安全,请先补充。
现在去补充
×
提示
您因"违规操作"
具体请查看互助需知
我知道了
×
提示
确定
请完成安全验证×
copy
已复制链接
快去分享给好友吧!
我知道了
右上角分享
点击右上角分享
0
联系我们:info@booksci.cn Book学术提供免费学术资源搜索服务,方便国内外学者检索中英文文献。致力于提供最便捷和优质的服务体验。 Copyright © 2023 布克学术 All rights reserved.
京ICP备2023020795号-1
ghs 京公网安备 11010802042870号
Book学术文献互助
Book学术文献互助群
群 号:604180095
Book学术官方微信