宫内避孕器感染引起的髂腰肌痰症的保守治疗。

IF 0.5 Q4 SURGERY
Case Reports in Surgery Pub Date : 2024-02-06 eCollection Date: 2024-01-01 DOI:10.1155/2024/9916070
Giuleta Jamsari, Joseph Do Woong Choi, Benedict Kakala, Hillary Hu, Gideon Sandler
{"title":"宫内避孕器感染引起的髂腰肌痰症的保守治疗。","authors":"Giuleta Jamsari, Joseph Do Woong Choi, Benedict Kakala, Hillary Hu, Gideon Sandler","doi":"10.1155/2024/9916070","DOIUrl":null,"url":null,"abstract":"<p><p>Iliopsoas phlegmon/abscess is uncommon, and individuals often present with nonspecific symptoms. Diagnosis is often delayed and almost always requires advanced imaging techniques such as computed tomography or magnetic resonance imaging. We report a case of a 51-year-old woman who presented with right lower limb swelling and associated rash with imaging demonstrating iliopsoas abscess secondary to an infected intrauterine contraceptive device. This rare case highlights the nonspecific presentation of iliopsoas abscess and the need to consider unusual sources of infection such as an intrauterine contraceptive device in women presenting with iliopsoas phlegmon and abscess.</p>","PeriodicalId":9600,"journal":{"name":"Case Reports in Surgery","volume":"2024 ","pages":"9916070"},"PeriodicalIF":0.5000,"publicationDate":"2024-02-06","publicationTypes":"Journal Article","fieldsOfStudy":null,"isOpenAccess":false,"openAccessPdf":"https://www.ncbi.nlm.nih.gov/pmc/articles/PMC10864045/pdf/","citationCount":"0","resultStr":"{\"title\":\"Conservative Treatment of an Unusual Presentation of Iliopsoas Phlegmon Related to Infected Intrauterine Contraceptive Device.\",\"authors\":\"Giuleta Jamsari, Joseph Do Woong Choi, Benedict Kakala, Hillary Hu, Gideon Sandler\",\"doi\":\"10.1155/2024/9916070\",\"DOIUrl\":null,\"url\":null,\"abstract\":\"<p><p>Iliopsoas phlegmon/abscess is uncommon, and individuals often present with nonspecific symptoms. Diagnosis is often delayed and almost always requires advanced imaging techniques such as computed tomography or magnetic resonance imaging. We report a case of a 51-year-old woman who presented with right lower limb swelling and associated rash with imaging demonstrating iliopsoas abscess secondary to an infected intrauterine contraceptive device. This rare case highlights the nonspecific presentation of iliopsoas abscess and the need to consider unusual sources of infection such as an intrauterine contraceptive device in women presenting with iliopsoas phlegmon and abscess.</p>\",\"PeriodicalId\":9600,\"journal\":{\"name\":\"Case Reports in Surgery\",\"volume\":\"2024 \",\"pages\":\"9916070\"},\"PeriodicalIF\":0.5000,\"publicationDate\":\"2024-02-06\",\"publicationTypes\":\"Journal Article\",\"fieldsOfStudy\":null,\"isOpenAccess\":false,\"openAccessPdf\":\"https://www.ncbi.nlm.nih.gov/pmc/articles/PMC10864045/pdf/\",\"citationCount\":\"0\",\"resultStr\":null,\"platform\":\"Semanticscholar\",\"paperid\":null,\"PeriodicalName\":\"Case Reports in Surgery\",\"FirstCategoryId\":\"1085\",\"ListUrlMain\":\"https://doi.org/10.1155/2024/9916070\",\"RegionNum\":0,\"RegionCategory\":null,\"ArticlePicture\":[],\"TitleCN\":null,\"AbstractTextCN\":null,\"PMCID\":null,\"EPubDate\":\"2024/1/1 0:00:00\",\"PubModel\":\"eCollection\",\"JCR\":\"Q4\",\"JCRName\":\"SURGERY\",\"Score\":null,\"Total\":0}","platform":"Semanticscholar","paperid":null,"PeriodicalName":"Case Reports in Surgery","FirstCategoryId":"1085","ListUrlMain":"https://doi.org/10.1155/2024/9916070","RegionNum":0,"RegionCategory":null,"ArticlePicture":[],"TitleCN":null,"AbstractTextCN":null,"PMCID":null,"EPubDate":"2024/1/1 0:00:00","PubModel":"eCollection","JCR":"Q4","JCRName":"SURGERY","Score":null,"Total":0}
引用次数: 0

摘要

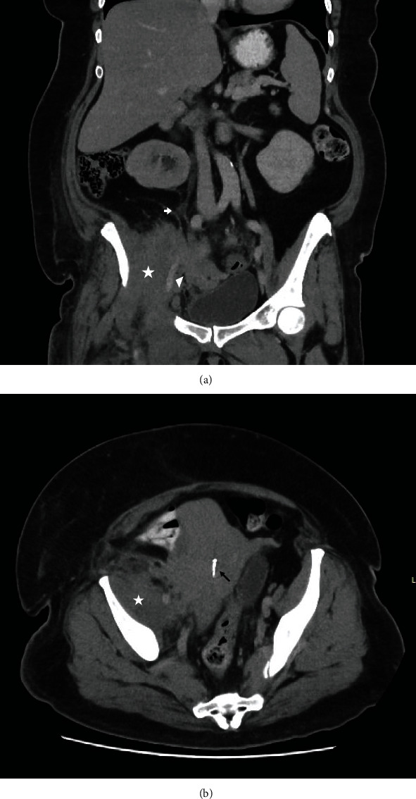
髂腰肌痰肿/脓肿并不常见,患者通常表现为非特异性症状。诊断通常比较迟缓,几乎总是需要先进的成像技术,如计算机断层扫描或磁共振成像。我们报告了一例 51 岁女性的病例,她出现右下肢肿胀并伴有皮疹,造影显示髂腰肌脓肿继发于宫内避孕器感染。这一罕见病例强调了髂腰肌脓肿的非特异性表现,以及在妇女出现髂腰肌痰液和脓肿时考虑宫内避孕器等非正常感染源的必要性。
本文章由计算机程序翻译,如有差异,请以英文原文为准。

Conservative Treatment of an Unusual Presentation of Iliopsoas Phlegmon Related to Infected Intrauterine Contraceptive Device.

Conservative Treatment of an Unusual Presentation of Iliopsoas Phlegmon Related to Infected Intrauterine Contraceptive Device.

Conservative Treatment of an Unusual Presentation of Iliopsoas Phlegmon Related to Infected Intrauterine Contraceptive Device.

Iliopsoas phlegmon/abscess is uncommon, and individuals often present with nonspecific symptoms. Diagnosis is often delayed and almost always requires advanced imaging techniques such as computed tomography or magnetic resonance imaging. We report a case of a 51-year-old woman who presented with right lower limb swelling and associated rash with imaging demonstrating iliopsoas abscess secondary to an infected intrauterine contraceptive device. This rare case highlights the nonspecific presentation of iliopsoas abscess and the need to consider unusual sources of infection such as an intrauterine contraceptive device in women presenting with iliopsoas phlegmon and abscess.

求助全文
通过发布文献求助,成功后即可免费获取论文全文。 去求助
来源期刊
自引率
0.00%
发文量
60
审稿时长
13 weeks
×
引用
GB/T 7714-2015
复制
MLA
复制
APA
复制
导出至
BibTeX EndNote RefMan NoteFirst NoteExpress
×
提示
您的信息不完整,为了账户安全,请先补充。
现在去补充
×
提示
您因"违规操作"
具体请查看互助需知
我知道了
×
提示
确定
请完成安全验证×
copy
已复制链接
快去分享给好友吧!
我知道了
右上角分享
点击右上角分享
0
联系我们:info@booksci.cn Book学术提供免费学术资源搜索服务,方便国内外学者检索中英文文献。致力于提供最便捷和优质的服务体验。 Copyright © 2023 布克学术 All rights reserved.
京ICP备2023020795号-1
ghs 京公网安备 11010802042870号
Book学术文献互助
Book学术文献互助群
群 号:604180095
Book学术官方微信