一个病例在发烧时通过心脏听诊发现了肉瘤:肉瘤源于肺动脉。

IF 2.3 Q3 EMERGENCY MEDICINE
Turkish Journal of Emergency Medicine Pub Date : 2024-01-08 eCollection Date: 2024-01-01 DOI:10.4103/tjem.tjem_358_22
Yavuz Fatih Yavuz, Nazmi Toprak, Cemil Kavalci, Fevzi Yilmaz
{"title":"一个病例在发烧时通过心脏听诊发现了肉瘤:肉瘤源于肺动脉。","authors":"Yavuz Fatih Yavuz, Nazmi Toprak, Cemil Kavalci, Fevzi Yilmaz","doi":"10.4103/tjem.tjem_358_22","DOIUrl":null,"url":null,"abstract":"<p><p>In the emergency department, there are many symptoms patients present. One of the major symptoms is fever which could be the only symptom, as our patient had. Not only do infections, drugs, trauma, etc., cause fever, but also undetermined cancer types do. In this case, we are presenting a 28-year-old male coming with a 3-week duration of fever and being admitted with the diagnosis of pulmonary artery intimal sarcoma as generally misconceived with pulmonary thromboembolism, to raise awareness of this fatal cancer.</p>","PeriodicalId":46536,"journal":{"name":"Turkish Journal of Emergency Medicine","volume":"24 1","pages":"55-57"},"PeriodicalIF":2.3000,"publicationDate":"2024-01-08","publicationTypes":"Journal Article","fieldsOfStudy":null,"isOpenAccess":false,"openAccessPdf":"https://www.ncbi.nlm.nih.gov/pmc/articles/PMC10852132/pdf/","citationCount":"0","resultStr":"{\"title\":\"A case presented with fever enlightened by cardiac auscultation: Sarcoma originated in pulmonary artery.\",\"authors\":\"Yavuz Fatih Yavuz, Nazmi Toprak, Cemil Kavalci, Fevzi Yilmaz\",\"doi\":\"10.4103/tjem.tjem_358_22\",\"DOIUrl\":null,\"url\":null,\"abstract\":\"<p><p>In the emergency department, there are many symptoms patients present. One of the major symptoms is fever which could be the only symptom, as our patient had. Not only do infections, drugs, trauma, etc., cause fever, but also undetermined cancer types do. In this case, we are presenting a 28-year-old male coming with a 3-week duration of fever and being admitted with the diagnosis of pulmonary artery intimal sarcoma as generally misconceived with pulmonary thromboembolism, to raise awareness of this fatal cancer.</p>\",\"PeriodicalId\":46536,\"journal\":{\"name\":\"Turkish Journal of Emergency Medicine\",\"volume\":\"24 1\",\"pages\":\"55-57\"},\"PeriodicalIF\":2.3000,\"publicationDate\":\"2024-01-08\",\"publicationTypes\":\"Journal Article\",\"fieldsOfStudy\":null,\"isOpenAccess\":false,\"openAccessPdf\":\"https://www.ncbi.nlm.nih.gov/pmc/articles/PMC10852132/pdf/\",\"citationCount\":\"0\",\"resultStr\":null,\"platform\":\"Semanticscholar\",\"paperid\":null,\"PeriodicalName\":\"Turkish Journal of Emergency Medicine\",\"FirstCategoryId\":\"1085\",\"ListUrlMain\":\"https://doi.org/10.4103/tjem.tjem_358_22\",\"RegionNum\":0,\"RegionCategory\":null,\"ArticlePicture\":[],\"TitleCN\":null,\"AbstractTextCN\":null,\"PMCID\":null,\"EPubDate\":\"2024/1/1 0:00:00\",\"PubModel\":\"eCollection\",\"JCR\":\"Q3\",\"JCRName\":\"EMERGENCY MEDICINE\",\"Score\":null,\"Total\":0}","platform":"Semanticscholar","paperid":null,"PeriodicalName":"Turkish Journal of Emergency Medicine","FirstCategoryId":"1085","ListUrlMain":"https://doi.org/10.4103/tjem.tjem_358_22","RegionNum":0,"RegionCategory":null,"ArticlePicture":[],"TitleCN":null,"AbstractTextCN":null,"PMCID":null,"EPubDate":"2024/1/1 0:00:00","PubModel":"eCollection","JCR":"Q3","JCRName":"EMERGENCY MEDICINE","Score":null,"Total":0}
引用次数: 0

摘要

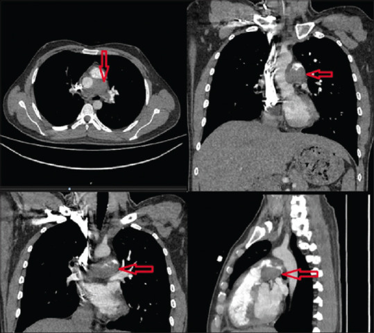
在急诊科,患者会出现很多症状。其中一个主要症状就是发烧,这可能是唯一的症状,我们的病人就是如此。不仅感染、药物、外伤等会引起发烧,就连未确定的癌症类型也会引起发烧。在本病例中,我们介绍了一名发热持续 3 周的 28 岁男性患者,入院诊断为肺动脉内膜肉瘤,一般被误认为是肺血栓栓塞症,以提高人们对这种致命癌症的认识。
本文章由计算机程序翻译,如有差异,请以英文原文为准。

A case presented with fever enlightened by cardiac auscultation: Sarcoma originated in pulmonary artery.

A case presented with fever enlightened by cardiac auscultation: Sarcoma originated in pulmonary artery.

A case presented with fever enlightened by cardiac auscultation: Sarcoma originated in pulmonary artery.

In the emergency department, there are many symptoms patients present. One of the major symptoms is fever which could be the only symptom, as our patient had. Not only do infections, drugs, trauma, etc., cause fever, but also undetermined cancer types do. In this case, we are presenting a 28-year-old male coming with a 3-week duration of fever and being admitted with the diagnosis of pulmonary artery intimal sarcoma as generally misconceived with pulmonary thromboembolism, to raise awareness of this fatal cancer.

求助全文
通过发布文献求助,成功后即可免费获取论文全文。 去求助
来源期刊
CiteScore
1.70
自引率
0.00%
发文量
30
审稿时长
22 weeks
期刊介绍: The Turkish Journal of Emergency Medicine (Turk J Emerg Med) is an International, peer-reviewed, open-access journal that publishes clinical and experimental trials, case reports, invited reviews, case images, letters to the Editor, and interesting research conducted in all fields of Emergency Medicine. The Journal is the official scientific publication of the Emergency Medicine Association of Turkey (EMAT) and is printed four times a year, in January, April, July and October. The language of the journal is English. The Journal is based on independent and unbiased double-blinded peer-reviewed principles. Only unpublished papers that are not under review for publication elsewhere can be submitted. The authors are responsible for the scientific content of the material to be published. The Turkish Journal of Emergency Medicine reserves the right to request any research materials on which the paper is based. The Editorial Board of the Turkish Journal of Emergency Medicine and the Publisher adheres to the principles of the International Council of Medical Journal Editors, the World Association of Medical Editors, the Council of Science Editors, the Committee on Publication Ethics, the US National Library of Medicine, the US Office of Research Integrity, the European Association of Science Editors, and the International Society of Managing and Technical Editors.
×
引用
GB/T 7714-2015
复制
MLA
复制
APA
复制
导出至
BibTeX EndNote RefMan NoteFirst NoteExpress
×
提示
您的信息不完整,为了账户安全,请先补充。
现在去补充
×
提示
您因"违规操作"
具体请查看互助需知
我知道了
×
提示
确定
请完成安全验证×
copy
已复制链接
快去分享给好友吧!
我知道了
右上角分享
点击右上角分享
0
联系我们:info@booksci.cn Book学术提供免费学术资源搜索服务,方便国内外学者检索中英文文献。致力于提供最便捷和优质的服务体验。 Copyright © 2023 布克学术 All rights reserved.
京ICP备2023020795号-1
ghs 京公网安备 11010802042870号
Book学术文献互助
Book学术文献互助群
群 号:604180095
Book学术官方微信