BRAF V600E突变颅咽管瘤对维莫非尼和克比米替尼治疗的良好反应:病例报告和文献综述。

Q1 Medicine
CNS Oncology Pub Date : 2024-01-01 Epub Date: 2024-02-13 DOI:10.2217/cns-2023-0018
Nina Yu, Osama A Raslan, Han Sung Lee, Brett J Theeler, Tarek A Raafat, Ruben Fragoso, Kiarash Shahlaie, Orwa Aboud
{"title":"BRAF V600E突变颅咽管瘤对维莫非尼和克比米替尼治疗的良好反应:病例报告和文献综述。","authors":"Nina Yu, Osama A Raslan, Han Sung Lee, Brett J Theeler, Tarek A Raafat, Ruben Fragoso, Kiarash Shahlaie, Orwa Aboud","doi":"10.2217/cns-2023-0018","DOIUrl":null,"url":null,"abstract":"<p><p>Craniopharyngiomas are tumors that arise from the remnants of Rathke's pouch along the nasopharynx to the diencephalon. Current standard of care includes maximal surgical resection versus adjuvant radiation if a maximal resection is unfeasible. Pharmacological therapy with MAPK targeted agents is an emerging therapeutic option for tumors with BRAF V600E mutations. We report a 45-year-old male with a strictly third ventricle papillary craniopharyngioma with a BRAF V600E mutation. After initial surgery with subtotal resection, the patient demonstrated durable response to targeted BRAF and MEK inhibitor therapy with vemurafenib and cobimetinib. Our report suggests that targeted therapy may reduce the need for radiation and impact surgical interventions in select cases.</p>","PeriodicalId":10469,"journal":{"name":"CNS Oncology","volume":" ","pages":"CNS106"},"PeriodicalIF":0.0000,"publicationDate":"2024-01-01","publicationTypes":"Journal Article","fieldsOfStudy":null,"isOpenAccess":false,"openAccessPdf":"https://www.ncbi.nlm.nih.gov/pmc/articles/PMC11131344/pdf/","citationCount":"0","resultStr":"{\"title\":\"Promising response to vemurafenib and cobimetinib treatment for BRAF V600E mutated craniopharyngioma: a case report and literature review.\",\"authors\":\"Nina Yu, Osama A Raslan, Han Sung Lee, Brett J Theeler, Tarek A Raafat, Ruben Fragoso, Kiarash Shahlaie, Orwa Aboud\",\"doi\":\"10.2217/cns-2023-0018\",\"DOIUrl\":null,\"url\":null,\"abstract\":\"<p><p>Craniopharyngiomas are tumors that arise from the remnants of Rathke's pouch along the nasopharynx to the diencephalon. Current standard of care includes maximal surgical resection versus adjuvant radiation if a maximal resection is unfeasible. Pharmacological therapy with MAPK targeted agents is an emerging therapeutic option for tumors with BRAF V600E mutations. We report a 45-year-old male with a strictly third ventricle papillary craniopharyngioma with a BRAF V600E mutation. After initial surgery with subtotal resection, the patient demonstrated durable response to targeted BRAF and MEK inhibitor therapy with vemurafenib and cobimetinib. Our report suggests that targeted therapy may reduce the need for radiation and impact surgical interventions in select cases.</p>\",\"PeriodicalId\":10469,\"journal\":{\"name\":\"CNS Oncology\",\"volume\":\" \",\"pages\":\"CNS106\"},\"PeriodicalIF\":0.0000,\"publicationDate\":\"2024-01-01\",\"publicationTypes\":\"Journal Article\",\"fieldsOfStudy\":null,\"isOpenAccess\":false,\"openAccessPdf\":\"https://www.ncbi.nlm.nih.gov/pmc/articles/PMC11131344/pdf/\",\"citationCount\":\"0\",\"resultStr\":null,\"platform\":\"Semanticscholar\",\"paperid\":null,\"PeriodicalName\":\"CNS Oncology\",\"FirstCategoryId\":\"1085\",\"ListUrlMain\":\"https://doi.org/10.2217/cns-2023-0018\",\"RegionNum\":0,\"RegionCategory\":null,\"ArticlePicture\":[],\"TitleCN\":null,\"AbstractTextCN\":null,\"PMCID\":null,\"EPubDate\":\"2024/2/13 0:00:00\",\"PubModel\":\"Epub\",\"JCR\":\"Q1\",\"JCRName\":\"Medicine\",\"Score\":null,\"Total\":0}","platform":"Semanticscholar","paperid":null,"PeriodicalName":"CNS Oncology","FirstCategoryId":"1085","ListUrlMain":"https://doi.org/10.2217/cns-2023-0018","RegionNum":0,"RegionCategory":null,"ArticlePicture":[],"TitleCN":null,"AbstractTextCN":null,"PMCID":null,"EPubDate":"2024/2/13 0:00:00","PubModel":"Epub","JCR":"Q1","JCRName":"Medicine","Score":null,"Total":0}
引用次数: 0

摘要

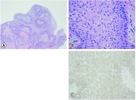
颅咽管瘤是由鼻咽部到间脑的 Rathke's 袋残余部分产生的肿瘤。目前的治疗标准包括最大限度的手术切除,以及在无法进行最大限度切除的情况下进行辅助放射治疗。对于 BRAF V600E 突变的肿瘤,使用 MAPK 靶向药物进行药物治疗是一种新兴的治疗方法。我们报告了一名 45 岁男性患者,他患有 BRAF V600E 突变的严格意义上的第三脑室乳头状颅咽管瘤。在初次手术进行次全切除后,患者对 BRAF 和 MEK 抑制剂(维莫非尼和克比米替)的靶向治疗产生了持久的反应。我们的报告表明,靶向治疗可以减少放射治疗的需求,并对特定病例的手术干预产生影响。
本文章由计算机程序翻译,如有差异,请以英文原文为准。

Promising response to vemurafenib and cobimetinib treatment for BRAF V600E mutated craniopharyngioma: a case report and literature review.

Promising response to vemurafenib and cobimetinib treatment for BRAF V600E mutated craniopharyngioma: a case report and literature review.

Promising response to vemurafenib and cobimetinib treatment for BRAF V600E mutated craniopharyngioma: a case report and literature review.

Craniopharyngiomas are tumors that arise from the remnants of Rathke's pouch along the nasopharynx to the diencephalon. Current standard of care includes maximal surgical resection versus adjuvant radiation if a maximal resection is unfeasible. Pharmacological therapy with MAPK targeted agents is an emerging therapeutic option for tumors with BRAF V600E mutations. We report a 45-year-old male with a strictly third ventricle papillary craniopharyngioma with a BRAF V600E mutation. After initial surgery with subtotal resection, the patient demonstrated durable response to targeted BRAF and MEK inhibitor therapy with vemurafenib and cobimetinib. Our report suggests that targeted therapy may reduce the need for radiation and impact surgical interventions in select cases.

求助全文
通过发布文献求助,成功后即可免费获取论文全文。 去求助
来源期刊
CNS Oncology
CNS Oncology Medicine-Neurology (clinical)
CiteScore
3.80
自引率
0.00%
发文量
12
审稿时长
13 weeks
×
引用
GB/T 7714-2015
复制
MLA
复制
APA
复制
导出至
BibTeX EndNote RefMan NoteFirst NoteExpress
×
提示
您的信息不完整,为了账户安全,请先补充。
现在去补充
×
提示
您因"违规操作"
具体请查看互助需知
我知道了
×
提示
确定
请完成安全验证×
copy
已复制链接
快去分享给好友吧!
我知道了
右上角分享
点击右上角分享
0
联系我们:info@booksci.cn Book学术提供免费学术资源搜索服务,方便国内外学者检索中英文文献。致力于提供最便捷和优质的服务体验。 Copyright © 2023 布克学术 All rights reserved.
京ICP备2023020795号-1
ghs 京公网安备 11010802042870号
Book学术文献互助
Book学术文献互助群
群 号:604180095
Book学术官方微信