合并室间隔缺损和风湿性心瓣膜病引起的严重肺动脉高压:病例报告和文献综述。

IF 0.6 Q3 MEDICINE, GENERAL & INTERNAL
Clinical Medicine Insights. Case Reports Pub Date : 2024-02-09 eCollection Date: 2024-01-01 DOI:10.1177/11795476241231140
Isaac Kofi Owusu, Gordon Manu Amponsah, Yaw Amo Wiafe
{"title":"合并室间隔缺损和风湿性心瓣膜病引起的严重肺动脉高压:病例报告和文献综述。","authors":"Isaac Kofi Owusu, Gordon Manu Amponsah, Yaw Amo Wiafe","doi":"10.1177/11795476241231140","DOIUrl":null,"url":null,"abstract":"<p><p>Most individuals with ventricular septal defect survive to adulthood which allows time for other complications such as pulmonary arterial hypertension to gradually develop over a period of time. When there are other associated cardiac conditions that also contribute to the development of pulmonary hypertension such as valvular heart disease, the pulmonary hypertension may be exaggerated. Because these different etiologies of the pulmonary hypertension have different mechanisms, their coexistence can complicate patient management. We present a 26-year-old man with a large ventricular septal defect and rheumatic mitral valve disease who developed severe pulmonary hypertension that became complicated by atrial fibrillation and later sudden cardiac death.</p>","PeriodicalId":10357,"journal":{"name":"Clinical Medicine Insights. Case Reports","volume":"17 ","pages":"11795476241231140"},"PeriodicalIF":0.6000,"publicationDate":"2024-02-09","publicationTypes":"Journal Article","fieldsOfStudy":null,"isOpenAccess":false,"openAccessPdf":"https://www.ncbi.nlm.nih.gov/pmc/articles/PMC10859041/pdf/","citationCount":"0","resultStr":"{\"title\":\"Severe Pulmonary Hypertension From Combined Ventricular Septal Defect and Rheumatic MIitral Valve Disease: A Case Report and Literature Review.\",\"authors\":\"Isaac Kofi Owusu, Gordon Manu Amponsah, Yaw Amo Wiafe\",\"doi\":\"10.1177/11795476241231140\",\"DOIUrl\":null,\"url\":null,\"abstract\":\"<p><p>Most individuals with ventricular septal defect survive to adulthood which allows time for other complications such as pulmonary arterial hypertension to gradually develop over a period of time. When there are other associated cardiac conditions that also contribute to the development of pulmonary hypertension such as valvular heart disease, the pulmonary hypertension may be exaggerated. Because these different etiologies of the pulmonary hypertension have different mechanisms, their coexistence can complicate patient management. We present a 26-year-old man with a large ventricular septal defect and rheumatic mitral valve disease who developed severe pulmonary hypertension that became complicated by atrial fibrillation and later sudden cardiac death.</p>\",\"PeriodicalId\":10357,\"journal\":{\"name\":\"Clinical Medicine Insights. Case Reports\",\"volume\":\"17 \",\"pages\":\"11795476241231140\"},\"PeriodicalIF\":0.6000,\"publicationDate\":\"2024-02-09\",\"publicationTypes\":\"Journal Article\",\"fieldsOfStudy\":null,\"isOpenAccess\":false,\"openAccessPdf\":\"https://www.ncbi.nlm.nih.gov/pmc/articles/PMC10859041/pdf/\",\"citationCount\":\"0\",\"resultStr\":null,\"platform\":\"Semanticscholar\",\"paperid\":null,\"PeriodicalName\":\"Clinical Medicine Insights. Case Reports\",\"FirstCategoryId\":\"1085\",\"ListUrlMain\":\"https://doi.org/10.1177/11795476241231140\",\"RegionNum\":0,\"RegionCategory\":null,\"ArticlePicture\":[],\"TitleCN\":null,\"AbstractTextCN\":null,\"PMCID\":null,\"EPubDate\":\"2024/1/1 0:00:00\",\"PubModel\":\"eCollection\",\"JCR\":\"Q3\",\"JCRName\":\"MEDICINE, GENERAL & INTERNAL\",\"Score\":null,\"Total\":0}","platform":"Semanticscholar","paperid":null,"PeriodicalName":"Clinical Medicine Insights. Case Reports","FirstCategoryId":"1085","ListUrlMain":"https://doi.org/10.1177/11795476241231140","RegionNum":0,"RegionCategory":null,"ArticlePicture":[],"TitleCN":null,"AbstractTextCN":null,"PMCID":null,"EPubDate":"2024/1/1 0:00:00","PubModel":"eCollection","JCR":"Q3","JCRName":"MEDICINE, GENERAL & INTERNAL","Score":null,"Total":0}
引用次数: 0

摘要

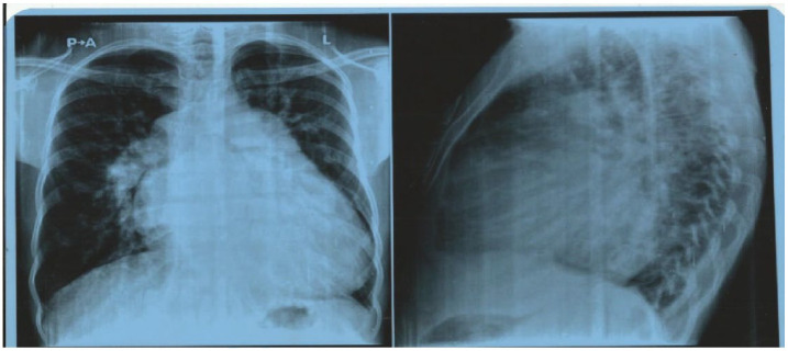
大多数室间隔缺损患者都能活到成年,这就为肺动脉高压等其他并发症的逐渐发展留出了时间。如果伴有其他心脏疾病(如瓣膜性心脏病),也会导致肺动脉高压的发生,那么肺动脉高压可能会加重。由于肺动脉高压的这些不同病因具有不同的机制,它们的并存会使患者的治疗变得复杂。我们介绍了一名患有室间隔缺损和风湿性二尖瓣疾病的 26 岁男性患者,他患上了严重的肺动脉高压,并与心房颤动和后来的心脏性猝死并发。
本文章由计算机程序翻译,如有差异,请以英文原文为准。

Severe Pulmonary Hypertension From Combined Ventricular Septal Defect and Rheumatic MIitral Valve Disease: A Case Report and Literature Review.

Severe Pulmonary Hypertension From Combined Ventricular Septal Defect and Rheumatic MIitral Valve Disease: A Case Report and Literature Review.

Severe Pulmonary Hypertension From Combined Ventricular Septal Defect and Rheumatic MIitral Valve Disease: A Case Report and Literature Review.

Severe Pulmonary Hypertension From Combined Ventricular Septal Defect and Rheumatic MIitral Valve Disease: A Case Report and Literature Review.

Most individuals with ventricular septal defect survive to adulthood which allows time for other complications such as pulmonary arterial hypertension to gradually develop over a period of time. When there are other associated cardiac conditions that also contribute to the development of pulmonary hypertension such as valvular heart disease, the pulmonary hypertension may be exaggerated. Because these different etiologies of the pulmonary hypertension have different mechanisms, their coexistence can complicate patient management. We present a 26-year-old man with a large ventricular septal defect and rheumatic mitral valve disease who developed severe pulmonary hypertension that became complicated by atrial fibrillation and later sudden cardiac death.

求助全文
通过发布文献求助,成功后即可免费获取论文全文。 去求助
来源期刊
Clinical Medicine Insights. Case Reports
Clinical Medicine Insights. Case Reports MEDICINE, GENERAL & INTERNAL-
CiteScore
1.10
自引率
0.00%
发文量
57
审稿时长
8 weeks
×
引用
GB/T 7714-2015
复制
MLA
复制
APA
复制
导出至
BibTeX EndNote RefMan NoteFirst NoteExpress
×
提示
您的信息不完整,为了账户安全,请先补充。
现在去补充
×
提示
您因"违规操作"
具体请查看互助需知
我知道了
×
提示
确定
请完成安全验证×
copy
已复制链接
快去分享给好友吧!
我知道了
右上角分享
点击右上角分享
0
联系我们:info@booksci.cn Book学术提供免费学术资源搜索服务,方便国内外学者检索中英文文献。致力于提供最便捷和优质的服务体验。 Copyright © 2023 布克学术 All rights reserved.
京ICP备2023020795号-1
ghs 京公网安备 11010802042870号
Book学术文献互助
Book学术文献互助群
群 号:604180095
Book学术官方微信