急性牙髓炎通过 P38MAPK/NF-κB 信号通路促进嘌呤能信号传导以诱发大鼠疼痛

IF 2.8 3区 医学 Q2 NEUROSCIENCES
Yangxi Chen, Jun Hu, Fang Qi, Yiqun Kang, Tiejun Zhang, Li Wang
{"title":"急性牙髓炎通过 P38MAPK/NF-κB 信号通路促进嘌呤能信号传导以诱发大鼠疼痛","authors":"Yangxi Chen, Jun Hu, Fang Qi, Yiqun Kang, Tiejun Zhang, Li Wang","doi":"10.1177/17448069241234451","DOIUrl":null,"url":null,"abstract":"<p><p>Toothache is one of the most common types of pain, but the mechanisms underlying pulpitis-induced pain remain unknown. The ionotropic purinergic receptor family (P2X) is reported to mediate nociception in the nervous system. This study aims to investigate the involvement of P2X3 in the sensitisation of the trigeminal ganglion (TG) and the inflammation caused by acute pulpitis. An acute tooth inflammation model was established by applying LPS to the pulp of SD rats. We found that the increased expression of P2X3 was induced by acute pulpitis. A selective P2X3 inhibitor (A-317491) reduced pain-like behavior in the maxillofacial region of rats and depressed the activation of neurons in the trigeminal ganglion induced by pulpitis. The upregulated MAPK signaling (p-p38, p-ERK1/2) expression in the ipsilateral TG induced by pulpitis could also be depressed by the application of the P2X3 inhibitor. Furthermore, the expression of markers of inflammatory processes, such as NF-κB, TNF-α and IL-1β, could be induced by acute pulpitis and deduced by the intraperitoneal injection of P2X3 antagonists. Our findings demonstrate that purinergic P2X3 receptor signaling in TG neurons contributes to pulpitis-induced pain in rats and that P2X3 signaling may be a potential therapeutic target for tooth pain.</p>","PeriodicalId":19010,"journal":{"name":"Molecular Pain","volume":" ","pages":"17448069241234451"},"PeriodicalIF":2.8000,"publicationDate":"2024-01-01","publicationTypes":"Journal Article","fieldsOfStudy":null,"isOpenAccess":false,"openAccessPdf":"https://www.ncbi.nlm.nih.gov/pmc/articles/PMC10868473/pdf/","citationCount":"0","resultStr":"{\"title\":\"Acute pulpitis promotes purinergic signaling to induce pain in rats via P38MAPK/NF-κB signaling pathway.\",\"authors\":\"Yangxi Chen, Jun Hu, Fang Qi, Yiqun Kang, Tiejun Zhang, Li Wang\",\"doi\":\"10.1177/17448069241234451\",\"DOIUrl\":null,\"url\":null,\"abstract\":\"<p><p>Toothache is one of the most common types of pain, but the mechanisms underlying pulpitis-induced pain remain unknown. The ionotropic purinergic receptor family (P2X) is reported to mediate nociception in the nervous system. This study aims to investigate the involvement of P2X3 in the sensitisation of the trigeminal ganglion (TG) and the inflammation caused by acute pulpitis. An acute tooth inflammation model was established by applying LPS to the pulp of SD rats. We found that the increased expression of P2X3 was induced by acute pulpitis. A selective P2X3 inhibitor (A-317491) reduced pain-like behavior in the maxillofacial region of rats and depressed the activation of neurons in the trigeminal ganglion induced by pulpitis. The upregulated MAPK signaling (p-p38, p-ERK1/2) expression in the ipsilateral TG induced by pulpitis could also be depressed by the application of the P2X3 inhibitor. Furthermore, the expression of markers of inflammatory processes, such as NF-κB, TNF-α and IL-1β, could be induced by acute pulpitis and deduced by the intraperitoneal injection of P2X3 antagonists. Our findings demonstrate that purinergic P2X3 receptor signaling in TG neurons contributes to pulpitis-induced pain in rats and that P2X3 signaling may be a potential therapeutic target for tooth pain.</p>\",\"PeriodicalId\":19010,\"journal\":{\"name\":\"Molecular Pain\",\"volume\":\" \",\"pages\":\"17448069241234451\"},\"PeriodicalIF\":2.8000,\"publicationDate\":\"2024-01-01\",\"publicationTypes\":\"Journal Article\",\"fieldsOfStudy\":null,\"isOpenAccess\":false,\"openAccessPdf\":\"https://www.ncbi.nlm.nih.gov/pmc/articles/PMC10868473/pdf/\",\"citationCount\":\"0\",\"resultStr\":null,\"platform\":\"Semanticscholar\",\"paperid\":null,\"PeriodicalName\":\"Molecular Pain\",\"FirstCategoryId\":\"3\",\"ListUrlMain\":\"https://doi.org/10.1177/17448069241234451\",\"RegionNum\":3,\"RegionCategory\":\"医学\",\"ArticlePicture\":[],\"TitleCN\":null,\"AbstractTextCN\":null,\"PMCID\":null,\"EPubDate\":\"\",\"PubModel\":\"\",\"JCR\":\"Q2\",\"JCRName\":\"NEUROSCIENCES\",\"Score\":null,\"Total\":0}","platform":"Semanticscholar","paperid":null,"PeriodicalName":"Molecular Pain","FirstCategoryId":"3","ListUrlMain":"https://doi.org/10.1177/17448069241234451","RegionNum":3,"RegionCategory":"医学","ArticlePicture":[],"TitleCN":null,"AbstractTextCN":null,"PMCID":null,"EPubDate":"","PubModel":"","JCR":"Q2","JCRName":"NEUROSCIENCES","Score":null,"Total":0}
引用次数: 0

摘要

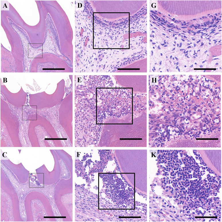
牙痛是最常见的疼痛类型之一,但牙髓炎诱发疼痛的机制仍不清楚。据报道,离子型嘌呤能受体家族(P2X)可介导神经系统的痛觉。本研究旨在探讨 P2X3 参与三叉神经节(TG)的敏化和急性牙髓炎引起的炎症。通过在 SD 大鼠的牙髓中注射 LPS,建立了急性牙髓炎模型。我们发现急性牙髓炎会诱导 P2X3 的表达增加。一种选择性 P2X3 抑制剂(A-317491)可减少大鼠颌面部的痛样行为,并抑制牙髓炎诱导的三叉神经节神经元的激活。应用 P2X3 抑制剂还能抑制牙髓炎诱导的同侧 TG 中上调的 MAPK 信号(p-p38、p-ERK1/2)表达。此外,急性牙髓炎可诱导NF-κB、TNF-α和IL-1β等炎症过程标志物的表达,腹腔注射P2X3拮抗剂也可对其进行推断。我们的研究结果表明,TG神经元中的嘌呤能P2X3受体信号转导导致了牙髓炎诱发的大鼠疼痛,P2X3信号转导可能是牙痛的潜在治疗靶点。
本文章由计算机程序翻译,如有差异,请以英文原文为准。

Acute pulpitis promotes purinergic signaling to induce pain in rats via P38MAPK/NF-κB signaling pathway.

Acute pulpitis promotes purinergic signaling to induce pain in rats via P38MAPK/NF-κB signaling pathway.

Acute pulpitis promotes purinergic signaling to induce pain in rats via P38MAPK/NF-κB signaling pathway.

Acute pulpitis promotes purinergic signaling to induce pain in rats via P38MAPK/NF-κB signaling pathway.

Toothache is one of the most common types of pain, but the mechanisms underlying pulpitis-induced pain remain unknown. The ionotropic purinergic receptor family (P2X) is reported to mediate nociception in the nervous system. This study aims to investigate the involvement of P2X3 in the sensitisation of the trigeminal ganglion (TG) and the inflammation caused by acute pulpitis. An acute tooth inflammation model was established by applying LPS to the pulp of SD rats. We found that the increased expression of P2X3 was induced by acute pulpitis. A selective P2X3 inhibitor (A-317491) reduced pain-like behavior in the maxillofacial region of rats and depressed the activation of neurons in the trigeminal ganglion induced by pulpitis. The upregulated MAPK signaling (p-p38, p-ERK1/2) expression in the ipsilateral TG induced by pulpitis could also be depressed by the application of the P2X3 inhibitor. Furthermore, the expression of markers of inflammatory processes, such as NF-κB, TNF-α and IL-1β, could be induced by acute pulpitis and deduced by the intraperitoneal injection of P2X3 antagonists. Our findings demonstrate that purinergic P2X3 receptor signaling in TG neurons contributes to pulpitis-induced pain in rats and that P2X3 signaling may be a potential therapeutic target for tooth pain.

求助全文
通过发布文献求助,成功后即可免费获取论文全文。 去求助
来源期刊
Molecular Pain
Molecular Pain 医学-神经科学
CiteScore
5.60
自引率
3.00%
发文量
56
审稿时长
6-12 weeks
期刊介绍: Molecular Pain is a peer-reviewed, open access journal that considers manuscripts in pain research at the cellular, subcellular and molecular levels. Molecular Pain provides a forum for molecular pain scientists to communicate their research findings in a targeted manner to others in this important and growing field.
×
引用
GB/T 7714-2015
复制
MLA
复制
APA
复制
导出至
BibTeX EndNote RefMan NoteFirst NoteExpress
×
提示
您的信息不完整,为了账户安全,请先补充。
现在去补充
×
提示
您因"违规操作"
具体请查看互助需知
我知道了
×
提示
确定
请完成安全验证×
copy
已复制链接
快去分享给好友吧!
我知道了
右上角分享
点击右上角分享
0
联系我们:info@booksci.cn Book学术提供免费学术资源搜索服务,方便国内外学者检索中英文文献。致力于提供最便捷和优质的服务体验。 Copyright © 2023 布克学术 All rights reserved.
京ICP备2023020795号-1
ghs 京公网安备 11010802042870号
Book学术文献互助
Book学术文献互助群
群 号:604180095
Book学术官方微信