COVID-19导致冠状动脉血管炎的罕见表现。

IF 0.5 Q4 CARDIAC & CARDIOVASCULAR SYSTEMS
Case Reports in Cardiology Pub Date : 2024-01-30 eCollection Date: 2024-01-01 DOI:10.1155/2024/8976833
Ahmed Hassaan Qavi, Soban Ahmad, Neeraj N Shah, Rony Shammas
{"title":"COVID-19导致冠状动脉血管炎的罕见表现。","authors":"Ahmed Hassaan Qavi, Soban Ahmad, Neeraj N Shah, Rony Shammas","doi":"10.1155/2024/8976833","DOIUrl":null,"url":null,"abstract":"<p><p>We present the case of a 59-year-old African American female with end-stage renal disease (ESRD) who presented to the emergency department with chest discomfort. She had a coronary angiogram six months ago that showed no occlusive epicardial coronary artery disease. She had elevated troponin I levels and new regional wall motion abnormalities on echocardiogram. Her SARS-CoV-2 returned positive. After a multidisciplinary team approach, she underwent another coronary angiogram that showed new severe multivessel ostial lesions and a left main coronary artery aneurysm. COVID-19-related coronary artery vasculitis was suspected based on her clinical presentation, angiogram findings, and negative autoimmune workup. The patient underwent successful coronary artery bypass grafting and recovered without complications.</p>","PeriodicalId":51760,"journal":{"name":"Case Reports in Cardiology","volume":"2024 ","pages":"8976833"},"PeriodicalIF":0.5000,"publicationDate":"2024-01-30","publicationTypes":"Journal Article","fieldsOfStudy":null,"isOpenAccess":false,"openAccessPdf":"https://www.ncbi.nlm.nih.gov/pmc/articles/PMC10846917/pdf/","citationCount":"0","resultStr":"{\"title\":\"Rare Manifestation of COVID-19 Resulting in Coronary Artery Vasculitis.\",\"authors\":\"Ahmed Hassaan Qavi, Soban Ahmad, Neeraj N Shah, Rony Shammas\",\"doi\":\"10.1155/2024/8976833\",\"DOIUrl\":null,\"url\":null,\"abstract\":\"<p><p>We present the case of a 59-year-old African American female with end-stage renal disease (ESRD) who presented to the emergency department with chest discomfort. She had a coronary angiogram six months ago that showed no occlusive epicardial coronary artery disease. She had elevated troponin I levels and new regional wall motion abnormalities on echocardiogram. Her SARS-CoV-2 returned positive. After a multidisciplinary team approach, she underwent another coronary angiogram that showed new severe multivessel ostial lesions and a left main coronary artery aneurysm. COVID-19-related coronary artery vasculitis was suspected based on her clinical presentation, angiogram findings, and negative autoimmune workup. The patient underwent successful coronary artery bypass grafting and recovered without complications.</p>\",\"PeriodicalId\":51760,\"journal\":{\"name\":\"Case Reports in Cardiology\",\"volume\":\"2024 \",\"pages\":\"8976833\"},\"PeriodicalIF\":0.5000,\"publicationDate\":\"2024-01-30\",\"publicationTypes\":\"Journal Article\",\"fieldsOfStudy\":null,\"isOpenAccess\":false,\"openAccessPdf\":\"https://www.ncbi.nlm.nih.gov/pmc/articles/PMC10846917/pdf/\",\"citationCount\":\"0\",\"resultStr\":null,\"platform\":\"Semanticscholar\",\"paperid\":null,\"PeriodicalName\":\"Case Reports in Cardiology\",\"FirstCategoryId\":\"1085\",\"ListUrlMain\":\"https://doi.org/10.1155/2024/8976833\",\"RegionNum\":0,\"RegionCategory\":null,\"ArticlePicture\":[],\"TitleCN\":null,\"AbstractTextCN\":null,\"PMCID\":null,\"EPubDate\":\"2024/1/1 0:00:00\",\"PubModel\":\"eCollection\",\"JCR\":\"Q4\",\"JCRName\":\"CARDIAC & CARDIOVASCULAR SYSTEMS\",\"Score\":null,\"Total\":0}","platform":"Semanticscholar","paperid":null,"PeriodicalName":"Case Reports in Cardiology","FirstCategoryId":"1085","ListUrlMain":"https://doi.org/10.1155/2024/8976833","RegionNum":0,"RegionCategory":null,"ArticlePicture":[],"TitleCN":null,"AbstractTextCN":null,"PMCID":null,"EPubDate":"2024/1/1 0:00:00","PubModel":"eCollection","JCR":"Q4","JCRName":"CARDIAC & CARDIOVASCULAR SYSTEMS","Score":null,"Total":0}
引用次数: 0

摘要

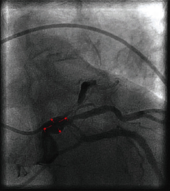
本病例是一名 59 岁的非裔美国女性,患有终末期肾病(ESRD),因胸部不适到急诊科就诊。她六个月前做过冠状动脉造影,结果显示心外膜冠状动脉没有闭塞性疾病。她的肌钙蛋白 I 水平升高,超声心动图显示新的区域室壁运动异常。她的 SARS-CoV-2 呈阳性。经过多学科团队会诊后,她接受了另一次冠状动脉造影检查,结果显示出现了新的严重多血管骨膜病变和左冠状动脉主动脉瘤。根据她的临床表现、血管造影结果和阴性的自身免疫检查结果,怀疑她患有与 COVID-19 相关的冠状动脉血管炎。该患者成功接受了冠状动脉旁路移植手术,术后恢复良好,未出现并发症。
本文章由计算机程序翻译,如有差异,请以英文原文为准。

Rare Manifestation of COVID-19 Resulting in Coronary Artery Vasculitis.

Rare Manifestation of COVID-19 Resulting in Coronary Artery Vasculitis.

Rare Manifestation of COVID-19 Resulting in Coronary Artery Vasculitis.

Rare Manifestation of COVID-19 Resulting in Coronary Artery Vasculitis.

We present the case of a 59-year-old African American female with end-stage renal disease (ESRD) who presented to the emergency department with chest discomfort. She had a coronary angiogram six months ago that showed no occlusive epicardial coronary artery disease. She had elevated troponin I levels and new regional wall motion abnormalities on echocardiogram. Her SARS-CoV-2 returned positive. After a multidisciplinary team approach, she underwent another coronary angiogram that showed new severe multivessel ostial lesions and a left main coronary artery aneurysm. COVID-19-related coronary artery vasculitis was suspected based on her clinical presentation, angiogram findings, and negative autoimmune workup. The patient underwent successful coronary artery bypass grafting and recovered without complications.

求助全文
通过发布文献求助,成功后即可免费获取论文全文。 去求助
来源期刊
Case Reports in Cardiology
Case Reports in Cardiology CARDIAC & CARDIOVASCULAR SYSTEMS-
自引率
0.00%
发文量
63
审稿时长
13 weeks
期刊介绍: Case Reports in Cardiology is a peer-reviewed, Open Access journal that publishes case reports and case series related to hypertension, arrhythmia, congestive heart failure, valvular heart disease, vascular disease, congenital heart disease and cardiomyopathy.
×
引用
GB/T 7714-2015
复制
MLA
复制
APA
复制
导出至
BibTeX EndNote RefMan NoteFirst NoteExpress
×
提示
您的信息不完整,为了账户安全,请先补充。
现在去补充
×
提示
您因"违规操作"
具体请查看互助需知
我知道了
×
提示
确定
请完成安全验证×
copy
已复制链接
快去分享给好友吧!
我知道了
右上角分享
点击右上角分享
0
联系我们:info@booksci.cn Book学术提供免费学术资源搜索服务,方便国内外学者检索中英文文献。致力于提供最便捷和优质的服务体验。 Copyright © 2023 布克学术 All rights reserved.
京ICP备2023020795号-1
ghs 京公网安备 11010802042870号
Book学术文献互助
Book学术文献互助群
群 号:604180095
Book学术官方微信