母体蛋白质限制会影响 44 天大老鼠附睾上皮细胞的分化。

IF 1.7 4区 生物学 Q3 BIOLOGY
Biology Open Pub Date : 2025-06-15 Epub Date: 2025-06-06 DOI:10.1242/bio.060080
Fábio Colonheze, Marilia Martins Cavariani, Bruno Cesar Schimming, Talita de Mello Santos, Luiz Gustavo de Almeida Chuffa, Raquel Fantin Domeniconi
{"title":"母体蛋白质限制会影响 44 天大老鼠附睾上皮细胞的分化。","authors":"Fábio Colonheze, Marilia Martins Cavariani, Bruno Cesar Schimming, Talita de Mello Santos, Luiz Gustavo de Almeida Chuffa, Raquel Fantin Domeniconi","doi":"10.1242/bio.060080","DOIUrl":null,"url":null,"abstract":"<p><p>Maternal protein restriction delays the differentiation of epididymal mesenchymal cells in newborn rats. However, it is unclear whether this delay persists until the full differentiation of the epididymal epithelium at 44 days postnatal. Thus, this study aimed to assess the impact of maternal protein reduction on 44-day-old rats' epididymal epithelium differentiation, following up on the observed delay in newborn animals. Pregnant rats were randomly divided into groups receiving normal-protein (NP: 17% protein) or low-protein (LP: 6% protein) diets during gestation and lactation. On postnatal day (PDN) 44, male offspring were euthanized, and the epididymis (NP n=10, LP n=10) was processed according to immunohistochemical techniques for the detection of aquaporin 9 (AQP9), KI-67, TP63, and ATPase. LP rats showed a decrease in the intensity of the AQP9 reaction, an increase in cellular proliferation in the initial segment and corpus of the epididymis, an increase in basal cells in the caput and corpus epididymis, and an increase in ATPase-positive clear cells in the cauda region. These findings demonstrate that maternal protein restriction impacts cell differentiation in the epididymal epithelium of 44-day-old rats, persisting even with a normal-protein diet after weaning.</p>","PeriodicalId":9216,"journal":{"name":"Biology Open","volume":" ","pages":""},"PeriodicalIF":1.7000,"publicationDate":"2025-06-15","publicationTypes":"Journal Article","fieldsOfStudy":null,"isOpenAccess":false,"openAccessPdf":"https://www.ncbi.nlm.nih.gov/pmc/articles/PMC12171574/pdf/","citationCount":"0","resultStr":"{\"title\":\"Maternal protein restriction affects the differentiation of cells in the epididymal epithelium lining of 44-day-old rats.\",\"authors\":\"Fábio Colonheze, Marilia Martins Cavariani, Bruno Cesar Schimming, Talita de Mello Santos, Luiz Gustavo de Almeida Chuffa, Raquel Fantin Domeniconi\",\"doi\":\"10.1242/bio.060080\",\"DOIUrl\":null,\"url\":null,\"abstract\":\"<p><p>Maternal protein restriction delays the differentiation of epididymal mesenchymal cells in newborn rats. However, it is unclear whether this delay persists until the full differentiation of the epididymal epithelium at 44 days postnatal. Thus, this study aimed to assess the impact of maternal protein reduction on 44-day-old rats' epididymal epithelium differentiation, following up on the observed delay in newborn animals. Pregnant rats were randomly divided into groups receiving normal-protein (NP: 17% protein) or low-protein (LP: 6% protein) diets during gestation and lactation. On postnatal day (PDN) 44, male offspring were euthanized, and the epididymis (NP n=10, LP n=10) was processed according to immunohistochemical techniques for the detection of aquaporin 9 (AQP9), KI-67, TP63, and ATPase. LP rats showed a decrease in the intensity of the AQP9 reaction, an increase in cellular proliferation in the initial segment and corpus of the epididymis, an increase in basal cells in the caput and corpus epididymis, and an increase in ATPase-positive clear cells in the cauda region. These findings demonstrate that maternal protein restriction impacts cell differentiation in the epididymal epithelium of 44-day-old rats, persisting even with a normal-protein diet after weaning.</p>\",\"PeriodicalId\":9216,\"journal\":{\"name\":\"Biology Open\",\"volume\":\" \",\"pages\":\"\"},\"PeriodicalIF\":1.7000,\"publicationDate\":\"2025-06-15\",\"publicationTypes\":\"Journal Article\",\"fieldsOfStudy\":null,\"isOpenAccess\":false,\"openAccessPdf\":\"https://www.ncbi.nlm.nih.gov/pmc/articles/PMC12171574/pdf/\",\"citationCount\":\"0\",\"resultStr\":null,\"platform\":\"Semanticscholar\",\"paperid\":null,\"PeriodicalName\":\"Biology Open\",\"FirstCategoryId\":\"99\",\"ListUrlMain\":\"https://doi.org/10.1242/bio.060080\",\"RegionNum\":4,\"RegionCategory\":\"生物学\",\"ArticlePicture\":[],\"TitleCN\":null,\"AbstractTextCN\":null,\"PMCID\":null,\"EPubDate\":\"2025/6/6 0:00:00\",\"PubModel\":\"Epub\",\"JCR\":\"Q3\",\"JCRName\":\"BIOLOGY\",\"Score\":null,\"Total\":0}","platform":"Semanticscholar","paperid":null,"PeriodicalName":"Biology Open","FirstCategoryId":"99","ListUrlMain":"https://doi.org/10.1242/bio.060080","RegionNum":4,"RegionCategory":"生物学","ArticlePicture":[],"TitleCN":null,"AbstractTextCN":null,"PMCID":null,"EPubDate":"2025/6/6 0:00:00","PubModel":"Epub","JCR":"Q3","JCRName":"BIOLOGY","Score":null,"Total":0}
引用次数: 0

摘要

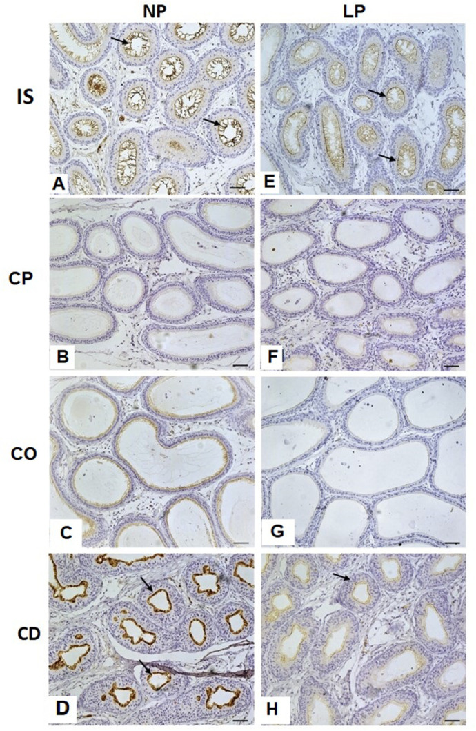
母体蛋白质限制会延迟新生大鼠附睾间质细胞的分化。但是,这种延迟是否会持续到出生后 44 天附睾上皮细胞完全分化为止,目前还不清楚。因此,本研究旨在评估母体蛋白质减少对出生 44 天的大鼠附睾上皮分化的影响,并对观察到的新生动物的延迟进行追踪。将妊娠大鼠随机分为两组,在妊娠期和哺乳期接受正常蛋白质(NP - 17% 蛋白质)或低蛋白质(LP - 6% 蛋白质)饮食。在出生后第 44 天(PDN),雄性后代被安乐死,附睾(NP n=10,LP n=10)按照免疫组化技术进行处理,以检测水蒸发素 9(AQP9)、KI-67、TP63 和 ATPase。结果显示:LP 大鼠的 AQP9 反应强度降低,附睾首段和睾丸的细胞增殖增加,附睾头和睾丸的基底细胞增加,尾部的 ATPase 阳性透明细胞增加。这些研究结果表明,母体蛋白质限制会影响44天大老鼠附睾上皮细胞的分化,即使断奶后食用正常蛋白质饮食,这种影响也会持续存在。
本文章由计算机程序翻译,如有差异,请以英文原文为准。

Maternal protein restriction affects the differentiation of cells in the epididymal epithelium lining of 44-day-old rats.

Maternal protein restriction affects the differentiation of cells in the epididymal epithelium lining of 44-day-old rats.

Maternal protein restriction affects the differentiation of cells in the epididymal epithelium lining of 44-day-old rats.

Maternal protein restriction affects the differentiation of cells in the epididymal epithelium lining of 44-day-old rats.

Maternal protein restriction delays the differentiation of epididymal mesenchymal cells in newborn rats. However, it is unclear whether this delay persists until the full differentiation of the epididymal epithelium at 44 days postnatal. Thus, this study aimed to assess the impact of maternal protein reduction on 44-day-old rats' epididymal epithelium differentiation, following up on the observed delay in newborn animals. Pregnant rats were randomly divided into groups receiving normal-protein (NP: 17% protein) or low-protein (LP: 6% protein) diets during gestation and lactation. On postnatal day (PDN) 44, male offspring were euthanized, and the epididymis (NP n=10, LP n=10) was processed according to immunohistochemical techniques for the detection of aquaporin 9 (AQP9), KI-67, TP63, and ATPase. LP rats showed a decrease in the intensity of the AQP9 reaction, an increase in cellular proliferation in the initial segment and corpus of the epididymis, an increase in basal cells in the caput and corpus epididymis, and an increase in ATPase-positive clear cells in the cauda region. These findings demonstrate that maternal protein restriction impacts cell differentiation in the epididymal epithelium of 44-day-old rats, persisting even with a normal-protein diet after weaning.

求助全文
通过发布文献求助,成功后即可免费获取论文全文。 去求助
来源期刊
Biology Open
Biology Open BIOLOGY-
CiteScore
3.90
自引率
0.00%
发文量
162
审稿时长
8 weeks
期刊介绍: Biology Open (BiO) is an online Open Access journal that publishes peer-reviewed original research across all aspects of the biological sciences. BiO aims to provide rapid publication for scientifically sound observations and valid conclusions, without a requirement for perceived impact.
×
引用
GB/T 7714-2015
复制
MLA
复制
APA
复制
导出至
BibTeX EndNote RefMan NoteFirst NoteExpress
×
提示
您的信息不完整,为了账户安全,请先补充。
现在去补充
×
提示
您因"违规操作"
具体请查看互助需知
我知道了
×
提示
确定
请完成安全验证×
copy
已复制链接
快去分享给好友吧!
我知道了
右上角分享
点击右上角分享
0
联系我们:info@booksci.cn Book学术提供免费学术资源搜索服务,方便国内外学者检索中英文文献。致力于提供最便捷和优质的服务体验。 Copyright © 2023 布克学术 All rights reserved.
京ICP备2023020795号-1
ghs 京公网安备 11010802042870号
Book学术文献互助
Book学术文献互助群
群 号:604180095
Book学术官方微信