[原发性肾上腺皮质功能减退症患者的鉴别诊断和处理策略--以一例临床病例为例]。

N N Katamadze, A A Tskaeva, E A Pigarova, L K Dzeranova, N V Tarbaeva
{"title":"[原发性肾上腺皮质功能减退症患者的鉴别诊断和处理策略--以一例临床病例为例]。","authors":"N N Katamadze, A A Tskaeva, E A Pigarova, L K Dzeranova, N V Tarbaeva","doi":"10.14341/probl13311","DOIUrl":null,"url":null,"abstract":"<p><p>In recent years, there has been a significant increase in the prevalence of autoimmune endocrinopathies, which are known to affect various levels of the endocrine system, including the pituitary gland. Hypophysitis is a general term used to describe any form of sellar and suprasellar inflammation that leads to structural changes in the hypothalamic-pituitary region and manifests itself in varying degrees of hormonal deficiency of the anterior and posterior pituitary glands. To date, there is a primary form of hypophysitis, which occurs as a result of an autoimmune lesion directly to the pituitary gland, and a secondary form of hypophysitis, which occurs as a result of the presence of a systemic autoimmune disease. Regardless of the etiology, patients with hypophysitis show various signs and symptoms caused by an inflammatory process in the pituitary gland, which can lead to the development of hypopituitarism, compression of the sellar and parasellar structures. MRI is currently the best non-invasive diagnostic tool for diagnosing hypopituitarism, however, the diagnosis can be made with certainty only by histological examination of the pituitary tissue, which requires an invasive approach, which greatly reduces the feasibility of this procedure. In this article, we present a patient with MRI showing signs of hypophysitis in the absence of clear clinical symptoms.</p>","PeriodicalId":101419,"journal":{"name":"Problemy endokrinologii","volume":"69 6","pages":"54-62"},"PeriodicalIF":0.0000,"publicationDate":"2024-01-24","publicationTypes":"Journal Article","fieldsOfStudy":null,"isOpenAccess":false,"openAccessPdf":"https://www.ncbi.nlm.nih.gov/pmc/articles/PMC10851037/pdf/","citationCount":"0","resultStr":"{\"title\":\"[Differential diagnosis and tactics of managing a patient with primary hypophysitis on the example of a clinical case].\",\"authors\":\"N N Katamadze, A A Tskaeva, E A Pigarova, L K Dzeranova, N V Tarbaeva\",\"doi\":\"10.14341/probl13311\",\"DOIUrl\":null,\"url\":null,\"abstract\":\"<p><p>In recent years, there has been a significant increase in the prevalence of autoimmune endocrinopathies, which are known to affect various levels of the endocrine system, including the pituitary gland. Hypophysitis is a general term used to describe any form of sellar and suprasellar inflammation that leads to structural changes in the hypothalamic-pituitary region and manifests itself in varying degrees of hormonal deficiency of the anterior and posterior pituitary glands. To date, there is a primary form of hypophysitis, which occurs as a result of an autoimmune lesion directly to the pituitary gland, and a secondary form of hypophysitis, which occurs as a result of the presence of a systemic autoimmune disease. Regardless of the etiology, patients with hypophysitis show various signs and symptoms caused by an inflammatory process in the pituitary gland, which can lead to the development of hypopituitarism, compression of the sellar and parasellar structures. MRI is currently the best non-invasive diagnostic tool for diagnosing hypopituitarism, however, the diagnosis can be made with certainty only by histological examination of the pituitary tissue, which requires an invasive approach, which greatly reduces the feasibility of this procedure. In this article, we present a patient with MRI showing signs of hypophysitis in the absence of clear clinical symptoms.</p>\",\"PeriodicalId\":101419,\"journal\":{\"name\":\"Problemy endokrinologii\",\"volume\":\"69 6\",\"pages\":\"54-62\"},\"PeriodicalIF\":0.0000,\"publicationDate\":\"2024-01-24\",\"publicationTypes\":\"Journal Article\",\"fieldsOfStudy\":null,\"isOpenAccess\":false,\"openAccessPdf\":\"https://www.ncbi.nlm.nih.gov/pmc/articles/PMC10851037/pdf/\",\"citationCount\":\"0\",\"resultStr\":null,\"platform\":\"Semanticscholar\",\"paperid\":null,\"PeriodicalName\":\"Problemy endokrinologii\",\"FirstCategoryId\":\"1085\",\"ListUrlMain\":\"https://doi.org/10.14341/probl13311\",\"RegionNum\":0,\"RegionCategory\":null,\"ArticlePicture\":[],\"TitleCN\":null,\"AbstractTextCN\":null,\"PMCID\":null,\"EPubDate\":\"\",\"PubModel\":\"\",\"JCR\":\"\",\"JCRName\":\"\",\"Score\":null,\"Total\":0}","platform":"Semanticscholar","paperid":null,"PeriodicalName":"Problemy endokrinologii","FirstCategoryId":"1085","ListUrlMain":"https://doi.org/10.14341/probl13311","RegionNum":0,"RegionCategory":null,"ArticlePicture":[],"TitleCN":null,"AbstractTextCN":null,"PMCID":null,"EPubDate":"","PubModel":"","JCR":"","JCRName":"","Score":null,"Total":0}
引用次数: 0

摘要

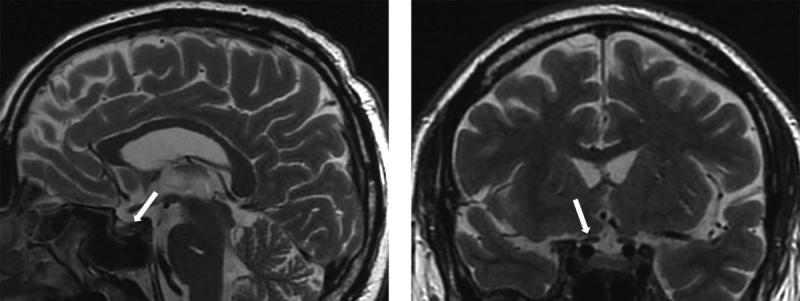
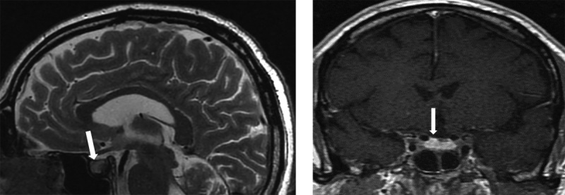
近年来,自身免疫性内分泌疾病的发病率大幅上升,众所周知,这些疾病会影响包括垂体在内的各级内分泌系统。垂体炎是一个通用术语,用于描述任何形式的蝶鞍和蝶鞍上炎症,这些炎症会导致下丘脑-垂体区域的结构发生变化,并表现为垂体前叶和垂体后叶不同程度的激素缺乏。迄今为止,垂体下腺炎有原发性和继发性之分,原发性垂体下腺炎是由于垂体直接遭受自身免疫性病变所致,而继发性垂体下腺炎则是由于存在全身性自身免疫性疾病所致。无论病因如何,垂体功能减退症患者都会表现出由垂体炎症过程引起的各种体征和症状,从而导致垂体功能减退、蝶鞍和蝶鞍旁结构受压。磁共振成像是目前诊断垂体功能减退症的最佳非侵入性诊断工具,但只有通过垂体组织的组织学检查才能确定诊断,而组织学检查需要侵入性方法,这就大大降低了该手术的可行性。在本文中,我们介绍了一名在没有明确临床症状的情况下,核磁共振成像显示有垂体功能减退症迹象的患者。
本文章由计算机程序翻译,如有差异,请以英文原文为准。

[Differential diagnosis and tactics of managing a patient with primary hypophysitis on the example of a clinical case].

[Differential diagnosis and tactics of managing a patient with primary hypophysitis on the example of a clinical case].

[Differential diagnosis and tactics of managing a patient with primary hypophysitis on the example of a clinical case].

In recent years, there has been a significant increase in the prevalence of autoimmune endocrinopathies, which are known to affect various levels of the endocrine system, including the pituitary gland. Hypophysitis is a general term used to describe any form of sellar and suprasellar inflammation that leads to structural changes in the hypothalamic-pituitary region and manifests itself in varying degrees of hormonal deficiency of the anterior and posterior pituitary glands. To date, there is a primary form of hypophysitis, which occurs as a result of an autoimmune lesion directly to the pituitary gland, and a secondary form of hypophysitis, which occurs as a result of the presence of a systemic autoimmune disease. Regardless of the etiology, patients with hypophysitis show various signs and symptoms caused by an inflammatory process in the pituitary gland, which can lead to the development of hypopituitarism, compression of the sellar and parasellar structures. MRI is currently the best non-invasive diagnostic tool for diagnosing hypopituitarism, however, the diagnosis can be made with certainty only by histological examination of the pituitary tissue, which requires an invasive approach, which greatly reduces the feasibility of this procedure. In this article, we present a patient with MRI showing signs of hypophysitis in the absence of clear clinical symptoms.

求助全文
通过发布文献求助,成功后即可免费获取论文全文。 去求助
来源期刊
自引率
0.00%
发文量
0
×
引用
GB/T 7714-2015
复制
MLA
复制
APA
复制
导出至
BibTeX EndNote RefMan NoteFirst NoteExpress
×
提示
您的信息不完整,为了账户安全,请先补充。
现在去补充
×
提示
您因"违规操作"
具体请查看互助需知
我知道了
×
提示
确定
请完成安全验证×
copy
已复制链接
快去分享给好友吧!
我知道了
右上角分享
点击右上角分享
0
联系我们:info@booksci.cn Book学术提供免费学术资源搜索服务,方便国内外学者检索中英文文献。致力于提供最便捷和优质的服务体验。 Copyright © 2023 布克学术 All rights reserved.
京ICP备2023020795号-1
ghs 京公网安备 11010802042870号
Book学术文献互助
Book学术文献互助群
群 号:604180095
Book学术官方微信