[慢性根尖周脓肿灌洗剂的疗效:病例报告]。

Revista Cientifica Odontologica Pub Date : 2023-12-28 eCollection Date: 2023-10-01 DOI:10.21142/2523-2754-1104-2023-180
Cristian Camilo Morales-Lastre, Julaisy María Cabarique-Mojica, Diana Luz Escobar-Ospino, Jorge Homero Wilches-Visbal
{"title":"[慢性根尖周脓肿灌洗剂的疗效:病例报告]。","authors":"Cristian Camilo Morales-Lastre, Julaisy María Cabarique-Mojica, Diana Luz Escobar-Ospino, Jorge Homero Wilches-Visbal","doi":"10.21142/2523-2754-1104-2023-180","DOIUrl":null,"url":null,"abstract":"<p><p>The endodontic environment has optimal conditions for the growth of microorganisms that can release by-products into the periapical region of the tooth and cause inflammatory lesions. Chemical disinfection using irritants solutions plays an clinical important role, as they are able to remove waste from contaminated organic and inorganic tissues, generating a residual antibacterial effect. The purpose of this study was to show the effectiveness of 2.5% and 5.25% sodium hypochlorite as an irrigating agent for the clinical management of a chronic periapical abscess in a tooth with apical resorption. Initially, 2.5% sodium hypochlorite was used, however, as it did not have an optimal abscess healing response after 3 days, it was decided to use a concentration of 5.25% to achieve a better bactericidal effect. After 5 days, the fistula healed, and endodontic treatment continued. One of the perspectives of this case report is to investigate more about the use of antibiotic therapy in conjunction with a good irrigation protocol.</p>","PeriodicalId":33326,"journal":{"name":"Revista Cientifica Odontologica","volume":"11 4","pages":"e180"},"PeriodicalIF":0.0000,"publicationDate":"2023-12-28","publicationTypes":"Journal Article","fieldsOfStudy":null,"isOpenAccess":false,"openAccessPdf":"https://www.ncbi.nlm.nih.gov/pmc/articles/PMC10831991/pdf/","citationCount":"0","resultStr":"{\"title\":\"[Effectiveness of an irrigant in the chronic periapical abscess management: a case report].\",\"authors\":\"Cristian Camilo Morales-Lastre, Julaisy María Cabarique-Mojica, Diana Luz Escobar-Ospino, Jorge Homero Wilches-Visbal\",\"doi\":\"10.21142/2523-2754-1104-2023-180\",\"DOIUrl\":null,\"url\":null,\"abstract\":\"<p><p>The endodontic environment has optimal conditions for the growth of microorganisms that can release by-products into the periapical region of the tooth and cause inflammatory lesions. Chemical disinfection using irritants solutions plays an clinical important role, as they are able to remove waste from contaminated organic and inorganic tissues, generating a residual antibacterial effect. The purpose of this study was to show the effectiveness of 2.5% and 5.25% sodium hypochlorite as an irrigating agent for the clinical management of a chronic periapical abscess in a tooth with apical resorption. Initially, 2.5% sodium hypochlorite was used, however, as it did not have an optimal abscess healing response after 3 days, it was decided to use a concentration of 5.25% to achieve a better bactericidal effect. After 5 days, the fistula healed, and endodontic treatment continued. One of the perspectives of this case report is to investigate more about the use of antibiotic therapy in conjunction with a good irrigation protocol.</p>\",\"PeriodicalId\":33326,\"journal\":{\"name\":\"Revista Cientifica Odontologica\",\"volume\":\"11 4\",\"pages\":\"e180\"},\"PeriodicalIF\":0.0000,\"publicationDate\":\"2023-12-28\",\"publicationTypes\":\"Journal Article\",\"fieldsOfStudy\":null,\"isOpenAccess\":false,\"openAccessPdf\":\"https://www.ncbi.nlm.nih.gov/pmc/articles/PMC10831991/pdf/\",\"citationCount\":\"0\",\"resultStr\":null,\"platform\":\"Semanticscholar\",\"paperid\":null,\"PeriodicalName\":\"Revista Cientifica Odontologica\",\"FirstCategoryId\":\"1085\",\"ListUrlMain\":\"https://doi.org/10.21142/2523-2754-1104-2023-180\",\"RegionNum\":0,\"RegionCategory\":null,\"ArticlePicture\":[],\"TitleCN\":null,\"AbstractTextCN\":null,\"PMCID\":null,\"EPubDate\":\"2023/10/1 0:00:00\",\"PubModel\":\"eCollection\",\"JCR\":\"\",\"JCRName\":\"\",\"Score\":null,\"Total\":0}","platform":"Semanticscholar","paperid":null,"PeriodicalName":"Revista Cientifica Odontologica","FirstCategoryId":"1085","ListUrlMain":"https://doi.org/10.21142/2523-2754-1104-2023-180","RegionNum":0,"RegionCategory":null,"ArticlePicture":[],"TitleCN":null,"AbstractTextCN":null,"PMCID":null,"EPubDate":"2023/10/1 0:00:00","PubModel":"eCollection","JCR":"","JCRName":"","Score":null,"Total":0}
引用次数: 0

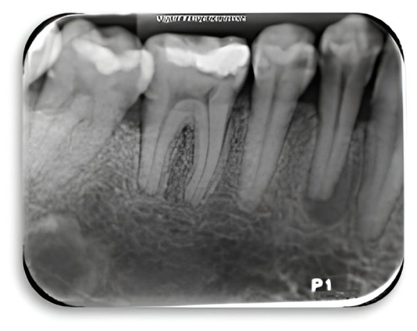
摘要

牙髓环境为微生物的生长提供了最佳条件,这些微生物会将副产品释放到牙齿根尖周围区域并引起炎性病变。使用刺激性溶液进行化学消毒在临床上发挥着重要作用,因为它们能够清除受污染的有机和无机组织中的废物,产生残留的抗菌效果。本研究的目的是显示 2.5% 和 5.25% 次氯酸钠作为冲洗剂在临床治疗一颗根尖吸收牙的慢性根尖周围脓肿中的有效性。最初使用的是 2.5% 的次氯酸钠,但由于 3 天后脓肿愈合反应并不理想,因此决定使用浓度为 5.25% 的次氯酸钠,以达到更好的杀菌效果。5 天后,瘘管愈合,牙髓治疗继续进行。本病例报告的视角之一是进一步研究抗生素治疗与良好冲洗方案的结合使用。
本文章由计算机程序翻译,如有差异,请以英文原文为准。

[Effectiveness of an irrigant in the chronic periapical abscess management: a case report].

[Effectiveness of an irrigant in the chronic periapical abscess management: a case report].

[Effectiveness of an irrigant in the chronic periapical abscess management: a case report].

[Effectiveness of an irrigant in the chronic periapical abscess management: a case report].

The endodontic environment has optimal conditions for the growth of microorganisms that can release by-products into the periapical region of the tooth and cause inflammatory lesions. Chemical disinfection using irritants solutions plays an clinical important role, as they are able to remove waste from contaminated organic and inorganic tissues, generating a residual antibacterial effect. The purpose of this study was to show the effectiveness of 2.5% and 5.25% sodium hypochlorite as an irrigating agent for the clinical management of a chronic periapical abscess in a tooth with apical resorption. Initially, 2.5% sodium hypochlorite was used, however, as it did not have an optimal abscess healing response after 3 days, it was decided to use a concentration of 5.25% to achieve a better bactericidal effect. After 5 days, the fistula healed, and endodontic treatment continued. One of the perspectives of this case report is to investigate more about the use of antibiotic therapy in conjunction with a good irrigation protocol.

求助全文
通过发布文献求助,成功后即可免费获取论文全文。 去求助
来源期刊
自引率
0.00%
发文量
43
审稿时长
20 weeks
×
引用
GB/T 7714-2015
复制
MLA
复制
APA
复制
导出至
BibTeX EndNote RefMan NoteFirst NoteExpress
×
提示
您的信息不完整,为了账户安全,请先补充。
现在去补充
×
提示
您因"违规操作"
具体请查看互助需知
我知道了
×
提示
确定
请完成安全验证×
copy
已复制链接
快去分享给好友吧!
我知道了
右上角分享
点击右上角分享
0
联系我们:info@booksci.cn Book学术提供免费学术资源搜索服务,方便国内外学者检索中英文文献。致力于提供最便捷和优质的服务体验。 Copyright © 2023 布克学术 All rights reserved.
京ICP备2023020795号-1
ghs 京公网安备 11010802042870号
Book学术文献互助
Book学术文献互助群
群 号:604180095
Book学术官方微信