新诊断糖尿病患者的急性舞蹈性肌张力障碍:病例报告和文献综述。

Annals of Ibadan postgraduate medicine Pub Date : 2023-08-01 Epub Date: 2023-11-01
T O Akande, O V Olalusi, D I Olulana
{"title":"新诊断糖尿病患者的急性舞蹈性肌张力障碍:病例报告和文献综述。","authors":"T O Akande, O V Olalusi, D I Olulana","doi":"","DOIUrl":null,"url":null,"abstract":"<p><strong>Introduction: </strong>Diabetes mellitus is a disease with diverse macrovascular and microvascular consequences. One of the unusual effects of hyperglycemia is involuntary movement, termed hyperglycemia-induced involuntary movement. This could range from hemibalismus, chorea, choreo-atethosis, tremors to dystonia. Chorea associated with dystonia is a less commonly reported manifestation. When it is focal, it can be misdiagnosed as stroke or seizure disorder. To the best our knowledge, there is hitherto no case report in sub-Saharan Africa describing the occurrence of focal choreo-dystonia in type 2 Diabetes Mellitus.</p><p><strong>Case presentation: </strong>Here, we present a case of a middle-aged Nigerian woman with focal choreo-dystonia of the right upper limb accompanying the diagnosis of type 2 diabetes. Achieving euglycemia with insulin resulted in complete resolution of the choreo-dystonia.</p><p><strong>Conclusion: </strong>Doctors in resource-constrained settings should be aware of this presentation to avoid misdiagnosis and to provide prompt and goal-oriented management with a view to reducing morbidity and attendant health-care costs.</p>","PeriodicalId":72221,"journal":{"name":"Annals of Ibadan postgraduate medicine","volume":"21 2","pages":"98-102"},"PeriodicalIF":0.0000,"publicationDate":"2023-08-01","publicationTypes":"Journal Article","fieldsOfStudy":null,"isOpenAccess":false,"openAccessPdf":"https://www.ncbi.nlm.nih.gov/pmc/articles/PMC10811718/pdf/","citationCount":"0","resultStr":"{\"title\":\"ACUTE CHOREO-DYSTONIA IN A NEWLY DIAGNOSED PATIENT WITH DIABETES MELLITUS: A CASE REPORT AND REVIEW OF LITERATURE.\",\"authors\":\"T O Akande, O V Olalusi, D I Olulana\",\"doi\":\"\",\"DOIUrl\":null,\"url\":null,\"abstract\":\"<p><strong>Introduction: </strong>Diabetes mellitus is a disease with diverse macrovascular and microvascular consequences. One of the unusual effects of hyperglycemia is involuntary movement, termed hyperglycemia-induced involuntary movement. This could range from hemibalismus, chorea, choreo-atethosis, tremors to dystonia. Chorea associated with dystonia is a less commonly reported manifestation. When it is focal, it can be misdiagnosed as stroke or seizure disorder. To the best our knowledge, there is hitherto no case report in sub-Saharan Africa describing the occurrence of focal choreo-dystonia in type 2 Diabetes Mellitus.</p><p><strong>Case presentation: </strong>Here, we present a case of a middle-aged Nigerian woman with focal choreo-dystonia of the right upper limb accompanying the diagnosis of type 2 diabetes. Achieving euglycemia with insulin resulted in complete resolution of the choreo-dystonia.</p><p><strong>Conclusion: </strong>Doctors in resource-constrained settings should be aware of this presentation to avoid misdiagnosis and to provide prompt and goal-oriented management with a view to reducing morbidity and attendant health-care costs.</p>\",\"PeriodicalId\":72221,\"journal\":{\"name\":\"Annals of Ibadan postgraduate medicine\",\"volume\":\"21 2\",\"pages\":\"98-102\"},\"PeriodicalIF\":0.0000,\"publicationDate\":\"2023-08-01\",\"publicationTypes\":\"Journal Article\",\"fieldsOfStudy\":null,\"isOpenAccess\":false,\"openAccessPdf\":\"https://www.ncbi.nlm.nih.gov/pmc/articles/PMC10811718/pdf/\",\"citationCount\":\"0\",\"resultStr\":null,\"platform\":\"Semanticscholar\",\"paperid\":null,\"PeriodicalName\":\"Annals of Ibadan postgraduate medicine\",\"FirstCategoryId\":\"1085\",\"ListUrlMain\":\"\",\"RegionNum\":0,\"RegionCategory\":null,\"ArticlePicture\":[],\"TitleCN\":null,\"AbstractTextCN\":null,\"PMCID\":null,\"EPubDate\":\"2023/11/1 0:00:00\",\"PubModel\":\"Epub\",\"JCR\":\"\",\"JCRName\":\"\",\"Score\":null,\"Total\":0}","platform":"Semanticscholar","paperid":null,"PeriodicalName":"Annals of Ibadan postgraduate medicine","FirstCategoryId":"1085","ListUrlMain":"","RegionNum":0,"RegionCategory":null,"ArticlePicture":[],"TitleCN":null,"AbstractTextCN":null,"PMCID":null,"EPubDate":"2023/11/1 0:00:00","PubModel":"Epub","JCR":"","JCRName":"","Score":null,"Total":0}
引用次数: 0

摘要

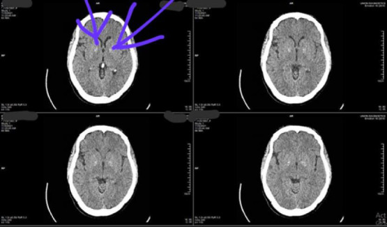
导言糖尿病是一种具有多种大血管和微血管后果的疾病。高血糖的异常反应之一是不自主运动,即高血糖诱发的不自主运动。这可能包括半身不遂、舞蹈症、舞蹈失调、震颤和肌张力障碍。伴有肌张力障碍的舞蹈症是一种较少报道的表现。如果是局灶性的,可能会被误诊为中风或癫痫发作。据我们所知,在撒哈拉以南非洲地区,迄今为止还没有一例报告描述 2 型糖尿病患者出现局灶性舞蹈症肌张力障碍:在此,我们介绍了一例尼日利亚中年女性病例,她被诊断为 2 型糖尿病,并伴有右上肢局灶性舞蹈性肌张力障碍。使用胰岛素达到优格血症后,舞蹈性肌张力障碍完全消失:结论:在资源有限的环境中,医生应了解这种表现,以避免误诊,并提供及时和以目标为导向的治疗,从而降低发病率和随之而来的医疗费用。
本文章由计算机程序翻译,如有差异,请以英文原文为准。

ACUTE CHOREO-DYSTONIA IN A NEWLY DIAGNOSED PATIENT WITH DIABETES MELLITUS: A CASE REPORT AND REVIEW OF LITERATURE.

ACUTE CHOREO-DYSTONIA IN A NEWLY DIAGNOSED PATIENT WITH DIABETES MELLITUS: A CASE REPORT AND REVIEW OF LITERATURE.

Introduction: Diabetes mellitus is a disease with diverse macrovascular and microvascular consequences. One of the unusual effects of hyperglycemia is involuntary movement, termed hyperglycemia-induced involuntary movement. This could range from hemibalismus, chorea, choreo-atethosis, tremors to dystonia. Chorea associated with dystonia is a less commonly reported manifestation. When it is focal, it can be misdiagnosed as stroke or seizure disorder. To the best our knowledge, there is hitherto no case report in sub-Saharan Africa describing the occurrence of focal choreo-dystonia in type 2 Diabetes Mellitus.

Case presentation: Here, we present a case of a middle-aged Nigerian woman with focal choreo-dystonia of the right upper limb accompanying the diagnosis of type 2 diabetes. Achieving euglycemia with insulin resulted in complete resolution of the choreo-dystonia.

Conclusion: Doctors in resource-constrained settings should be aware of this presentation to avoid misdiagnosis and to provide prompt and goal-oriented management with a view to reducing morbidity and attendant health-care costs.

求助全文
通过发布文献求助,成功后即可免费获取论文全文。 去求助
来源期刊
自引率
0.00%
发文量
0
×
引用
GB/T 7714-2015
复制
MLA
复制
APA
复制
导出至
BibTeX EndNote RefMan NoteFirst NoteExpress
×
提示
您的信息不完整,为了账户安全,请先补充。
现在去补充
×
提示
您因"违规操作"
具体请查看互助需知
我知道了
×
提示
确定
请完成安全验证×
copy
已复制链接
快去分享给好友吧!
我知道了
右上角分享
点击右上角分享
0
联系我们:info@booksci.cn Book学术提供免费学术资源搜索服务,方便国内外学者检索中英文文献。致力于提供最便捷和优质的服务体验。 Copyright © 2023 布克学术 All rights reserved.
京ICP备2023020795号-1
ghs 京公网安备 11010802042870号
Book学术文献互助
Book学术文献互助群
群 号:604180095
Book学术官方微信