一种候选的运动补充剂--鲂鱼提取物可在体外和体内调节脂肪生成。

Physical activity and nutrition Pub Date : 2023-12-01 Epub Date: 2023-12-31 DOI:10.20463/pan.2023.0039
Kibong Kim, Suji Baek, Solomon Ko, Seungjae Moon, Kang Pa Lee, Sanghyun Ahn
{"title":"一种候选的运动补充剂--鲂鱼提取物可在体外和体内调节脂肪生成。","authors":"Kibong Kim, Suji Baek, Solomon Ko, Seungjae Moon, Kang Pa Lee, Sanghyun Ahn","doi":"10.20463/pan.2023.0039","DOIUrl":null,"url":null,"abstract":"<p><strong>Purpose: </strong>One of the urgent research projects in exercise science should focus on sports supplements for obese people who lack exercise and physical activity. In this study, we explored the efficacy in non-alcoholic fatty liver disease (NAFLD) mice models using a Korean herbal medicine Erigeron breviscapus (EB).</p><p><strong>Methods: </strong>Gene ontology analyses of active compounds in EB were performed using the Traditional Chinese Medicine Database and Analysis Platform (TCMSP) and Cytoscape program, respectively. PA-induced acid (PA) induced-lipid droplets in HepG2 cells were analyzed using a 3D-hologram. To analyze the fat-suppressing efficacy of EB in animal experiments, NAFLD was induced through a 24-week high-fat diet. Subsequently, the same diet was continued for an additional 8 weeks, with concurrent co-administration of drugs for efficacy analysis. In the 8-week experiment, mice were administered saline alone, metformin (17 mg/kg/day), or EB (26 mg/kg/day). The mice were sacrificed and the liver tissue was isolated. The liver tissues were stained with H&amp;E and specific antibodies such as sterol regulatory element binding protein 1 (SREBP-1) and peroxisome proliferator-activated receptor- γ (PPAR-γ).</p><p><strong>Results: </strong>Seventeen EB-active compounds were identified by whole-body analysis. EB downregulated lipid droplets in PA-treated HepG2 cells. EB regulates lipid accumulation in liver tissue of HFD-fed NAFLD mice Metformin and EB significantly reduced the expression of SREBP-1 and PPAR-γ in liver tissue.</p><p><strong>Conclusion: </strong>We suggest that EB is a candidate for the management of NAFLD and is an effective exercise supplement owing to its ability to inhibit lipid accumulation.</p>","PeriodicalId":74444,"journal":{"name":"Physical activity and nutrition","volume":"27 4","pages":"60-66"},"PeriodicalIF":0.0000,"publicationDate":"2023-12-01","publicationTypes":"Journal Article","fieldsOfStudy":null,"isOpenAccess":false,"openAccessPdf":"https://www.ncbi.nlm.nih.gov/pmc/articles/PMC10844721/pdf/","citationCount":"0","resultStr":"{\"title\":\"A sport supplement candidate of Erigeron breviscapus extract regulates lipogenesis in vitro and in vivo.\",\"authors\":\"Kibong Kim, Suji Baek, Solomon Ko, Seungjae Moon, Kang Pa Lee, Sanghyun Ahn\",\"doi\":\"10.20463/pan.2023.0039\",\"DOIUrl\":null,\"url\":null,\"abstract\":\"<p><strong>Purpose: </strong>One of the urgent research projects in exercise science should focus on sports supplements for obese people who lack exercise and physical activity. In this study, we explored the efficacy in non-alcoholic fatty liver disease (NAFLD) mice models using a Korean herbal medicine Erigeron breviscapus (EB).</p><p><strong>Methods: </strong>Gene ontology analyses of active compounds in EB were performed using the Traditional Chinese Medicine Database and Analysis Platform (TCMSP) and Cytoscape program, respectively. PA-induced acid (PA) induced-lipid droplets in HepG2 cells were analyzed using a 3D-hologram. To analyze the fat-suppressing efficacy of EB in animal experiments, NAFLD was induced through a 24-week high-fat diet. Subsequently, the same diet was continued for an additional 8 weeks, with concurrent co-administration of drugs for efficacy analysis. In the 8-week experiment, mice were administered saline alone, metformin (17 mg/kg/day), or EB (26 mg/kg/day). The mice were sacrificed and the liver tissue was isolated. The liver tissues were stained with H&amp;E and specific antibodies such as sterol regulatory element binding protein 1 (SREBP-1) and peroxisome proliferator-activated receptor- γ (PPAR-γ).</p><p><strong>Results: </strong>Seventeen EB-active compounds were identified by whole-body analysis. EB downregulated lipid droplets in PA-treated HepG2 cells. EB regulates lipid accumulation in liver tissue of HFD-fed NAFLD mice Metformin and EB significantly reduced the expression of SREBP-1 and PPAR-γ in liver tissue.</p><p><strong>Conclusion: </strong>We suggest that EB is a candidate for the management of NAFLD and is an effective exercise supplement owing to its ability to inhibit lipid accumulation.</p>\",\"PeriodicalId\":74444,\"journal\":{\"name\":\"Physical activity and nutrition\",\"volume\":\"27 4\",\"pages\":\"60-66\"},\"PeriodicalIF\":0.0000,\"publicationDate\":\"2023-12-01\",\"publicationTypes\":\"Journal Article\",\"fieldsOfStudy\":null,\"isOpenAccess\":false,\"openAccessPdf\":\"https://www.ncbi.nlm.nih.gov/pmc/articles/PMC10844721/pdf/\",\"citationCount\":\"0\",\"resultStr\":null,\"platform\":\"Semanticscholar\",\"paperid\":null,\"PeriodicalName\":\"Physical activity and nutrition\",\"FirstCategoryId\":\"1085\",\"ListUrlMain\":\"https://doi.org/10.20463/pan.2023.0039\",\"RegionNum\":0,\"RegionCategory\":null,\"ArticlePicture\":[],\"TitleCN\":null,\"AbstractTextCN\":null,\"PMCID\":null,\"EPubDate\":\"2023/12/31 0:00:00\",\"PubModel\":\"Epub\",\"JCR\":\"\",\"JCRName\":\"\",\"Score\":null,\"Total\":0}","platform":"Semanticscholar","paperid":null,"PeriodicalName":"Physical activity and nutrition","FirstCategoryId":"1085","ListUrlMain":"https://doi.org/10.20463/pan.2023.0039","RegionNum":0,"RegionCategory":null,"ArticlePicture":[],"TitleCN":null,"AbstractTextCN":null,"PMCID":null,"EPubDate":"2023/12/31 0:00:00","PubModel":"Epub","JCR":"","JCRName":"","Score":null,"Total":0}
引用次数: 0

摘要

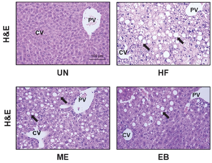
目的:运动科学的一个紧迫研究项目应侧重于为缺乏运动和体育锻炼的肥胖者提供运动保健品。在本研究中,我们探讨了韩方中药二igeron breviscapus(EB)在非酒精性脂肪肝(NAFLD)小鼠模型中的疗效:方法:利用中药数据库与分析平台(TCMSP)和Cytoscape程序分别对EB中的活性化合物进行基因本体分析。用三维全息图分析了HepG2细胞中的PA诱导酸(PA)诱导脂滴。为了在动物实验中分析 EB 的抑脂功效,研究人员通过 24 周的高脂饮食诱发了非酒精性脂肪肝。随后,同样的饮食再持续 8 周,并同时使用药物进行疗效分析。在为期 8 周的实验中,小鼠分别服用生理盐水、二甲双胍(17 毫克/千克/天)或 EB(26 毫克/千克/天)。小鼠被处死并分离出肝脏组织。用 H&E 和特异性抗体(如固醇调节元件结合蛋白 1(SREBP-1)和过氧化物酶体增殖激活受体-γ(PPAR-γ))对肝组织进行染色:结果:通过全身分析确定了 17 种 EB 活性化合物。EB 下调了 PA 处理的 HepG2 细胞中的脂滴。二甲双胍和 EB 可显著降低肝组织中 SREBP-1 和 PPAR-γ 的表达:我们认为,EB 是治疗非酒精性脂肪肝的候选药物,而且由于其抑制脂质积累的能力,它还是一种有效的运动补充剂。
本文章由计算机程序翻译,如有差异,请以英文原文为准。

A sport supplement candidate of Erigeron breviscapus extract regulates lipogenesis in vitro and in vivo.

A sport supplement candidate of Erigeron breviscapus extract regulates lipogenesis in vitro and in vivo.

A sport supplement candidate of Erigeron breviscapus extract regulates lipogenesis in vitro and in vivo.

A sport supplement candidate of Erigeron breviscapus extract regulates lipogenesis in vitro and in vivo.

Purpose: One of the urgent research projects in exercise science should focus on sports supplements for obese people who lack exercise and physical activity. In this study, we explored the efficacy in non-alcoholic fatty liver disease (NAFLD) mice models using a Korean herbal medicine Erigeron breviscapus (EB).

Methods: Gene ontology analyses of active compounds in EB were performed using the Traditional Chinese Medicine Database and Analysis Platform (TCMSP) and Cytoscape program, respectively. PA-induced acid (PA) induced-lipid droplets in HepG2 cells were analyzed using a 3D-hologram. To analyze the fat-suppressing efficacy of EB in animal experiments, NAFLD was induced through a 24-week high-fat diet. Subsequently, the same diet was continued for an additional 8 weeks, with concurrent co-administration of drugs for efficacy analysis. In the 8-week experiment, mice were administered saline alone, metformin (17 mg/kg/day), or EB (26 mg/kg/day). The mice were sacrificed and the liver tissue was isolated. The liver tissues were stained with H&E and specific antibodies such as sterol regulatory element binding protein 1 (SREBP-1) and peroxisome proliferator-activated receptor- γ (PPAR-γ).

Results: Seventeen EB-active compounds were identified by whole-body analysis. EB downregulated lipid droplets in PA-treated HepG2 cells. EB regulates lipid accumulation in liver tissue of HFD-fed NAFLD mice Metformin and EB significantly reduced the expression of SREBP-1 and PPAR-γ in liver tissue.

Conclusion: We suggest that EB is a candidate for the management of NAFLD and is an effective exercise supplement owing to its ability to inhibit lipid accumulation.

求助全文
通过发布文献求助,成功后即可免费获取论文全文。 去求助
来源期刊
CiteScore
2.00
自引率
0.00%
发文量
0
×
引用
GB/T 7714-2015
复制
MLA
复制
APA
复制
导出至
BibTeX EndNote RefMan NoteFirst NoteExpress
×
提示
您的信息不完整,为了账户安全,请先补充。
现在去补充
×
提示
您因"违规操作"
具体请查看互助需知
我知道了
×
提示
确定
请完成安全验证×
copy
已复制链接
快去分享给好友吧!
我知道了
右上角分享
点击右上角分享
0
联系我们:info@booksci.cn Book学术提供免费学术资源搜索服务,方便国内外学者检索中英文文献。致力于提供最便捷和优质的服务体验。 Copyright © 2023 布克学术 All rights reserved.
京ICP备2023020795号-1
ghs 京公网安备 11010802042870号
Book学术文献互助
Book学术文献互助群
群 号:604180095
Book学术官方微信