与传统技术相比,在第二阶段未恢复手术中检测盖板螺钉位置的新技术--随机对照试验。

IF 1 Q3 DENTISTRY, ORAL SURGERY & MEDICINE
Madhura Deshmukh, Suresh Venugopalan, Subhabrata Maiti, Varun Wadhwani
{"title":"与传统技术相比,在第二阶段未恢复手术中检测盖板螺钉位置的新技术--随机对照试验。","authors":"Madhura Deshmukh, Suresh Venugopalan, Subhabrata Maiti, Varun Wadhwani","doi":"10.4103/jips.jips_395_23","DOIUrl":null,"url":null,"abstract":"<p><strong>Aim: </strong>The conventional technique of implant uncovery using a blade and scalpel is associated with various drawbacks, including profuse bleeding, soft-tissue trauma, delayed healing, and patient noncompliance. Therefore, there is a need to explore the alternative approaches that offer improved accuracy and time efficiency during the cover screw location at the second stage of recovery. This study aims to assess the accuracy and time efficiency of a novel technique that utilizes an apex locator in comparison to conventional locating techniques for implant uncovery.</p><p><strong>Settings and design: </strong>The study employed a simple randomized controlled trial with a sample size of 161.</p><p><strong>Materials and methods: </strong>The study employed apex locator (Woodpecker Woodpex III Gold 5th generation) in conjunction with a K-file (Mani k-file #10, 21 mm) for detecting the implant location. The accuracy of the novel technique was determined based on the values measured on the apex locator, with positive values indicating soft-tissue response and negative values indicating the cover screw (metal). The accuracy was cross-verified using radiovisiography (RVG). The clinician-based scoring was also done, considering RVG evaluation, amount of incision given, and ease of the procedure. The time required to locate the cover screw was recorded using a timer for both the novel technique and the conventional method.</p><p><strong>Statistical analysis used: </strong>All the recorded values were statistically analyzed using the independent t-test (P < 0.005) with the SPSS software (version 23).</p><p><strong>Results: </strong>The results revealed a significant difference in terms of incision given, ease of treatment, and time taken for the procedure (P < 0.05), while the accuracy of the novel technique was not disturbed (P > 0.05).</p><p><strong>Conclusion: </strong>Based on the findings of this in vivo study, the use of an apex locator as an alternative to conventional methods for detecting cover screw location at the second stage of recovery is recommended. The novel technique demonstrated faster uncovering of implants without posing any risks to the surrounding tissues or implants.</p>","PeriodicalId":22669,"journal":{"name":"The Journal of Indian Prosthodontic Society","volume":"24 1","pages":"46-51"},"PeriodicalIF":1.0000,"publicationDate":"2024-01-01","publicationTypes":"Journal Article","fieldsOfStudy":null,"isOpenAccess":false,"openAccessPdf":"https://www.ncbi.nlm.nih.gov/pmc/articles/PMC10896303/pdf/","citationCount":"0","resultStr":"{\"title\":\"A novel technique to detect cover screw location at stage two uncovery surgery over conventional technique - A randomized controlled trial.\",\"authors\":\"Madhura Deshmukh, Suresh Venugopalan, Subhabrata Maiti, Varun Wadhwani\",\"doi\":\"10.4103/jips.jips_395_23\",\"DOIUrl\":null,\"url\":null,\"abstract\":\"<p><strong>Aim: </strong>The conventional technique of implant uncovery using a blade and scalpel is associated with various drawbacks, including profuse bleeding, soft-tissue trauma, delayed healing, and patient noncompliance. Therefore, there is a need to explore the alternative approaches that offer improved accuracy and time efficiency during the cover screw location at the second stage of recovery. This study aims to assess the accuracy and time efficiency of a novel technique that utilizes an apex locator in comparison to conventional locating techniques for implant uncovery.</p><p><strong>Settings and design: </strong>The study employed a simple randomized controlled trial with a sample size of 161.</p><p><strong>Materials and methods: </strong>The study employed apex locator (Woodpecker Woodpex III Gold 5th generation) in conjunction with a K-file (Mani k-file #10, 21 mm) for detecting the implant location. The accuracy of the novel technique was determined based on the values measured on the apex locator, with positive values indicating soft-tissue response and negative values indicating the cover screw (metal). The accuracy was cross-verified using radiovisiography (RVG). The clinician-based scoring was also done, considering RVG evaluation, amount of incision given, and ease of the procedure. The time required to locate the cover screw was recorded using a timer for both the novel technique and the conventional method.</p><p><strong>Statistical analysis used: </strong>All the recorded values were statistically analyzed using the independent t-test (P < 0.005) with the SPSS software (version 23).</p><p><strong>Results: </strong>The results revealed a significant difference in terms of incision given, ease of treatment, and time taken for the procedure (P < 0.05), while the accuracy of the novel technique was not disturbed (P > 0.05).</p><p><strong>Conclusion: </strong>Based on the findings of this in vivo study, the use of an apex locator as an alternative to conventional methods for detecting cover screw location at the second stage of recovery is recommended. The novel technique demonstrated faster uncovering of implants without posing any risks to the surrounding tissues or implants.</p>\",\"PeriodicalId\":22669,\"journal\":{\"name\":\"The Journal of Indian Prosthodontic Society\",\"volume\":\"24 1\",\"pages\":\"46-51\"},\"PeriodicalIF\":1.0000,\"publicationDate\":\"2024-01-01\",\"publicationTypes\":\"Journal Article\",\"fieldsOfStudy\":null,\"isOpenAccess\":false,\"openAccessPdf\":\"https://www.ncbi.nlm.nih.gov/pmc/articles/PMC10896303/pdf/\",\"citationCount\":\"0\",\"resultStr\":null,\"platform\":\"Semanticscholar\",\"paperid\":null,\"PeriodicalName\":\"The Journal of Indian Prosthodontic Society\",\"FirstCategoryId\":\"1085\",\"ListUrlMain\":\"https://doi.org/10.4103/jips.jips_395_23\",\"RegionNum\":0,\"RegionCategory\":null,\"ArticlePicture\":[],\"TitleCN\":null,\"AbstractTextCN\":null,\"PMCID\":null,\"EPubDate\":\"2024/1/24 0:00:00\",\"PubModel\":\"Epub\",\"JCR\":\"Q3\",\"JCRName\":\"DENTISTRY, ORAL SURGERY & MEDICINE\",\"Score\":null,\"Total\":0}","platform":"Semanticscholar","paperid":null,"PeriodicalName":"The Journal of Indian Prosthodontic Society","FirstCategoryId":"1085","ListUrlMain":"https://doi.org/10.4103/jips.jips_395_23","RegionNum":0,"RegionCategory":null,"ArticlePicture":[],"TitleCN":null,"AbstractTextCN":null,"PMCID":null,"EPubDate":"2024/1/24 0:00:00","PubModel":"Epub","JCR":"Q3","JCRName":"DENTISTRY, ORAL SURGERY & MEDICINE","Score":null,"Total":0}
引用次数: 0

摘要

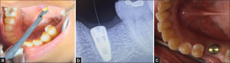
目的:使用刀片和手术刀进行种植体剥离的传统技术存在各种弊端,包括大量出血、软组织创伤、愈合延迟和患者不配合。因此,有必要探索其他方法,以提高第二阶段恢复过程中覆盖螺钉定位的准确性和时间效率。本研究旨在评估一种新型技术的准确性和时间效率,与传统的种植体拔除定位技术相比,该技术使用了顶点定位器:研究采用了简单的随机对照试验,样本量为 161 个:研究采用了牙尖定位器(Woodpecker Woodpex III Gold 第五代)与 K-锉(Mani K-锉 #10,21 毫米)相结合的方法来检测种植体的位置。这项新技术的准确性是根据顶点定位器上的测量值确定的,正值表示软组织反应,负值表示覆盖螺钉(金属)。精确度通过放射显像(RVG)进行交叉验证。临床医生也根据 RVG 评估、切口大小和手术难易程度进行了评分。新型技术和传统方法都使用计时器记录了定位盖板螺钉所需的时间:使用 SPSS 软件(23 版)对所有记录值进行统计分析,采用独立 t 检验(P < 0.005):结果显示,新技术在切口、治疗难易程度和所需时间方面存在明显差异(P < 0.05),而新技术的准确性未受影响(P > 0.05):结论:根据这项体内研究的结果,建议在恢复的第二阶段使用心尖定位器替代传统方法检测覆盖螺钉的位置。这项新技术能更快地揭开种植体,且不会对周围组织或种植体造成任何风险。
本文章由计算机程序翻译,如有差异,请以英文原文为准。

A novel technique to detect cover screw location at stage two uncovery surgery over conventional technique - A randomized controlled trial.

A novel technique to detect cover screw location at stage two uncovery surgery over conventional technique - A randomized controlled trial.

A novel technique to detect cover screw location at stage two uncovery surgery over conventional technique - A randomized controlled trial.

A novel technique to detect cover screw location at stage two uncovery surgery over conventional technique - A randomized controlled trial.

Aim: The conventional technique of implant uncovery using a blade and scalpel is associated with various drawbacks, including profuse bleeding, soft-tissue trauma, delayed healing, and patient noncompliance. Therefore, there is a need to explore the alternative approaches that offer improved accuracy and time efficiency during the cover screw location at the second stage of recovery. This study aims to assess the accuracy and time efficiency of a novel technique that utilizes an apex locator in comparison to conventional locating techniques for implant uncovery.

Settings and design: The study employed a simple randomized controlled trial with a sample size of 161.

Materials and methods: The study employed apex locator (Woodpecker Woodpex III Gold 5th generation) in conjunction with a K-file (Mani k-file #10, 21 mm) for detecting the implant location. The accuracy of the novel technique was determined based on the values measured on the apex locator, with positive values indicating soft-tissue response and negative values indicating the cover screw (metal). The accuracy was cross-verified using radiovisiography (RVG). The clinician-based scoring was also done, considering RVG evaluation, amount of incision given, and ease of the procedure. The time required to locate the cover screw was recorded using a timer for both the novel technique and the conventional method.

Statistical analysis used: All the recorded values were statistically analyzed using the independent t-test (P < 0.005) with the SPSS software (version 23).

Results: The results revealed a significant difference in terms of incision given, ease of treatment, and time taken for the procedure (P < 0.05), while the accuracy of the novel technique was not disturbed (P > 0.05).

Conclusion: Based on the findings of this in vivo study, the use of an apex locator as an alternative to conventional methods for detecting cover screw location at the second stage of recovery is recommended. The novel technique demonstrated faster uncovering of implants without posing any risks to the surrounding tissues or implants.

求助全文
通过发布文献求助,成功后即可免费获取论文全文。 去求助
来源期刊
The Journal of Indian Prosthodontic Society
The Journal of Indian Prosthodontic Society DENTISTRY, ORAL SURGERY & MEDICINE-
CiteScore
2.20
自引率
8.30%
发文量
26
审稿时长
20 weeks
×
引用
GB/T 7714-2015
复制
MLA
复制
APA
复制
导出至
BibTeX EndNote RefMan NoteFirst NoteExpress
×
提示
您的信息不完整,为了账户安全,请先补充。
现在去补充
×
提示
您因"违规操作"
具体请查看互助需知
我知道了
×
提示
确定
请完成安全验证×
copy
已复制链接
快去分享给好友吧!
我知道了
右上角分享
点击右上角分享
0
联系我们:info@booksci.cn Book学术提供免费学术资源搜索服务,方便国内外学者检索中英文文献。致力于提供最便捷和优质的服务体验。 Copyright © 2023 布克学术 All rights reserved.
京ICP备2023020795号-1
ghs 京公网安备 11010802042870号
Book学术文献互助
Book学术文献互助群
群 号:604180095
Book学术官方微信
小红书