超越常规疑点:原发性颌前肉样瘤病。

Q3 Medicine
Pankhuri Mittal, Brijnandan Gupta, Subodh Kumar, Aakanksha Rawat, Anshi Singh
{"title":"超越常规疑点:原发性颌前肉样瘤病。","authors":"Pankhuri Mittal, Brijnandan Gupta, Subodh Kumar, Aakanksha Rawat, Anshi Singh","doi":"10.22038/IJORL.2023.73996.3493","DOIUrl":null,"url":null,"abstract":"<p><strong>Introduction: </strong>Sarcoidosis is an idiopathic systemic granulomatous disorder that can affect multiple organs, including rare extrapulmonary sites like the premaxilla. This case report presents a rare occurrence of premaxillary sarcoidosis, a condition scarcely reported in medical literature.</p><p><strong>Case report: </strong>The patient, a 62-year-old male, presented with a progressively enlarging painless swelling on the right cheek over a three-year period. Despite multiple Fine Needle Aspiration Cytology (FNAC) examinations yielding no conclusive diagnosis, a contrast-enhanced computed tomographic (CT) scan revealed an ill-defined lesion in the premaxillary soft tissue. Biopsy and subsequent excision procedures confirmed the presence of non-caseating granulomas with asteroid bodies, indicative of sarcoidosis. With no systemic involvement and complete excision of the disease, further treatment was not necessary.</p><p><strong>Conclusion: </strong>This case highlights the challenges in diagnosing premaxillary (Extrapulmonary Sarcoidosis) sarcoidosis due to its rarity and resemblance to other dental and maxillofacial conditions and granulomatous lesions. Accurate diagnosis requires a high index of suspicion, multidisciplinary approach, involving clinical assessment, histopathological analysis, and imaging modalities. By deepening our understanding of these uncommon presentations, this report aims to enhance clinical awareness and contribute to improved patient outcomes.</p>","PeriodicalId":14607,"journal":{"name":"Iranian Journal of Otorhinolaryngology","volume":"36 1","pages":"365-369"},"PeriodicalIF":0.0000,"publicationDate":"2024-01-01","publicationTypes":"Journal Article","fieldsOfStudy":null,"isOpenAccess":false,"openAccessPdf":"https://www.ncbi.nlm.nih.gov/pmc/articles/PMC10800137/pdf/","citationCount":"0","resultStr":"{\"title\":\"Beyond the Usual Suspects: Primary Premaxilla Sarcoidosis.\",\"authors\":\"Pankhuri Mittal, Brijnandan Gupta, Subodh Kumar, Aakanksha Rawat, Anshi Singh\",\"doi\":\"10.22038/IJORL.2023.73996.3493\",\"DOIUrl\":null,\"url\":null,\"abstract\":\"<p><strong>Introduction: </strong>Sarcoidosis is an idiopathic systemic granulomatous disorder that can affect multiple organs, including rare extrapulmonary sites like the premaxilla. This case report presents a rare occurrence of premaxillary sarcoidosis, a condition scarcely reported in medical literature.</p><p><strong>Case report: </strong>The patient, a 62-year-old male, presented with a progressively enlarging painless swelling on the right cheek over a three-year period. Despite multiple Fine Needle Aspiration Cytology (FNAC) examinations yielding no conclusive diagnosis, a contrast-enhanced computed tomographic (CT) scan revealed an ill-defined lesion in the premaxillary soft tissue. Biopsy and subsequent excision procedures confirmed the presence of non-caseating granulomas with asteroid bodies, indicative of sarcoidosis. With no systemic involvement and complete excision of the disease, further treatment was not necessary.</p><p><strong>Conclusion: </strong>This case highlights the challenges in diagnosing premaxillary (Extrapulmonary Sarcoidosis) sarcoidosis due to its rarity and resemblance to other dental and maxillofacial conditions and granulomatous lesions. Accurate diagnosis requires a high index of suspicion, multidisciplinary approach, involving clinical assessment, histopathological analysis, and imaging modalities. By deepening our understanding of these uncommon presentations, this report aims to enhance clinical awareness and contribute to improved patient outcomes.</p>\",\"PeriodicalId\":14607,\"journal\":{\"name\":\"Iranian Journal of Otorhinolaryngology\",\"volume\":\"36 1\",\"pages\":\"365-369\"},\"PeriodicalIF\":0.0000,\"publicationDate\":\"2024-01-01\",\"publicationTypes\":\"Journal Article\",\"fieldsOfStudy\":null,\"isOpenAccess\":false,\"openAccessPdf\":\"https://www.ncbi.nlm.nih.gov/pmc/articles/PMC10800137/pdf/\",\"citationCount\":\"0\",\"resultStr\":null,\"platform\":\"Semanticscholar\",\"paperid\":null,\"PeriodicalName\":\"Iranian Journal of Otorhinolaryngology\",\"FirstCategoryId\":\"1085\",\"ListUrlMain\":\"https://doi.org/10.22038/IJORL.2023.73996.3493\",\"RegionNum\":0,\"RegionCategory\":null,\"ArticlePicture\":[],\"TitleCN\":null,\"AbstractTextCN\":null,\"PMCID\":null,\"EPubDate\":\"\",\"PubModel\":\"\",\"JCR\":\"Q3\",\"JCRName\":\"Medicine\",\"Score\":null,\"Total\":0}","platform":"Semanticscholar","paperid":null,"PeriodicalName":"Iranian Journal of Otorhinolaryngology","FirstCategoryId":"1085","ListUrlMain":"https://doi.org/10.22038/IJORL.2023.73996.3493","RegionNum":0,"RegionCategory":null,"ArticlePicture":[],"TitleCN":null,"AbstractTextCN":null,"PMCID":null,"EPubDate":"","PubModel":"","JCR":"Q3","JCRName":"Medicine","Score":null,"Total":0}
引用次数: 0

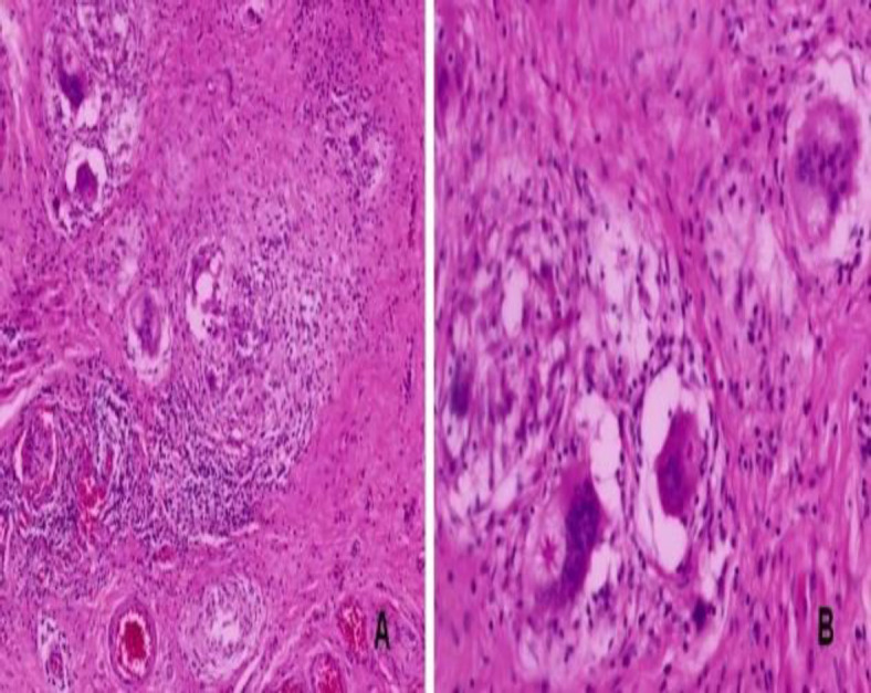
摘要

导言:肉样瘤病是一种特发性全身肉芽肿性疾病,可累及多个器官,包括罕见的肺外部位,如颌下腺。本病例报告了一例罕见的颌前肉样瘤病,这种病症在医学文献中鲜有报道:患者是一名 62 岁的男性,三年来右侧脸颊出现逐渐增大的无痛性肿物。尽管进行了多次细针抽吸细胞学(FNAC)检查,但都没有得到确诊,对比增强计算机断层扫描(CT)显示,颌前软组织有一个界限不清的病变。活组织检查和随后的切除术证实,该病为非酪氨酸肉芽肿,伴有星状体,提示为肉样瘤病。由于该病未累及全身,且已完全切除,因此无需进一步治疗:本病例凸显了颌前牙肉样瘤病(肺外肉样瘤病)诊断的挑战性,因为它非常罕见,而且与其他牙科和颌面部疾病及肉芽肿病变相似。准确诊断需要高度怀疑和多学科方法,包括临床评估、组织病理学分析和影像学检查。通过加深我们对这些不常见表现的了解,本报告旨在提高临床认识,为改善患者预后做出贡献。
本文章由计算机程序翻译,如有差异,请以英文原文为准。

Beyond the Usual Suspects: Primary Premaxilla Sarcoidosis.

Beyond the Usual Suspects: Primary Premaxilla Sarcoidosis.

Beyond the Usual Suspects: Primary Premaxilla Sarcoidosis.

Beyond the Usual Suspects: Primary Premaxilla Sarcoidosis.

Introduction: Sarcoidosis is an idiopathic systemic granulomatous disorder that can affect multiple organs, including rare extrapulmonary sites like the premaxilla. This case report presents a rare occurrence of premaxillary sarcoidosis, a condition scarcely reported in medical literature.

Case report: The patient, a 62-year-old male, presented with a progressively enlarging painless swelling on the right cheek over a three-year period. Despite multiple Fine Needle Aspiration Cytology (FNAC) examinations yielding no conclusive diagnosis, a contrast-enhanced computed tomographic (CT) scan revealed an ill-defined lesion in the premaxillary soft tissue. Biopsy and subsequent excision procedures confirmed the presence of non-caseating granulomas with asteroid bodies, indicative of sarcoidosis. With no systemic involvement and complete excision of the disease, further treatment was not necessary.

Conclusion: This case highlights the challenges in diagnosing premaxillary (Extrapulmonary Sarcoidosis) sarcoidosis due to its rarity and resemblance to other dental and maxillofacial conditions and granulomatous lesions. Accurate diagnosis requires a high index of suspicion, multidisciplinary approach, involving clinical assessment, histopathological analysis, and imaging modalities. By deepening our understanding of these uncommon presentations, this report aims to enhance clinical awareness and contribute to improved patient outcomes.

求助全文
通过发布文献求助,成功后即可免费获取论文全文。 去求助
来源期刊
Iranian Journal of Otorhinolaryngology
Iranian Journal of Otorhinolaryngology Medicine-Otorhinolaryngology
CiteScore
1.30
自引率
0.00%
发文量
72
审稿时长
12 weeks
×
引用
GB/T 7714-2015
复制
MLA
复制
APA
复制
导出至
BibTeX EndNote RefMan NoteFirst NoteExpress
×
提示
您的信息不完整,为了账户安全,请先补充。
现在去补充
×
提示
您因"违规操作"
具体请查看互助需知
我知道了
×
提示
确定
请完成安全验证×
copy
已复制链接
快去分享给好友吧!
我知道了
右上角分享
点击右上角分享
0
联系我们:info@booksci.cn Book学术提供免费学术资源搜索服务,方便国内外学者检索中英文文献。致力于提供最便捷和优质的服务体验。 Copyright © 2023 布克学术 All rights reserved.
京ICP备2023020795号-1
ghs 京公网安备 11010802042870号
Book学术文献互助
Book学术文献互助群
群 号:604180095
Book学术官方微信