利用金属赝象还原磁共振成像评估髋关节假体周围感染

IF 3.2
Tsutomu Inaoka, Masayuki Sugeta, Tomoya Nakatsuka, Shusuke Kasuya, Rumiko Ishikawa, Yoshiya Sugiura, Arata Nakajima, Koichi Nakagawa, Akinori Yamamoto, Hitoshi Terada
{"title":"利用金属赝象还原磁共振成像评估髋关节假体周围感染","authors":"Tsutomu Inaoka, Masayuki Sugeta, Tomoya Nakatsuka, Shusuke Kasuya, Rumiko Ishikawa, Yoshiya Sugiura, Arata Nakajima, Koichi Nakagawa, Akinori Yamamoto, Hitoshi Terada","doi":"10.2463/mrms.mp.2023-0028","DOIUrl":null,"url":null,"abstract":"<p><strong>Purpose: </strong>To evaluate the significant findings of hip periprosthetic joint infection (PJI) using metal-artifact-reduction (MAR) MRI and to compare the MRI results to other clinical markers.</p><p><strong>Methods: </strong>The results of MRI, including two-dimensional fast-spin echo sequences with increased bandwidth and multi-acquisition variable-resonance image combination selective for hips with orthopedic implants at 1.5T (from April 2014 to November 2021), were retrospectively assessed for imaging findings and diagnostic impressions by two radiologists. Clinical data and courses were also investigated. Univariate and multivariate analyses were performed to identify the significant MRI findings in patients with hip PJI and those who underwent surgical intervention. The MRI impressions were compared with other clinical markers in diagnosing hip PJI.</p><p><strong>Results: </strong>Thirty-seven hip joints in 24 Asian patients (age = 73.9 ± 10.8 years; 18 females) were included. Twelve hip joints (32%) had PJI; seven underwent a surgical intervention. The significant findings for hip PJI included periosteal edema of the acetabulum, intermuscular edema, intramuscular fluid collection, and lymphadenopathy (P < 0.05). In the cases with surgical intervention, the significant findings included capsular distension, capsular thickening, an osteolysis-like pattern of the femur, subcutaneous fluid collection, and lymphadenopathy (P < 0.05). The MRI impressions had high diagnostic significance for both hip PJI cases and those with surgical intervention (P < 0.001). The MRI impression was more significant for hip PJI than the other clinical markers (P < 0.05), while the other clinical markers were more significant in the cases with surgical intervention (P < 0.05).</p><p><strong>Conclusion: </strong>The significant findings in the hip PJI cases included acetabular periosteal edema, intermuscular edema, intramuscular fluid collection, and lymphadenopathy. The significant findings in the cases with surgical intervention included capsular distention, capsular thickening, a femoral osteolysis-like pattern, subcutaneous fluid collection, and lymphadenopathy. The utilization of MAR MRI demonstrated great diagnostic significance for hip PJI.</p>","PeriodicalId":94126,"journal":{"name":"Magnetic resonance in medical sciences : MRMS : an official journal of Japan Society of Magnetic Resonance in Medicine","volume":" ","pages":"20-34"},"PeriodicalIF":3.2000,"publicationDate":"2025-01-01","publicationTypes":"Journal Article","fieldsOfStudy":null,"isOpenAccess":false,"openAccessPdf":"https://www.ncbi.nlm.nih.gov/pmc/articles/PMC11733511/pdf/","citationCount":"0","resultStr":"{\"title\":\"Evaluating Hip Periprosthetic Joint Infection with Metal-artifact-reduction MR Imaging.\",\"authors\":\"Tsutomu Inaoka, Masayuki Sugeta, Tomoya Nakatsuka, Shusuke Kasuya, Rumiko Ishikawa, Yoshiya Sugiura, Arata Nakajima, Koichi Nakagawa, Akinori Yamamoto, Hitoshi Terada\",\"doi\":\"10.2463/mrms.mp.2023-0028\",\"DOIUrl\":null,\"url\":null,\"abstract\":\"<p><strong>Purpose: </strong>To evaluate the significant findings of hip periprosthetic joint infection (PJI) using metal-artifact-reduction (MAR) MRI and to compare the MRI results to other clinical markers.</p><p><strong>Methods: </strong>The results of MRI, including two-dimensional fast-spin echo sequences with increased bandwidth and multi-acquisition variable-resonance image combination selective for hips with orthopedic implants at 1.5T (from April 2014 to November 2021), were retrospectively assessed for imaging findings and diagnostic impressions by two radiologists. Clinical data and courses were also investigated. Univariate and multivariate analyses were performed to identify the significant MRI findings in patients with hip PJI and those who underwent surgical intervention. The MRI impressions were compared with other clinical markers in diagnosing hip PJI.</p><p><strong>Results: </strong>Thirty-seven hip joints in 24 Asian patients (age = 73.9 ± 10.8 years; 18 females) were included. Twelve hip joints (32%) had PJI; seven underwent a surgical intervention. The significant findings for hip PJI included periosteal edema of the acetabulum, intermuscular edema, intramuscular fluid collection, and lymphadenopathy (P < 0.05). In the cases with surgical intervention, the significant findings included capsular distension, capsular thickening, an osteolysis-like pattern of the femur, subcutaneous fluid collection, and lymphadenopathy (P < 0.05). The MRI impressions had high diagnostic significance for both hip PJI cases and those with surgical intervention (P < 0.001). The MRI impression was more significant for hip PJI than the other clinical markers (P < 0.05), while the other clinical markers were more significant in the cases with surgical intervention (P < 0.05).</p><p><strong>Conclusion: </strong>The significant findings in the hip PJI cases included acetabular periosteal edema, intermuscular edema, intramuscular fluid collection, and lymphadenopathy. The significant findings in the cases with surgical intervention included capsular distention, capsular thickening, a femoral osteolysis-like pattern, subcutaneous fluid collection, and lymphadenopathy. The utilization of MAR MRI demonstrated great diagnostic significance for hip PJI.</p>\",\"PeriodicalId\":94126,\"journal\":{\"name\":\"Magnetic resonance in medical sciences : MRMS : an official journal of Japan Society of Magnetic Resonance in Medicine\",\"volume\":\" \",\"pages\":\"20-34\"},\"PeriodicalIF\":3.2000,\"publicationDate\":\"2025-01-01\",\"publicationTypes\":\"Journal Article\",\"fieldsOfStudy\":null,\"isOpenAccess\":false,\"openAccessPdf\":\"https://www.ncbi.nlm.nih.gov/pmc/articles/PMC11733511/pdf/\",\"citationCount\":\"0\",\"resultStr\":null,\"platform\":\"Semanticscholar\",\"paperid\":null,\"PeriodicalName\":\"Magnetic resonance in medical sciences : MRMS : an official journal of Japan Society of Magnetic Resonance in Medicine\",\"FirstCategoryId\":\"1085\",\"ListUrlMain\":\"https://doi.org/10.2463/mrms.mp.2023-0028\",\"RegionNum\":0,\"RegionCategory\":null,\"ArticlePicture\":[],\"TitleCN\":null,\"AbstractTextCN\":null,\"PMCID\":null,\"EPubDate\":\"2024/1/16 0:00:00\",\"PubModel\":\"Epub\",\"JCR\":\"\",\"JCRName\":\"\",\"Score\":null,\"Total\":0}","platform":"Semanticscholar","paperid":null,"PeriodicalName":"Magnetic resonance in medical sciences : MRMS : an official journal of Japan Society of Magnetic Resonance in Medicine","FirstCategoryId":"1085","ListUrlMain":"https://doi.org/10.2463/mrms.mp.2023-0028","RegionNum":0,"RegionCategory":null,"ArticlePicture":[],"TitleCN":null,"AbstractTextCN":null,"PMCID":null,"EPubDate":"2024/1/16 0:00:00","PubModel":"Epub","JCR":"","JCRName":"","Score":null,"Total":0}
引用次数: 0

摘要

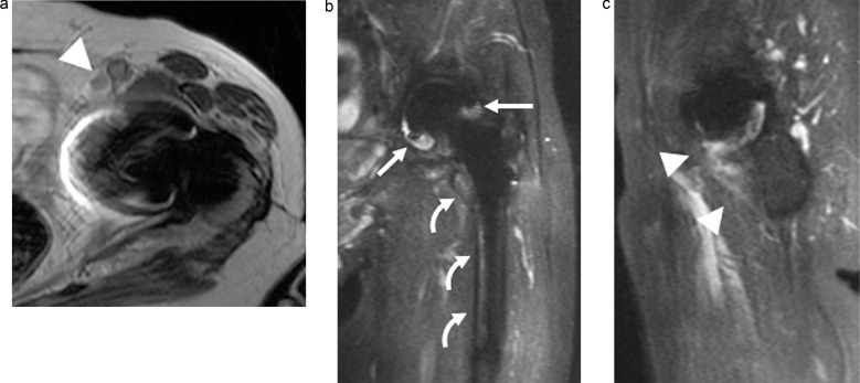
目的:使用金属伪影还原(MAR)磁共振成像评估髋关节假体周围感染(PJI)的重要发现,并将磁共振成像结果与其他临床指标进行比较:方法:由两名放射科医生对 MRI(包括带宽增加的二维快速自旋回波序列和多采集可变共振图像组合)结果进行回顾性评估,以了解成像结果和诊断印象。此外,还对临床数据和病程进行了调查。进行了单变量和多变量分析,以确定髋关节 PJI 患者和接受手术干预患者的重要 MRI 发现。在诊断髋关节PJI时,将核磁共振成像结果与其他临床指标进行了比较:结果:共纳入 24 名亚洲患者(年龄 = 73.9 ± 10.8 岁;18 名女性)的 37 个髋关节。12个髋关节(32%)出现了PJI,其中7个接受了手术治疗。髋关节 PJI 的重要发现包括髋臼骨膜水肿、肌间水肿、肌内积液和淋巴结肿大(P髋关节 PJI 病例的重要发现包括髋臼骨膜水肿、肌间水肿、肌内积液和淋巴结病。手术干预病例的重要发现包括关节囊膨胀、关节囊增厚、股骨头溶解样形态、皮下积液和淋巴结病。使用 MAR MRI 对髋关节 PJI 有很大的诊断意义。
本文章由计算机程序翻译,如有差异,请以英文原文为准。

Evaluating Hip Periprosthetic Joint Infection with Metal-artifact-reduction MR Imaging.

Evaluating Hip Periprosthetic Joint Infection with Metal-artifact-reduction MR Imaging.

Evaluating Hip Periprosthetic Joint Infection with Metal-artifact-reduction MR Imaging.

Evaluating Hip Periprosthetic Joint Infection with Metal-artifact-reduction MR Imaging.

Purpose: To evaluate the significant findings of hip periprosthetic joint infection (PJI) using metal-artifact-reduction (MAR) MRI and to compare the MRI results to other clinical markers.

Methods: The results of MRI, including two-dimensional fast-spin echo sequences with increased bandwidth and multi-acquisition variable-resonance image combination selective for hips with orthopedic implants at 1.5T (from April 2014 to November 2021), were retrospectively assessed for imaging findings and diagnostic impressions by two radiologists. Clinical data and courses were also investigated. Univariate and multivariate analyses were performed to identify the significant MRI findings in patients with hip PJI and those who underwent surgical intervention. The MRI impressions were compared with other clinical markers in diagnosing hip PJI.

Results: Thirty-seven hip joints in 24 Asian patients (age = 73.9 ± 10.8 years; 18 females) were included. Twelve hip joints (32%) had PJI; seven underwent a surgical intervention. The significant findings for hip PJI included periosteal edema of the acetabulum, intermuscular edema, intramuscular fluid collection, and lymphadenopathy (P < 0.05). In the cases with surgical intervention, the significant findings included capsular distension, capsular thickening, an osteolysis-like pattern of the femur, subcutaneous fluid collection, and lymphadenopathy (P < 0.05). The MRI impressions had high diagnostic significance for both hip PJI cases and those with surgical intervention (P < 0.001). The MRI impression was more significant for hip PJI than the other clinical markers (P < 0.05), while the other clinical markers were more significant in the cases with surgical intervention (P < 0.05).

Conclusion: The significant findings in the hip PJI cases included acetabular periosteal edema, intermuscular edema, intramuscular fluid collection, and lymphadenopathy. The significant findings in the cases with surgical intervention included capsular distention, capsular thickening, a femoral osteolysis-like pattern, subcutaneous fluid collection, and lymphadenopathy. The utilization of MAR MRI demonstrated great diagnostic significance for hip PJI.

求助全文
通过发布文献求助,成功后即可免费获取论文全文。 去求助
来源期刊
自引率
0.00%
发文量
0
×
引用
GB/T 7714-2015
复制
MLA
复制
APA
复制
导出至
BibTeX EndNote RefMan NoteFirst NoteExpress
×
提示
您的信息不完整,为了账户安全,请先补充。
现在去补充
×
提示
您因"违规操作"
具体请查看互助需知
我知道了
×
提示
确定
请完成安全验证×
copy
已复制链接
快去分享给好友吧!
我知道了
右上角分享
点击右上角分享
0
联系我们:info@booksci.cn Book学术提供免费学术资源搜索服务,方便国内外学者检索中英文文献。致力于提供最便捷和优质的服务体验。 Copyright © 2023 布克学术 All rights reserved.
京ICP备2023020795号-1
ghs 京公网安备 11010802042870号
Book学术文献互助
Book学术文献互助群
群 号:604180095
Book学术官方微信