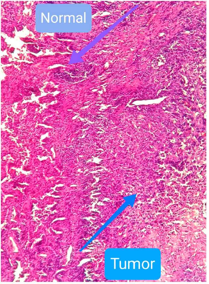
TEMPO 的膜分离可将人类肺癌与邻近的正常细胞区分开来。

IF 2 4区 生物学 Q4 CELL BIOLOGY
O K Gasymov, M J Bakhishova, R B Aslanov, L A Melikova, J A Aliyev
{"title":"TEMPO 的膜分离可将人类肺癌与邻近的正常细胞区分开来。","authors":"O K Gasymov, M J Bakhishova, R B Aslanov, L A Melikova, J A Aliyev","doi":"10.32607/actanaturae.19426","DOIUrl":null,"url":null,"abstract":"<p><p>The plasma membranes of normal and cancer cells of the lung, breast, and colon tissues show considerably different lipid compositions that greatly influence their physicochemical properties. Partitioning of the spin probe 2,2,6,6-tetramethylpiperidine-1-oxyl (TEMPO) into the membranes of human lung normal and carcinoma cells was assessed by EPR spectroscopy to estimate the impact of the lipid compositions. The goal was to reveal potential strategies for cancer therapy attributable to the membrane properties. The study was conducted at pH values of 7.3 and 6.2, relevant to the microenvironments of normal and cancer cells, respectively. The TEMPO partitioning was examined in the temperature interval of 283-317K to reveal the efficacy of local hyperthermia used in chemotherapy. Results indicate that the TEMPO partitioning coefficient for the membranes of human lung carcinoma cells is significantly higher compared with that of neighboring normal cells. Increased partition coefficients were observed at relatively higher temperatures in both normal and cancer cells. However, compared to the normal cells, the cancer cells demonstrated higher partition coefficients in the studied temperature range. The data obtained with C12SL (spin-labeled analog of lauric acid) indicate that increased membrane dynamics of the cancer cells is a possible mechanism for enhanced partitioning of TEMPO. Free energy values for partitioning estimated for pH values of 6.2 and 7.3 show that TEMPO partitioning requires 30% less energy in the cancer cells at pH 7.3. TEMPO and its derivatives have previously been considered as theranostic agents in cancer research. Data suggest that TEMPO derivatives could be used to test if complementary alkalization therapy is effective for cancer patients receiving standard chemotherapy with local hyperthermia.</p>","PeriodicalId":6989,"journal":{"name":"Acta Naturae","volume":"15 4","pages":"111-120"},"PeriodicalIF":2.0000,"publicationDate":"2023-10-01","publicationTypes":"Journal Article","fieldsOfStudy":null,"isOpenAccess":false,"openAccessPdf":"https://www.ncbi.nlm.nih.gov/pmc/articles/PMC10790361/pdf/","citationCount":"0","resultStr":"{\"title\":\"Membrane Partitioning of TEMPO Discriminates Human Lung Cancer from Neighboring Normal Cells.\",\"authors\":\"O K Gasymov, M J Bakhishova, R B Aslanov, L A Melikova, J A Aliyev\",\"doi\":\"10.32607/actanaturae.19426\",\"DOIUrl\":null,\"url\":null,\"abstract\":\"<p><p>The plasma membranes of normal and cancer cells of the lung, breast, and colon tissues show considerably different lipid compositions that greatly influence their physicochemical properties. Partitioning of the spin probe 2,2,6,6-tetramethylpiperidine-1-oxyl (TEMPO) into the membranes of human lung normal and carcinoma cells was assessed by EPR spectroscopy to estimate the impact of the lipid compositions. The goal was to reveal potential strategies for cancer therapy attributable to the membrane properties. The study was conducted at pH values of 7.3 and 6.2, relevant to the microenvironments of normal and cancer cells, respectively. The TEMPO partitioning was examined in the temperature interval of 283-317K to reveal the efficacy of local hyperthermia used in chemotherapy. Results indicate that the TEMPO partitioning coefficient for the membranes of human lung carcinoma cells is significantly higher compared with that of neighboring normal cells. Increased partition coefficients were observed at relatively higher temperatures in both normal and cancer cells. However, compared to the normal cells, the cancer cells demonstrated higher partition coefficients in the studied temperature range. The data obtained with C12SL (spin-labeled analog of lauric acid) indicate that increased membrane dynamics of the cancer cells is a possible mechanism for enhanced partitioning of TEMPO. Free energy values for partitioning estimated for pH values of 6.2 and 7.3 show that TEMPO partitioning requires 30% less energy in the cancer cells at pH 7.3. TEMPO and its derivatives have previously been considered as theranostic agents in cancer research. Data suggest that TEMPO derivatives could be used to test if complementary alkalization therapy is effective for cancer patients receiving standard chemotherapy with local hyperthermia.</p>\",\"PeriodicalId\":6989,\"journal\":{\"name\":\"Acta Naturae\",\"volume\":\"15 4\",\"pages\":\"111-120\"},\"PeriodicalIF\":2.0000,\"publicationDate\":\"2023-10-01\",\"publicationTypes\":\"Journal Article\",\"fieldsOfStudy\":null,\"isOpenAccess\":false,\"openAccessPdf\":\"https://www.ncbi.nlm.nih.gov/pmc/articles/PMC10790361/pdf/\",\"citationCount\":\"0\",\"resultStr\":null,\"platform\":\"Semanticscholar\",\"paperid\":null,\"PeriodicalName\":\"Acta Naturae\",\"FirstCategoryId\":\"99\",\"ListUrlMain\":\"https://doi.org/10.32607/actanaturae.19426\",\"RegionNum\":4,\"RegionCategory\":\"生物学\",\"ArticlePicture\":[],\"TitleCN\":null,\"AbstractTextCN\":null,\"PMCID\":null,\"EPubDate\":\"\",\"PubModel\":\"\",\"JCR\":\"Q4\",\"JCRName\":\"CELL BIOLOGY\",\"Score\":null,\"Total\":0}","platform":"Semanticscholar","paperid":null,"PeriodicalName":"Acta Naturae","FirstCategoryId":"99","ListUrlMain":"https://doi.org/10.32607/actanaturae.19426","RegionNum":4,"RegionCategory":"生物学","ArticlePicture":[],"TitleCN":null,"AbstractTextCN":null,"PMCID":null,"EPubDate":"","PubModel":"","JCR":"Q4","JCRName":"CELL BIOLOGY","Score":null,"Total":0}
引用次数: 0

摘要

肺、乳腺和结肠组织的正常细胞和癌细胞的质膜显示出相当不同的脂质成分,这在很大程度上影响了它们的理化性质。通过 EPR 光谱评估了自旋探针 2,2,6,6-四甲基哌啶-1-氧(TEMPO)在人类肺部正常细胞和癌细胞膜中的分配情况,以估计脂质成分的影响。目的是揭示可归因于膜特性的潜在癌症治疗策略。研究在 pH 值分别为 7.3 和 6.2 的条件下进行,这与正常细胞和癌细胞的微环境相关。在 283-317K 的温度区间内检测了 TEMPO 的分配,以揭示化疗中使用的局部热疗的功效。结果表明,人肺癌细胞膜的 TEMPO 分配系数明显高于邻近的正常细胞膜。在相对较高的温度下,正常细胞和癌细胞的分配系数都有所提高。不过,与正常细胞相比,癌细胞在所研究的温度范围内表现出更高的分配系数。使用 C12SL(月桂酸的自旋标记类似物)获得的数据表明,癌细胞膜动力学的增强可能是 TEMPO 分配增强的一个机制。在 pH 值为 6.2 和 7.3 时估算的分配自由能值表明,在 pH 值为 7.3 时,癌细胞中 TEMPO 分配所需的能量减少了 30%。TEMPO 及其衍生物曾被视为癌症研究中的治疗剂。数据表明,TEMPO 衍生物可用于测试补充碱化疗法对接受标准化疗和局部热疗的癌症患者是否有效。
本文章由计算机程序翻译,如有差异,请以英文原文为准。

Membrane Partitioning of TEMPO Discriminates Human Lung Cancer from Neighboring Normal Cells.

Membrane Partitioning of TEMPO Discriminates Human Lung Cancer from Neighboring Normal Cells.

Membrane Partitioning of TEMPO Discriminates Human Lung Cancer from Neighboring Normal Cells.

Membrane Partitioning of TEMPO Discriminates Human Lung Cancer from Neighboring Normal Cells.

The plasma membranes of normal and cancer cells of the lung, breast, and colon tissues show considerably different lipid compositions that greatly influence their physicochemical properties. Partitioning of the spin probe 2,2,6,6-tetramethylpiperidine-1-oxyl (TEMPO) into the membranes of human lung normal and carcinoma cells was assessed by EPR spectroscopy to estimate the impact of the lipid compositions. The goal was to reveal potential strategies for cancer therapy attributable to the membrane properties. The study was conducted at pH values of 7.3 and 6.2, relevant to the microenvironments of normal and cancer cells, respectively. The TEMPO partitioning was examined in the temperature interval of 283-317K to reveal the efficacy of local hyperthermia used in chemotherapy. Results indicate that the TEMPO partitioning coefficient for the membranes of human lung carcinoma cells is significantly higher compared with that of neighboring normal cells. Increased partition coefficients were observed at relatively higher temperatures in both normal and cancer cells. However, compared to the normal cells, the cancer cells demonstrated higher partition coefficients in the studied temperature range. The data obtained with C12SL (spin-labeled analog of lauric acid) indicate that increased membrane dynamics of the cancer cells is a possible mechanism for enhanced partitioning of TEMPO. Free energy values for partitioning estimated for pH values of 6.2 and 7.3 show that TEMPO partitioning requires 30% less energy in the cancer cells at pH 7.3. TEMPO and its derivatives have previously been considered as theranostic agents in cancer research. Data suggest that TEMPO derivatives could be used to test if complementary alkalization therapy is effective for cancer patients receiving standard chemotherapy with local hyperthermia.

求助全文
通过发布文献求助,成功后即可免费获取论文全文。 去求助
来源期刊
Acta Naturae
Acta Naturae 农林科学-林学
CiteScore
3.50
自引率
5.00%
发文量
0
审稿时长
>12 weeks
期刊介绍: Acta Naturae is an international journal on life sciences based in Moscow, Russia. Our goal is to present scientific work and discovery in molecular biology, biochemistry, biomedical disciplines and biotechnology. These fields represent the most important priorities for the research and engineering development both in Russia and worldwide. Acta Naturae is also a periodical for those who are curious in various aspects of biotechnological business, innovations in pharmaceutical areas, intellectual property protection and social consequences of scientific progress. The journal publishes analytical industrial surveys focused on the development of different spheres of modern life science and technology. Being a radically new and totally unique journal in Russia, Acta Naturae is useful to both representatives of fundamental research and experts in applied sciences.
×
引用
GB/T 7714-2015
复制
MLA
复制
APA
复制
导出至
BibTeX EndNote RefMan NoteFirst NoteExpress
×
提示
您的信息不完整,为了账户安全,请先补充。
现在去补充
×
提示
您因"违规操作"
具体请查看互助需知
我知道了
×
提示
确定
请完成安全验证×
copy
已复制链接
快去分享给好友吧!
我知道了
右上角分享
点击右上角分享
0
联系我们:info@booksci.cn Book学术提供免费学术资源搜索服务,方便国内外学者检索中英文文献。致力于提供最便捷和优质的服务体验。 Copyright © 2023 布克学术 All rights reserved.
京ICP备2023020795号-1
ghs 京公网安备 11010802042870号
Book学术文献互助
Book学术文献互助群
群 号:604180095
Book学术官方微信