受CLP影响的出生后腭组织中各种基因的存在和分布。

IF 2.8 Q2 DENTISTRY, ORAL SURGERY & MEDICINE
Jana Goida, Mara Pilmane
{"title":"受CLP影响的出生后腭组织中各种基因的存在和分布。","authors":"Jana Goida, Mara Pilmane","doi":"10.1186/s40902-024-00412-1","DOIUrl":null,"url":null,"abstract":"<p><strong>Background: </strong>Worldwide cleft lip with or without a cleft palate (CL/P) is the most common craniofacial birth defect. Apart from changes in facial appearance, additionally affected individuals often suffer from various associated comorbidities requiring complex multidisciplinary treatment with overall high expenses. Understanding the complete pathogenetic mechanisms of CL/P might aid in developing new preventative strategies and therapeutic approaches, help with genetic counselling, and improve quality of life. Many genes have been associated with the development of orofacial clefts; however, the majority require further research. Based on the role of PAX7, PAX9, SHH, SOX3, WNT3A, and WNT9B in orofacial development, the intention was to use chromogenic in situ hybridization to detect the six genes in postnatal CLP-affected palatine tissue and compare their distribution within the tissue samples.</p><p><strong>Results: </strong>Statistically significant differences in the distribution of PAX7, PAX9, WNT3A, and WNT9B were observed. In total, 19 pairs of moderate to very strong positive correlations were noted.</p><p><strong>Conclusions: </strong>Changes in the cleft-affected palatine epithelium primarily seem to be associated with the PAX7 gene; however, PAX9, WNT3A, WNT9B, and SOX3 role seems to be more limited. Whilst connective tissue changes seem to depend on PAX7 only, SHH seems to participate individually and indistinctly. Numerous positive correlations reflect the complicating interactions of the pathways and their components in the orofacial cleft morphopathogenesis.</p>","PeriodicalId":18357,"journal":{"name":"Maxillofacial Plastic and Reconstructive Surgery","volume":"46 1","pages":"1"},"PeriodicalIF":2.8000,"publicationDate":"2024-01-16","publicationTypes":"Journal Article","fieldsOfStudy":null,"isOpenAccess":false,"openAccessPdf":"https://www.ncbi.nlm.nih.gov/pmc/articles/PMC10792134/pdf/","citationCount":"0","resultStr":"{\"title\":\"The presence and distribution of various genes in postnatal CLP-affected palatine tissue.\",\"authors\":\"Jana Goida, Mara Pilmane\",\"doi\":\"10.1186/s40902-024-00412-1\",\"DOIUrl\":null,\"url\":null,\"abstract\":\"<p><strong>Background: </strong>Worldwide cleft lip with or without a cleft palate (CL/P) is the most common craniofacial birth defect. Apart from changes in facial appearance, additionally affected individuals often suffer from various associated comorbidities requiring complex multidisciplinary treatment with overall high expenses. Understanding the complete pathogenetic mechanisms of CL/P might aid in developing new preventative strategies and therapeutic approaches, help with genetic counselling, and improve quality of life. Many genes have been associated with the development of orofacial clefts; however, the majority require further research. Based on the role of PAX7, PAX9, SHH, SOX3, WNT3A, and WNT9B in orofacial development, the intention was to use chromogenic in situ hybridization to detect the six genes in postnatal CLP-affected palatine tissue and compare their distribution within the tissue samples.</p><p><strong>Results: </strong>Statistically significant differences in the distribution of PAX7, PAX9, WNT3A, and WNT9B were observed. In total, 19 pairs of moderate to very strong positive correlations were noted.</p><p><strong>Conclusions: </strong>Changes in the cleft-affected palatine epithelium primarily seem to be associated with the PAX7 gene; however, PAX9, WNT3A, WNT9B, and SOX3 role seems to be more limited. Whilst connective tissue changes seem to depend on PAX7 only, SHH seems to participate individually and indistinctly. Numerous positive correlations reflect the complicating interactions of the pathways and their components in the orofacial cleft morphopathogenesis.</p>\",\"PeriodicalId\":18357,\"journal\":{\"name\":\"Maxillofacial Plastic and Reconstructive Surgery\",\"volume\":\"46 1\",\"pages\":\"1\"},\"PeriodicalIF\":2.8000,\"publicationDate\":\"2024-01-16\",\"publicationTypes\":\"Journal Article\",\"fieldsOfStudy\":null,\"isOpenAccess\":false,\"openAccessPdf\":\"https://www.ncbi.nlm.nih.gov/pmc/articles/PMC10792134/pdf/\",\"citationCount\":\"0\",\"resultStr\":null,\"platform\":\"Semanticscholar\",\"paperid\":null,\"PeriodicalName\":\"Maxillofacial Plastic and Reconstructive Surgery\",\"FirstCategoryId\":\"1085\",\"ListUrlMain\":\"https://doi.org/10.1186/s40902-024-00412-1\",\"RegionNum\":0,\"RegionCategory\":null,\"ArticlePicture\":[],\"TitleCN\":null,\"AbstractTextCN\":null,\"PMCID\":null,\"EPubDate\":\"\",\"PubModel\":\"\",\"JCR\":\"Q2\",\"JCRName\":\"DENTISTRY, ORAL SURGERY & MEDICINE\",\"Score\":null,\"Total\":0}","platform":"Semanticscholar","paperid":null,"PeriodicalName":"Maxillofacial Plastic and Reconstructive Surgery","FirstCategoryId":"1085","ListUrlMain":"https://doi.org/10.1186/s40902-024-00412-1","RegionNum":0,"RegionCategory":null,"ArticlePicture":[],"TitleCN":null,"AbstractTextCN":null,"PMCID":null,"EPubDate":"","PubModel":"","JCR":"Q2","JCRName":"DENTISTRY, ORAL SURGERY & MEDICINE","Score":null,"Total":0}
引用次数: 0

摘要

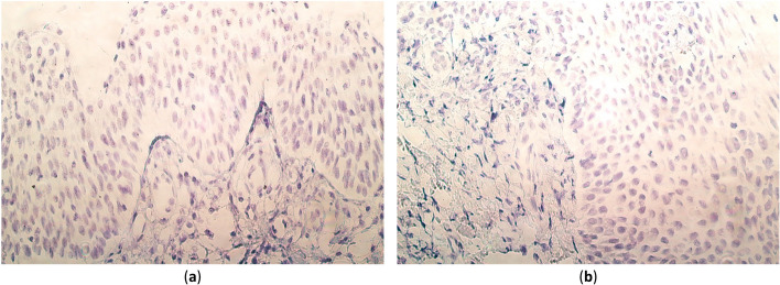
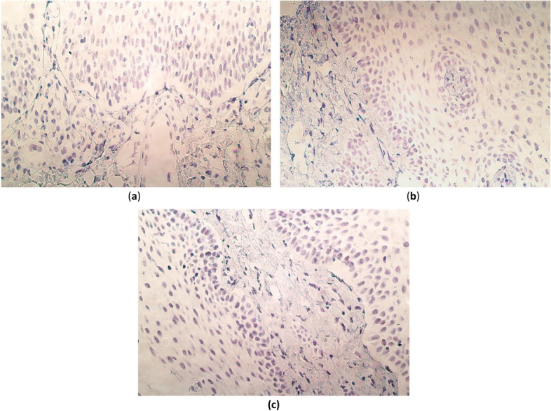
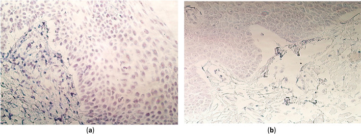
背景:唇裂伴或不伴腭裂(CL/P)是全球最常见的颅面出生缺陷。除了面部外观的改变外,受影响的患者通常还伴有各种相关的并发症,需要进行复杂的多学科治疗,总体费用高昂。了解CL/P的完整致病机制有助于开发新的预防策略和治疗方法,有助于遗传咨询和提高生活质量。许多基因都与口面裂隙的发生有关,但大多数基因还需要进一步研究。基于 PAX7、PAX9、SHH、SOX3、WNT3A 和 WNT9B 在口面发育中的作用,研究人员打算使用色原原位杂交技术检测出生后受 CLP 影响的腭裂组织中的这六种基因,并比较它们在组织样本中的分布情况:结果:观察到 PAX7、PAX9、WNT3A 和 WNT9B 的分布存在统计学意义上的显著差异。共发现 19 对中度到极强的正相关性:结论:受腭裂影响的腭上皮的变化似乎主要与 PAX7 基因有关;但 PAX9、WNT3A、WNT9B 和 SOX3 的作用似乎较为有限。结缔组织的变化似乎只取决于 PAX7,而 SHH 似乎单独参与其中,且作用不明显。大量的正相关性反映了口面裂隙形态发生过程中各种途径及其组成部分之间复杂的相互作用。
本文章由计算机程序翻译,如有差异,请以英文原文为准。

The presence and distribution of various genes in postnatal CLP-affected palatine tissue.

The presence and distribution of various genes in postnatal CLP-affected palatine tissue.

The presence and distribution of various genes in postnatal CLP-affected palatine tissue.

The presence and distribution of various genes in postnatal CLP-affected palatine tissue.

Background: Worldwide cleft lip with or without a cleft palate (CL/P) is the most common craniofacial birth defect. Apart from changes in facial appearance, additionally affected individuals often suffer from various associated comorbidities requiring complex multidisciplinary treatment with overall high expenses. Understanding the complete pathogenetic mechanisms of CL/P might aid in developing new preventative strategies and therapeutic approaches, help with genetic counselling, and improve quality of life. Many genes have been associated with the development of orofacial clefts; however, the majority require further research. Based on the role of PAX7, PAX9, SHH, SOX3, WNT3A, and WNT9B in orofacial development, the intention was to use chromogenic in situ hybridization to detect the six genes in postnatal CLP-affected palatine tissue and compare their distribution within the tissue samples.

Results: Statistically significant differences in the distribution of PAX7, PAX9, WNT3A, and WNT9B were observed. In total, 19 pairs of moderate to very strong positive correlations were noted.

Conclusions: Changes in the cleft-affected palatine epithelium primarily seem to be associated with the PAX7 gene; however, PAX9, WNT3A, WNT9B, and SOX3 role seems to be more limited. Whilst connective tissue changes seem to depend on PAX7 only, SHH seems to participate individually and indistinctly. Numerous positive correlations reflect the complicating interactions of the pathways and their components in the orofacial cleft morphopathogenesis.

求助全文
通过发布文献求助,成功后即可免费获取论文全文。 去求助
来源期刊
Maxillofacial Plastic and Reconstructive Surgery
Maxillofacial Plastic and Reconstructive Surgery DENTISTRY, ORAL SURGERY & MEDICINE-
CiteScore
4.30
自引率
13.00%
发文量
37
审稿时长
13 weeks
×
引用
GB/T 7714-2015
复制
MLA
复制
APA
复制
导出至
BibTeX EndNote RefMan NoteFirst NoteExpress
×
提示
您的信息不完整,为了账户安全,请先补充。
现在去补充
×
提示
您因"违规操作"
具体请查看互助需知
我知道了
×
提示
确定
请完成安全验证×
copy
已复制链接
快去分享给好友吧!
我知道了
右上角分享
点击右上角分享
0
联系我们:info@booksci.cn Book学术提供免费学术资源搜索服务,方便国内外学者检索中英文文献。致力于提供最便捷和优质的服务体验。 Copyright © 2023 布克学术 All rights reserved.
京ICP备2023020795号-1
ghs 京公网安备 11010802042870号
Book学术文献互助
Book学术文献互助群
群 号:604180095
Book学术官方微信