与创伤后脑积水有关的大脑中动脉损伤:病例报告。

Q3 Medicine
Korean Journal of Neurotrauma Pub Date : 2023-11-14 eCollection Date: 2023-12-01 DOI:10.13004/kjnt.2023.19.e57
Tzu-Ning Chen, Keng-Liang Kuo, Chih-Lung Lin, Yu-Feng Su
{"title":"与创伤后脑积水有关的大脑中动脉损伤:病例报告。","authors":"Tzu-Ning Chen, Keng-Liang Kuo, Chih-Lung Lin, Yu-Feng Su","doi":"10.13004/kjnt.2023.19.e57","DOIUrl":null,"url":null,"abstract":"<p><p>Post-traumatic hydrocephalus (PTH) is a commonly encountered complication following decompressive craniectomy, and is usually characterized by symptoms including headache, nausea, vomiting, and papilledema. Extracranial herniation accompanied by hemiplegia is a rare complication in patients with PTH who underwent craniectomy after subdural hematoma removal. We report a case of PTH that presented with extracranial herniation within one month of decompressive craniectomy. Following ventriculoperitoneal shunt implantation, left hemiplegia improved dramatically with restoration of the left middle cerebral artery blood flow, which was evident on serial imaging. Vascular compromise is often overshadowed by increased intracranial pressure when clinicians are dealing with traumatic brain injury patients. Delicate neurological and radiological examinations and prompt early interventions could lead to optimal outcomes in patients receiving decompressive craniectomy.</p>","PeriodicalId":36879,"journal":{"name":"Korean Journal of Neurotrauma","volume":"19 4","pages":"466-470"},"PeriodicalIF":0.0000,"publicationDate":"2023-11-14","publicationTypes":"Journal Article","fieldsOfStudy":null,"isOpenAccess":false,"openAccessPdf":"https://www.ncbi.nlm.nih.gov/pmc/articles/PMC10782109/pdf/","citationCount":"0","resultStr":"{\"title\":\"Middle Cerebral Artery Compromise Associated With Post-traumatic Hydrocephalus: A Case Report.\",\"authors\":\"Tzu-Ning Chen, Keng-Liang Kuo, Chih-Lung Lin, Yu-Feng Su\",\"doi\":\"10.13004/kjnt.2023.19.e57\",\"DOIUrl\":null,\"url\":null,\"abstract\":\"<p><p>Post-traumatic hydrocephalus (PTH) is a commonly encountered complication following decompressive craniectomy, and is usually characterized by symptoms including headache, nausea, vomiting, and papilledema. Extracranial herniation accompanied by hemiplegia is a rare complication in patients with PTH who underwent craniectomy after subdural hematoma removal. We report a case of PTH that presented with extracranial herniation within one month of decompressive craniectomy. Following ventriculoperitoneal shunt implantation, left hemiplegia improved dramatically with restoration of the left middle cerebral artery blood flow, which was evident on serial imaging. Vascular compromise is often overshadowed by increased intracranial pressure when clinicians are dealing with traumatic brain injury patients. Delicate neurological and radiological examinations and prompt early interventions could lead to optimal outcomes in patients receiving decompressive craniectomy.</p>\",\"PeriodicalId\":36879,\"journal\":{\"name\":\"Korean Journal of Neurotrauma\",\"volume\":\"19 4\",\"pages\":\"466-470\"},\"PeriodicalIF\":0.0000,\"publicationDate\":\"2023-11-14\",\"publicationTypes\":\"Journal Article\",\"fieldsOfStudy\":null,\"isOpenAccess\":false,\"openAccessPdf\":\"https://www.ncbi.nlm.nih.gov/pmc/articles/PMC10782109/pdf/\",\"citationCount\":\"0\",\"resultStr\":null,\"platform\":\"Semanticscholar\",\"paperid\":null,\"PeriodicalName\":\"Korean Journal of Neurotrauma\",\"FirstCategoryId\":\"1085\",\"ListUrlMain\":\"https://doi.org/10.13004/kjnt.2023.19.e57\",\"RegionNum\":0,\"RegionCategory\":null,\"ArticlePicture\":[],\"TitleCN\":null,\"AbstractTextCN\":null,\"PMCID\":null,\"EPubDate\":\"2023/12/1 0:00:00\",\"PubModel\":\"eCollection\",\"JCR\":\"Q3\",\"JCRName\":\"Medicine\",\"Score\":null,\"Total\":0}","platform":"Semanticscholar","paperid":null,"PeriodicalName":"Korean Journal of Neurotrauma","FirstCategoryId":"1085","ListUrlMain":"https://doi.org/10.13004/kjnt.2023.19.e57","RegionNum":0,"RegionCategory":null,"ArticlePicture":[],"TitleCN":null,"AbstractTextCN":null,"PMCID":null,"EPubDate":"2023/12/1 0:00:00","PubModel":"eCollection","JCR":"Q3","JCRName":"Medicine","Score":null,"Total":0}
引用次数: 0

摘要

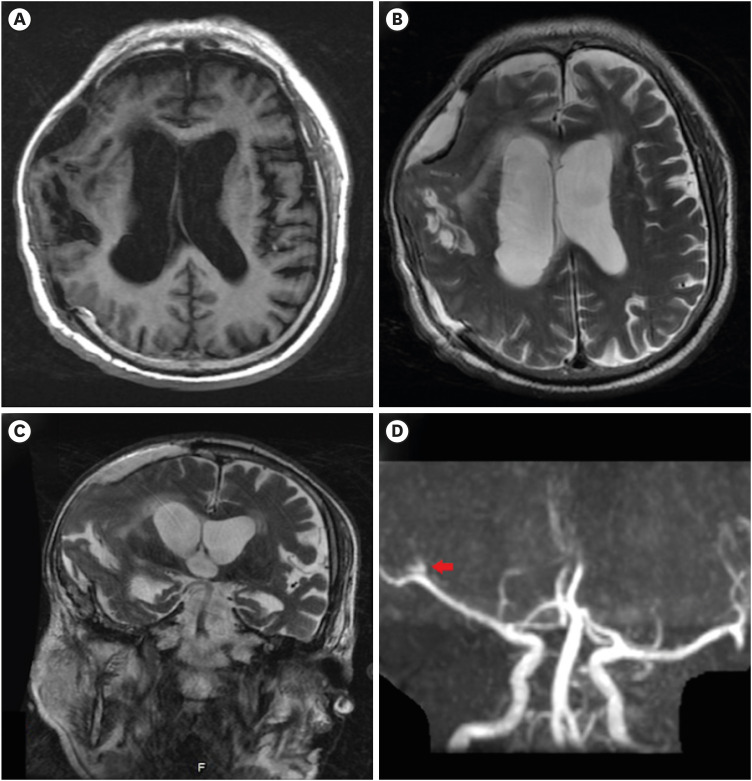
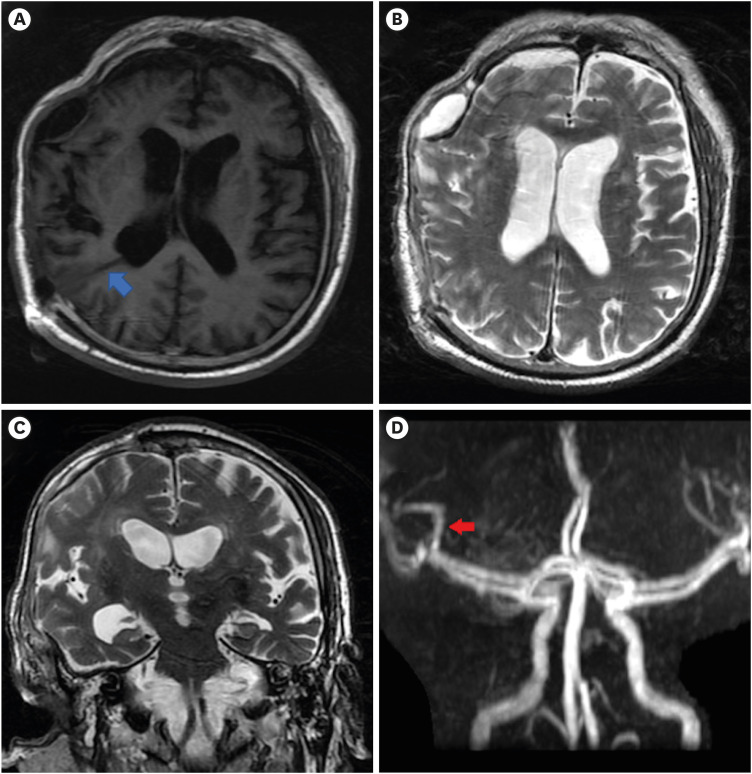
创伤后脑积水(PTH)是减压颅骨切除术后常见的并发症,通常表现为头痛、恶心、呕吐和乳头水肿等症状。在硬膜下血肿清除术后接受开颅手术的 PTH 患者中,颅外疝伴偏瘫是一种罕见的并发症。我们报告了一例在颅骨减压切除术后一个月内出现颅外疝的 PTH 患者。植入脑室腹腔分流术后,随着左侧大脑中动脉血流的恢复,左侧偏瘫得到明显改善,这在连续影像学检查中显而易见。临床医生在处理脑外伤患者时,血管损伤往往被颅内压增高所掩盖。精细的神经学和放射学检查以及及时的早期干预可为接受颅骨减压切除术的患者带来最佳治疗效果。
本文章由计算机程序翻译,如有差异,请以英文原文为准。

Middle Cerebral Artery Compromise Associated With Post-traumatic Hydrocephalus: A Case Report.

Middle Cerebral Artery Compromise Associated With Post-traumatic Hydrocephalus: A Case Report.

Middle Cerebral Artery Compromise Associated With Post-traumatic Hydrocephalus: A Case Report.

Post-traumatic hydrocephalus (PTH) is a commonly encountered complication following decompressive craniectomy, and is usually characterized by symptoms including headache, nausea, vomiting, and papilledema. Extracranial herniation accompanied by hemiplegia is a rare complication in patients with PTH who underwent craniectomy after subdural hematoma removal. We report a case of PTH that presented with extracranial herniation within one month of decompressive craniectomy. Following ventriculoperitoneal shunt implantation, left hemiplegia improved dramatically with restoration of the left middle cerebral artery blood flow, which was evident on serial imaging. Vascular compromise is often overshadowed by increased intracranial pressure when clinicians are dealing with traumatic brain injury patients. Delicate neurological and radiological examinations and prompt early interventions could lead to optimal outcomes in patients receiving decompressive craniectomy.

求助全文
通过发布文献求助,成功后即可免费获取论文全文。 去求助
来源期刊
CiteScore
1.10
自引率
0.00%
发文量
41
×
引用
GB/T 7714-2015
复制
MLA
复制
APA
复制
导出至
BibTeX EndNote RefMan NoteFirst NoteExpress
×
提示
您的信息不完整,为了账户安全,请先补充。
现在去补充
×
提示
您因"违规操作"
具体请查看互助需知
我知道了
×
提示
确定
请完成安全验证×
copy
已复制链接
快去分享给好友吧!
我知道了
右上角分享
点击右上角分享
0
联系我们:info@booksci.cn Book学术提供免费学术资源搜索服务,方便国内外学者检索中英文文献。致力于提供最便捷和优质的服务体验。 Copyright © 2023 布克学术 All rights reserved.
京ICP备2023020795号-1
ghs 京公网安备 11010802042870号
Book学术文献互助
Book学术文献互助群
群 号:604180095
Book学术官方微信