用改良的单锥封闭技术增强根管填料的冠状适应性:两例报告

Q3 Dentistry
Mahmood Reza Kalantar Motamedi, Brett E Gilbert, William N Ha
{"title":"用改良的单锥封闭技术增强根管填料的冠状适应性:两例报告","authors":"Mahmood Reza Kalantar Motamedi, Brett E Gilbert, William N Ha","doi":"10.22037/iej.v19i1.43991","DOIUrl":null,"url":null,"abstract":"<p><p>The single-cone technique, also known as the hydraulic condensation technique, is widely employed in endodontics. However, the aforementioned method is presented with certain limitations; specifically concerning the coronal seal and the adaptation of the coronal third of a master gutta-percha (GP) with a round cross-section to the coronal dentinal walls of root canals with semi-round or oval cross-sections. Through two case reports, the current article introduces the coronal vertical condensation (CVC) technique; aiming to enhance GP adaptation to canal walls in similar scenarios. In fact, the coronal vertical condensation technique amalgamates the different aspects of warm vertical condensation and single-cone techniques. In CVC, following the placement of the master GP cone, an electrical heat carrier is inserted immediately a few millimeters apical from the canal orifice to remove the coronal portion of the master GP cone. Subsequently, a hand plugger is used to condense GP in the vertical dimension, and the coronal space is backfilled using melted GP. The implementation of CVC technique has demonstrated an improved coronal adaptation of GP with canal walls. The stated technique seems beneficial; especially in the obturation of severely curved canals or root canals with a final preparation shape of variable taper.</p>","PeriodicalId":14534,"journal":{"name":"Iranian Endodontic Journal","volume":"19 1","pages":"50-55"},"PeriodicalIF":0.0000,"publicationDate":"2024-01-01","publicationTypes":"Journal Article","fieldsOfStudy":null,"isOpenAccess":false,"openAccessPdf":"https://www.ncbi.nlm.nih.gov/pmc/articles/PMC10787180/pdf/","citationCount":"0","resultStr":"{\"title\":\"Enhancing Coronal Adaptation of Root Canal Fillings with a Modified Single-Cone Obturation Technique: Two Case Reports.\",\"authors\":\"Mahmood Reza Kalantar Motamedi, Brett E Gilbert, William N Ha\",\"doi\":\"10.22037/iej.v19i1.43991\",\"DOIUrl\":null,\"url\":null,\"abstract\":\"<p><p>The single-cone technique, also known as the hydraulic condensation technique, is widely employed in endodontics. However, the aforementioned method is presented with certain limitations; specifically concerning the coronal seal and the adaptation of the coronal third of a master gutta-percha (GP) with a round cross-section to the coronal dentinal walls of root canals with semi-round or oval cross-sections. Through two case reports, the current article introduces the coronal vertical condensation (CVC) technique; aiming to enhance GP adaptation to canal walls in similar scenarios. In fact, the coronal vertical condensation technique amalgamates the different aspects of warm vertical condensation and single-cone techniques. In CVC, following the placement of the master GP cone, an electrical heat carrier is inserted immediately a few millimeters apical from the canal orifice to remove the coronal portion of the master GP cone. Subsequently, a hand plugger is used to condense GP in the vertical dimension, and the coronal space is backfilled using melted GP. The implementation of CVC technique has demonstrated an improved coronal adaptation of GP with canal walls. The stated technique seems beneficial; especially in the obturation of severely curved canals or root canals with a final preparation shape of variable taper.</p>\",\"PeriodicalId\":14534,\"journal\":{\"name\":\"Iranian Endodontic Journal\",\"volume\":\"19 1\",\"pages\":\"50-55\"},\"PeriodicalIF\":0.0000,\"publicationDate\":\"2024-01-01\",\"publicationTypes\":\"Journal Article\",\"fieldsOfStudy\":null,\"isOpenAccess\":false,\"openAccessPdf\":\"https://www.ncbi.nlm.nih.gov/pmc/articles/PMC10787180/pdf/\",\"citationCount\":\"0\",\"resultStr\":null,\"platform\":\"Semanticscholar\",\"paperid\":null,\"PeriodicalName\":\"Iranian Endodontic Journal\",\"FirstCategoryId\":\"1085\",\"ListUrlMain\":\"https://doi.org/10.22037/iej.v19i1.43991\",\"RegionNum\":0,\"RegionCategory\":null,\"ArticlePicture\":[],\"TitleCN\":null,\"AbstractTextCN\":null,\"PMCID\":null,\"EPubDate\":\"\",\"PubModel\":\"\",\"JCR\":\"Q3\",\"JCRName\":\"Dentistry\",\"Score\":null,\"Total\":0}","platform":"Semanticscholar","paperid":null,"PeriodicalName":"Iranian Endodontic Journal","FirstCategoryId":"1085","ListUrlMain":"https://doi.org/10.22037/iej.v19i1.43991","RegionNum":0,"RegionCategory":null,"ArticlePicture":[],"TitleCN":null,"AbstractTextCN":null,"PMCID":null,"EPubDate":"","PubModel":"","JCR":"Q3","JCRName":"Dentistry","Score":null,"Total":0}
引用次数: 0

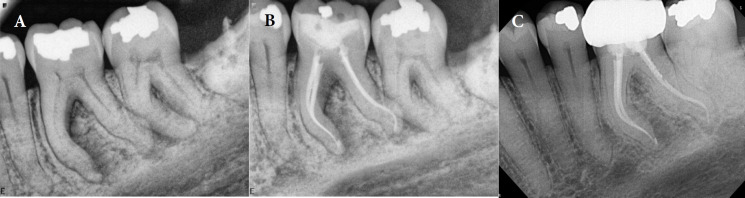
摘要

单锥体技术,也称为液压凝结技术,在牙髓病学中被广泛采用。然而,上述方法存在一定的局限性,特别是在冠状密封以及圆形横截面的水凝胶(GP)的冠状三分之一与半圆形或椭圆形横截面根管的冠状牙本质壁的适应性方面。本文通过两个病例报告介绍了冠状垂直冷凝(CVC)技术,旨在增强类似情况下 GP 与根管壁的适应性。事实上,冠状垂直冷凝技术融合了暖垂直冷凝技术和单冠技术的不同方面。在 CVC 中,放置主 GP 锥体后,立即在距根管口几毫米处插入电热载体,以去除主 GP 锥体的冠状部分。随后,使用手动堵塞器在垂直方向凝结 GP,并使用融化的 GP 回填冠状空间。CVC 技术的实施表明,GP 与管壁的冠状适应性得到了改善。上述技术似乎很有益处,尤其是在封闭严重弯曲的根管或最终预备形状为可变锥度的根管时。
本文章由计算机程序翻译,如有差异,请以英文原文为准。

Enhancing Coronal Adaptation of Root Canal Fillings with a Modified Single-Cone Obturation Technique: Two Case Reports.

Enhancing Coronal Adaptation of Root Canal Fillings with a Modified Single-Cone Obturation Technique: Two Case Reports.

Enhancing Coronal Adaptation of Root Canal Fillings with a Modified Single-Cone Obturation Technique: Two Case Reports.

Enhancing Coronal Adaptation of Root Canal Fillings with a Modified Single-Cone Obturation Technique: Two Case Reports.

The single-cone technique, also known as the hydraulic condensation technique, is widely employed in endodontics. However, the aforementioned method is presented with certain limitations; specifically concerning the coronal seal and the adaptation of the coronal third of a master gutta-percha (GP) with a round cross-section to the coronal dentinal walls of root canals with semi-round or oval cross-sections. Through two case reports, the current article introduces the coronal vertical condensation (CVC) technique; aiming to enhance GP adaptation to canal walls in similar scenarios. In fact, the coronal vertical condensation technique amalgamates the different aspects of warm vertical condensation and single-cone techniques. In CVC, following the placement of the master GP cone, an electrical heat carrier is inserted immediately a few millimeters apical from the canal orifice to remove the coronal portion of the master GP cone. Subsequently, a hand plugger is used to condense GP in the vertical dimension, and the coronal space is backfilled using melted GP. The implementation of CVC technique has demonstrated an improved coronal adaptation of GP with canal walls. The stated technique seems beneficial; especially in the obturation of severely curved canals or root canals with a final preparation shape of variable taper.

求助全文
通过发布文献求助,成功后即可免费获取论文全文。 去求助
来源期刊
Iranian Endodontic Journal
Iranian Endodontic Journal Dentistry-Dentistry (all)
CiteScore
1.30
自引率
0.00%
发文量
0
审稿时长
12 weeks
期刊介绍: The Iranian Endodontic Journal (IEJ) is an international peer-reviewed biomedical publication, the aim of which is to provide a scientific medium of communication for researchers throughout the globe. IEJ aims to publish the highest quality articles, both clinical and scientific, on all aspects of Endodontics. The journal is an official Journal of the Iranian Center for Endodontic Research (ICER) and the Iranian Association of Endodontists (IAE). The Journal welcomes articles related to the scientific or applied aspects of endodontics e.g. original researches, systematic reviews, meta-analyses, review articles, clinical trials, case series/reports, hypotheses, letters to the editor, etc. From the beginning (i.e. since 2006), the IEJ was the first open access endodontic journal in the world, which gave readers free and instant access to published articles and enabling them faster discovery of the latest endodontic research.
×
引用
GB/T 7714-2015
复制
MLA
复制
APA
复制
导出至
BibTeX EndNote RefMan NoteFirst NoteExpress
×
提示
您的信息不完整,为了账户安全,请先补充。
现在去补充
×
提示
您因"违规操作"
具体请查看互助需知
我知道了
×
提示
确定
请完成安全验证×
copy
已复制链接
快去分享给好友吧!
我知道了
右上角分享
点击右上角分享
0
联系我们:info@booksci.cn Book学术提供免费学术资源搜索服务,方便国内外学者检索中英文文献。致力于提供最便捷和优质的服务体验。 Copyright © 2023 布克学术 All rights reserved.
京ICP备2023020795号-1
ghs 京公网安备 11010802042870号
Book学术文献互助
Book学术文献互助群
群 号:604180095
Book学术官方微信