伊班膦酸诱发上颌窦非暴露性 BRONJ 病例报告

IF 1 Q3 DENTISTRY, ORAL SURGERY & MEDICINE
eJournal of Oral Maxillofacial Research Pub Date : 2023-12-31 eCollection Date: 2023-10-01 DOI:10.5037/jomr.2023.14405
Ioannis Fotopoulos, Vasileios Zisis, Theodoros Lillis, Petros Mourouzis, Dimitrios Andreadis, Athanasios Poulopoulos, Nikolaos Dabarakis
{"title":"伊班膦酸诱发上颌窦非暴露性 BRONJ 病例报告","authors":"Ioannis Fotopoulos, Vasileios Zisis, Theodoros Lillis, Petros Mourouzis, Dimitrios Andreadis, Athanasios Poulopoulos, Nikolaos Dabarakis","doi":"10.5037/jomr.2023.14405","DOIUrl":null,"url":null,"abstract":"<p><strong>Background: </strong>The aim of this case report is to present an interesting case of bisphosphonate-related osteonecrosis of the jaw, involving the maxilla and the maxillary sinus, as a result of per os administration of ibandronic acid.</p><p><strong>Methods: </strong>A female patient, 62 years old, was referred to the Department of Dentoalveolar Surgery, Surgical Implantology and Radiology, School of Dentistry, Aristotle University of Thessaloniki, Greece, complaining about pain in the first quadrant. Her medical history revealed per os bisphosphonate administration for the past four years. Subsequently, the cone-beam computed tomography examination revealed a small sequestrum of bone, surrounded by radiolucency, in proximity with the sinus floor. The clinical examination didn't reveal any pathological clinical signs.</p><p><strong>Results: </strong>Based on the radiological examination, a surgical approach was implemented to remove the necrotic bone, irrigate the alveolar process and the sinus with saline, and finally achieve primary closure, after which, the patient healed uneventfully. The osteonecrosis was attributed to the bisphosphonate administration.</p><p><strong>Conclusions: </strong>Bisphosphonate-related osteonecrosis of the jaw without obvious or with minor implication of gingival tissues is a diagnostic challenge indicating an early stage of this adverse reaction. Imaging is critical for the early detection of those cases. After careful choice of the case the proper surgical intervention could be effective to eliminate a future advancement of bone destruction. The prevention of osteonecrosis of the jaw can be achieved through the provision of adequate education to dental medicine practitioners, medical doctors, and patients.</p>","PeriodicalId":53254,"journal":{"name":"eJournal of Oral Maxillofacial Research","volume":"14 4","pages":"e5"},"PeriodicalIF":1.0000,"publicationDate":"2023-12-31","publicationTypes":"Journal Article","fieldsOfStudy":null,"isOpenAccess":false,"openAccessPdf":"https://www.ncbi.nlm.nih.gov/pmc/articles/PMC10783877/pdf/","citationCount":"0","resultStr":"{\"title\":\"A Case Report of Ibandronic Acid Induced Non-Exposed BRONJ Involving the Maxillary Sinus.\",\"authors\":\"Ioannis Fotopoulos, Vasileios Zisis, Theodoros Lillis, Petros Mourouzis, Dimitrios Andreadis, Athanasios Poulopoulos, Nikolaos Dabarakis\",\"doi\":\"10.5037/jomr.2023.14405\",\"DOIUrl\":null,\"url\":null,\"abstract\":\"<p><strong>Background: </strong>The aim of this case report is to present an interesting case of bisphosphonate-related osteonecrosis of the jaw, involving the maxilla and the maxillary sinus, as a result of per os administration of ibandronic acid.</p><p><strong>Methods: </strong>A female patient, 62 years old, was referred to the Department of Dentoalveolar Surgery, Surgical Implantology and Radiology, School of Dentistry, Aristotle University of Thessaloniki, Greece, complaining about pain in the first quadrant. Her medical history revealed per os bisphosphonate administration for the past four years. Subsequently, the cone-beam computed tomography examination revealed a small sequestrum of bone, surrounded by radiolucency, in proximity with the sinus floor. The clinical examination didn't reveal any pathological clinical signs.</p><p><strong>Results: </strong>Based on the radiological examination, a surgical approach was implemented to remove the necrotic bone, irrigate the alveolar process and the sinus with saline, and finally achieve primary closure, after which, the patient healed uneventfully. The osteonecrosis was attributed to the bisphosphonate administration.</p><p><strong>Conclusions: </strong>Bisphosphonate-related osteonecrosis of the jaw without obvious or with minor implication of gingival tissues is a diagnostic challenge indicating an early stage of this adverse reaction. Imaging is critical for the early detection of those cases. After careful choice of the case the proper surgical intervention could be effective to eliminate a future advancement of bone destruction. The prevention of osteonecrosis of the jaw can be achieved through the provision of adequate education to dental medicine practitioners, medical doctors, and patients.</p>\",\"PeriodicalId\":53254,\"journal\":{\"name\":\"eJournal of Oral Maxillofacial Research\",\"volume\":\"14 4\",\"pages\":\"e5\"},\"PeriodicalIF\":1.0000,\"publicationDate\":\"2023-12-31\",\"publicationTypes\":\"Journal Article\",\"fieldsOfStudy\":null,\"isOpenAccess\":false,\"openAccessPdf\":\"https://www.ncbi.nlm.nih.gov/pmc/articles/PMC10783877/pdf/\",\"citationCount\":\"0\",\"resultStr\":null,\"platform\":\"Semanticscholar\",\"paperid\":null,\"PeriodicalName\":\"eJournal of Oral Maxillofacial Research\",\"FirstCategoryId\":\"1085\",\"ListUrlMain\":\"https://doi.org/10.5037/jomr.2023.14405\",\"RegionNum\":0,\"RegionCategory\":null,\"ArticlePicture\":[],\"TitleCN\":null,\"AbstractTextCN\":null,\"PMCID\":null,\"EPubDate\":\"2023/10/1 0:00:00\",\"PubModel\":\"eCollection\",\"JCR\":\"Q3\",\"JCRName\":\"DENTISTRY, ORAL SURGERY & MEDICINE\",\"Score\":null,\"Total\":0}","platform":"Semanticscholar","paperid":null,"PeriodicalName":"eJournal of Oral Maxillofacial Research","FirstCategoryId":"1085","ListUrlMain":"https://doi.org/10.5037/jomr.2023.14405","RegionNum":0,"RegionCategory":null,"ArticlePicture":[],"TitleCN":null,"AbstractTextCN":null,"PMCID":null,"EPubDate":"2023/10/1 0:00:00","PubModel":"eCollection","JCR":"Q3","JCRName":"DENTISTRY, ORAL SURGERY & MEDICINE","Score":null,"Total":0}
引用次数: 0

摘要

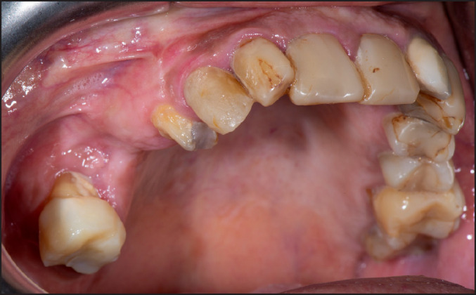
背景:本病例报告旨在介绍一例有趣的双膦酸盐相关的颌骨骨坏死病例,该病例累及上颌骨和上颌窦,是由于经口服用伊班膦酸所致:一名62岁的女性患者被转诊至希腊塞萨洛尼基亚里士多德大学牙科学院牙槽外科、外科种植和放射学系,主诉第一象限疼痛。病史显示,她在过去四年中一直在口腔内服用双膦酸盐。随后,锥形束计算机断层扫描检查显示,她的窦底附近有一小块骨赘,周围有放射线。临床检查未发现任何病理临床症状:根据放射学检查结果,患者接受了手术治疗,切除坏死骨,用生理盐水冲洗牙槽突和窦道,最终实现了原发闭合,之后患者顺利痊愈。骨坏死的原因是服用了双膦酸盐:结论:双膦酸盐相关的颌骨骨坏死没有明显或轻微的牙龈组织受累,这是一个诊断难题,表明这种不良反应处于早期阶段。影像学检查对于早期发现这些病例至关重要。在对病例进行仔细选择后,适当的手术干预可以有效地消除未来骨质破坏的进展。通过对牙科医生、医生和患者进行充分的教育,可以达到预防颌骨坏死的目的。
本文章由计算机程序翻译,如有差异,请以英文原文为准。

A Case Report of Ibandronic Acid Induced Non-Exposed BRONJ Involving the Maxillary Sinus.

A Case Report of Ibandronic Acid Induced Non-Exposed BRONJ Involving the Maxillary Sinus.

A Case Report of Ibandronic Acid Induced Non-Exposed BRONJ Involving the Maxillary Sinus.

A Case Report of Ibandronic Acid Induced Non-Exposed BRONJ Involving the Maxillary Sinus.

Background: The aim of this case report is to present an interesting case of bisphosphonate-related osteonecrosis of the jaw, involving the maxilla and the maxillary sinus, as a result of per os administration of ibandronic acid.

Methods: A female patient, 62 years old, was referred to the Department of Dentoalveolar Surgery, Surgical Implantology and Radiology, School of Dentistry, Aristotle University of Thessaloniki, Greece, complaining about pain in the first quadrant. Her medical history revealed per os bisphosphonate administration for the past four years. Subsequently, the cone-beam computed tomography examination revealed a small sequestrum of bone, surrounded by radiolucency, in proximity with the sinus floor. The clinical examination didn't reveal any pathological clinical signs.

Results: Based on the radiological examination, a surgical approach was implemented to remove the necrotic bone, irrigate the alveolar process and the sinus with saline, and finally achieve primary closure, after which, the patient healed uneventfully. The osteonecrosis was attributed to the bisphosphonate administration.

Conclusions: Bisphosphonate-related osteonecrosis of the jaw without obvious or with minor implication of gingival tissues is a diagnostic challenge indicating an early stage of this adverse reaction. Imaging is critical for the early detection of those cases. After careful choice of the case the proper surgical intervention could be effective to eliminate a future advancement of bone destruction. The prevention of osteonecrosis of the jaw can be achieved through the provision of adequate education to dental medicine practitioners, medical doctors, and patients.

求助全文
通过发布文献求助,成功后即可免费获取论文全文。 去求助
来源期刊
自引率
0.00%
发文量
19
审稿时长
12 weeks
×
引用
GB/T 7714-2015
复制
MLA
复制
APA
复制
导出至
BibTeX EndNote RefMan NoteFirst NoteExpress
×
提示
您的信息不完整,为了账户安全,请先补充。
现在去补充
×
提示
您因"违规操作"
具体请查看互助需知
我知道了
×
提示
确定
请完成安全验证×
copy
已复制链接
快去分享给好友吧!
我知道了
右上角分享
点击右上角分享
0
联系我们:info@booksci.cn Book学术提供免费学术资源搜索服务,方便国内外学者检索中英文文献。致力于提供最便捷和优质的服务体验。 Copyright © 2023 布克学术 All rights reserved.
京ICP备2023020795号-1
ghs 京公网安备 11010802042870号
Book学术文献互助
Book学术文献互助群
群 号:604180095
Book学术官方微信