颧骨缩小术后的肛周真菌脓肿:病例报告。

Q2 Medicine
Archives of Craniofacial Surgery Pub Date : 2023-12-01 Epub Date: 2023-12-20 DOI:10.7181/acfs.2023.00353
Keun Hyung Kim, Hoon Kim, Soo Yeon Lim, In Chang Koh
{"title":"颧骨缩小术后的肛周真菌脓肿:病例报告。","authors":"Keun Hyung Kim, Hoon Kim, Soo Yeon Lim, In Chang Koh","doi":"10.7181/acfs.2023.00353","DOIUrl":null,"url":null,"abstract":"<p><p>This case report describes our treatment of a persistent periantral abscess in a 35-year-old woman. The abscess developed following a zygoma-reduction surgery, during which a preexisting fungal ball had not been addressed. Our comprehensive treatment approach included functional endoscopic sinus surgery, fungal ball removal, abscess drainage, and debridement. Two weeks postoperatively, the patient's symptoms had resolved. A 6-month postoperative follow-up revealed no signs of recurrence or complications, and the patient reported satisfactory functional and aesthetic results. This case underscores the importance of thorough preoperative evaluations and raises awareness about the potential risks of untreated asymptomatic pathologies, which can potentially progress and lead to further complications.</p>","PeriodicalId":52238,"journal":{"name":"Archives of Craniofacial Surgery","volume":"24 6","pages":"288-291"},"PeriodicalIF":0.0000,"publicationDate":"2023-12-01","publicationTypes":"Journal Article","fieldsOfStudy":null,"isOpenAccess":false,"openAccessPdf":"https://www.ncbi.nlm.nih.gov/pmc/articles/PMC10766502/pdf/","citationCount":"0","resultStr":"{\"title\":\"Periantral fungal abscess after zygoma reduction: a case report.\",\"authors\":\"Keun Hyung Kim, Hoon Kim, Soo Yeon Lim, In Chang Koh\",\"doi\":\"10.7181/acfs.2023.00353\",\"DOIUrl\":null,\"url\":null,\"abstract\":\"<p><p>This case report describes our treatment of a persistent periantral abscess in a 35-year-old woman. The abscess developed following a zygoma-reduction surgery, during which a preexisting fungal ball had not been addressed. Our comprehensive treatment approach included functional endoscopic sinus surgery, fungal ball removal, abscess drainage, and debridement. Two weeks postoperatively, the patient's symptoms had resolved. A 6-month postoperative follow-up revealed no signs of recurrence or complications, and the patient reported satisfactory functional and aesthetic results. This case underscores the importance of thorough preoperative evaluations and raises awareness about the potential risks of untreated asymptomatic pathologies, which can potentially progress and lead to further complications.</p>\",\"PeriodicalId\":52238,\"journal\":{\"name\":\"Archives of Craniofacial Surgery\",\"volume\":\"24 6\",\"pages\":\"288-291\"},\"PeriodicalIF\":0.0000,\"publicationDate\":\"2023-12-01\",\"publicationTypes\":\"Journal Article\",\"fieldsOfStudy\":null,\"isOpenAccess\":false,\"openAccessPdf\":\"https://www.ncbi.nlm.nih.gov/pmc/articles/PMC10766502/pdf/\",\"citationCount\":\"0\",\"resultStr\":null,\"platform\":\"Semanticscholar\",\"paperid\":null,\"PeriodicalName\":\"Archives of Craniofacial Surgery\",\"FirstCategoryId\":\"1085\",\"ListUrlMain\":\"https://doi.org/10.7181/acfs.2023.00353\",\"RegionNum\":0,\"RegionCategory\":null,\"ArticlePicture\":[],\"TitleCN\":null,\"AbstractTextCN\":null,\"PMCID\":null,\"EPubDate\":\"2023/12/20 0:00:00\",\"PubModel\":\"Epub\",\"JCR\":\"Q2\",\"JCRName\":\"Medicine\",\"Score\":null,\"Total\":0}","platform":"Semanticscholar","paperid":null,"PeriodicalName":"Archives of Craniofacial Surgery","FirstCategoryId":"1085","ListUrlMain":"https://doi.org/10.7181/acfs.2023.00353","RegionNum":0,"RegionCategory":null,"ArticlePicture":[],"TitleCN":null,"AbstractTextCN":null,"PMCID":null,"EPubDate":"2023/12/20 0:00:00","PubModel":"Epub","JCR":"Q2","JCRName":"Medicine","Score":null,"Total":0}
引用次数: 0

摘要

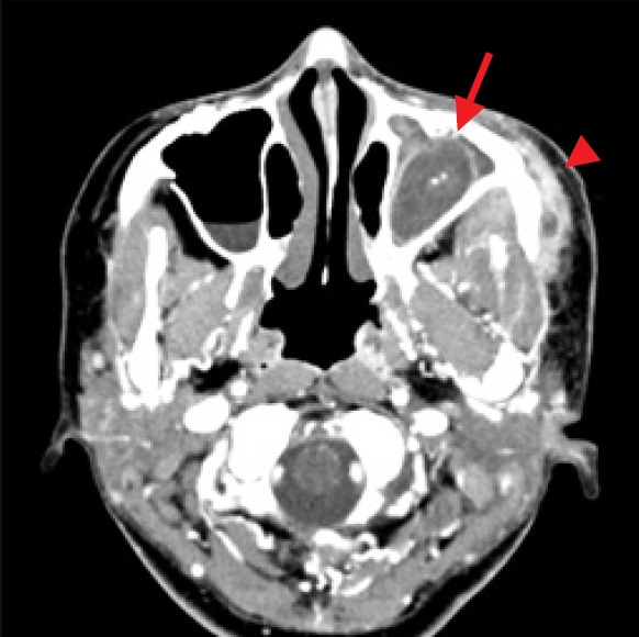
本病例报告描述了我们对一名 35 岁女性顽固性肛周脓肿的治疗。脓肿是在颧骨缩小手术后形成的,在手术过程中,术前存在的真菌球没有得到处理。我们的综合治疗方法包括功能性内窥镜鼻窦手术、真菌球摘除、脓肿引流和清创。术后两周,患者症状缓解。术后 6 个月的随访没有发现复发或并发症的迹象,患者对功能和美观效果均表示满意。该病例强调了彻底术前评估的重要性,并提高了人们对无症状病变未经治疗的潜在风险的认识,因为这些病变可能会发展并导致进一步的并发症。
本文章由计算机程序翻译,如有差异,请以英文原文为准。

Periantral fungal abscess after zygoma reduction: a case report.

Periantral fungal abscess after zygoma reduction: a case report.

Periantral fungal abscess after zygoma reduction: a case report.

Periantral fungal abscess after zygoma reduction: a case report.

This case report describes our treatment of a persistent periantral abscess in a 35-year-old woman. The abscess developed following a zygoma-reduction surgery, during which a preexisting fungal ball had not been addressed. Our comprehensive treatment approach included functional endoscopic sinus surgery, fungal ball removal, abscess drainage, and debridement. Two weeks postoperatively, the patient's symptoms had resolved. A 6-month postoperative follow-up revealed no signs of recurrence or complications, and the patient reported satisfactory functional and aesthetic results. This case underscores the importance of thorough preoperative evaluations and raises awareness about the potential risks of untreated asymptomatic pathologies, which can potentially progress and lead to further complications.

求助全文
通过发布文献求助,成功后即可免费获取论文全文。 去求助
来源期刊
Archives of Craniofacial Surgery
Archives of Craniofacial Surgery Medicine-Otorhinolaryngology
CiteScore
2.90
自引率
0.00%
发文量
44
×
引用
GB/T 7714-2015
复制
MLA
复制
APA
复制
导出至
BibTeX EndNote RefMan NoteFirst NoteExpress
×
提示
您的信息不完整,为了账户安全,请先补充。
现在去补充
×
提示
您因"违规操作"
具体请查看互助需知
我知道了
×
提示
确定
请完成安全验证×
copy
已复制链接
快去分享给好友吧!
我知道了
右上角分享
点击右上角分享
0
联系我们:info@booksci.cn Book学术提供免费学术资源搜索服务,方便国内外学者检索中英文文献。致力于提供最便捷和优质的服务体验。 Copyright © 2023 布克学术 All rights reserved.
京ICP备2023020795号-1
ghs 京公网安备 11010802042870号
Book学术文献互助
Book学术文献互助群
群 号:604180095
Book学术官方微信