浆细胞白血病与 COVID-19 的并发症:诊断陷阱。

IF 0.6 4区 医学 Q4 HEMATOLOGY
Journal of Hematopathology Pub Date : 2023-06-01 Epub Date: 2023-04-10 DOI:10.1007/s12308-023-00542-x
Margot Egger, Anne Black, Christoph Robier
{"title":"浆细胞白血病与 COVID-19 的并发症:诊断陷阱。","authors":"Margot Egger, Anne Black, Christoph Robier","doi":"10.1007/s12308-023-00542-x","DOIUrl":null,"url":null,"abstract":"<p><p>We report the case of a 66-year-old man with a known history of IgD multiple myeloma (MM) which was admitted to hospital because of acute renal failure. Routine PCR testing on admission yielded a positive result for SARS-CoV-2 infection. Examination of the peripheral blood (PB) smear revealed 17% lymphoplasmacytoid cells and a few small plasma cells mimicking morphological changes frequently seen in viral diseases. However, flow cytometric examination showed 20% clonal lambda-restricted plasma cells being consistent with a diagnosis of secondary plasma cell leukemia. Circulating plasma cells as well as similar appearing lymphocyte subtypes such as plasmacytoid lymphocytes are frequently observed in infectious disorders such as COVID-19, so that the lymphocyte morphology in our patient's case could have been easily misinterpreted as typical COVID-19-induced changes. Our observation highlights the importance of incorporating clinical, morphological, and flow-cytometric data in distinguishing between reactive and neoplastic lymphocyte changes because misinterpretation may affect disease classification and, beyond that, clinical decision-making, which may have serious consequences for patients.</p>","PeriodicalId":51320,"journal":{"name":"Journal of Hematopathology","volume":"16 2","pages":"127-128"},"PeriodicalIF":0.6000,"publicationDate":"2023-06-01","publicationTypes":"Journal Article","fieldsOfStudy":null,"isOpenAccess":false,"openAccessPdf":"https://www.ncbi.nlm.nih.gov/pmc/articles/PMC10088712/pdf/","citationCount":"0","resultStr":"{\"title\":\"Coincidence of plasma cell leukemia and COVID-19: a diagnostic pitfall.\",\"authors\":\"Margot Egger, Anne Black, Christoph Robier\",\"doi\":\"10.1007/s12308-023-00542-x\",\"DOIUrl\":null,\"url\":null,\"abstract\":\"<p><p>We report the case of a 66-year-old man with a known history of IgD multiple myeloma (MM) which was admitted to hospital because of acute renal failure. Routine PCR testing on admission yielded a positive result for SARS-CoV-2 infection. Examination of the peripheral blood (PB) smear revealed 17% lymphoplasmacytoid cells and a few small plasma cells mimicking morphological changes frequently seen in viral diseases. However, flow cytometric examination showed 20% clonal lambda-restricted plasma cells being consistent with a diagnosis of secondary plasma cell leukemia. Circulating plasma cells as well as similar appearing lymphocyte subtypes such as plasmacytoid lymphocytes are frequently observed in infectious disorders such as COVID-19, so that the lymphocyte morphology in our patient's case could have been easily misinterpreted as typical COVID-19-induced changes. Our observation highlights the importance of incorporating clinical, morphological, and flow-cytometric data in distinguishing between reactive and neoplastic lymphocyte changes because misinterpretation may affect disease classification and, beyond that, clinical decision-making, which may have serious consequences for patients.</p>\",\"PeriodicalId\":51320,\"journal\":{\"name\":\"Journal of Hematopathology\",\"volume\":\"16 2\",\"pages\":\"127-128\"},\"PeriodicalIF\":0.6000,\"publicationDate\":\"2023-06-01\",\"publicationTypes\":\"Journal Article\",\"fieldsOfStudy\":null,\"isOpenAccess\":false,\"openAccessPdf\":\"https://www.ncbi.nlm.nih.gov/pmc/articles/PMC10088712/pdf/\",\"citationCount\":\"0\",\"resultStr\":null,\"platform\":\"Semanticscholar\",\"paperid\":null,\"PeriodicalName\":\"Journal of Hematopathology\",\"FirstCategoryId\":\"3\",\"ListUrlMain\":\"https://doi.org/10.1007/s12308-023-00542-x\",\"RegionNum\":4,\"RegionCategory\":\"医学\",\"ArticlePicture\":[],\"TitleCN\":null,\"AbstractTextCN\":null,\"PMCID\":null,\"EPubDate\":\"2023/4/10 0:00:00\",\"PubModel\":\"Epub\",\"JCR\":\"Q4\",\"JCRName\":\"HEMATOLOGY\",\"Score\":null,\"Total\":0}","platform":"Semanticscholar","paperid":null,"PeriodicalName":"Journal of Hematopathology","FirstCategoryId":"3","ListUrlMain":"https://doi.org/10.1007/s12308-023-00542-x","RegionNum":4,"RegionCategory":"医学","ArticlePicture":[],"TitleCN":null,"AbstractTextCN":null,"PMCID":null,"EPubDate":"2023/4/10 0:00:00","PubModel":"Epub","JCR":"Q4","JCRName":"HEMATOLOGY","Score":null,"Total":0}
引用次数: 0

摘要

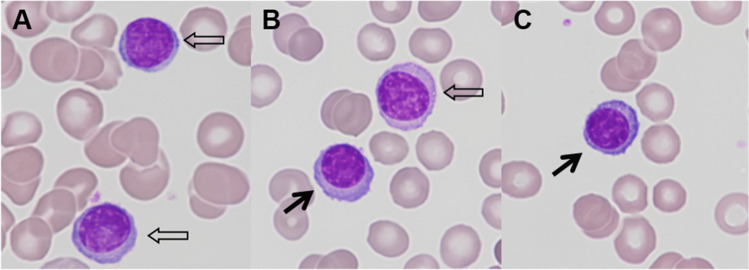
我们报告了一例因急性肾功能衰竭入院的 66 岁男性病例,该患者已知有 IgD 多发性骨髓瘤(MM)病史。入院时进行了常规 PCR 检测,结果显示 SARS-CoV-2 感染呈阳性。外周血(PB)涂片检查显示,17%的淋巴浆细胞和少量小浆细胞的形态变化类似病毒性疾病中常见的形态变化。然而,流式细胞仪检查显示,20%的克隆λ限制性浆细胞与继发性浆细胞白血病的诊断一致。在 COVID-19 等感染性疾病中经常能观察到循环浆细胞和类似的淋巴细胞亚型,因此我们患者的淋巴细胞形态很容易被误认为是典型的 COVID-19 引起的变化。我们的观察结果凸显了结合临床、形态学和流式细胞仪数据来区分反应性和肿瘤性淋巴细胞变化的重要性,因为误读可能会影响疾病分类,进而影响临床决策,这可能会给患者带来严重后果。
本文章由计算机程序翻译,如有差异,请以英文原文为准。

Coincidence of plasma cell leukemia and COVID-19: a diagnostic pitfall.

Coincidence of plasma cell leukemia and COVID-19: a diagnostic pitfall.

We report the case of a 66-year-old man with a known history of IgD multiple myeloma (MM) which was admitted to hospital because of acute renal failure. Routine PCR testing on admission yielded a positive result for SARS-CoV-2 infection. Examination of the peripheral blood (PB) smear revealed 17% lymphoplasmacytoid cells and a few small plasma cells mimicking morphological changes frequently seen in viral diseases. However, flow cytometric examination showed 20% clonal lambda-restricted plasma cells being consistent with a diagnosis of secondary plasma cell leukemia. Circulating plasma cells as well as similar appearing lymphocyte subtypes such as plasmacytoid lymphocytes are frequently observed in infectious disorders such as COVID-19, so that the lymphocyte morphology in our patient's case could have been easily misinterpreted as typical COVID-19-induced changes. Our observation highlights the importance of incorporating clinical, morphological, and flow-cytometric data in distinguishing between reactive and neoplastic lymphocyte changes because misinterpretation may affect disease classification and, beyond that, clinical decision-making, which may have serious consequences for patients.

求助全文
通过发布文献求助,成功后即可免费获取论文全文。 去求助
来源期刊
Journal of Hematopathology
Journal of Hematopathology HEMATOLOGYPATHOLOGY-PATHOLOGY
CiteScore
0.80
自引率
0.00%
发文量
45
期刊介绍: The Journal of Hematopathology aims at providing pathologists with a special interest in hematopathology with all the information needed to perform modern pathology in evaluating lymphoid tissues and bone marrow. To this end the journal publishes reviews, editorials, comments, original papers, guidelines and protocols, papers on ancillary techniques, and occasional case reports in the fields of the pathology, molecular biology, and clinical features of diseases of the hematopoietic system. The journal is the unique reference point for all pathologists with an interest in hematopathology. Molecular biologists involved in the expanding field of molecular diagnostics and research on lymphomas and leukemia benefit from the journal, too. Furthermore, the journal is of major interest for hematologists dealing with patients suffering from lymphomas, leukemias, and other diseases. The journal is unique in its true international character. Especially in the field of hematopathology it is clear that there are huge geographical variations in incidence of diseases. This is not only locally relevant, but due to globalization, relevant for all those involved in the management of patients.
×
引用
GB/T 7714-2015
复制
MLA
复制
APA
复制
导出至
BibTeX EndNote RefMan NoteFirst NoteExpress
×
提示
您的信息不完整,为了账户安全,请先补充。
现在去补充
×
提示
您因"违规操作"
具体请查看互助需知
我知道了
×
提示
确定
请完成安全验证×
copy
已复制链接
快去分享给好友吧!
我知道了
右上角分享
点击右上角分享
0
联系我们:info@booksci.cn Book学术提供免费学术资源搜索服务,方便国内外学者检索中英文文献。致力于提供最便捷和优质的服务体验。 Copyright © 2023 布克学术 All rights reserved.
京ICP备2023020795号-1
ghs 京公网安备 11010802042870号
Book学术文献互助
Book学术文献互助群
群 号:604180095
Book学术官方微信