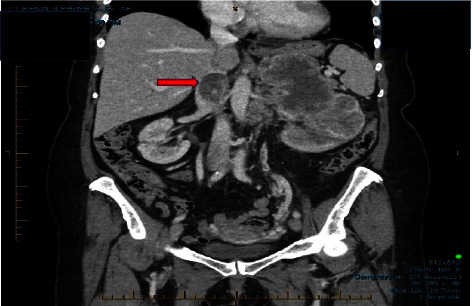
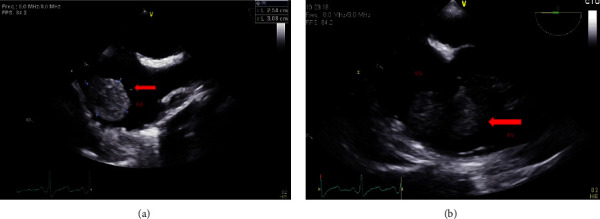
肾细胞癌切除术中下腔静脉肿瘤血栓的迁移。

Q3 Medicine
Case Reports in Anesthesiology Pub Date : 2023-12-26 eCollection Date: 2023-01-01 DOI:10.1155/2023/6632030
Roupen Hatzakorzian, Andrea Blotsky, Albert Moore, Julien Vaillancourt, Pattra Mettasittigorn, Armen Aprikian, Steven B Backman
{"title":"肾细胞癌切除术中下腔静脉肿瘤血栓的迁移。","authors":"Roupen Hatzakorzian, Andrea Blotsky, Albert Moore, Julien Vaillancourt, Pattra Mettasittigorn, Armen Aprikian, Steven B Backman","doi":"10.1155/2023/6632030","DOIUrl":null,"url":null,"abstract":"<p><p>Approximately 4%-10% of patients with renal cell carcinoma (RCC) have tumoral vascular invasion with resultant thrombi in the renal vein and in the inferior vena cava (IVC). The authors describe an interesting case of IVC tumor thrombus that migrated to the right cardiac chambers during RCC resection. The diagnosis was made by intraoperative transesophageal echocardiography (TEE), which revealed the presence of a free-floating thrombus between the right atrium (RA) and right ventricle (RV). The patient required an urgent sternotomy with cardiopulmonary bypass (CPB) for atrial thrombus removal prior to the completion of the nephrectomy. The patient made a full recovery and was discharged to a rehabilitation facility. These findings illustrate the importance of intraoperative TEE monitoring during nephrectomy and IVC thrombectomy. In this case, TEE allowed for the diagnosis of an unexpected complication necessitating prompt cardiac surgical management.</p>","PeriodicalId":36504,"journal":{"name":"Case Reports in Anesthesiology","volume":"2023 ","pages":"6632030"},"PeriodicalIF":0.0000,"publicationDate":"2023-12-26","publicationTypes":"Journal Article","fieldsOfStudy":null,"isOpenAccess":false,"openAccessPdf":"https://www.ncbi.nlm.nih.gov/pmc/articles/PMC10761220/pdf/","citationCount":"0","resultStr":"{\"title\":\"Migration of an Inferior Vena Cava Tumor Thrombus during Renal Cell Carcinoma Resection.\",\"authors\":\"Roupen Hatzakorzian, Andrea Blotsky, Albert Moore, Julien Vaillancourt, Pattra Mettasittigorn, Armen Aprikian, Steven B Backman\",\"doi\":\"10.1155/2023/6632030\",\"DOIUrl\":null,\"url\":null,\"abstract\":\"<p><p>Approximately 4%-10% of patients with renal cell carcinoma (RCC) have tumoral vascular invasion with resultant thrombi in the renal vein and in the inferior vena cava (IVC). The authors describe an interesting case of IVC tumor thrombus that migrated to the right cardiac chambers during RCC resection. The diagnosis was made by intraoperative transesophageal echocardiography (TEE), which revealed the presence of a free-floating thrombus between the right atrium (RA) and right ventricle (RV). The patient required an urgent sternotomy with cardiopulmonary bypass (CPB) for atrial thrombus removal prior to the completion of the nephrectomy. The patient made a full recovery and was discharged to a rehabilitation facility. These findings illustrate the importance of intraoperative TEE monitoring during nephrectomy and IVC thrombectomy. In this case, TEE allowed for the diagnosis of an unexpected complication necessitating prompt cardiac surgical management.</p>\",\"PeriodicalId\":36504,\"journal\":{\"name\":\"Case Reports in Anesthesiology\",\"volume\":\"2023 \",\"pages\":\"6632030\"},\"PeriodicalIF\":0.0000,\"publicationDate\":\"2023-12-26\",\"publicationTypes\":\"Journal Article\",\"fieldsOfStudy\":null,\"isOpenAccess\":false,\"openAccessPdf\":\"https://www.ncbi.nlm.nih.gov/pmc/articles/PMC10761220/pdf/\",\"citationCount\":\"0\",\"resultStr\":null,\"platform\":\"Semanticscholar\",\"paperid\":null,\"PeriodicalName\":\"Case Reports in Anesthesiology\",\"FirstCategoryId\":\"1085\",\"ListUrlMain\":\"https://doi.org/10.1155/2023/6632030\",\"RegionNum\":0,\"RegionCategory\":null,\"ArticlePicture\":[],\"TitleCN\":null,\"AbstractTextCN\":null,\"PMCID\":null,\"EPubDate\":\"2023/1/1 0:00:00\",\"PubModel\":\"eCollection\",\"JCR\":\"Q3\",\"JCRName\":\"Medicine\",\"Score\":null,\"Total\":0}","platform":"Semanticscholar","paperid":null,"PeriodicalName":"Case Reports in Anesthesiology","FirstCategoryId":"1085","ListUrlMain":"https://doi.org/10.1155/2023/6632030","RegionNum":0,"RegionCategory":null,"ArticlePicture":[],"TitleCN":null,"AbstractTextCN":null,"PMCID":null,"EPubDate":"2023/1/1 0:00:00","PubModel":"eCollection","JCR":"Q3","JCRName":"Medicine","Score":null,"Total":0}
引用次数: 0

摘要

约有 4%-10% 的肾细胞癌(RCC)患者有肿瘤血管侵犯,导致肾静脉和下腔静脉(IVC)出现血栓。作者描述了一例有趣的病例,在 RCC 切除术中,IVC 肿瘤血栓移至右心腔。术中经食道超声心动图(TEE)显示右心房(RA)和右心室(RV)之间存在自由漂浮的血栓,从而做出了诊断。在完成肾切除术之前,患者需要进行紧急胸骨切开术,并使用心肺旁路术(CPB)清除心房血栓。患者完全康复并出院前往康复机构。这些发现说明了在肾切除术和输尿管血栓切除术中进行术中 TEE 监测的重要性。在该病例中,通过 TEE 诊断出了意想不到的并发症,需要及时进行心脏手术治疗。
本文章由计算机程序翻译,如有差异,请以英文原文为准。

Migration of an Inferior Vena Cava Tumor Thrombus during Renal Cell Carcinoma Resection.

Migration of an Inferior Vena Cava Tumor Thrombus during Renal Cell Carcinoma Resection.

Migration of an Inferior Vena Cava Tumor Thrombus during Renal Cell Carcinoma Resection.

Approximately 4%-10% of patients with renal cell carcinoma (RCC) have tumoral vascular invasion with resultant thrombi in the renal vein and in the inferior vena cava (IVC). The authors describe an interesting case of IVC tumor thrombus that migrated to the right cardiac chambers during RCC resection. The diagnosis was made by intraoperative transesophageal echocardiography (TEE), which revealed the presence of a free-floating thrombus between the right atrium (RA) and right ventricle (RV). The patient required an urgent sternotomy with cardiopulmonary bypass (CPB) for atrial thrombus removal prior to the completion of the nephrectomy. The patient made a full recovery and was discharged to a rehabilitation facility. These findings illustrate the importance of intraoperative TEE monitoring during nephrectomy and IVC thrombectomy. In this case, TEE allowed for the diagnosis of an unexpected complication necessitating prompt cardiac surgical management.

求助全文
通过发布文献求助,成功后即可免费获取论文全文。 去求助
来源期刊
Case Reports in Anesthesiology
Case Reports in Anesthesiology Medicine-Anesthesiology and Pain Medicine
CiteScore
1.40
自引率
0.00%
发文量
19
审稿时长
12 weeks
×
引用
GB/T 7714-2015
复制
MLA
复制
APA
复制
导出至
BibTeX EndNote RefMan NoteFirst NoteExpress
×
提示
您的信息不完整,为了账户安全,请先补充。
现在去补充
×
提示
您因"违规操作"
具体请查看互助需知
我知道了
×
提示
确定
请完成安全验证×
copy
已复制链接
快去分享给好友吧!
我知道了
右上角分享
点击右上角分享
0
联系我们:info@booksci.cn Book学术提供免费学术资源搜索服务,方便国内外学者检索中英文文献。致力于提供最便捷和优质的服务体验。 Copyright © 2023 布克学术 All rights reserved.
京ICP备2023020795号-1
ghs 京公网安备 11010802042870号
Book学术文献互助
Book学术文献互助群
群 号:604180095
Book学术官方微信