胆囊萎缩伴有胰腺炎:一只狗的临床和高级影像诊断

IF 0.8 4区 农林科学 Q3 VETERINARY SCIENCES
Veterinarni Medicina Pub Date : 2023-11-20 eCollection Date: 2023-11-01 DOI:10.17221/76/2023-VETMED
Donghyun Han, Dong-In Jung
{"title":"胆囊萎缩伴有胰腺炎:一只狗的临床和高级影像诊断","authors":"Donghyun Han, Dong-In Jung","doi":"10.17221/76/2023-VETMED","DOIUrl":null,"url":null,"abstract":"<p><p>Gallbladder atrophy (GBA) is characterised by a reduction in the size and volume of the gallbladder. In human medicine, it is well-established that GBA frequently occurs together with pathologies affecting the gallbladder and pancreas. However, to the best of our knowledge, there is currently a dearth of reported cases of GBA in dogs within the veterinary field. In this study, we present a case report of GBA in a 7-year-old Yorkshire Terrier. The diagnosis of GBA was confirmed using abdominal ultrasonography and advanced imaging techniques, including computed tomography, which were performed over a 4-year period. The patient initially presented with predominantly gastrointestinal symptoms, which were subsequently diagnosed and treated as pancreatitis. Concurrently, a gallbladder nodule and an anomalous structure suspected to be cholelithiasis were identified. However, during the 4-year follow-up, the gallbladder structure regressed, leaving only the presence of the gallbladder nodule. Notably, cholecystectomy was not performed, and apart from pancreatitis-related symptoms, the patient did not show any gallbladder-related problems throughout the spontaneous atrophic process. Based on these findings, we propose that the observed GBA was likely induced by cholecystitis associated with pancreatitis. This case underscores the significance of considering GBA as a potential diagnosis in canine patients presenting with pancreatitis and gastrointestinal symptoms. Furthermore, it highlights the value of comprehensive diagnostic imaging in accurately determining the underlying cause of these symptoms.</p>","PeriodicalId":23532,"journal":{"name":"Veterinarni Medicina","volume":"68 11","pages":"435-442"},"PeriodicalIF":0.8000,"publicationDate":"2023-11-20","publicationTypes":"Journal Article","fieldsOfStudy":null,"isOpenAccess":false,"openAccessPdf":"https://www.ncbi.nlm.nih.gov/pmc/articles/PMC10755810/pdf/","citationCount":"0","resultStr":"{\"title\":\"Gallbladder atrophy associated with pancreatitis: Clinical and advanced imaging diagnosis in a dog.\",\"authors\":\"Donghyun Han, Dong-In Jung\",\"doi\":\"10.17221/76/2023-VETMED\",\"DOIUrl\":null,\"url\":null,\"abstract\":\"<p><p>Gallbladder atrophy (GBA) is characterised by a reduction in the size and volume of the gallbladder. In human medicine, it is well-established that GBA frequently occurs together with pathologies affecting the gallbladder and pancreas. However, to the best of our knowledge, there is currently a dearth of reported cases of GBA in dogs within the veterinary field. In this study, we present a case report of GBA in a 7-year-old Yorkshire Terrier. The diagnosis of GBA was confirmed using abdominal ultrasonography and advanced imaging techniques, including computed tomography, which were performed over a 4-year period. The patient initially presented with predominantly gastrointestinal symptoms, which were subsequently diagnosed and treated as pancreatitis. Concurrently, a gallbladder nodule and an anomalous structure suspected to be cholelithiasis were identified. However, during the 4-year follow-up, the gallbladder structure regressed, leaving only the presence of the gallbladder nodule. Notably, cholecystectomy was not performed, and apart from pancreatitis-related symptoms, the patient did not show any gallbladder-related problems throughout the spontaneous atrophic process. Based on these findings, we propose that the observed GBA was likely induced by cholecystitis associated with pancreatitis. This case underscores the significance of considering GBA as a potential diagnosis in canine patients presenting with pancreatitis and gastrointestinal symptoms. Furthermore, it highlights the value of comprehensive diagnostic imaging in accurately determining the underlying cause of these symptoms.</p>\",\"PeriodicalId\":23532,\"journal\":{\"name\":\"Veterinarni Medicina\",\"volume\":\"68 11\",\"pages\":\"435-442\"},\"PeriodicalIF\":0.8000,\"publicationDate\":\"2023-11-20\",\"publicationTypes\":\"Journal Article\",\"fieldsOfStudy\":null,\"isOpenAccess\":false,\"openAccessPdf\":\"https://www.ncbi.nlm.nih.gov/pmc/articles/PMC10755810/pdf/\",\"citationCount\":\"0\",\"resultStr\":null,\"platform\":\"Semanticscholar\",\"paperid\":null,\"PeriodicalName\":\"Veterinarni Medicina\",\"FirstCategoryId\":\"97\",\"ListUrlMain\":\"https://doi.org/10.17221/76/2023-VETMED\",\"RegionNum\":4,\"RegionCategory\":\"农林科学\",\"ArticlePicture\":[],\"TitleCN\":null,\"AbstractTextCN\":null,\"PMCID\":null,\"EPubDate\":\"2023/11/1 0:00:00\",\"PubModel\":\"eCollection\",\"JCR\":\"Q3\",\"JCRName\":\"VETERINARY SCIENCES\",\"Score\":null,\"Total\":0}","platform":"Semanticscholar","paperid":null,"PeriodicalName":"Veterinarni Medicina","FirstCategoryId":"97","ListUrlMain":"https://doi.org/10.17221/76/2023-VETMED","RegionNum":4,"RegionCategory":"农林科学","ArticlePicture":[],"TitleCN":null,"AbstractTextCN":null,"PMCID":null,"EPubDate":"2023/11/1 0:00:00","PubModel":"eCollection","JCR":"Q3","JCRName":"VETERINARY SCIENCES","Score":null,"Total":0}
引用次数: 0

摘要

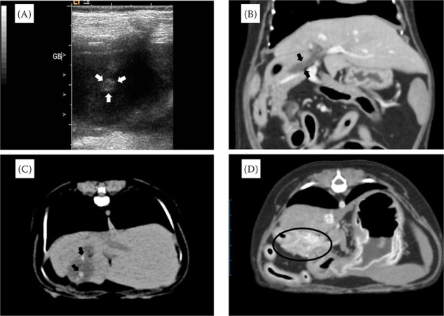
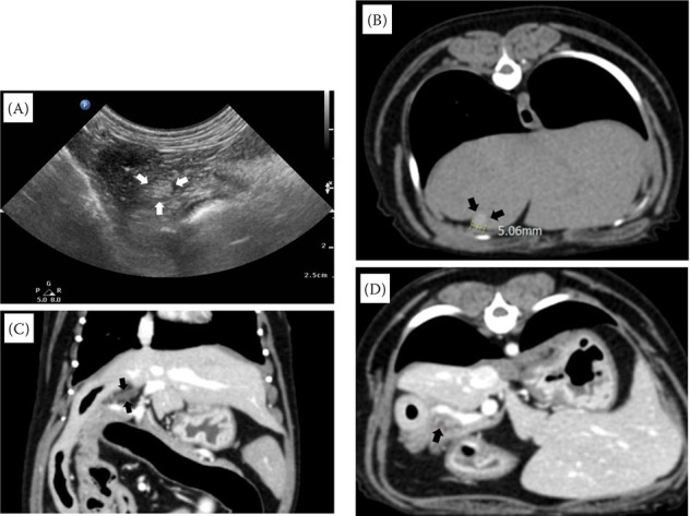
胆囊萎缩(GBA)的特征是胆囊的大小和体积缩小。在人类医学中,胆囊萎缩经常与影响胆囊和胰腺的病变同时发生,这一点已得到公认。然而,据我们所知,目前在兽医领域还很少有狗患胆囊炎的病例报道。在本研究中,我们报告了一例 7 岁约克夏梗犬患 GBA 的病例。腹部超声波检查和先进的成像技术(包括计算机断层扫描)证实了 GBA 的诊断,这些检查历时 4 年。患者最初主要表现为胃肠道症状,随后被诊断为胰腺炎并接受了治疗。与此同时,还发现了一个胆囊结节和一个疑似胆石症的异常结构。然而,在 4 年的随访中,胆囊结构消退,只剩下胆囊结节。值得注意的是,该患者没有进行胆囊切除术,除了胰腺炎相关症状外,在整个自发性萎缩过程中没有出现任何胆囊相关问题。基于这些发现,我们认为观察到的 GBA 很可能是由胆囊炎合并胰腺炎引起的。本病例强调了将 GBA 作为出现胰腺炎和胃肠道症状的犬科患者的潜在诊断的重要性。此外,它还强调了综合影像诊断在准确确定这些症状的根本原因方面的价值。
本文章由计算机程序翻译,如有差异,请以英文原文为准。

Gallbladder atrophy associated with pancreatitis: Clinical and advanced imaging diagnosis in a dog.

Gallbladder atrophy associated with pancreatitis: Clinical and advanced imaging diagnosis in a dog.

Gallbladder atrophy associated with pancreatitis: Clinical and advanced imaging diagnosis in a dog.

Gallbladder atrophy (GBA) is characterised by a reduction in the size and volume of the gallbladder. In human medicine, it is well-established that GBA frequently occurs together with pathologies affecting the gallbladder and pancreas. However, to the best of our knowledge, there is currently a dearth of reported cases of GBA in dogs within the veterinary field. In this study, we present a case report of GBA in a 7-year-old Yorkshire Terrier. The diagnosis of GBA was confirmed using abdominal ultrasonography and advanced imaging techniques, including computed tomography, which were performed over a 4-year period. The patient initially presented with predominantly gastrointestinal symptoms, which were subsequently diagnosed and treated as pancreatitis. Concurrently, a gallbladder nodule and an anomalous structure suspected to be cholelithiasis were identified. However, during the 4-year follow-up, the gallbladder structure regressed, leaving only the presence of the gallbladder nodule. Notably, cholecystectomy was not performed, and apart from pancreatitis-related symptoms, the patient did not show any gallbladder-related problems throughout the spontaneous atrophic process. Based on these findings, we propose that the observed GBA was likely induced by cholecystitis associated with pancreatitis. This case underscores the significance of considering GBA as a potential diagnosis in canine patients presenting with pancreatitis and gastrointestinal symptoms. Furthermore, it highlights the value of comprehensive diagnostic imaging in accurately determining the underlying cause of these symptoms.

求助全文
通过发布文献求助,成功后即可免费获取论文全文。 去求助
来源期刊
Veterinarni Medicina
Veterinarni Medicina Veterinary Sciences-兽医学
CiteScore
1.30
自引率
0.00%
发文量
62
审稿时长
18-36 weeks
期刊介绍: The journal Veterinarni Medicina publishes in English original papers, short communications, critical reviews and case reports from all fields of veterinary and biomedical sciences.
×
引用
GB/T 7714-2015
复制
MLA
复制
APA
复制
导出至
BibTeX EndNote RefMan NoteFirst NoteExpress
×
提示
您的信息不完整,为了账户安全,请先补充。
现在去补充
×
提示
您因"违规操作"
具体请查看互助需知
我知道了
×
提示
确定
请完成安全验证×
copy
已复制链接
快去分享给好友吧!
我知道了
右上角分享
点击右上角分享
0
联系我们:info@booksci.cn Book学术提供免费学术资源搜索服务,方便国内外学者检索中英文文献。致力于提供最便捷和优质的服务体验。 Copyright © 2023 布克学术 All rights reserved.
京ICP备2023020795号-1
ghs 京公网安备 11010802042870号
Book学术文献互助
Book学术文献互助群
群 号:604180095
Book学术官方微信