18F-FDG PET/CT 与扩散加权成像在检测浸润性乳腺导管癌方面的比较。

Q3 Medicine
Aynur Ozen, Tarik Sayin, Ozan Kandemir, Ozgul Ekmekcioglu, Serdar Altınay, Eylem Bastug, Ali Muhammedoglu, Atilla Celik, Ramazan Albayrak
{"title":"18F-FDG PET/CT 与扩散加权成像在检测浸润性乳腺导管癌方面的比较。","authors":"Aynur Ozen, Tarik Sayin, Ozan Kandemir, Ozgul Ekmekcioglu, Serdar Altınay, Eylem Bastug, Ali Muhammedoglu, Atilla Celik, Ramazan Albayrak","doi":"10.22038/AOJNMB.2023.70534.1493","DOIUrl":null,"url":null,"abstract":"<p><strong>Objectives: </strong>Breast carcinoma is the most common type of cancer in females. This study aims to compare fluorine-18-fluorodeoxyglucose (<sup>18</sup>F-FDG) uptake pattern and apparent diffusion coefficient (ADC) value for the detection of the primary tumour and axillary metastases of invasive ductal breast carcinoma.</p><p><strong>Methods: </strong>This study included 40 breast carcinoma lesions taken from 39 patients. After staging by positron emission tomography-computed tomography (PET/CT) and diffusion-weighted magnetic resonance imaging (MRI), breast surgery with axillary lymph node dissection or sentinel lymph node biopsy was performed.</p><p><strong>Results: </strong>Primary lesion detection rate for PET/CT and diffusion-weighted MRI was high with 39 of 40 lesions (97.5%). The sensitivity and specificity for the detection of metastatic lymph nodes in axilla were 40.9%, 88.9%, with <sup>18</sup>F-FDG PET/CT scans and 40.9%, 83.3%, for dw-MRI, respectively. No significant correlation was detected between ADC and SUV<sub>max</sub> or SUV<sub>max</sub> ratios. Estrogen receptor (p=0.007) and progesterone receptor (p=0.036) positive patients had lower ADC values. Tumour SUV<sub>max</sub> was lower in T1 than T2 tumour size (p=0.027) and progesterone receptor-positive patients (p=0.029). Tumour/background SUV<sub>max</sub> was lower in progesterone receptor-positive patients (p=0.004). Tumour/liver SUV<sub>max</sub> was higher in grade III patients (p=0.035) and progesterone receptor negative status (p=0.043).</p><p><strong>Conclusions: </strong>This study confirmed the high detection rate of breast carcinoma in both modalities. They have same sensitivity for the detection of axillary lymph node metastases, whereas the PET/CT scan had higher specificity. Furthermore, ADC, SUV<sub>max</sub> and SUV<sub>max</sub> ratios showed some statistical significance among the patient groups according to different pathological parameters.</p>","PeriodicalId":8503,"journal":{"name":"Asia Oceania Journal of Nuclear Medicine and Biology","volume":"12 1","pages":"11-20"},"PeriodicalIF":0.0000,"publicationDate":"2024-01-01","publicationTypes":"Journal Article","fieldsOfStudy":null,"isOpenAccess":false,"openAccessPdf":"https://www.ncbi.nlm.nih.gov/pmc/articles/PMC10757063/pdf/","citationCount":"0","resultStr":"{\"title\":\"Comparison between <sup>18</sup>F-FDG PET/CT and diffusion-weighted imaging in detection of invasive ductal breast carcinoma.\",\"authors\":\"Aynur Ozen, Tarik Sayin, Ozan Kandemir, Ozgul Ekmekcioglu, Serdar Altınay, Eylem Bastug, Ali Muhammedoglu, Atilla Celik, Ramazan Albayrak\",\"doi\":\"10.22038/AOJNMB.2023.70534.1493\",\"DOIUrl\":null,\"url\":null,\"abstract\":\"<p><strong>Objectives: </strong>Breast carcinoma is the most common type of cancer in females. This study aims to compare fluorine-18-fluorodeoxyglucose (<sup>18</sup>F-FDG) uptake pattern and apparent diffusion coefficient (ADC) value for the detection of the primary tumour and axillary metastases of invasive ductal breast carcinoma.</p><p><strong>Methods: </strong>This study included 40 breast carcinoma lesions taken from 39 patients. After staging by positron emission tomography-computed tomography (PET/CT) and diffusion-weighted magnetic resonance imaging (MRI), breast surgery with axillary lymph node dissection or sentinel lymph node biopsy was performed.</p><p><strong>Results: </strong>Primary lesion detection rate for PET/CT and diffusion-weighted MRI was high with 39 of 40 lesions (97.5%). The sensitivity and specificity for the detection of metastatic lymph nodes in axilla were 40.9%, 88.9%, with <sup>18</sup>F-FDG PET/CT scans and 40.9%, 83.3%, for dw-MRI, respectively. No significant correlation was detected between ADC and SUV<sub>max</sub> or SUV<sub>max</sub> ratios. Estrogen receptor (p=0.007) and progesterone receptor (p=0.036) positive patients had lower ADC values. Tumour SUV<sub>max</sub> was lower in T1 than T2 tumour size (p=0.027) and progesterone receptor-positive patients (p=0.029). Tumour/background SUV<sub>max</sub> was lower in progesterone receptor-positive patients (p=0.004). Tumour/liver SUV<sub>max</sub> was higher in grade III patients (p=0.035) and progesterone receptor negative status (p=0.043).</p><p><strong>Conclusions: </strong>This study confirmed the high detection rate of breast carcinoma in both modalities. They have same sensitivity for the detection of axillary lymph node metastases, whereas the PET/CT scan had higher specificity. Furthermore, ADC, SUV<sub>max</sub> and SUV<sub>max</sub> ratios showed some statistical significance among the patient groups according to different pathological parameters.</p>\",\"PeriodicalId\":8503,\"journal\":{\"name\":\"Asia Oceania Journal of Nuclear Medicine and Biology\",\"volume\":\"12 1\",\"pages\":\"11-20\"},\"PeriodicalIF\":0.0000,\"publicationDate\":\"2024-01-01\",\"publicationTypes\":\"Journal Article\",\"fieldsOfStudy\":null,\"isOpenAccess\":false,\"openAccessPdf\":\"https://www.ncbi.nlm.nih.gov/pmc/articles/PMC10757063/pdf/\",\"citationCount\":\"0\",\"resultStr\":null,\"platform\":\"Semanticscholar\",\"paperid\":null,\"PeriodicalName\":\"Asia Oceania Journal of Nuclear Medicine and Biology\",\"FirstCategoryId\":\"1085\",\"ListUrlMain\":\"https://doi.org/10.22038/AOJNMB.2023.70534.1493\",\"RegionNum\":0,\"RegionCategory\":null,\"ArticlePicture\":[],\"TitleCN\":null,\"AbstractTextCN\":null,\"PMCID\":null,\"EPubDate\":\"\",\"PubModel\":\"\",\"JCR\":\"Q3\",\"JCRName\":\"Medicine\",\"Score\":null,\"Total\":0}","platform":"Semanticscholar","paperid":null,"PeriodicalName":"Asia Oceania Journal of Nuclear Medicine and Biology","FirstCategoryId":"1085","ListUrlMain":"https://doi.org/10.22038/AOJNMB.2023.70534.1493","RegionNum":0,"RegionCategory":null,"ArticlePicture":[],"TitleCN":null,"AbstractTextCN":null,"PMCID":null,"EPubDate":"","PubModel":"","JCR":"Q3","JCRName":"Medicine","Score":null,"Total":0}
引用次数: 0

摘要

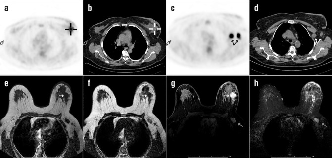
目的:乳腺癌是女性最常见的癌症类型。本研究旨在比较氟-18-脱氧葡萄糖(18F-FDG)摄取模式和表观弥散系数(ADC)值,以检测浸润性导管乳腺癌的原发肿瘤和腋窝转移灶:这项研究包括 39 名患者的 40 个乳腺癌病灶。通过正电子发射断层扫描-计算机断层扫描(PET/CT)和弥散加权磁共振成像(MRI)进行分期后,进行了乳腺手术和腋窝淋巴结清扫或前哨淋巴结活检:PET/CT 和弥散加权磁共振成像的原发病灶检出率很高,40 个病灶中有 39 个(97.5%)被检出。18F-FDG PET/CT 扫描和 dw-MRI 检测腋窝转移性淋巴结的敏感性和特异性分别为 40.9%和 88.9%,dw-MRI 为 40.9%和 83.3%。ADC与SUVmax或SUVmax比值之间没有发现明显的相关性。雌激素受体(p=0.007)和孕激素受体(p=0.036)阳性患者的 ADC 值较低。T1肿瘤的SUVmax值低于T2肿瘤(p=0.027),孕酮受体阳性患者的SUVmax值低于T2肿瘤(p=0.029)。孕酮受体阳性患者的肿瘤/背景 SUVmax 更低(p=0.004)。肿瘤/肝脏SUVmax在III级患者(p=0.035)和孕酮受体阴性患者(p=0.043)中较高:本研究证实,两种模式对乳腺癌的检出率都很高。结论:该研究证实,两种乳腺癌检测方式的检出率都很高,对腋窝淋巴结转移的检测灵敏度相同,而 PET/CT 扫描的特异性更高。此外,根据不同的病理参数,ADC、SUVmax 和 SUVmax 比值在各组患者中显示出一定的统计学意义。
本文章由计算机程序翻译,如有差异,请以英文原文为准。

Comparison between <sup>18</sup>F-FDG PET/CT and diffusion-weighted imaging in detection of invasive ductal breast carcinoma.

Comparison between <sup>18</sup>F-FDG PET/CT and diffusion-weighted imaging in detection of invasive ductal breast carcinoma.

Comparison between 18F-FDG PET/CT and diffusion-weighted imaging in detection of invasive ductal breast carcinoma.

Objectives: Breast carcinoma is the most common type of cancer in females. This study aims to compare fluorine-18-fluorodeoxyglucose (18F-FDG) uptake pattern and apparent diffusion coefficient (ADC) value for the detection of the primary tumour and axillary metastases of invasive ductal breast carcinoma.

Methods: This study included 40 breast carcinoma lesions taken from 39 patients. After staging by positron emission tomography-computed tomography (PET/CT) and diffusion-weighted magnetic resonance imaging (MRI), breast surgery with axillary lymph node dissection or sentinel lymph node biopsy was performed.

Results: Primary lesion detection rate for PET/CT and diffusion-weighted MRI was high with 39 of 40 lesions (97.5%). The sensitivity and specificity for the detection of metastatic lymph nodes in axilla were 40.9%, 88.9%, with 18F-FDG PET/CT scans and 40.9%, 83.3%, for dw-MRI, respectively. No significant correlation was detected between ADC and SUVmax or SUVmax ratios. Estrogen receptor (p=0.007) and progesterone receptor (p=0.036) positive patients had lower ADC values. Tumour SUVmax was lower in T1 than T2 tumour size (p=0.027) and progesterone receptor-positive patients (p=0.029). Tumour/background SUVmax was lower in progesterone receptor-positive patients (p=0.004). Tumour/liver SUVmax was higher in grade III patients (p=0.035) and progesterone receptor negative status (p=0.043).

Conclusions: This study confirmed the high detection rate of breast carcinoma in both modalities. They have same sensitivity for the detection of axillary lymph node metastases, whereas the PET/CT scan had higher specificity. Furthermore, ADC, SUVmax and SUVmax ratios showed some statistical significance among the patient groups according to different pathological parameters.

求助全文
通过发布文献求助,成功后即可免费获取论文全文。 去求助
来源期刊
Asia Oceania Journal of Nuclear Medicine and Biology
Asia Oceania Journal of Nuclear Medicine and Biology Medicine-Radiology, Nuclear Medicine and Imaging
CiteScore
1.80
自引率
0.00%
发文量
28
审稿时长
12 weeks
×
引用
GB/T 7714-2015
复制
MLA
复制
APA
复制
导出至
BibTeX EndNote RefMan NoteFirst NoteExpress
×
提示
您的信息不完整,为了账户安全,请先补充。
现在去补充
×
提示
您因"违规操作"
具体请查看互助需知
我知道了
×
提示
确定
请完成安全验证×
copy
已复制链接
快去分享给好友吧!
我知道了
右上角分享
点击右上角分享
0
联系我们:info@booksci.cn Book学术提供免费学术资源搜索服务,方便国内外学者检索中英文文献。致力于提供最便捷和优质的服务体验。 Copyright © 2023 布克学术 All rights reserved.
京ICP备2023020795号-1
ghs 京公网安备 11010802042870号
Book学术文献互助
Book学术文献互助群
群 号:604180095
Book学术官方微信