口腔罗赛-多夫曼病。

Q4 Medicine
Autopsy and Case Reports Pub Date : 2023-12-05 eCollection Date: 2023-01-01 DOI:10.4322/acr.2023.463
Abir Charfeddine, Mounir Omami, Marwa Garma, Ahlem Bellalah, Sameh Sioud, Jamil Selmi
{"title":"口腔罗赛-多夫曼病。","authors":"Abir Charfeddine, Mounir Omami, Marwa Garma, Ahlem Bellalah, Sameh Sioud, Jamil Selmi","doi":"10.4322/acr.2023.463","DOIUrl":null,"url":null,"abstract":"<p><p>First described by J Rosai and R F Dorfman in 1969, Rosai-Dorfman disease (RDD) is a benign, self-limiting histiocytosis of unknown etiology. It is usually seen in the first two decades of life. The most frequent clinical presentation is painless, bilateral cervical lymphadenopathy accompanied by fever, weight loss, and an elevated ESR. However, RDD without nodal involvement is extremely rare, and the most common extranodal location is the head and neck region, mainly affecting the nasal cavity, pharynx, and paranasal sinuses. Oral location of RDD is occasional; according to our knowledge, only 17 cases of oral Rosai-Dorfman disease without lymph node involvement have been found in the literature. Because of the rarity of these isolated oral presentations, the clinical and radiological aspects need to be more studied. This article aims to present a rare case of oral Rosai-Dorfman disease without nodal involvement, detail the clinical and radiological signs, and the treatment strategy used in our patient.</p>","PeriodicalId":53117,"journal":{"name":"Autopsy and Case Reports","volume":"13 ","pages":"e2023463"},"PeriodicalIF":0.0000,"publicationDate":"2023-12-05","publicationTypes":"Journal Article","fieldsOfStudy":null,"isOpenAccess":false,"openAccessPdf":"https://www.ncbi.nlm.nih.gov/pmc/articles/PMC10750829/pdf/","citationCount":"0","resultStr":"{\"title\":\"Rosai-Dorfman disease of the oral cavity.\",\"authors\":\"Abir Charfeddine, Mounir Omami, Marwa Garma, Ahlem Bellalah, Sameh Sioud, Jamil Selmi\",\"doi\":\"10.4322/acr.2023.463\",\"DOIUrl\":null,\"url\":null,\"abstract\":\"<p><p>First described by J Rosai and R F Dorfman in 1969, Rosai-Dorfman disease (RDD) is a benign, self-limiting histiocytosis of unknown etiology. It is usually seen in the first two decades of life. The most frequent clinical presentation is painless, bilateral cervical lymphadenopathy accompanied by fever, weight loss, and an elevated ESR. However, RDD without nodal involvement is extremely rare, and the most common extranodal location is the head and neck region, mainly affecting the nasal cavity, pharynx, and paranasal sinuses. Oral location of RDD is occasional; according to our knowledge, only 17 cases of oral Rosai-Dorfman disease without lymph node involvement have been found in the literature. Because of the rarity of these isolated oral presentations, the clinical and radiological aspects need to be more studied. This article aims to present a rare case of oral Rosai-Dorfman disease without nodal involvement, detail the clinical and radiological signs, and the treatment strategy used in our patient.</p>\",\"PeriodicalId\":53117,\"journal\":{\"name\":\"Autopsy and Case Reports\",\"volume\":\"13 \",\"pages\":\"e2023463\"},\"PeriodicalIF\":0.0000,\"publicationDate\":\"2023-12-05\",\"publicationTypes\":\"Journal Article\",\"fieldsOfStudy\":null,\"isOpenAccess\":false,\"openAccessPdf\":\"https://www.ncbi.nlm.nih.gov/pmc/articles/PMC10750829/pdf/\",\"citationCount\":\"0\",\"resultStr\":null,\"platform\":\"Semanticscholar\",\"paperid\":null,\"PeriodicalName\":\"Autopsy and Case Reports\",\"FirstCategoryId\":\"1085\",\"ListUrlMain\":\"https://doi.org/10.4322/acr.2023.463\",\"RegionNum\":0,\"RegionCategory\":null,\"ArticlePicture\":[],\"TitleCN\":null,\"AbstractTextCN\":null,\"PMCID\":null,\"EPubDate\":\"2023/1/1 0:00:00\",\"PubModel\":\"eCollection\",\"JCR\":\"Q4\",\"JCRName\":\"Medicine\",\"Score\":null,\"Total\":0}","platform":"Semanticscholar","paperid":null,"PeriodicalName":"Autopsy and Case Reports","FirstCategoryId":"1085","ListUrlMain":"https://doi.org/10.4322/acr.2023.463","RegionNum":0,"RegionCategory":null,"ArticlePicture":[],"TitleCN":null,"AbstractTextCN":null,"PMCID":null,"EPubDate":"2023/1/1 0:00:00","PubModel":"eCollection","JCR":"Q4","JCRName":"Medicine","Score":null,"Total":0}
引用次数: 0

摘要

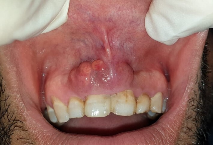
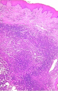
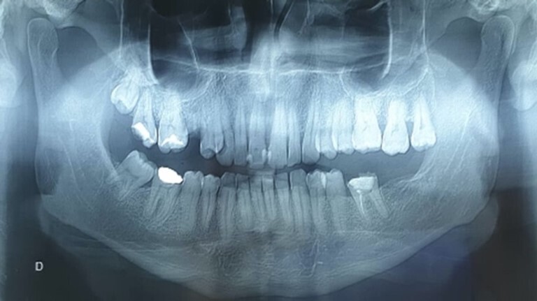
罗赛-多夫曼病(RDD)由 J Rosai 和 R F Dorfman 于 1969 年首次描述,是一种病因不明的良性、自限性组织细胞增生症。它通常出现在生命的头二十年。最常见的临床表现是无痛性双侧颈淋巴结病,伴有发热、体重减轻和血沉增快。然而,无结节受累的 RDD 极其罕见,最常见的结节外部位是头颈部,主要累及鼻腔、咽部和副鼻窦。口腔部位的罗赛-多夫曼病偶见;据我们所知,文献中仅发现 17 例无淋巴结受累的口腔罗赛-多夫曼病。由于这些孤立的口腔表现非常罕见,因此需要对其临床和放射学方面进行更多的研究。本文旨在介绍一例罕见的无淋巴结受累的口腔罗赛-多夫曼病病例,详细介绍其临床和影像学表现,以及对我们的患者所采用的治疗策略。
本文章由计算机程序翻译,如有差异,请以英文原文为准。

Rosai-Dorfman disease of the oral cavity.

Rosai-Dorfman disease of the oral cavity.

Rosai-Dorfman disease of the oral cavity.

Rosai-Dorfman disease of the oral cavity.

First described by J Rosai and R F Dorfman in 1969, Rosai-Dorfman disease (RDD) is a benign, self-limiting histiocytosis of unknown etiology. It is usually seen in the first two decades of life. The most frequent clinical presentation is painless, bilateral cervical lymphadenopathy accompanied by fever, weight loss, and an elevated ESR. However, RDD without nodal involvement is extremely rare, and the most common extranodal location is the head and neck region, mainly affecting the nasal cavity, pharynx, and paranasal sinuses. Oral location of RDD is occasional; according to our knowledge, only 17 cases of oral Rosai-Dorfman disease without lymph node involvement have been found in the literature. Because of the rarity of these isolated oral presentations, the clinical and radiological aspects need to be more studied. This article aims to present a rare case of oral Rosai-Dorfman disease without nodal involvement, detail the clinical and radiological signs, and the treatment strategy used in our patient.

求助全文
通过发布文献求助,成功后即可免费获取论文全文。 去求助
来源期刊
Autopsy and Case Reports
Autopsy and Case Reports Medicine-Internal Medicine
CiteScore
1.20
自引率
0.00%
发文量
60
审稿时长
9 weeks
×
引用
GB/T 7714-2015
复制
MLA
复制
APA
复制
导出至
BibTeX EndNote RefMan NoteFirst NoteExpress
×
提示
您的信息不完整,为了账户安全,请先补充。
现在去补充
×
提示
您因"违规操作"
具体请查看互助需知
我知道了
×
提示
确定
请完成安全验证×
copy
已复制链接
快去分享给好友吧!
我知道了
右上角分享
点击右上角分享
0
联系我们:info@booksci.cn Book学术提供免费学术资源搜索服务,方便国内外学者检索中英文文献。致力于提供最便捷和优质的服务体验。 Copyright © 2023 布克学术 All rights reserved.
京ICP备2023020795号-1
ghs 京公网安备 11010802042870号
Book学术文献互助
Book学术文献互助群
群 号:604180095
Book学术官方微信