用细胞真皮同种异体移植重建肩胛下肌缺损的前囊:两例病例报告。

IF 1.7 Q2 ORTHOPEDICS
Clinics in Shoulder and Elbow Pub Date : 2024-03-01 Epub Date: 2023-12-19 DOI:10.5397/cise.2023.00234
Raffy Mirzayan, Shane Korber
{"title":"用细胞真皮同种异体移植重建肩胛下肌缺损的前囊:两例病例报告。","authors":"Raffy Mirzayan, Shane Korber","doi":"10.5397/cise.2023.00234","DOIUrl":null,"url":null,"abstract":"<p><p>Anterior glenohumeral instability with an irreparable subscapularis tear is a challenging problem for the orthopedic shoulder surgeon. Current techniques, including tendon transfers, yield inconsistent results with high rates of recurrent instability. Acellular dermal allografting has been used in young patients with massive superior rotator cuff tears with early success, but acellular dermal allografting is comparatively unstudied in anterior deficiency. We present two cases of anterior capsular reconstruction with an acellular dermal allograft in patients ages 66 and 58 years with irreparable subscapularis tendon tears. Follow-up for both patients exceeded 4 years, with forward flexion >140°, external rotation exceeding 60°, a Single Assessment Numeric Evaluation score >90 points, a visual analog scale score of 0 points, and an American Shoulder and Elbow Score of 98 points. In conclusion, acellular dermal allografting can be used to reconstruct the anterior capsule in patients with massive irreparable subscapularis tears, similar to its use in superior capsular reconstruction in patients with massive posterosuperior rotator cuff tears.</p>","PeriodicalId":33981,"journal":{"name":"Clinics in Shoulder and Elbow","volume":" ","pages":"126-130"},"PeriodicalIF":1.7000,"publicationDate":"2024-03-01","publicationTypes":"Journal Article","fieldsOfStudy":null,"isOpenAccess":false,"openAccessPdf":"https://www.ncbi.nlm.nih.gov/pmc/articles/PMC10938013/pdf/","citationCount":"0","resultStr":"{\"title\":\"Anterior capsular reconstruction with acellular dermal allograft for subscapularis deficiency: a report of two cases.\",\"authors\":\"Raffy Mirzayan, Shane Korber\",\"doi\":\"10.5397/cise.2023.00234\",\"DOIUrl\":null,\"url\":null,\"abstract\":\"<p><p>Anterior glenohumeral instability with an irreparable subscapularis tear is a challenging problem for the orthopedic shoulder surgeon. Current techniques, including tendon transfers, yield inconsistent results with high rates of recurrent instability. Acellular dermal allografting has been used in young patients with massive superior rotator cuff tears with early success, but acellular dermal allografting is comparatively unstudied in anterior deficiency. We present two cases of anterior capsular reconstruction with an acellular dermal allograft in patients ages 66 and 58 years with irreparable subscapularis tendon tears. Follow-up for both patients exceeded 4 years, with forward flexion >140°, external rotation exceeding 60°, a Single Assessment Numeric Evaluation score >90 points, a visual analog scale score of 0 points, and an American Shoulder and Elbow Score of 98 points. In conclusion, acellular dermal allografting can be used to reconstruct the anterior capsule in patients with massive irreparable subscapularis tears, similar to its use in superior capsular reconstruction in patients with massive posterosuperior rotator cuff tears.</p>\",\"PeriodicalId\":33981,\"journal\":{\"name\":\"Clinics in Shoulder and Elbow\",\"volume\":\" \",\"pages\":\"126-130\"},\"PeriodicalIF\":1.7000,\"publicationDate\":\"2024-03-01\",\"publicationTypes\":\"Journal Article\",\"fieldsOfStudy\":null,\"isOpenAccess\":false,\"openAccessPdf\":\"https://www.ncbi.nlm.nih.gov/pmc/articles/PMC10938013/pdf/\",\"citationCount\":\"0\",\"resultStr\":null,\"platform\":\"Semanticscholar\",\"paperid\":null,\"PeriodicalName\":\"Clinics in Shoulder and Elbow\",\"FirstCategoryId\":\"1085\",\"ListUrlMain\":\"https://doi.org/10.5397/cise.2023.00234\",\"RegionNum\":0,\"RegionCategory\":null,\"ArticlePicture\":[],\"TitleCN\":null,\"AbstractTextCN\":null,\"PMCID\":null,\"EPubDate\":\"2023/12/19 0:00:00\",\"PubModel\":\"Epub\",\"JCR\":\"Q2\",\"JCRName\":\"ORTHOPEDICS\",\"Score\":null,\"Total\":0}","platform":"Semanticscholar","paperid":null,"PeriodicalName":"Clinics in Shoulder and Elbow","FirstCategoryId":"1085","ListUrlMain":"https://doi.org/10.5397/cise.2023.00234","RegionNum":0,"RegionCategory":null,"ArticlePicture":[],"TitleCN":null,"AbstractTextCN":null,"PMCID":null,"EPubDate":"2023/12/19 0:00:00","PubModel":"Epub","JCR":"Q2","JCRName":"ORTHOPEDICS","Score":null,"Total":0}
引用次数: 0

摘要

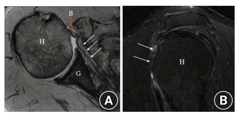
肩胛下肌撕裂无法修复导致的盂肱关节前部不稳定是肩部整形外科医生面临的一个难题。目前的技术(包括肌腱转移)效果不稳定,复发性不稳定的发生率很高。细胞真皮同种异体移植已被用于肩袖上部大面积撕裂的年轻患者,并取得了早期成功,但细胞真皮同种异体移植在前部缺损方面的研究相对较少。我们介绍了两例使用无细胞真皮同种异体材料重建前囊的病例,患者年龄分别为 66 岁和 58 岁,肩胛下肌腱撕裂无法修复。这两名患者的随访时间都超过了 4 年,前屈超过 140°,外旋超过 60°,单次数字评估得分超过 90 分,视觉模拟评分 0 分,美国肩肘评分 98 分。总之,无细胞真皮同种异体移植可用于重建肩胛下肌大面积不可修复撕裂患者的前囊,这与它在肩袖后上方大面积撕裂患者上囊重建中的应用类似。
本文章由计算机程序翻译,如有差异,请以英文原文为准。

Anterior capsular reconstruction with acellular dermal allograft for subscapularis deficiency: a report of two cases.

Anterior capsular reconstruction with acellular dermal allograft for subscapularis deficiency: a report of two cases.

Anterior capsular reconstruction with acellular dermal allograft for subscapularis deficiency: a report of two cases.

Anterior capsular reconstruction with acellular dermal allograft for subscapularis deficiency: a report of two cases.

Anterior glenohumeral instability with an irreparable subscapularis tear is a challenging problem for the orthopedic shoulder surgeon. Current techniques, including tendon transfers, yield inconsistent results with high rates of recurrent instability. Acellular dermal allografting has been used in young patients with massive superior rotator cuff tears with early success, but acellular dermal allografting is comparatively unstudied in anterior deficiency. We present two cases of anterior capsular reconstruction with an acellular dermal allograft in patients ages 66 and 58 years with irreparable subscapularis tendon tears. Follow-up for both patients exceeded 4 years, with forward flexion >140°, external rotation exceeding 60°, a Single Assessment Numeric Evaluation score >90 points, a visual analog scale score of 0 points, and an American Shoulder and Elbow Score of 98 points. In conclusion, acellular dermal allografting can be used to reconstruct the anterior capsule in patients with massive irreparable subscapularis tears, similar to its use in superior capsular reconstruction in patients with massive posterosuperior rotator cuff tears.

求助全文
通过发布文献求助,成功后即可免费获取论文全文。 去求助
来源期刊
CiteScore
0.30
自引率
0.00%
发文量
55
审稿时长
15 weeks
×
引用
GB/T 7714-2015
复制
MLA
复制
APA
复制
导出至
BibTeX EndNote RefMan NoteFirst NoteExpress
×
提示
您的信息不完整,为了账户安全,请先补充。
现在去补充
×
提示
您因"违规操作"
具体请查看互助需知
我知道了
×
提示
确定
请完成安全验证×
copy
已复制链接
快去分享给好友吧!
我知道了
右上角分享
点击右上角分享
0
联系我们:info@booksci.cn Book学术提供免费学术资源搜索服务,方便国内外学者检索中英文文献。致力于提供最便捷和优质的服务体验。 Copyright © 2023 布克学术 All rights reserved.
京ICP备2023020795号-1
ghs 京公网安备 11010802042870号
Book学术文献互助
Book学术文献互助群
群 号:604180095
Book学术官方微信