主动脉粥样硬化的感染性动脉内膜炎:一种罕见疾病的两种表现。

IF 2
Justo Santiago, Gabriela Karl, Claudia Florez, Yudisay Molina, Javier Castro, Alexandra Hurtado, Valeria García
{"title":"主动脉粥样硬化的感染性动脉内膜炎:一种罕见疾病的两种表现。","authors":"Justo Santiago, Gabriela Karl, Claudia Florez, Yudisay Molina, Javier Castro, Alexandra Hurtado, Valeria García","doi":"10.1590/1984-0462/2024/42/2023084","DOIUrl":null,"url":null,"abstract":"<p><strong>Objective: </strong>To describe two different degrees of clinical commitment and results in the evolution of infectious endarteritis in patients without a previous diagnosis of aortic coarctation.</p><p><strong>Case description: </strong>Two male patients aged 13 and 9 years old were admitted. The first due to a fever for 2 months, which started after dental cleaning, and the second due to high blood pressure, both patients with asthenia and weight loss. In the first case, the transthoracic echocardiogram showed aortic coarctation, and the transesophageal echocardiogram showed the presence of vegetations in the post-coarctation area, without pseudoaneurysms, with blood culture positive for Streptococcus mitis. This patient was treated for six weeks with crystalline penicillin, resolving the infection without complications. The second case was assessed for high blood pressure with a history of fever, and was treated with antibiotics. When performing a transthoracic echocardiogram, aortic coarctation was observed with a saccular image classified as a pseudoaneurysm by angiography and tomography. Blood culture was negative, and the patient developed an episode of hematemesis whose initial etiology could not be determined. Before surgical repair, he had a second episode of copious hematemesis with hypovolemic shock and death.</p><p><strong>Comments: </strong>We need to have a high index of clinical suspicion to establish the diagnosis of aortic coarctation complicated by endarteritis and start the appropriate antibiotic treatment, always maintaining surveillance for the early detection of pseudoaneurysms.</p>","PeriodicalId":74721,"journal":{"name":"Revista paulista de pediatria : orgao oficial da Sociedade de Pediatria de Sao Paulo","volume":"42 ","pages":"e2023084"},"PeriodicalIF":2.0000,"publicationDate":"2023-12-22","publicationTypes":"Journal Article","fieldsOfStudy":null,"isOpenAccess":false,"openAccessPdf":"https://www.ncbi.nlm.nih.gov/pmc/articles/PMC10742369/pdf/","citationCount":"0","resultStr":"{\"title\":\"Infectious endarteritis in aortic coarctation: two spectra of an infrequent disease.\",\"authors\":\"Justo Santiago, Gabriela Karl, Claudia Florez, Yudisay Molina, Javier Castro, Alexandra Hurtado, Valeria García\",\"doi\":\"10.1590/1984-0462/2024/42/2023084\",\"DOIUrl\":null,\"url\":null,\"abstract\":\"<p><strong>Objective: </strong>To describe two different degrees of clinical commitment and results in the evolution of infectious endarteritis in patients without a previous diagnosis of aortic coarctation.</p><p><strong>Case description: </strong>Two male patients aged 13 and 9 years old were admitted. The first due to a fever for 2 months, which started after dental cleaning, and the second due to high blood pressure, both patients with asthenia and weight loss. In the first case, the transthoracic echocardiogram showed aortic coarctation, and the transesophageal echocardiogram showed the presence of vegetations in the post-coarctation area, without pseudoaneurysms, with blood culture positive for Streptococcus mitis. This patient was treated for six weeks with crystalline penicillin, resolving the infection without complications. The second case was assessed for high blood pressure with a history of fever, and was treated with antibiotics. When performing a transthoracic echocardiogram, aortic coarctation was observed with a saccular image classified as a pseudoaneurysm by angiography and tomography. Blood culture was negative, and the patient developed an episode of hematemesis whose initial etiology could not be determined. Before surgical repair, he had a second episode of copious hematemesis with hypovolemic shock and death.</p><p><strong>Comments: </strong>We need to have a high index of clinical suspicion to establish the diagnosis of aortic coarctation complicated by endarteritis and start the appropriate antibiotic treatment, always maintaining surveillance for the early detection of pseudoaneurysms.</p>\",\"PeriodicalId\":74721,\"journal\":{\"name\":\"Revista paulista de pediatria : orgao oficial da Sociedade de Pediatria de Sao Paulo\",\"volume\":\"42 \",\"pages\":\"e2023084\"},\"PeriodicalIF\":2.0000,\"publicationDate\":\"2023-12-22\",\"publicationTypes\":\"Journal Article\",\"fieldsOfStudy\":null,\"isOpenAccess\":false,\"openAccessPdf\":\"https://www.ncbi.nlm.nih.gov/pmc/articles/PMC10742369/pdf/\",\"citationCount\":\"0\",\"resultStr\":null,\"platform\":\"Semanticscholar\",\"paperid\":null,\"PeriodicalName\":\"Revista paulista de pediatria : orgao oficial da Sociedade de Pediatria de Sao Paulo\",\"FirstCategoryId\":\"1085\",\"ListUrlMain\":\"https://doi.org/10.1590/1984-0462/2024/42/2023084\",\"RegionNum\":0,\"RegionCategory\":null,\"ArticlePicture\":[],\"TitleCN\":null,\"AbstractTextCN\":null,\"PMCID\":null,\"EPubDate\":\"2023/1/1 0:00:00\",\"PubModel\":\"eCollection\",\"JCR\":\"\",\"JCRName\":\"\",\"Score\":null,\"Total\":0}","platform":"Semanticscholar","paperid":null,"PeriodicalName":"Revista paulista de pediatria : orgao oficial da Sociedade de Pediatria de Sao Paulo","FirstCategoryId":"1085","ListUrlMain":"https://doi.org/10.1590/1984-0462/2024/42/2023084","RegionNum":0,"RegionCategory":null,"ArticlePicture":[],"TitleCN":null,"AbstractTextCN":null,"PMCID":null,"EPubDate":"2023/1/1 0:00:00","PubModel":"eCollection","JCR":"","JCRName":"","Score":null,"Total":0}
引用次数: 0

摘要

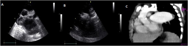
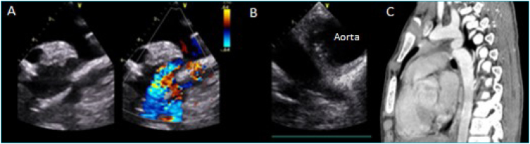
目的:描述既往未确诊为主动脉瓣狭窄的患者感染性动脉内膜炎的两种不同程度的临床症状和演变结果:描述既往未确诊主动脉瓣狭窄的患者在感染性动脉内膜炎演变过程中两种不同程度的临床症状和结果:患者为两名男性,年龄分别为 13 岁和 9 岁。第一例患者因洗牙后发烧两个月,第二例患者因高血压发烧两个月,两例患者均伴有气喘和体重减轻。第一个病例的经胸超声心动图显示主动脉缩窄,经食道超声心动图显示主动脉缩窄后区域存在植被,但没有假性动脉瘤,血培养显示链球菌阳性。这名患者接受了为期六周的结晶青霉素治疗,感染得到缓解,未出现并发症。第二例患者因高血压和发热病史接受了评估,并接受了抗生素治疗。在进行经胸超声心动图检查时,发现主动脉缩窄并伴有囊状影像,血管造影和断层扫描将其归类为假性动脉瘤。血培养呈阴性,患者出现吐血,最初的病因无法确定。手术修补前,他又出现了第二次大量吐血,并伴有低血容量性休克和死亡:评论:我们需要高度临床怀疑来确定主动脉缩窄并发动脉内膜炎的诊断,并开始适当的抗生素治疗,同时始终保持监测以早期发现假性动脉瘤。
本文章由计算机程序翻译,如有差异,请以英文原文为准。

Infectious endarteritis in aortic coarctation: two spectra of an infrequent disease.

Infectious endarteritis in aortic coarctation: two spectra of an infrequent disease.

Infectious endarteritis in aortic coarctation: two spectra of an infrequent disease.

Objective: To describe two different degrees of clinical commitment and results in the evolution of infectious endarteritis in patients without a previous diagnosis of aortic coarctation.

Case description: Two male patients aged 13 and 9 years old were admitted. The first due to a fever for 2 months, which started after dental cleaning, and the second due to high blood pressure, both patients with asthenia and weight loss. In the first case, the transthoracic echocardiogram showed aortic coarctation, and the transesophageal echocardiogram showed the presence of vegetations in the post-coarctation area, without pseudoaneurysms, with blood culture positive for Streptococcus mitis. This patient was treated for six weeks with crystalline penicillin, resolving the infection without complications. The second case was assessed for high blood pressure with a history of fever, and was treated with antibiotics. When performing a transthoracic echocardiogram, aortic coarctation was observed with a saccular image classified as a pseudoaneurysm by angiography and tomography. Blood culture was negative, and the patient developed an episode of hematemesis whose initial etiology could not be determined. Before surgical repair, he had a second episode of copious hematemesis with hypovolemic shock and death.

Comments: We need to have a high index of clinical suspicion to establish the diagnosis of aortic coarctation complicated by endarteritis and start the appropriate antibiotic treatment, always maintaining surveillance for the early detection of pseudoaneurysms.

求助全文
通过发布文献求助,成功后即可免费获取论文全文。 去求助
来源期刊
自引率
0.00%
发文量
0
×
引用
GB/T 7714-2015
复制
MLA
复制
APA
复制
导出至
BibTeX EndNote RefMan NoteFirst NoteExpress
×
提示
您的信息不完整,为了账户安全,请先补充。
现在去补充
×
提示
您因"违规操作"
具体请查看互助需知
我知道了
×
提示
确定
请完成安全验证×
copy
已复制链接
快去分享给好友吧!
我知道了
右上角分享
点击右上角分享
0
联系我们:info@booksci.cn Book学术提供免费学术资源搜索服务,方便国内外学者检索中英文文献。致力于提供最便捷和优质的服务体验。 Copyright © 2023 布克学术 All rights reserved.
京ICP备2023020795号-1
ghs 京公网安备 11010802042870号
Book学术文献互助
Book学术文献互助群
群 号:604180095
Book学术官方微信