远端肝外胆管癌瘤内和瘤周萌发的预后意义

IF 2 4区 医学 Q3 CELL BIOLOGY
Pathobiology Pub Date : 2024-01-01 Epub Date: 2023-12-19 DOI:10.1159/000535847
Sun-Young Jun, Seung-Mo Hong, Soyeon An
{"title":"远端肝外胆管癌瘤内和瘤周萌发的预后意义","authors":"Sun-Young Jun, Seung-Mo Hong, Soyeon An","doi":"10.1159/000535847","DOIUrl":null,"url":null,"abstract":"<p><strong>Introduction: </strong>Although tumor budding (TB) has been recognized as a representative adverse prognosticator in gastrointestinal malignancies, it is not well elucidated in distal extrahepatic bile duct carcinoma (DBDC). Herein, we investigated the prognostic significance of peritumoral (PTB) and intratumoral (ITB) budding according to the modified DBDC staging of the 8th edition of the American Joint Committee on Cancer.</p><p><strong>Methods: </strong>PTB and ITB were independently evaluated in a cohort of DBDC patients (n = 410) based on the 2016 International Tumor Budding Consensus Conference.</p><p><strong>Results: </strong>High levels of PTB (PTBHigh, ≥ grade-2) and ITB (ITBHigh, ≥ grade-3) were identified in 316 (77%) and 238 (58%) cases, respectively. In univariate analysis, PTBHigh and ITBHigh, larger size and sclerosing tumor growth pattern, higher histologic grade, extrapancreatic location, adenocarcinomas unrelated to intraductal papillary neoplasm of the bile duct, pancreatic, duodenal, and lymphovascular invasion, perineural invasion, cancer involvement of the bile duct resection margin, nodal metastasis, and higher T and N categories and disease stages were associated with shorter patient overall survival (OS) times. In multivariate analysis, PTBHigh and ITBHigh remained poor independent prognostic indicators of OS in DBDC patients. Specifically, ITBHigh could predict poor prognosis in patients with stage I (T1N0) DBDC.</p><p><strong>Conclusions: </strong>Both PTBHigh and ITBHigh were strong prognostic indicators in patients with DBDC. Thus, ITB could be used to predict worse prognoses in patients with DBDC, in which PTB is difficult to assess, especially for patients with stage I (T1N0) DBDC.</p>","PeriodicalId":19805,"journal":{"name":"Pathobiology","volume":" ","pages":"254-267"},"PeriodicalIF":2.0000,"publicationDate":"2024-01-01","publicationTypes":"Journal Article","fieldsOfStudy":null,"isOpenAccess":false,"openAccessPdf":"https://www.ncbi.nlm.nih.gov/pmc/articles/PMC11309054/pdf/","citationCount":"0","resultStr":"{\"title\":\"Prognostic Significance of Intratumoral and Peritumoral Budding in Distal Extrahepatic Bile Duct Carcinoma.\",\"authors\":\"Sun-Young Jun, Seung-Mo Hong, Soyeon An\",\"doi\":\"10.1159/000535847\",\"DOIUrl\":null,\"url\":null,\"abstract\":\"<p><strong>Introduction: </strong>Although tumor budding (TB) has been recognized as a representative adverse prognosticator in gastrointestinal malignancies, it is not well elucidated in distal extrahepatic bile duct carcinoma (DBDC). Herein, we investigated the prognostic significance of peritumoral (PTB) and intratumoral (ITB) budding according to the modified DBDC staging of the 8th edition of the American Joint Committee on Cancer.</p><p><strong>Methods: </strong>PTB and ITB were independently evaluated in a cohort of DBDC patients (n = 410) based on the 2016 International Tumor Budding Consensus Conference.</p><p><strong>Results: </strong>High levels of PTB (PTBHigh, ≥ grade-2) and ITB (ITBHigh, ≥ grade-3) were identified in 316 (77%) and 238 (58%) cases, respectively. In univariate analysis, PTBHigh and ITBHigh, larger size and sclerosing tumor growth pattern, higher histologic grade, extrapancreatic location, adenocarcinomas unrelated to intraductal papillary neoplasm of the bile duct, pancreatic, duodenal, and lymphovascular invasion, perineural invasion, cancer involvement of the bile duct resection margin, nodal metastasis, and higher T and N categories and disease stages were associated with shorter patient overall survival (OS) times. In multivariate analysis, PTBHigh and ITBHigh remained poor independent prognostic indicators of OS in DBDC patients. Specifically, ITBHigh could predict poor prognosis in patients with stage I (T1N0) DBDC.</p><p><strong>Conclusions: </strong>Both PTBHigh and ITBHigh were strong prognostic indicators in patients with DBDC. Thus, ITB could be used to predict worse prognoses in patients with DBDC, in which PTB is difficult to assess, especially for patients with stage I (T1N0) DBDC.</p>\",\"PeriodicalId\":19805,\"journal\":{\"name\":\"Pathobiology\",\"volume\":\" \",\"pages\":\"254-267\"},\"PeriodicalIF\":2.0000,\"publicationDate\":\"2024-01-01\",\"publicationTypes\":\"Journal Article\",\"fieldsOfStudy\":null,\"isOpenAccess\":false,\"openAccessPdf\":\"https://www.ncbi.nlm.nih.gov/pmc/articles/PMC11309054/pdf/\",\"citationCount\":\"0\",\"resultStr\":null,\"platform\":\"Semanticscholar\",\"paperid\":null,\"PeriodicalName\":\"Pathobiology\",\"FirstCategoryId\":\"3\",\"ListUrlMain\":\"https://doi.org/10.1159/000535847\",\"RegionNum\":4,\"RegionCategory\":\"医学\",\"ArticlePicture\":[],\"TitleCN\":null,\"AbstractTextCN\":null,\"PMCID\":null,\"EPubDate\":\"2023/12/19 0:00:00\",\"PubModel\":\"Epub\",\"JCR\":\"Q3\",\"JCRName\":\"CELL BIOLOGY\",\"Score\":null,\"Total\":0}","platform":"Semanticscholar","paperid":null,"PeriodicalName":"Pathobiology","FirstCategoryId":"3","ListUrlMain":"https://doi.org/10.1159/000535847","RegionNum":4,"RegionCategory":"医学","ArticlePicture":[],"TitleCN":null,"AbstractTextCN":null,"PMCID":null,"EPubDate":"2023/12/19 0:00:00","PubModel":"Epub","JCR":"Q3","JCRName":"CELL BIOLOGY","Score":null,"Total":0}
引用次数: 0

摘要

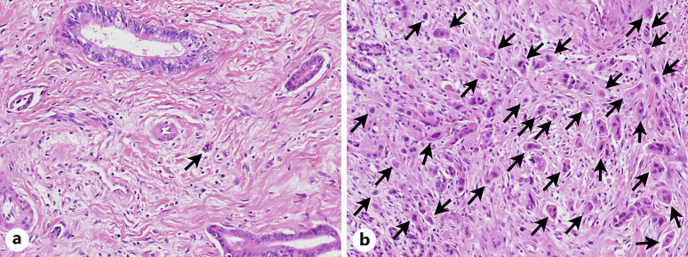
导言:尽管肿瘤萌芽(TB)已被认为是胃肠道恶性肿瘤中具有代表性的不良预后指标,但在远端肝外胆管癌(DBDC)中却没有得到很好的阐明。在此,我们根据美国癌症联合委员会(American Joint Committee on Cancer)第 8 版修订的 DBDC 分期,研究了瘤周(PTB)和瘤内(ITB)出芽的预后意义:根据2016年国际肿瘤萌芽共识会议(ITBCC),对一组DBDC患者(n = 410)的PTB和ITB进行了独立评估:分别在316例(77%)和238例(58%)中发现了高水平的PTB(PTBHigh,≥-2级)和ITB(ITBHigh,≥-3级)。在单变量分析中,PTBHigh 和 ITBHigh、肿瘤体积较大且呈硬化性生长模式、组织学分级较高、位于胰腺外、与胆管导管内乳头状肿瘤(IPNB)、胰腺、十二指肠和淋巴管腺癌无关、胰腺、十二指肠和淋巴管侵犯、神经周围侵犯、胆管切除边缘癌症受累、结节转移以及较高的 T 和 N 分类和疾病分期与较短的患者总生存(OS)时间有关。在多变量分析中,PTBHigh和ITBHigh仍然是影响DBDC患者OS的不良独立预后指标。具体而言,ITBHigh可预测I期(T1N0)DBDC患者的不良预后:结论:PTBHigh和ITBHigh都是DBDC患者的强预后指标。因此,ITB可用于预测PTB难以评估的DBDC患者的不良预后,尤其是I期(T1N0)DBDC患者。
本文章由计算机程序翻译,如有差异,请以英文原文为准。

Prognostic Significance of Intratumoral and Peritumoral Budding in Distal Extrahepatic Bile Duct Carcinoma.

Prognostic Significance of Intratumoral and Peritumoral Budding in Distal Extrahepatic Bile Duct Carcinoma.

Prognostic Significance of Intratumoral and Peritumoral Budding in Distal Extrahepatic Bile Duct Carcinoma.

Prognostic Significance of Intratumoral and Peritumoral Budding in Distal Extrahepatic Bile Duct Carcinoma.

Introduction: Although tumor budding (TB) has been recognized as a representative adverse prognosticator in gastrointestinal malignancies, it is not well elucidated in distal extrahepatic bile duct carcinoma (DBDC). Herein, we investigated the prognostic significance of peritumoral (PTB) and intratumoral (ITB) budding according to the modified DBDC staging of the 8th edition of the American Joint Committee on Cancer.

Methods: PTB and ITB were independently evaluated in a cohort of DBDC patients (n = 410) based on the 2016 International Tumor Budding Consensus Conference.

Results: High levels of PTB (PTBHigh, ≥ grade-2) and ITB (ITBHigh, ≥ grade-3) were identified in 316 (77%) and 238 (58%) cases, respectively. In univariate analysis, PTBHigh and ITBHigh, larger size and sclerosing tumor growth pattern, higher histologic grade, extrapancreatic location, adenocarcinomas unrelated to intraductal papillary neoplasm of the bile duct, pancreatic, duodenal, and lymphovascular invasion, perineural invasion, cancer involvement of the bile duct resection margin, nodal metastasis, and higher T and N categories and disease stages were associated with shorter patient overall survival (OS) times. In multivariate analysis, PTBHigh and ITBHigh remained poor independent prognostic indicators of OS in DBDC patients. Specifically, ITBHigh could predict poor prognosis in patients with stage I (T1N0) DBDC.

Conclusions: Both PTBHigh and ITBHigh were strong prognostic indicators in patients with DBDC. Thus, ITB could be used to predict worse prognoses in patients with DBDC, in which PTB is difficult to assess, especially for patients with stage I (T1N0) DBDC.

求助全文
通过发布文献求助,成功后即可免费获取论文全文。 去求助
来源期刊
Pathobiology
Pathobiology 医学-病理学
CiteScore
8.50
自引率
0.00%
发文量
47
审稿时长
>12 weeks
期刊介绍: ''Pathobiology'' offers a valuable platform for the publication of high-quality original research into the mechanisms underlying human disease. Aiming to serve as a bridge between basic biomedical research and clinical medicine, the journal welcomes articles from scientific areas such as pathology, oncology, anatomy, virology, internal medicine, surgery, cell and molecular biology, and immunology. Published bimonthly, ''Pathobiology'' features original research papers and reviews on translational research. The journal offers the possibility to publish proceedings of meetings dedicated to one particular topic.
×
引用
GB/T 7714-2015
复制
MLA
复制
APA
复制
导出至
BibTeX EndNote RefMan NoteFirst NoteExpress
×
提示
您的信息不完整,为了账户安全,请先补充。
现在去补充
×
提示
您因"违规操作"
具体请查看互助需知
我知道了
×
提示
确定
请完成安全验证×
copy
已复制链接
快去分享给好友吧!
我知道了
右上角分享
点击右上角分享
0
联系我们:info@booksci.cn Book学术提供免费学术资源搜索服务,方便国内外学者检索中英文文献。致力于提供最便捷和优质的服务体验。 Copyright © 2023 布克学术 All rights reserved.
京ICP备2023020795号-1
ghs 京公网安备 11010802042870号
Book学术文献互助
Book学术文献互助群
群 号:604180095
Book学术官方微信