咽后异位甲状腺乳头状癌

Q3 Medicine
Chang Haur Lee, Firdaus Hayati, Nornazirah Azizan, Siti Zubaidah Sharif
{"title":"咽后异位甲状腺乳头状癌","authors":"Chang Haur Lee, Firdaus Hayati, Nornazirah Azizan, Siti Zubaidah Sharif","doi":"10.22038/IJORL.2023.73099.3471","DOIUrl":null,"url":null,"abstract":"<p><strong>Introduction: </strong>Ectopic thyroid is an uncommon condition resulting from the aberrant development of the normal thyroid gland and is usually found along the thyroglossal tract: lingual, submandibular, thyroglossal cysts, intra-tracheal and mediastinal, or, on rare occasions, in the adrenal gland, gallbladder, gastrointestinal tract, pancreas, and struma ovarii.</p><p><strong>Case reports: </strong>We describe a novel case where primary papillary thyroid carcinoma (PTC) was found after a trans-oral excision of a tumor containing ectopic thyroid tissue at the posterior pharynx, an area not known to be a location for ectopic thyroid. Delays due to the COVID-19 pandemic resulted in regional cervical metastases and multifocal PTC. The female patient successfully underwent total thyroidectomy, selective cervical and central lymph node dissection, followed by adjuvant radioactive iodine ablation, with no evidence of distant metastases.</p><p><strong>Conclusions: </strong>Ectopic thyroid tissue is uncommon and may be in the posterior pharynx. The principles of management remain those of differentiated thyroid malignancy: complete surgical resection of any tumor focus, total thyroidectomy, and node dissection of involved lymph nodes, followed by adjuvant radioactive iodine in iodine-sensitive tumors.</p>","PeriodicalId":14607,"journal":{"name":"Iranian Journal of Otorhinolaryngology","volume":"35 131","pages":"325-328"},"PeriodicalIF":0.0000,"publicationDate":"2023-11-01","publicationTypes":"Journal Article","fieldsOfStudy":null,"isOpenAccess":false,"openAccessPdf":"https://www.ncbi.nlm.nih.gov/pmc/articles/PMC10701244/pdf/","citationCount":"0","resultStr":"{\"title\":\"Ectopic Papillary Thyroid Carcinoma of the Posterior Pharynx.\",\"authors\":\"Chang Haur Lee, Firdaus Hayati, Nornazirah Azizan, Siti Zubaidah Sharif\",\"doi\":\"10.22038/IJORL.2023.73099.3471\",\"DOIUrl\":null,\"url\":null,\"abstract\":\"<p><strong>Introduction: </strong>Ectopic thyroid is an uncommon condition resulting from the aberrant development of the normal thyroid gland and is usually found along the thyroglossal tract: lingual, submandibular, thyroglossal cysts, intra-tracheal and mediastinal, or, on rare occasions, in the adrenal gland, gallbladder, gastrointestinal tract, pancreas, and struma ovarii.</p><p><strong>Case reports: </strong>We describe a novel case where primary papillary thyroid carcinoma (PTC) was found after a trans-oral excision of a tumor containing ectopic thyroid tissue at the posterior pharynx, an area not known to be a location for ectopic thyroid. Delays due to the COVID-19 pandemic resulted in regional cervical metastases and multifocal PTC. The female patient successfully underwent total thyroidectomy, selective cervical and central lymph node dissection, followed by adjuvant radioactive iodine ablation, with no evidence of distant metastases.</p><p><strong>Conclusions: </strong>Ectopic thyroid tissue is uncommon and may be in the posterior pharynx. The principles of management remain those of differentiated thyroid malignancy: complete surgical resection of any tumor focus, total thyroidectomy, and node dissection of involved lymph nodes, followed by adjuvant radioactive iodine in iodine-sensitive tumors.</p>\",\"PeriodicalId\":14607,\"journal\":{\"name\":\"Iranian Journal of Otorhinolaryngology\",\"volume\":\"35 131\",\"pages\":\"325-328\"},\"PeriodicalIF\":0.0000,\"publicationDate\":\"2023-11-01\",\"publicationTypes\":\"Journal Article\",\"fieldsOfStudy\":null,\"isOpenAccess\":false,\"openAccessPdf\":\"https://www.ncbi.nlm.nih.gov/pmc/articles/PMC10701244/pdf/\",\"citationCount\":\"0\",\"resultStr\":null,\"platform\":\"Semanticscholar\",\"paperid\":null,\"PeriodicalName\":\"Iranian Journal of Otorhinolaryngology\",\"FirstCategoryId\":\"1085\",\"ListUrlMain\":\"https://doi.org/10.22038/IJORL.2023.73099.3471\",\"RegionNum\":0,\"RegionCategory\":null,\"ArticlePicture\":[],\"TitleCN\":null,\"AbstractTextCN\":null,\"PMCID\":null,\"EPubDate\":\"\",\"PubModel\":\"\",\"JCR\":\"Q3\",\"JCRName\":\"Medicine\",\"Score\":null,\"Total\":0}","platform":"Semanticscholar","paperid":null,"PeriodicalName":"Iranian Journal of Otorhinolaryngology","FirstCategoryId":"1085","ListUrlMain":"https://doi.org/10.22038/IJORL.2023.73099.3471","RegionNum":0,"RegionCategory":null,"ArticlePicture":[],"TitleCN":null,"AbstractTextCN":null,"PMCID":null,"EPubDate":"","PubModel":"","JCR":"Q3","JCRName":"Medicine","Score":null,"Total":0}
引用次数: 0

摘要

简介异位甲状腺是正常甲状腺发育异常导致的一种不常见疾病,通常沿甲状舌管道发现:舌部、下颌下、甲状舌管囊肿、气管内和纵隔,或在极少数情况下在肾上腺、胆囊、胃肠道、胰腺和卵巢肿物中发现:我们描述了一例新病例,患者在咽后部经口切除了含有异位甲状腺组织的肿瘤后发现了原发性甲状腺乳头状癌(PTC),而众所周知,咽后部并不是异位甲状腺的好发部位。由于 COVID-19 大流行而造成的延误导致了区域性宫颈转移和多灶性 PTC。这名女性患者成功接受了甲状腺全切除术、选择性颈部和中央淋巴结清扫术,随后进行了放射性碘消融辅助治疗,没有发现远处转移:结论:异位甲状腺组织并不常见,可能位于咽后部。处理原则仍然是分化型甲状腺恶性肿瘤的处理原则:彻底手术切除所有肿瘤灶、全甲状腺切除、受累淋巴结清扫,然后对碘敏感肿瘤进行放射性碘辅助治疗。
本文章由计算机程序翻译,如有差异,请以英文原文为准。

Ectopic Papillary Thyroid Carcinoma of the Posterior Pharynx.

Ectopic Papillary Thyroid Carcinoma of the Posterior Pharynx.

Ectopic Papillary Thyroid Carcinoma of the Posterior Pharynx.

Ectopic Papillary Thyroid Carcinoma of the Posterior Pharynx.

Introduction: Ectopic thyroid is an uncommon condition resulting from the aberrant development of the normal thyroid gland and is usually found along the thyroglossal tract: lingual, submandibular, thyroglossal cysts, intra-tracheal and mediastinal, or, on rare occasions, in the adrenal gland, gallbladder, gastrointestinal tract, pancreas, and struma ovarii.

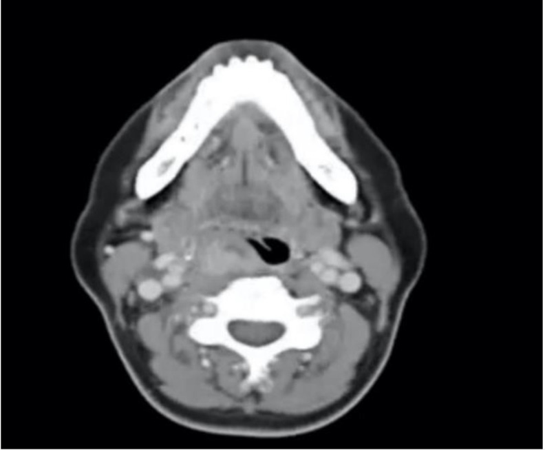
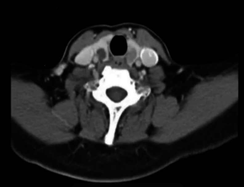
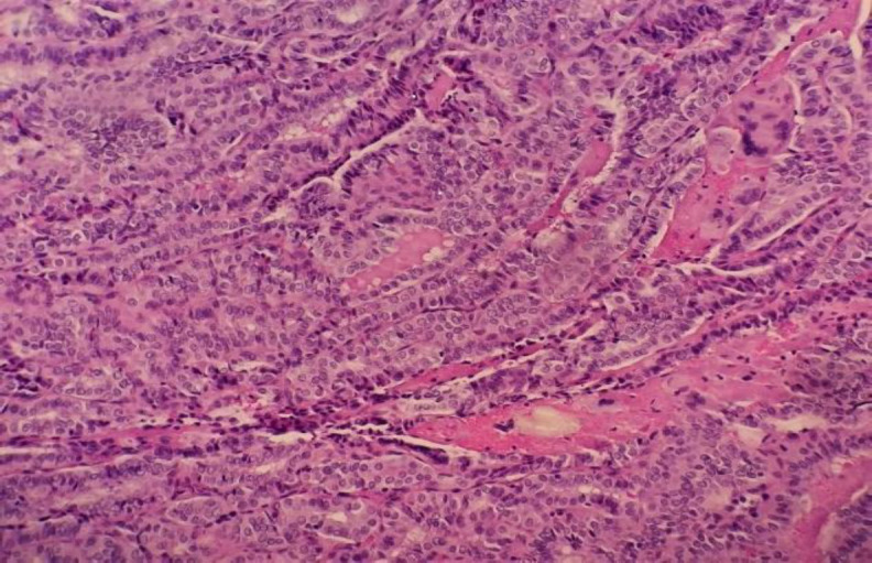
Case reports: We describe a novel case where primary papillary thyroid carcinoma (PTC) was found after a trans-oral excision of a tumor containing ectopic thyroid tissue at the posterior pharynx, an area not known to be a location for ectopic thyroid. Delays due to the COVID-19 pandemic resulted in regional cervical metastases and multifocal PTC. The female patient successfully underwent total thyroidectomy, selective cervical and central lymph node dissection, followed by adjuvant radioactive iodine ablation, with no evidence of distant metastases.

Conclusions: Ectopic thyroid tissue is uncommon and may be in the posterior pharynx. The principles of management remain those of differentiated thyroid malignancy: complete surgical resection of any tumor focus, total thyroidectomy, and node dissection of involved lymph nodes, followed by adjuvant radioactive iodine in iodine-sensitive tumors.

求助全文
通过发布文献求助,成功后即可免费获取论文全文。 去求助
来源期刊
Iranian Journal of Otorhinolaryngology
Iranian Journal of Otorhinolaryngology Medicine-Otorhinolaryngology
CiteScore
1.30
自引率
0.00%
发文量
72
审稿时长
12 weeks
×
引用
GB/T 7714-2015
复制
MLA
复制
APA
复制
导出至
BibTeX EndNote RefMan NoteFirst NoteExpress
×
提示
您的信息不完整,为了账户安全,请先补充。
现在去补充
×
提示
您因"违规操作"
具体请查看互助需知
我知道了
×
提示
确定
请完成安全验证×
copy
已复制链接
快去分享给好友吧!
我知道了
右上角分享
点击右上角分享
0
联系我们:info@booksci.cn Book学术提供免费学术资源搜索服务,方便国内外学者检索中英文文献。致力于提供最便捷和优质的服务体验。 Copyright © 2023 布克学术 All rights reserved.
京ICP备2023020795号-1
ghs 京公网安备 11010802042870号
Book学术文献互助
Book学术文献互助群
群 号:604180095
Book学术官方微信